To see contributor disclosures related to this article, hover over this reference: [1]
Physicians may earn CME/MOC credit by reading information in this article to address a clinical question, and then completing a brief evaluation, in which they will identify their question and report the impact of any information learned on their clinical practice.
AMBOSS designates this Internet point-of-care activity for a maximum of 0.5 AMA PRA Category 1 Credit(s)™. Physicians should claim only credit commensurate with the extent of their participation in the activity.
For answers to questions about AMBOSS CME, including how to redeem CME/MOC credit, see "Tips and Links" at the bottom of this article.
The ABCDE approach is an almost universally applicable strategy for the initial assessment and resuscitation of critically ill patients. Systems are evaluated and managed simultaneously in the order of their potential threat to the patient's survival: airway, breathing, circulation, disability, and exposure. As a first priority, airway patency is assessed and secured as needed (e.g., using basic airway maneuvers or intubation). Breathing is often evaluated concurrently and treated with respiratory support (e.g., oxygen therapy, bag-mask ventilation, mechanical ventilation) as well as specific time-sensitive therapy (e.g., bronchodilators, chest tubes). The next priority is circulatory assessment and initiation of immediate hemodynamic support (e.g., IV fluid therapy, vasopressors) as needed. A rapid neurological assessment should be prioritized next to identify reversible or time-sensitive causes of altered mental status (e.g., hypoglycemia, intracranial bleed), seizures, weakness, or other focal neurological deficits. The final priority is rapid exposure of the patient's body to identify potentially hidden clues to the underlying cause (e.g., rashes, transdermal medication patches) and remove any inciting or aggravating factors (e.g., allergens, contaminated or wet clothing). For each priority, lifesaving treatment should be initiated without delay, even if a definitive diagnosis has not been established. To ensure optimal outcomes, a team of appropriately trained staff should be assembled as early as possible, and team management should ideally follow the principles of crisis resource management (CRM). Following initial stabilization, a secondary survey including a thorough history and examination is initiated and, if necessary, the patient is prepared for transport or handed off to the appropriate specialty service.
See “Management of trauma patients” for the ABCDE approach as applied in patients with acute injuries.
Clinical applications [2][3]
- The ABCDE approach can be applied to any situation where a quick assessment and initiation of lifesaving treatment may be necessary, e.g., in emergency departments, critical care units, wards, and prehospital environments.
- Any potentially critically ill or unstable patient can initially be managed with this approach until they are stable enough for further diagnostics and treatment.
- The ABCDE approach should not be used for patients in cardiac arrest.
- If a patient is unresponsive, assess for cardiac arrest, call for help, and initiate resuscitation.
- For further information, see “Advanced Cardiac Life Support.”
The ABCDE approach can be used for the initial assessment and management of all potentially unstable patients.
In patients with cardiac arrest, initiate CPR immediately.


Core concepts
The ABCDE approach consists of a rapid (< 10 minute) framework to assess and manage critically ill patients by prioritizing conditions with the greatest risk to their survival. [4]
| ABCDE approach concepts |
|
Goals of management |
Rationale for priority |
|
Airway |
- Assess for, manage, and anticipate potential airway complications.
|
- Complete airway obstruction: typically fatal within seconds to minutes
|
|
Breathing |
- Ensure adequate ventilation and oxygenation.
|
- Severe hypoxia/respiratory failure: typically fatal within seconds to minutes
- Requires airway patency
|
|
Circulation |
- Assess for and treat cardiovascular compromise, and optimize volume status.
|
- Severe shock or cardiovascular collapse (excluding cardiac arrest): typically fatal within minutes to hours
- Requires airway patency and adequate oxygenation (e.g., for tissue perfusion)
|
|
Disability |
- Evaluate neurological status and manage causes of decreased levels of consciousness (e.g., hypoglycemia, ↑ ICP).
|
- Variable time frames; threat to life typically slower than that of airway obstruction, respiratory failure, and shock
- Requires patent airway and cardiorespiratory stability (e.g., for neuroprotection)
|
|
Exposure |
- Fully undress the patient, screening for clues to underlying etiology.
- Check temperature.
- Remove inciting or aggravating items.
|
- In clinical practice, assessments and interventions for each component are often undertaken simultaneously by multidisciplinary teams.
- A definitive diagnosis or detailed history is not essential for the initiation of lifesaving treatment if there is a sufficiently high level of suspicion.
- The ABCDE assessment is regularly repeated in order to:
- Assess the efficacy of interventions, e.g., supplemental O2, intubation, or treatment of hypoglycemia
- Detect further deterioration early
Assess and treat conditions in order of the greatest potential threat to patient survival, and always anticipate potential deterioration.
Significant information on the ABCDE assessment can be gained by simply asking the patient to state their name and reason for seeking care. A coherent answer affirms momentary airway patency, the minimum ventilatory and circulatory reserves required for brain perfusion, and an adequate neurological status.
Crisis resource management (CRM) [5][6]
- The concept of CRM outlines several strategies to improve teamwork and patient outcomes in emergency situations.
-
CRM emphasizes effective leadership, communication, and situational awareness in multidisciplinary team settings.
|
Principles of crisis resource management [5]
|
| Principle |
Action points |
| Knowledge of environment and resources |
- Ensure familiarity with emergency protocols.
- Know who and how to call for help and where to find equipment.
|
| Thinking ahead |
- Anticipate potential problems and how to manage them.
- Continually involve and update all team members.
|
| Clarity of roles and leadership |
- One person coordinates the other team members.
- If time permits, make decisions in a participative manner.
|
|
Effective communication [7]
|
- Expectations and tasks should be clearly defined and assigned.
- Practice closed-loop communication.
- Discuss or hand off patients by summarizing SBAR.
|
| Early activation of additional resources |
- Request urgent specialist consults as appropriate.
- Consider the need to transfer the patient to a higher level of care.
|
| Situational awareness |
- Avoid fixation on one particular issue.
- Routinely announce findings, observations, and concerns. [7]
- Consider an occasional pause to review findings and adjust the treatment plan.
|
| Adequate distribution of tasks |
- Ensure tasks are evenly distributed amongst team members, using closed-loop communication to ensure the team leader is aware when tasks are completed.
- Procedures may be more challenging than usual in the emergency setting and should be performed by experienced team members.
|
Closed-loop communication: Repeat received messages and announce the completion of tasks.
For a quick handoff, summarize SBAR: Situation, Background, Assessment, Recommendation.
-
Airway and breathing are typically assessed simultaneously to identify concurrent problems and predict deterioration.
-
Airway obstruction can be partial or complete and may be caused by processes in the upper airways or a reduced level of consciousness.
- For further information, see “Airway management.”
|
Airway assessment and management [3][8][9]
|
| Component of evaluation |
Assessment |
Interim management |
| Inspection and auscultation |
- Patient is talking normally: Airway is (currently) patent.
|
- Proceed with the survey.
- See “Anticipation of deterioration.”
|
- Inspect for foreign bodies or secretions.
- Check for signs of partial airway obstruction or signs of complete airway obstruction.
- Identify any respiratory and/or neurological indications for advanced airway management: See “Inspection” in “Breathing” and in “Disability.”
|
- See “Airway management” for details.
- Call for help early, (e.g., urgent consults for critical-care team, anesthesiology, ENT) for difficult airway management or if untrained.
- Initiate basic airway maneuvers, e.g., head tilt/chin lift , placement of a nasopharyngeal tube , or oropharyngeal airway (OPA)
- Perform airway suctioning.
- Attempt foreign body removal (see “Acute management checklist for FBA”).
- If necessary, place a temporary supraglottic airway.
- Consider establishing a definitive airway :
- First line: intubation (RSI)
- If unsuccessful, and efforts to ventilate via BMV or supraglottic airway fail, establish a surgical airway.
- Treat the underlying cause: e.g., anaphylaxis, angioedema.
|
| Rapid/ bedside testing and monitoring |
- Initiate continuous pulse oximetry.
- Repeat clinical assessment as needed (see “Inspection”).
- Conduct frequent neurological checks (see “Disability”).
- Consider:
-
Capnography or capnometry
-
Laryngoscopy or bronchoscopy
-
X-ray neck (portable; lateral view)
|
- Administer high-flow supplemental O2 for all critically ill patients.
- Reevaluate depending on SpO2 and the underlying condition (see “Target SpO2” and “Oxygen therapy” for further information).
|
| Anticipation of deterioration |
- Anticipate airway obstruction and/or loss of airway protection in patients with:
- Anaphylaxis
-
Angioedema
- Other upper airway masses: e.g., peritonsillar abscess , retropharyngeal abscess, neck hematoma, epiglottitis
-
Hemoptysis/hematemesis
- Reduced or decreasing level of consciousness
- Tolerance of an OPA
- Inability to swallow oral secretions
- High risk of status epilepticus
|
- Increase frequency of airway monitoring (consider continuous observation).
- Prepare equipment for intubation.
- Consider intubating early if high risk of airway compromise, such as in:
- Suspected progressive airway obstruction, e.g., anaphylaxis, smoke inhalation injury.
- Toxic ingestion causing sedation or seizures.
|
- Identify risk factors for difficult airway management, e.g., obesity, restricted mouth opening, anatomic variants
|
- Consider specialist consultation for planned difficult airway management, e.g., anesthesiology, ENT.
- Mobilize equipment required for difficult intubation conditions, e.g., difficult airway cart, videolaryngoscopy.
- Prepare for emergency surgical airway.
|

















- Prerequisites for adequate spontaneous ventilation include : [9]
- A patent airway
- Intact chest wall, lungs, diaphragm
- Sufficient muscle strength
- Intact central respiratory drive
- Adequate pulmonary circulation
-
Airway and breathing are typically assessed simultaneously.
-
Advanced airway devices are required for invasive mechanical ventilation.
- For further information, see “Respiratory failure”, “Oxygen therapy” and “Mechanical ventilation.”
|
Breathing assessment and management [8][9]
|
| Component of evaluation |
Assessment |
Interim management |
| Inspection |
General appearance |
- Identify apnea.
- Identify signs of agitation or lethargy. [3]
- Observe speech: talking in full sentences vs. only a few words at a time
|
- If ventilation is currently adequate:
- Proceed with the survey.
- See “Anticipation of deterioration.”
- If apnea or fulminant respiratory failure: Assist ventilation immediately.
- Begin with bag-mask ventilation.
- Consider adding basic airway adjuncts to improve BMV.
- Prepare for intubation and invasive mechanical ventilation.
- Administer high-flow oxygen for all critically ill patients (see “Target SpO2”).
- If detected, provide emergency treatment for:
-
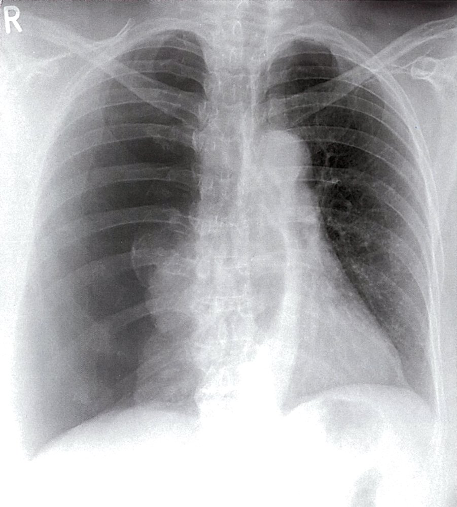
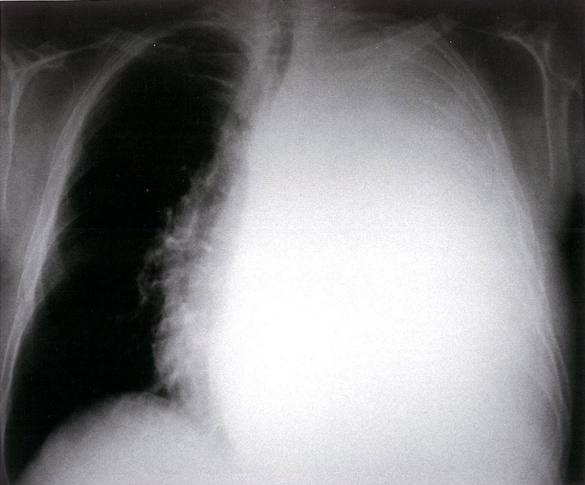
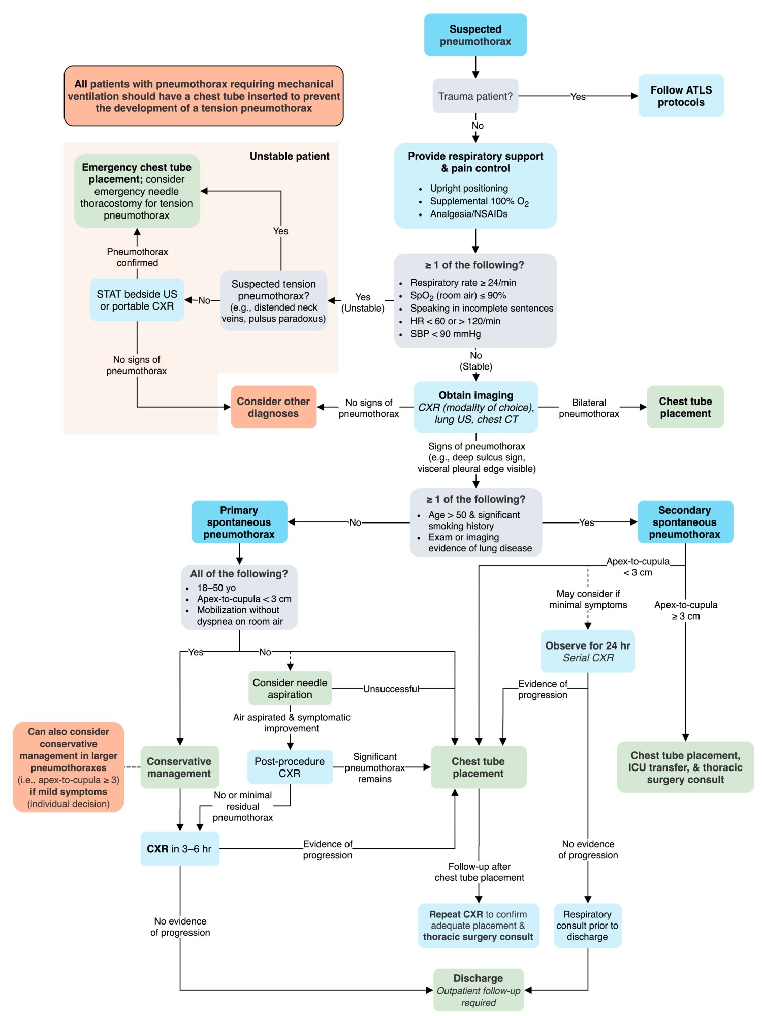
Tension pneumothorax: Insert a chest tube (consider decompression via needle thoracostomy first).
-
Massive hemothorax or large pleural effusion: Insert a chest tube.
-
Bronchospasm: Administer bronchodilators. (See “Pharmacological therapy for AECOPD” and “Acute asthma therapy.”)
-
Pulmonary edema: Consider management of acute heart failure for suspected cardiogenic causes.
|
| Vital signs |
- Observe respiratory rate.
-
Bradypnea: Consider ↓ GCS due to intoxication (e.g., opiates, sedative-hypnotics, alcohol) or ↑ ICP.
-
Tachypnea: Can be due to hypoxia and/or metabolic acidosis, e.g., from hypoperfusion.
- Measure SpO2 and identify any cyanosis.
|
| Specific signs |
- Check for signs of increased respiratory effort.
- Assess chest wall movements, e.g., for symmetry, depth, and respiratory pattern.
- Identify any tracheal deviation.
|
|
Auscultation and percussion [8]
|
- Reduced air entry
- Unilaterally: Consider pneumothorax, extensive pleural effusion, or hemothorax.
- Bilaterally: Consider severe bronchospasm or airway obstruction.
-
Pathological breath sounds: Consider bronchospasm, pulmonary edema, or pneumonia.
|
- Hyperressonance: Consider pneumothorax.
- Dullness: Consider consolidation or fluid, e.g., in hemothorax or pleural effusion.
|
| Rapid/bedside testing and monitoring |
- Initiate continuous pulse oximetry and respiratory rate monitoring. [10]
- Obtain ABG for patients with respiratory distress or failure.
- Consider:
-
Capnometry or capnography
-
Chest x-ray and/or lung ultrasound
|
- In respiratory failure nonresponsive to supplemental oxygen and targeted rapid treatment, consider:
- HFNC
- NIPPV
-
Invasive mechanical ventilation
- Consult critical care for patients requiring assisted ventilation and other specialists depending on the underlying etiology (e.g, cardiology, pulmonology).
|
| Anticipation of deterioration |
- Anticipate oxygenation problems in patients with:
- Pulmonary edema
- Bronchospasm
- Decreased level of consciousness
- Anticipate exhaustion in patients with:
-
Asthma exacerbation or AECOPD
- Neuromuscular diseases
-
Shock (see “Circulation”)
|
- Increase frequency of clinical respiratory monitoring as needed (see “Inspection”).
- Consider continuous observation and/or serial ABG measurement in critically ill patients.
- Prepare equipment for advanced oxygen delivery (e.g., HFNC) and/or assisted ventilation.
- Treat the underlying condition.
- Monitor for complications of oxygen therapy.
- Consider critical care consult for patients at high risk of respiratory failure requiring mechanical ventilation.
|










-
Shock, hypertensive crises, cardiac dysrhythmias, acute coronary syndromes, and vascular emergencies (e.g., aortic aneurysms, aortic dissection) can be a threat to patient survival.
-
End-organ damage in shock leads to:
-
Multiorgan dysfunction and cardiac arrest
-
Respiratory failure due to fatigue
-
Hypoxic-ischemic encephalopathy and brain death due to cerebral hypoperfusion
-
Hypertensive crises can also cause end-organ damage, including:
- Cardiorespiratory failure due to, e.g., pulmonary edema, aortic dissection, or myocardial infarction
- Primary and secondary brain injury due to hemorrhagic stroke and/or hypertensive encephalopathy
|
Circulation assessment and management [3][8][9]
|
| Component of evaluation |
Assessment |
Interim management |
| Inspection |
General appearance |
- Assess level of consciousness using AVPU or GCS.
- Assess skin appearance: e.g., cyanosis, pallor, mottling, flushing, diaphoresis.
|
- Establish two large-bore (at least 18-gauge) IV lines.
-
Undifferentiated shock: Provide immediate hemodynamic support, e.g., IV fluids and/or vasopressors.
-
Risk factors for fluid overload absent: Initiate IV fluid resuscitation.
-
Risk factors for fluid overload present, or suspected cardiogenic shock: Consider a fluid challenge followed by judicious fluid administration if fluid responsive.
- Administer vasopressors and inotropes according to suspected underlying etiology and response to fluids.
- Add the following for specific shock types:
-
Hemorrhagic shock
- Blood transfusion
- Emergency hemostatic measures.
-
Massive transfusion protocol as needed.
-
Anticoagulant reversal if required.
-
Obstructive shock
-
Cardiac tamponade: pericardiocentesis
-
Tension pneumothorax: chest tube insertion
-
Massive pulmonary embolism: thrombolysis
-
Distributive shock
-
Anaphylactic shock: IM epinephrine.
-
Septic shock: Empiric antibiotics for sepsis.
-
Adrenal crisis: Hydrocortisone.
-
Hypertensive emergency: Cautiously administer IV antihypertensives.
|
| Vital signs |
-
Heart rate: e.g., tachycardia, bradycardia, irregular rhythm
- Blood pressure: e.g., hypertension, hypotension
|
| Specific signs |
- Identify any:
- Signs of end-organ hypoperfusion
- Signs of significant dehydration
- Red flags for a hypertensive crisis
- Perform clinical assessment of volume status, e.g., check mucus membranes, JVP
- Check for signs of ongoing hemorrhage: e.g., features of overt GI bleeding, expanding or large hematomas
- Presence of a pacemaker or AICD
|
Auscultation and palpation |
- Muffled heart tones: Consider cardiac tamponade or pneumothorax.
-
Murmurs: Consider new valvulopathy, e.g., acute mitral regurgitation, aortic regurgitation due to aortic dissection, severe aortic stenosis.
-
Pericardial friction rub: Consider pericarditis.
|
- Extremities: Record capillary refill and skin temperature.
- Pulses: Assess rate, symmetry, and quality.
- Check for abdominal tenderness.
|
| Rapid/bedside testing and monitoring |
- Obtain:
-
12-lead ECG
-
ABG or VBG
- Serum lactate
- Point-of-care electrolytes
- In bleeding patients
- Type and screen
- Crossmatch
- Start:
- Continuous cardiac monitoring
- Frequent intermittent or continuous blood pressure measurements
- Other hemodynamic monitoring, e.g., urine output [8]
- Consider the following tests:
-
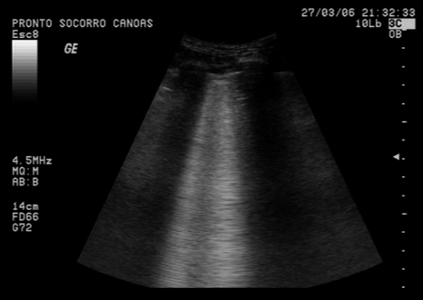
Point-of-care ultrasound, e.g., FAST scan
-
Rapid assessment by cardiac echo (RACE)
-
IVC ultrasound
-
Chest x-ray
|
- Adjust fluids and/or vasopressor dosage according to hemodynamic parameters
- Identify and begin treatment of cardiac dysrhythmias and/or ischemia
- See “Management of bradycardia.”
- See “Management of tachycardia.”
- See “Management of Afib with RVR.”
- See “Management of ACS.”
- Identify and begin treatment of aortic aneurysms
- See “Acute management checklist for AAA.”
- See “Acute management checklist for TAA.”
- See “Acute management checklist for aortic dissection.”
- Identify and treat electrolyte disturbances that can compromise circulation: e.g., see “Electrolyte repletion” and “Treatment of hyperkalemia.”
- Obtain urgent consultations as needed, for example:
- Surgical consult for any identified intracavitary or great vessel bleeding, or for source control in septic shock
- Cardiology for cardiogenic shock
- Gastroenterology for GI bleeding
|
| Anticipation of deterioration |
- Anticipate hemodynamic compromise in patients with:
- Any respiratory insufficiency
- Allergic reaction
- Sepsis
-
CNS injury
- Cardiac ischemia
- Exposure to cardiotoxic or vasoactive substances
|
- Serial clinical volume status assessment and hemodynamic monitoring
- Treat the underlying condition.
|
In a patient with tachycardia and cold extremities, assume shock. If there are no clinical signs of fluid overload or evidence of cardiogenic shock, begin immediate fluid resuscitation.












- An abnormal neurological status may be caused by:
-
Primary brain injury (e.g., stroke, TBI, status epilepticus)
- Systemic conditions (with or without secondary brain injury): see “Causes of AMS and coma.”
- Preventing and treating brain injury requires adequate oxygenation and cerebral perfusion.
- For further information, see also:
- “Secondary brain injury and neuroprotective measures”
- “ABCDE approach: toxicology-specific considerations”
|
Disability assessment and management [3][4][8]
|
| Component of evaluation |
Assessment |
Interim management |
| Inspection |
- Evaluate level of consciousness with either or both of the following scales (see also “Coma scores”):
- Evaluate presence and level of agitation.
- Identify readily-apparent possible underlying etiology, such as:
- Signs of head and neck trauma
-
Focal neurological signs: e.g., hemiplegia, seizure activity
- Toxins visible on skin or clothing
|
- Decreased level of consciousness: Consider securing the airway.
- If the patient is unresponsive or only responsive to pain, intubation is usually necessary [11][12][13]
- Exercise extreme caution if intubating patients with suspected ↑ ICP (see “Intubation of patients with high ICP”)
-
Agitated or violent patients
- Attempt deescalation.
- Consider the need for calming medication with or without physical restraints if the patient remains a threat to self or others.
|
| Focused neurological and toxicological examination |
- Perform pupillary examination.
- Evaluate for:
- Lateralizing signs
- Signs of ↑ ICP
- Meningeal signs
- Identify any classic toxidromes
- Sympathomimetic toxidrome
- Anticholinergic toxidrome
- Cholinergic toxidrome
- Sedative-hypnotic toxidrome
- Opioid toxidrome
- Serotonergic toxidrome
|
- Suspected brain injury: Initiate neuroprotective measures.
- Optimize oxygenation and maintain normocapnia.
- Maintain adequate perfusion.
- Provide emergency treatment for:
-
Management of status epilepticus: Administer benzodiazepines as initial therapy.
-
Hypoglycemia: Administer oral glucose or IV 50% dextrose (see “Treatment of hypoglycemia”).
- Intoxication: Administer antidote, such as:
-
Naloxone for opioid toxicity
-
Atropine and 2-PAM for cholinergic toxicity
-
8.4% NaHCO3 for TCA toxicity
-
Hydroxycobalamin for cyanide toxicity
- 100% O2 for CO toxicity
- See also “Approach to the poisoned patient.”
-
↑ ICP: Initiate ICP management, e.g., elevate the patient's head to 30°, consider mannitol or hypertonic saline.
-
Meningitis: Initiate empiric antibiotic therapy for bacterial meningitis.
- Severe electrolyte disturbances that can cause secondary brain injury: e.g., hyponatremia, hypernatremia, hypocalcemia
- Consider immediate neurology and/or neurosurgery consult for suspected acute stroke, intracranial bleed, or cerebral herniation.
- Call poison control center and consult medical toxicologist as needed.
|
| Rapid/bedside testing and monitoring |
- Obtain POC blood glucose.
- Perform frequent neurological checks (e.g., serial GCS and pupillary examination) until stable.
- Consider:
- Point-of-care electrolytes
- Serial blood glucose monitoring
- 12-lead ECG
- Selective toxicology screen: e.g., ethanol level, CO-oximetry, screening for acetaminophen or salicylate toxicity [14][15][16]
-
Neuroimaging: e.g., CT head
|
| Anticipation of deterioration |
- Anticipate a potential rapid neurological deterioration in patients with:
-
Stroke (hemorrhagic or ischemic)
- Meningitis
- Intoxication
|
- Increase frequency of neurological assessments and monitoring as needed.
- Consider the need for repeat neuroimaging or laboratory testing (e.g., toxin levels).
- Optimize ventilation and circulation.
- Treat the underlying condition.
- Prepare to treat possible complications, e.g., ICP management, anticonvulsants.
|
Remember AVPU to assess the level of consciousness: Alert, Voice responsive, Pain responsive, Unconscious.
Consider securing the airway in patients with decreased consciousness.









Exposure involves a rapid whole-body inspection to avoid missing signs or injuries that impact management.
|
Exposure assessment and management [3][8][9]
|
| Component of evaluation |
Assessment |
Interim management |
| Focused examination |
- Fully undress the patient.
- Safely examine the back of patients requiring C-spine precautions, e.g., using a log roll maneuver.
- Check for clues to the underlying condition, such as:
- Signs of trauma, e.g., burns , gunshot wounds, stab wounds
-
Rash, e.g., petechial rash in Waterhouse-Friderichsen syndrome
- Triggers of anaphylaxis, e.g., latex, medication infusions, insect stingers
- Sources of sepsis, e.g., infected wounds, gangrene [17]
- Toxins and drugs: e.g., needle track marks, medication patches, drug paraphernalia, household or industrial chemicals
- Other small wounds or foreign objects: e.g., insect, animal, or human bites, embedded ticks
-
Iatrogenic changes: e.g., catheters , tubes, implanted devices, stomas , and other surgical sites, scars, and dressings
- Anatomical variations
|
- Consider the need for specialized PPE and body surface decontamination.
- Remove all potential triggers for deterioration, such as:
- Wet or contaminated clothing
-
Allergens: e.g., insect barbs, IV infusions
- Transdermal medication patches (e.g., fentanyl, scopolamine)
- Treat the underlying condition.
- Provide clean, dry, clothing or hospital gown.
-
Hypothermia
- Begin external rewarming.
- Administer warm IV fluids. [8]
- For severe or refractory hypothermia, perform core warming.
-
Hyperthermia
- Begin surface cooling.
- Consider cold IV fluids.
- Give antipyretics for fever, but not for environmental or malignant hyperthermia.
- Administer specific treatment if possible.
- See also “Neurogenic fever.”
|
| Rapid/bedside testing and monitoring |
- Measure core body temperature.
- Consider continuous temperature monitoring.
- Adjust cardiac, respiratory, other clinical, and laboratory monitoring based on suspected condition.
|
Do not forget to examine concealed and frequently overlooked areas, e.g., the back, the orifices, the axillary, inguinal, and perineal regions, and body parts underneath surgical dressings.











After initial stabilization, proceed to the secondary survey and, if necessary, prepare the patient for handoff to another specialty or interfacility transfer.
-
Assessment and management: Can switch to the standard approach used for noncritically ill patients.
- Obtain a thorough patient history.
- Perform a full physical examination.
- Order or perform relevant diagnostic tests as guided by clinical assessment.
- Begin critical targeted treatments and ensure adequate supportive care.
- Obtain consults as needed.
- Consider the need for specialized care and whether an interfacility transfer is required.
-
Interfacility transfer planning (as needed)
- Ensure there is an adequate handoff with the receiving physician.
- Prepare copies of relevant medical records and imaging.
- Determine the level of care needed for transfer.
- Ensure the patient is stable and try to anticipate and prevent problems during transport. [9]
- Ensure secure IV access, e.g., by placing an additional peripheral IV line or establishing central venous access.
- Place a nasogastric tube in patients with a high risk of aspiration, e.g., due to bowel obstruction.
- Intubate patients at high risk of losing airway patency.
- Anticipate and prepare any medication that might be required en route, e.g., vasopressors, benzodiazepines for seizures.
If there is any deterioration in patient status during the secondary survey, return to ABCDE assessment immediately!
|
Adjuncts in the assessment of critically ill patients [3][9]
|
|
Typical interventions |
Additional interventions to consider |
| Organization |
- Quick assembly of all necessary personnel
- Structured handoff (e.g., by using the SAMPLE history)
|
- Early specialist consults
|
| Monitoring |
- Continuous ECG
-
Pulse oximetry
- Noninvasive blood pressure monitoring
|
-
Capnometry or capnography [8]
- Urinary catheter to monitor urine output
-
Arterial line
|
| Initial therapeutic measures |
- Two large-bore (at least 18-gauge) IV lines
- Initial high-flow supplemental O2 for all patients
|
-
Nasogastric tube for decompression and assessment of gastric contents
- Supportive treatments, such as:
- Fluid bolus
- Sedation
- Analgesia
|
|
Diagnostics [8]
|
- The choice of diagnostic studies will depend on clinical presentation and existing studies.
- Consider:
-
Point of care diagnostics
-
ABG and lactate
- Blood glucose
- Urine dipstick
-
Laboratory studies
-
CBC, BMP, liver chemistries
- Coagulation panel
- Cardiac enzymes
-
β hCG in women of childbearing age
-
Type and screen
- Serum alcohol concentration
- Urine toxicology screen
-
Blood cultures and other microbiologic samples
- Imaging: Bedside or portable imaging is preferred until the patient is stabilized.
-
Point-of-care ultrasound (e.g., FAST, POCUS for suspected AAA, POCUS for early pregnancy)
-
X-ray and/or CT
|
Most critically ill patients require cardiorespiratory monitoring, IV access, and supplemental O2 as minimum initial measures during the ABCDE survey.


Airway and breathing
- Check vital signs: respiratory rate and SpO2
- Check for signs of airway obstruction and respiratory distress.
- Administer supplemental O2.
- Begin continuous pulse oximetry.
- Perform basic airway maneuvers as needed
- Consider the need for advanced airway management, e.g., intubation.
- Obtain ABG for respiratory distress or respiratory failure.
- Provide immediate treatment for emergent conditions (e.g., bronchodilators, IM epinephrine, chest tube, needle thoracostomy)
- Consider the need for HFNC, NIPPV, or invasive mechanical ventilation.
Circulation
- Check vital signs: heart rate, blood pressure
- Check for signs of shock, cardiac arrhythmias, cardiac ischemia, or hypertensive emergencies.
- Place two large-bore IV lines and obtain blood samples.
- Consider continuous cardiac and blood pressure monitoring.
- Consider obtaining an ECG and point-of-care ultrasound.
- Begin treatment for undifferentiated shock without delay; consider fluid challenge, IV fluid resuscitation, and/or vasopressors.
- Provide targeted treatment for specific shock subtypes of shock, e.g., blood transfusion, treatments for obstructive shock
- Identify and treat other cardiac and aortic emergencies, e.g., tachyarrhythmias, bradyarrhythmias, acute coronary syndrome, aortic aneurysms.
- In severely hypertensive patients, consider IV antihypertensives.
- Continue hemodynamic monitoring as needed, e.g., urine output, serial lactate
Disability
- Record GCS and/or AVPU.
- Perform pupillary examination.
- Measure POC blood glucose and treat hypoglycemia if present.
- Perform focused neurological assessment, e.g., looking for lateralizing signs, signs of ↑ ICP, meningeal signs.
- Identify toxidromes and treat intoxication promptly, e.g., naloxone for opioid toxicity.
- Consider the need for intubation in patients with reduced levels of consciousness.
- Obtain neuroimaging as soon as it is safe.
- Initiate neuroprotective measures as needed.
- Treat any seizures.
- Expedite definitive treatment of neurological emergencies: e.g., acute ischemic stroke, bacterial meningitis, intracranial bleed, ↑ ICP.
Exposure
- Consider the need for specialized PPE.
- Perform a quick whole-body inspection for clues to the underlying etiology of illness.
- Consider a log roll maneuver to examine the back.
- Inspect often-overlooked areas, e.g., axillae, groin, perineum, underneath dressings, orifices.
- Measure temperature and initiate appropriate temperature management.
- Remove and replace wet or contaminated clothing.
- Remove any triggers for deterioration: e.g., toxins, allergens.
Further measures
- After initial stabilization, proceed to the secondary survey.
- Repeat ABCDE assessment immediately after interventions or if the patient deteriorates.
- Consider repeating ABCDE assessments periodically in at-risk stable patients to detect early deterioration.
- Prepare for handoff or transport.