Abdominal aortic aneurysm (AAA) is a focal dilatation of the abdominal aorta to more than 1.5 times its normal diameter. AAAs are classified by location as either suprarenal or infrarenal aneurysms. Men of advanced age are at increased risk for their formation; smoking and hypertension are also major risk factors. AAAs are frequently asymptomatic and therefore detected incidentally. Symptomatic AAAs can manifest with lower back pain, a pulsatile abdominal mass, and a bruit on auscultation. Abdominal ultrasound is the best initial and confirmatory test to diagnose AAAs and determine their extent. Observation, close follow-up, and reduction of cardiovascular risk factors are indicated for small aneurysms, whereas pronounced (> 5.5 cm in men; > 5 cm in women) or rapidly expanding aneurysms require surgery. Surgical treatment involves open resection of the aneurysm with graft placement or, increasingly, endovascular stent placement. The prognosis is markedly worse if dissection or aneurysm rupture occurs. AAA rupture typically manifests with sudden onset of severe tearing back or abdominal pain, a painful pulsatile mass, and hypovolemic shock, and should be managed with emergent surgery. All men between 65 and 75 years of age with a history of smoking should be screened once with an ultrasound to exclude an AAA. See also thoracic aortic aneurysm for more information.
- Localized dilation of all three layers of the abdominal aortic wall (intima, media, and adventitia) to ā„ 3 cm [1]
![]()
- Peak incidence: 60ā70 years (rare in patients < 50 years)
- Sex: ā > ā: ā¼ 2:1
Epidemiological data refers to the US, unless otherwise specified.
-
Risk factors [2]
- Smoking (most important risk factor)
- Advanced age
- Atherosclerosis (ASCVD)
- Hypercholesterolemia and arterial hypertension
- Positive family history
- Male sex
- Trauma
-
Localization
-
Infrarenal: below the renal arteries
- Most common location [3]
- One-third of aneurysms extend into the iliac arteries. [1]
- Suprarenal: above the renal arteries
-
Infrarenal: below the renal arteries
-
Shape
- Saccular (spherical) [4]
- Fusiform (spindle-shaped)
![]()
![]()
![]()
- Inflammation and proteolytic degeneration of connective tissue proteins (e.g., collagen and elastin and/or smooth muscle cells) in high-risk patients ā loss of structural integrity of the aortic wall ā widening of the vessel ā mechanical stress (e.g., high blood pressure) acts on weakened wall tissue ā dilation and rupture may occur.
- The aneurysmatic dilatation of the vessel wall may cause disruption of the laminar blood flow and turbulence.
- Possible formation of thrombi in the aneurysm ā peripheral thromboembolism
![]()
![]()
References:[5]
Aortic aneurysms are usually asymptomatic or have nonspecific symptoms. They are often discovered incidentally on ultrasound or CT scan. Rupture or dissection of the aneurysm is a life-threatening condition (see āRuptured AAAā).
- Lower back pain
- Pulsatile abdominal mass at or above the level of the umbilicus
- Bruiton auscultation
- Peripheral thrombosis and distal atheroembolic phenomena (e.g., blue toe syndrome and livedo reticularis)
- Decreased ankle brachial index
![]()
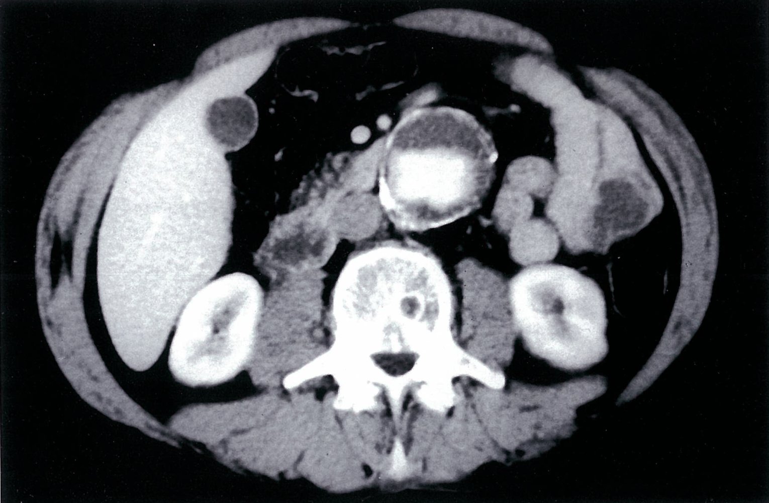
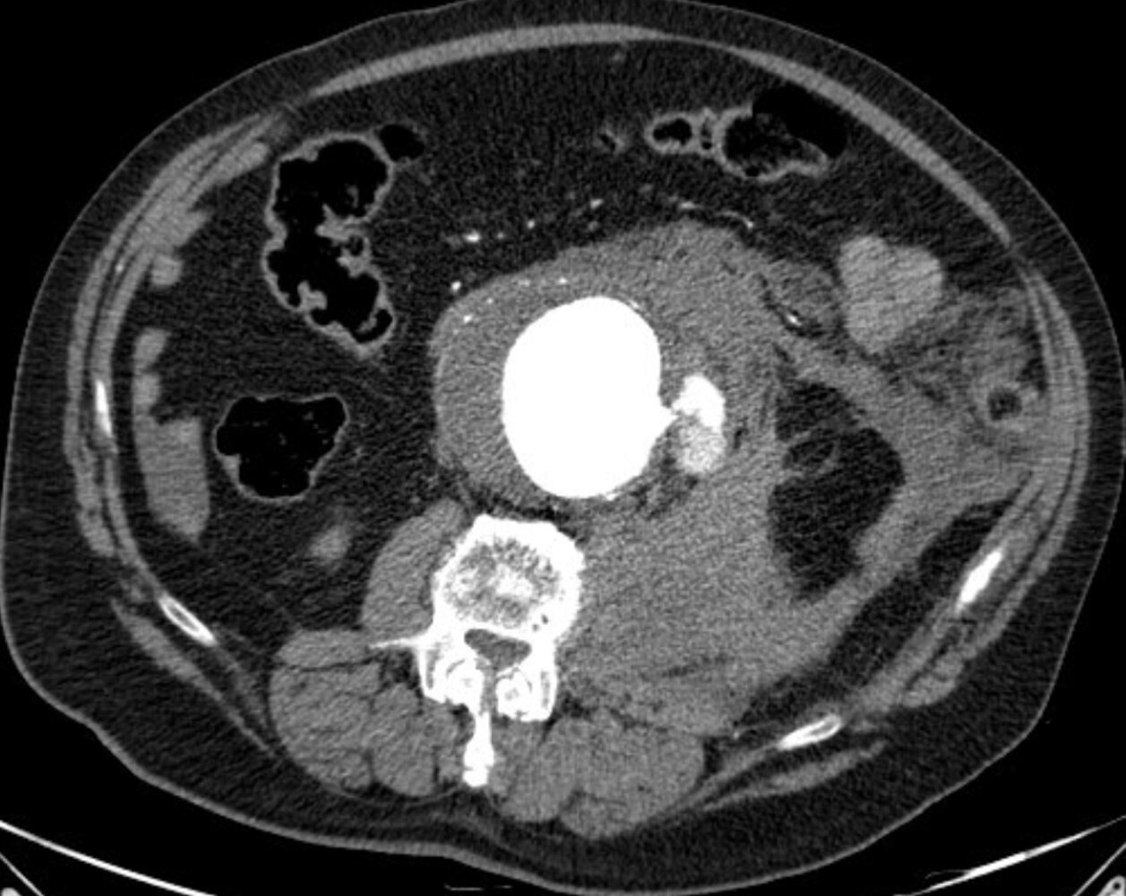
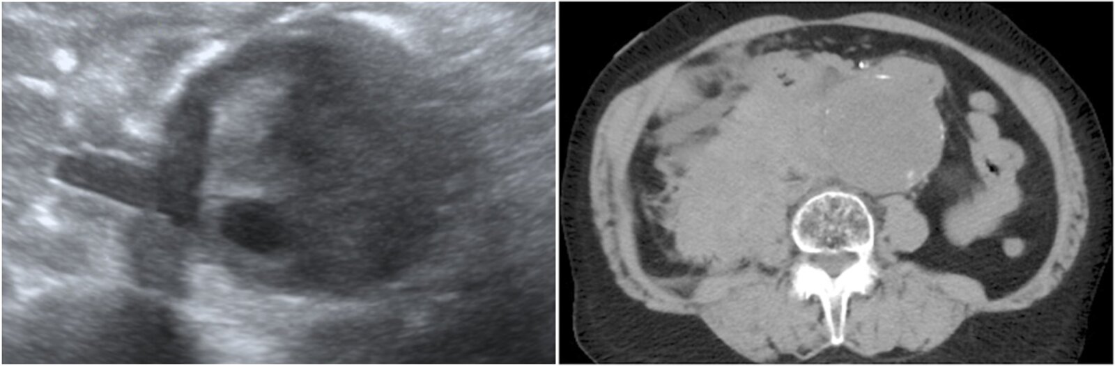
The diagnosis of AAA is confirmed by imaging showing aortic diameter > 3 cm. Unstable patients should be taken directly to the OR for emergency surgery if ruptured AAA is suspected (see ruptured AAA). There are no laboratory findings specific to AAA. [1]
Imaging should not delay treatment if AAA is suspected in hemodynamically unstable patients.
Imaging [6][7]
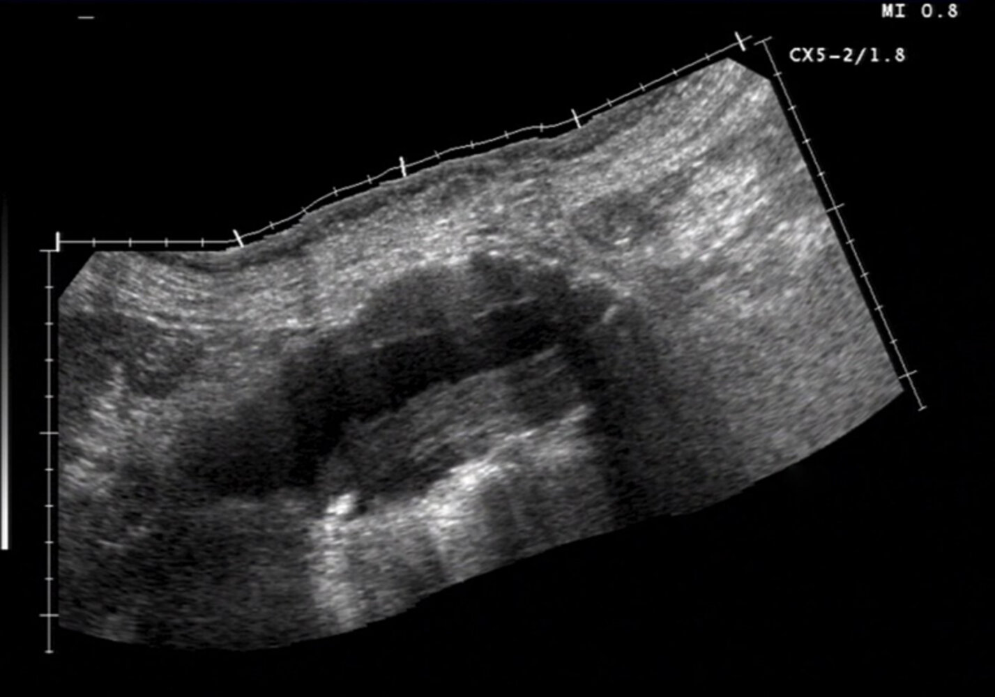
Abdominal ultrasound (formal ultrasound or POCUS)
-
Indications
-
Best initial and confirmatory test in:
- Asymptomatic patients
- Patients with abdominal pain and no known AAA or risk factors for AAA
- To determine the presence, size, and extent of an aneurysm
- Screening and surveillance
-
Best initial and confirmatory test in:
-
Formal ultrasound [8]
- Obtain longitudinal and transverse views for:
- Proximal, mid, and distal abdominal aorta
- Both proximal common iliac arteries
- Obtain AP dimension measurements of the greatest diameters of each vessel.
- See āPOCUS for suspected AAAā for the point-of-care imaging technique and findings.
- Obtain longitudinal and transverse views for:
-
Supportive findings
- Dilatation of the aorta ā„ 3 cm [1]
- Thrombus may be present (hyperechoic)
- Disadvantages: Abdominal ultrasound has low sensitivity for aneurysmal leaks, branch artery involvement, and suprarenal involvement, and its findings are insufficient for procedural planning. [1][9]


![]()
If a large (ā„ 5.5 cm in men, ā„ 5.0 cm in women) aneurysm is seen on ultrasound in a patient presenting with abdominal pain, refer the patient for treatment immediately.
CT angiography abdomen and pelvis
See āRuptured AAAā for CT findings of acute aneurysmal rupture.
-
Indications
- Imaging modality of choice in symptomatic patients and for preintervention planning
- To help confirm the diagnosis when ultrasound is not possible in asymptomatic patients
- More detailed evaluation of the location, size, and extent of the aneurysm, involvement of branch vessels, and presence of thrombus or rupture
-
Supportive findings
- Dilatation of the aorta ā„ 3 cm and, possibly, branch vessels [1]
- Reduced distribution of vasa vasorum may be seen. [10]
- Thrombus may also be present (hypodense, nonenhancing).
![]()
![]()
MR angiography abdomen and pelvis with and without IV contrast
-
Indications
- Preintervention planning when CT angiography is not possible
- To help confirm diagnosis when ultrasound and CT angiography are not possible in asymptomatic patients
- Supportive findings: similar to CT angiography
Arteriography (aortography abdomen)
-
Indications
- To help confirm diagnosis or for preintervention planning if the patient has significant contraindications to CTA and MRA
- More detailed assessment of the aortic lumen
- Supportive findings: contrast column in the lumen of the aneurysm and branch vessels [6]
- Disadvantage: may mask the actual diameter of the aneurysm (because a mural thrombus does not appear on arteriography)
| Abdominal vs. thoracic aortic aneurysm | ||
|---|---|---|
| Characteristics | Abdominal aortic aneurysm | Thoracic aortic aneurysm |
| Location |
|
|
| Epidemiology |
|
|
| Etiology |
|
|
| Clinical features |
|
|
| Diagnostics |
|
|
| Therapy |
|
|
See differential diagnoses of acute abdomen in acute abdomen.
The differential diagnoses listed here are not exhaustive.
Approach [1][12]
-
Patients with any symptoms: immediate vascular surgery consult
- Suspected or known rupture (regardless of patient stability) : emergency repair within 90 minutes (see āRuptured AAAā)
-
Patients with signs or symptoms of impending rupture : urgent aneurysm repair, ideally within normal working hours, as this is associated with better outcomes
- Ensure blood product availability.
- Maintain BP strictly within normal parameters.
- Consult anesthesia.
- Optimize the treatment of and stabilize any comorbidities that could increase perioperative risk (e.g., ADHF, AKI).
- Asymptomatic patients: elective aneurysm repair or aneurysm surveillance
-
All patients: reduction of cardiovascular risk [1]
- Smoking cessation
- Appropriate medical management of other atherosclerotic risk factors (e.g., hypertension, diabetes mellitus, dyslipidemia)
Consult vascular surgery and the ICU about any patients with a symptomatic AAA.
Invasive treatment: AAA repair
- Indications
- Emergency repair: unstable patients
- Urgent repair: impending rupture or leaking AAA
-
Elective repair [13]
- Diameter: ā„ 5.5 cm in men; ā„ 5.0 cm in women
- Expansion rate: ā„ 0.5 cm/6 months
- Symptomatic aneurysm
- Saccular aneurysm
Procedures [1]
The long-term survival and complication rates of endovascular and open surgical repair are similar, and these procedures each have their advantages and disadvantages.
-
Endovascular aneurysm repair (EVAR)
- Indications: minimally invasive procedure that is preferred over open surgical repair for most aneurysms, especially in patients with a high operative risk
- Procedure: Under fluoroscopic guidance, an expandable stent graft is placed via the femoral or iliac arteries intraluminally at the site of the aneurysm.
- Disadvantage: Reintervention rates are higher for EVAR than for OSR.
-
Open surgical repair (OSR)
- Indications
- Mycotic aneurysm or infected graft
- Persistent endoleak and aneurysm sac growth following EVAR
- Anatomical contraindications for EVAR
- Procedure: A laparotomy is performed and the dilated segment of the aorta is replaced with a tube graft or Y-prosthesis (bifurcated synthetic stent graft).
- Indications
![]()
![]()
Preoperative assessment for elective repair [1]
- Calculation of mortality risk: used to weigh operative risk against life expectancy for patients being considered for elective AAA repair
| Elective AAA repair postoperative mortality risk score [14] | ||
|---|---|---|
| Parameter | Points | |
| Planned intervention | EVAR | 0 |
| OSR (infrarenal) | 2 | |
| OSR (suprarenal) | 4 | |
| Aneurysm size (mm) | < 65 | 0 |
| ā„ 65 | 2 | |
| Age | ⤠75 years | 0 |
| > 75 years | 1 | |
| Sex | Male | 0 |
| Female | 1 | |
| Comorbidities | History of MI or cerebrovascular disease | 1 |
| COPD | 2 | |
| Serum creatinine (mg/dL) | < 1.5 | 0 |
| ā„ 1.5 | 2 | |
Interpretation
| ||
![]()
-
Preoperative management of comorbid conditions
- Cardiac consult in patients with cardiac diseases
- Optimize heart failure therapy.
- Consider coronary revascularization.
- 12-lead ECG in all patients
- Echocardiography in patients with worsening dyspnea or dyspnea of unknown origin
- Pulmonary function studies, including ABG, in patients with COPD, tobacco use, exertional dyspnea
- Cardiac consult in patients with cardiac diseases
- Additional considerations: Life expectancy should also be considered when planning elective repair. [15]
Perioperative care for AAA repair
- IV antibiotic prophylaxis [1]
- First-generation cephalosporin, e.g., cefazolin
- If the patient is allergic to penicillin: vancomycin
- Anticipate and treat acute blood loss anemia
- Ensure blood product availability.
- Indications for blood transfusion [1]
- Hemoglobin is ⤠7 g/dL
- Hemoglobin is < 10 g/dL and there is ongoing blood loss
- Central venous access and arterial line monitoring during the procedure
- Consider postoperative admission to ICU:
- In patients with significant cardiac, pulmonary, or renal comorbidities
- In patients requiring mechanical ventilation
- After significant arrhythmia or hemodynamic instability during procedure
- Multimodal pain management
- E.g., morphine
- Consider epidural analgesia after OSR
- See also acute pain management.
- VTE prophylaxis
Surveillance after repair [1][7]
Postoperative surveillance following EVAR is important because it can help to detect possible endoleaks, sac growth, device migration, and device failure. Because of the risk of an anastomotic aneurysm or aneurysmal dilation in the visceral aorta or iliac arteries, regular follow-up is recommended after OSR.
-
CT angiography abdomen and pelvis with IV contrast
- After 1 month, 12 months, then annually
- After 6 months if an abnormality is seen on the 1-month scan
-
MR angiography abdomen and pelvis without and with IV contrast
- Indication: contraindications to CT angiography, avoidance of radiation
- Artifacts might be visible depending on stent material and orientation.
-
Duplex ultrasound
- Indication: may be used for annual follow-up if the 12-month scan is unremarkable
- Abdominal and pelvic CT angiography with IV contrast should still be performed every 5 years.
Conservative treatment: AAA surveillance without repair
Small (< 5.5 cm in men, < 5.0 cm in women), asymptomatic AAA can typically be observed with interval surveillance ultrasound. [13]
- To identify the expansion rate and thus decrease the risk of rupture
- Frequency depends on the size of the aneurysm.
| Follow-up frequency for AAA surveillance [13] | ||
|---|---|---|
| Maximum diameter of the abdominal aorta | Recommended follow-up interval | |
| In men | In women | |
| 3ā3.9 cm |
|
|
| 4ā4.9 cm | 4ā4.4 cm |
|
| ā„ 5.0 cm | ā„ 4.5 cm |
|
Regular monitoring is essential because aneurysm size and expansion rate are strong predictors of the risk of rupture.
![]()
Risk factors
- Rapidly expanding aneurysm
- Large diameter aneurysm
- Smoking, tobacco use
Clinical features
- Classic triad:
- Hypotension due to hypovolemic shock (especially in free ruptures)
- Sudden onset of severe, tearing back or abdominal pain with radiation to the flank, buttocks, legs, or groin
- Painful pulsatile mass
- Grey Turner sign and/or Cullen sign (if there is an extensive retroperitoneal hematoma)
- Nausea, vomiting
- Syncope
- Hematuria
Diagnostics [1][12][16]
The optimal diagnostic approach depends on patient stability, available resources, and clinical suspicion. Follow local protocols if available.
-
Unstable patients: : The diagnosis is clinical; refer directly for operative treatment. [1][12]
- Consider POCUS to rapidly confirm the presence of an AAA.
- Do not use POCUS to exclude a ruptured AAA if there is high clinical suspicion.
-
Stable patients (controversial) [1][12][16][17]
-
Consider imaging (in consultation with a vascular surgeon) provided it does not delay definitive management, for the following reasons:
- To evaluate for alternate etiologies if the diagnosis is uncertain [1]
- Anatomic assessment (e.g., with a thoracoabdominal CTA) to determine candidacy for EVAR and guide operative planning. [12]
- Closely monitor patients clinically during transfer outside of critical care areas for imaging.
-
Consider imaging (in consultation with a vascular surgeon) provided it does not delay definitive management, for the following reasons:
Imaging modalities
-
CTA thorax, abdomen, and pelvis
-
Study of choice if imaging can be performed without delaying operative repair [12][17]
- Higher detection rates for contained rupture and retroperitoneal bleeds than ultrasound
- Allows surgeons to determine if a patient is suitable for EVAR
- Characteristic findings
- Sign of impending rupture: high-attenuation crescent within mural thrombus [18]
- Signs of rupture: retroperitoneal hematoma, retroperitoneal stranding, indistinct aortic wall, extravasation of contrast
-
Study of choice if imaging can be performed without delaying operative repair [12][17]
-
POCUS: In an unstable patient, assume that a visible AAA on POCUS is a ruptured AAA until proven otherwise.
- Key finding: dilatation of the aorta ā„ 3 cm
- Other possible findings (depending on the location of the rupture)
- Periaortic fluid
- Free intraperitoneal fluid
- Retroperitoneal fluid
- For more detailed findings see āPOCUS for suspected AAA.ā
![]()
![]()


Additional studies
-
Laboratory findings that may be seen:
- CBC: ā hemoglobin, ā hematocrit, ā red blood cell count
- Metabolic acidosis in cases of shock
- ECG: may show ischemic changes secondary to acute blood loss [16]
A ruptured AAA can mimic an acute MI if blood loss impairs coronary perfusion, causing chest pain and ischemic ECG changes. Screen for an AAA in patients with cardiac chest pain and additional epigastric or back pain.
Treatment [1][12]
The main goal of treatment is operative repair by a vascular surgeon without delay.
-
Initial management (ideally within 30 minutes)
- Large-bore IV access
- Start continuous monitoring and reassess regularly as patients may deteriorate rapidly.
-
Immediate hemodynamic support
- Fluid resuscitation, or if available, blood transfusion, ideally using blood products in a 1:1:1 ratio (see āMassive transfusionā) [12][16]
- Use vasopressors and inotropes with caution. [16]
- Target: permissive hypotension (e.g., SBP 70ā90 mm Hg) [1]
- Urgent vascular surgery and anesthesia consult [1]
- Pain management with IV opioids
- Definitive treatment (ideally within 90 minutes): emergency EVAR or OSR [1][12][13]
- Palliation: Consider in frail patients with multiple comorbidities. [12]
Avoid elective intubation, as it may precipitate cardiovascular collapse. [1]
Refer all patients with a suspected ruptured AAA for immediate operative evaluation.
Prognosis
- High mortality rate (ā¼ 81%) [2]
- Older age, loss of consciousness, and cardiac arrest prior to surgery are associated with high mortality.
Disposition [1]
- Consult vascular surgery as soon as a ruptured AAA is suspected.
- Transfer the patient to the nearest regional center with suitable facilities if a vascular surgeon is not available.
- Consider transfer to a regional center if the available in-hospital vascular surgery service manages a low number of ruptured AAAs annually and transfer can be achieved within 30 minutes. [12]
Interfacility transfer
-
Criteria
- Appropriate expertise and equipment are not available at the referring hospital.
- The patient is suitable for and willing to undergo surgical repair.
- The case has been discussed and accepted by the vascular surgery team at the receiving hospital.
- The patient is not currently in cardiac arrest.
-
Preparation prior to departure
- Establish IV access.
- Ensure BP is in the target range (i.e., SBP 70ā90 mm Hg).
- Organize transfer of any imaging.
- Establish monitoring for continuous assessment of vital signs during transport.
- Conduct a telephone handover between physicians at the referring and receiving hospitals.
If patients require a transfer, it should be organized as swiftly as possible, with transfer times ideally under 30 minutes!
- Abdominal aortic aneurysm rupture
- Embolism: caused by thrombotic material from the aneurysm
- Aortic dissection
-
Postoperative complications [19]
- Ischemia of the bowel, kidneys, and spinal cord
- Anterior spinal artery occlusion
- Prosthetic graft infection
-
Aortoenteric fistula [20]
- Manifests with massive gastrointestinal hemorrhage
- Unstable patients: Urgently consult surgeons for immediate intervention.
- Stable patients: Assess with CT or endoscopy to rule out differential diagnoses and assist with surgical planning.
-
Complications following EVAR [1]
- Endoleak
- Access site complications, e.g., bleeding, hematoma, false aneurysm
- Graft limb thrombosis
![]()
![]()
We list the most important complications. The selection is not exhaustive.
Ruptured abdominal aortic aneurysm
- Immediate vascular surgery consult for emergency surgical repair if ruptured aneurysm is suspected
- Unstable patients: Transfer to the OR immediately.
- Stable patients: Consider CTA if it can be performed rapidly and close monitoring is possible.
- NPO
- IV access with two large-bore peripheral IV lines
- Check CBC, type and screen, obtain patient consent for blood transfusion, and order pRBCs (prepare for massive transfusion protocol).
- IV fluid resuscitation with goal SBP of 70ā90 mm Hg (permissive hypotension) [1][21]
- IV opioid analgesics
Symptomatic abdominal aortic aneurysm
- Urgent vascular surgery consult for surgical repair
- CT angiography abdomen and pelvis with IV contrast for preintervention planning if patient is hemodynamically stable
- Transfer to OR.
- NPO
- IV access with two large-bore peripheral IV lines
- Check CBC, type and screen, obtain patient consent for blood transfusion, and order pRBCs (prepare for massive transfusion protocol).
- Consider IV fluid resuscitation.
- IV opioid analgesics
Primary prevention [1]
- See āPrimary prevention of ASCVDā for detailed information on primary prevention.
- The following lifestyle measures are thought to reduce the risk of developing an AAA:
- Smoking cessation
- Eating nuts, fruits, and vegetables more than three times a week
- Exercising more than once a week
Screening for AAA [1][2][13]
-
Indications
- Men aged 65ā75 years with a history of smoking (ever smokers) [1][2][13]
-
Consider screening:
- Individuals aged 65ā75 years with a family history of AAA in a first-degree relative [1][2][13]
- Women aged 65ā75 years with a history of smoking (ever smokers) [1][2][13]
- Individuals aged > 75 years with no previous screening and a history of smoking or family history of AAA [1][22]
- Individuals < 65 years with multiple risk factors for AAA or a family history of AAA [13]
- Modality: abdominal ultrasound [1][2][6]
-
Frequency
- One-time screening is recommended. [2]
- Consider rescreening after 10 years if the aortic diameter was between 2.5 cm and 3 cm at the initial assessment. [1]
AAA screening is not recommended for women who have never smoked and have no family history of AAA. [2]
Men aged 65-75 with a history of smoking should be screened with a one-time abdominal ultrasound.