Guest Mode
AMBOSS Articles/ Surgery > Abdominal Surgery > Hernias

Abdominal Hernias

Abdominal hernias are a protrusion of intraabdominal contents through a congenital or acquired defect in the abdominal wall. Abdominal hernias are broadly classified by location (anterior wall, lateral wall, groin, or pelvis) and presentation (reducible, irreducible, obstructed, or strangulated). Physiological states that increase intraabdominal pressure (e.g., ascites, pregnancy, obesity, intraabdominal tumors, chronic cough) increase the risk of developing an abdominal hernia. Clinical presentation ranges from an asymptomatic mass in reducible hernias, to pain, bowel obstruction, and systemic symptoms in strangulated hernias. Abdominal hernias are typically a clinical diagnosis made on physical examination. Imaging (e.g., ultrasound, CT scan) may be used if the examination is difficult or atypical, and before surgery. Treatment is primarily surgical repair with or without a mesh, though observation may be adequate in some patients. Emergency surgery is always required for an obstructed or strangulated (i.e., ischemic) hernia. Congenital umbilical hernias typically close spontaneously by 5 years of age and have a wide neck, and the risk of complications is low; surgical intervention is rarely necessary.

See ā€œInguinal herniasā€ and ā€Femoral herniasā€ for more detail on these hernia types.

By anatomical location [1][2]

  • Anterior abdominal wall hernias
    • Umbilical hernia: midline ventral hernia at the level of the umbilicus [3][4]
    • Epigastric hernia: protrusion of intraabdominal contents through the linea alba, between the xiphoid process and the umbilicus
    • Incisional hernia: protrusion of intraabdominal contents through an abdominal wall defect due to previous surgery
    • Parastomal hernia: a subset of incisional hernias in which intraabdominal contents protrude through the abdominal wall defect created during stoma placement (e.g., colostomy)
  • Lateral abdominal wall hernias
    • Lumbar hernia
      • Superior lumbar hernia: herniation through the superior lumbar triangle
      • Inferior lumbar hernia: herniation through the inferior lumbar triangle
      • Lumbar incisional hernia: herniation following surgery involving the posterolateral abdominal wall (e.g., nephrectomy, aortic aneurysm repair) [5]
    • Spigelian hernia: herniation along the semilunar line; commonly adjacent to the arcuate line (i.e., below the umbilicus) [6][7]
  • Groin hernias
    • Inguinal hernia (direct or indirect)
    • Femoral hernia
  • Pelvic hernias [8][9]
    • Obturator hernia: herniation through the obturator foramen
    • Perineal hernia: herniation through the pelvic floor [9]
    • Sciatic hernia: herniation through the greater sciatic foramen or lesser sciatic foramen

By degree of complication [1][10]

  • Reducible hernia: Hernia contents can be completely returned to the peritoneal cavity.
  • Irreducible hernia (also known as incarcerated hernia): Hernia contents cannot be completely returned to the peritoneal cavity. [11]
  • Obstructed hernia: a hernia in which the lumen of the intestine within the hernial sac has become completely obstructed
  • Strangulated hernia
    • A hernia in which the contents of the hernial sac (e.g., omentum, bowel) have become ischemic due to a compromised vascular supply
    • Richter hernia: a subset of strangulated hernias in which only the antimesenteric portion of the intestinal wall is trapped by the abdominal wall defect, causing ischemia without obstruction [12][13]
  • Complex hernia: a hernia that is technically challenging to repair, requires a longer operative time, and has greater associated perioperative morbidity than a simple hernia [14]

Intermediate-sized abdominal wall defects have the highest risk of causing an incarcerated hernia. Small wall defects are less likely to allow a visceral protrusion and large wall defects are less likely to cause mechanical impingement of the contents of the hernial sac.

Reducible hernia [15][16][17]

  • History
    • Symptomatic or asymptomatic mass or fullness
    • Size decreases with recumbency
    • Size increases with sitting, standing, and/or straining
  • Physical examination
    • Nontender mass that returns to the peritoneal cavity with mild, externally applied pressure
    • Visible or palpable cough impulse: expansion of the mass with increased abdominal pressure
    • Edges of the fascial defect may be palpable.
    • Bowel sounds may be present over the mass if part of the bowel is present in the hernial sac.

Irreducible (incarcerated) hernia [15][16][17]

  • Chronic incarceration: nontender or minimally tender mass
  • Acute incarceration: Mass may be painful.
  • Neither recumbency nor external pressure significantly reduce mass size.
  • Cough impulse may be present.

Obstructed hernia [15][16][17]

  • Acute pain at the site of the hernia
  • Symptoms of bowel obstruction
  • Absent cough impulse

Strangulated hernia [15][16][17]

  • History
    • Acute pain at the site of the hernia
    • Symptoms of bowel obstruction (if part of the bowel is present in the hernial sac)
  • Physical examination
    • Tender, nonreducible hernia
    • Absent cough impulse
    • Edematous, erythematous, warm overlying skin
    • Systemic symptoms: fever, signs of sepsis

Intestinal strangulation can lead to gangrene, which can be fatal if not treated promptly.

Atypical manifestations [1][15][16][17]

Pelvic hernias

  • Obturator hernia: pain and paresthesia in the pelvis and inner thigh, episodic intestinal obstruction
  • Perineal hernia: pelvic pain, mass on rectovaginal examination
  • Sciatic hernia: symptoms of bowel obstruction, mass in the gluteal or intragluteal area

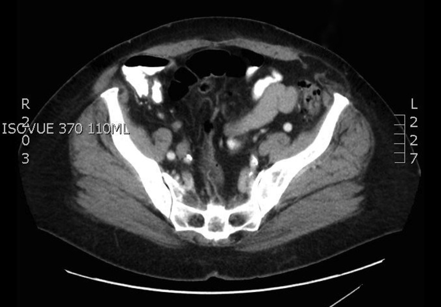
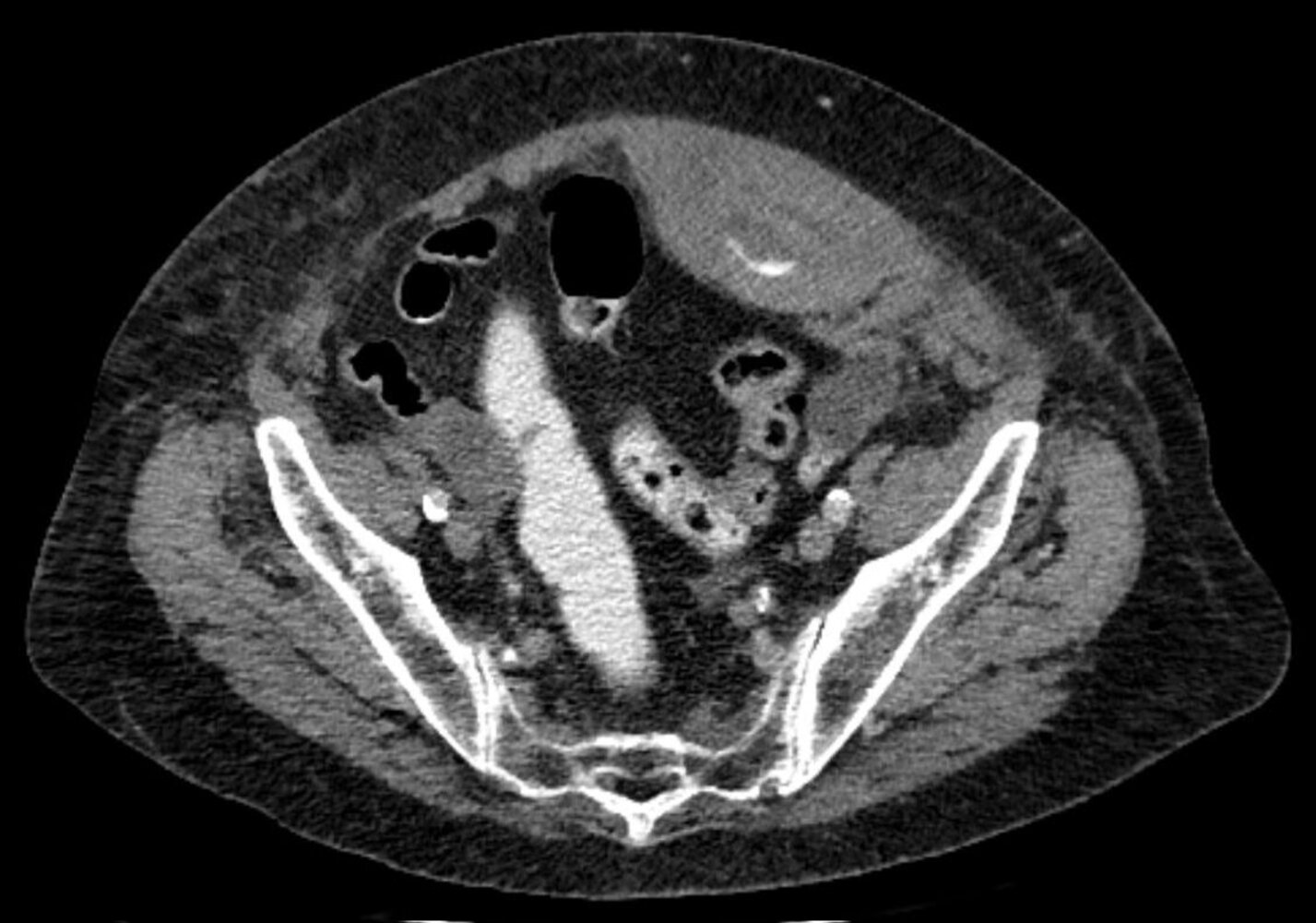
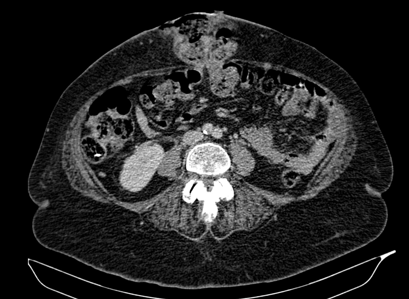
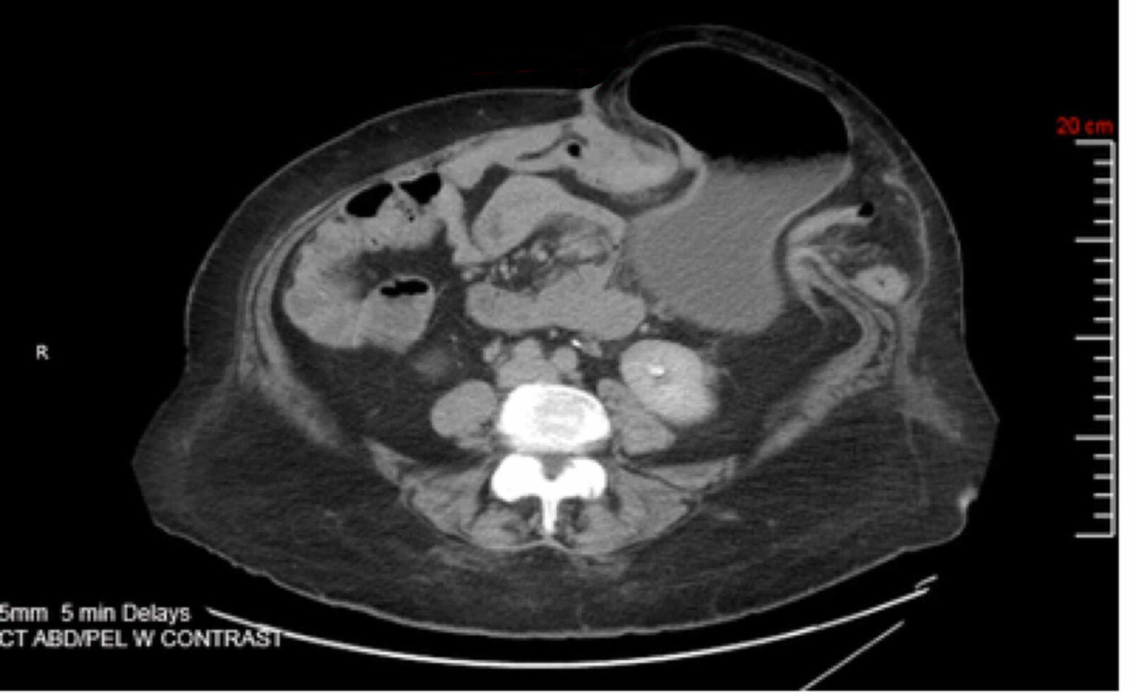
Spigelian hernia (spontaneous lateral ventral hernia, hernia of semilunar line)

  • Definition: protrusion of abdominal contents and/or peritoneum through a defect in the lower anterior abdomen adjacent to the semilunar line
  • Epidemiology: very rare (0.1–2% of all ventral hernias) [18]
  • Etiology: ↑ intraabdominal pressure (e.g., obesity, pregnancy, ascites), trauma to the abdominal wall (e.g., prior incisions), and/or degeneration of the abdominal aponeurotic layers → defect between the rectus abdominis and the semilunar line in the Spigelian aponeurosis → protrusion of abdominal contents and/or peritoneum [19]
  • Risk factors: older age, disorders of collagen synthesis (e.g., Ehlers-Danlos syndrome), smoking [18][19]
  • Clinical features: variable
    • Abdominal pain
    • Palpable mass along the Spigelian fascia [19]
  • Diagnostics: ultrasound and CT scan
  • Treatment: All Spigelian hernias must be repaired surgically because of the high risk of incarceration and/or obstruction.

General principles

  • An abdominal hernia is usually a clinical diagnosis made on physical examination.
  • Imaging may be necessary if the examination is difficult (e.g., due to tenderness, obesity, scarring) or presentation is atypical, and for surgical planning.
  • Laboratory studies are indicated if strangulation or obstruction is suspected and as part of preoperative preparation.
  • For patients presenting with acute abdominal pain, see also ā€œApproach to acute abdomen.ā€

Imaging [4][20][21]

Indications [22]

  • Unclear diagnosis, e.g., abdominal wall pain without a clinically apparent hernia
  • Suspected complication, e.g., bowel obstruction or strangulation
  • Obesity (BMI > 35 kg/m2)
  • Recurrence of incisional hernias
  • Planning for surgical repair

Modalities

  • CT abdomen
    • Sensitive imaging study for suspected bowel obstruction or strangulation [10]
    • Typically performed with both IV and PO contrast (unless contraindicated because of obstruction)
    • Can facilitate planning for complex hernia repair [23]
  • Ultrasound
    • Consider in children and for nonacute adult groin hernias.
    • Allows for dynamic assessment: The patient can perform a Valsalva maneuver or reposition themselves to induce a hernia.
  • MRI abdomen
    • Indications: to rule out musculoskeletal disorders and occult groin hernia [24]
    • Like ultrasound, MRI allows for dynamic assessment.
  • Abdominal x-ray: may be used to rapidly evaluate for bowel obstruction and perforation

Findings

  • Direct visualization and quantification of the fascial defect(s)
  • Presence of viscera in the hernial sac
  • Strangulated hernia: signs of visceral ischemia [25]
  • Obstructed hernia: radiological signs of mechanical bowel obstruction

Laboratory studies [26]

Laboratory studies may show characteristic findings if a hernia is obstructed and/or strangulated, including:

  • Findings that suggest bowel ischemia, e.g.:
    • ↑ Leukocytes
    • ↑ Lactate
  • Laboratory findings that suggest hypovolemia, e.g.:
    • Electrolyte abnormalities
    • ↑ Hematocrit

Differential diagnoses of ventral hernias

  • Diastasis recti
  • Abdominal wall tumor (e.g., desmoid tumor)
  • Lipoma
  • In newborns: omphalocele, gastroschisis

Rectus sheath hematoma

  • Definition: an accumulation of blood within the rectus sheath that most commonly arises from the disruption of a branch of the inferior epigastric artery
  • Etiology [27][28]
    • Blunt or penetrating trauma
    • Spontaneous
  • Risk factors
    • Age > 70 years
    • Anticoagulation or antiplatelet therapy
    • Coagulation disorders
    • Pregnancy [29]
  • Clinical features [28]
    • Acute onset abdominal pain
    • Palpable abdominal mass
    • Abdominal tenderness and/or guarding
    • Carnett sign
      • The patient is in the supine position and asked to sit upright while the point of maximal abdominal tenderness is palpated
      • Positive if the tenderness remains unchanged or increases during contraction of the rectus abdominis muscles
    • Fothergill sign
      • The patient is asked to lie in the supine position and contract the abdominal muscles, e.g., by lifting the head or lower limbs
      • Positive if the palpable abdominal mass does not cross the midline and remains palpable after contraction of the rectus abdominis muscles
    • Cullen sign (periumbilical ecchymosis)
    • Grey Turner sign (flank ecchymosis)
    • Signs of hypovolemic shock (e.g., tachycardia, hypotension)
  • Diagnostics [27][29]
    • Serial measurement of hematocrit and/or hemoglobin levels; anemia and/or leukocytosis may be present.
    • CT scan (confirmatory test): hematoma confined to the abdominal wall
    • Abdominal ultrasound: alternative modality to CT for children and pregnant women
  • Treatment [27]
    • Compression of the hematoma
    • Correction of abnormal coagulation
    • IV fluid resuscitation and/or blood transfusion
    • Hemodynamically unstable patients with expanding hematoma
      • Angiography with arterial embolization
      • Surgical evacuation of the hematoma and ligation of the artery

Differential diagnoses of other hernias

  • Pelvic and groin hernias
    • Inguinal lymphadenopathy
    • Cryptorchid testes
    • Lipoma
    • Femoral artery aneurysm
  • Strangulated hernia
    • Abscess
    • Hematoma
    • Lymphadenitis (strangulated groin hernias)

The differential diagnoses listed here are not exhaustive.

Surgical repair is the definitive treatment for abdominal wall hernias, but management with watchful waiting may be appropriate in select patients. See also ā€œIncisional herniaā€ and ā€œUmbilical herniaā€ for management specific to these hernia types.

Initial management [30][31]

  • Reducible hernia or chronically irreducible hernia
    • Obtain outpatient surgical consult for further management, e.g., conservative management vs. elective hernia repair.
    • Provide analgesia as needed.
  • Acutely irreducible hernia without signs of obstruction or strangulation
    • Obtain urgent surgical consult.
    • Provide analgesia as needed.
    • Consider manual hernia reduction as a temporizing measure.
    • Continue to observe the patient for signs of strangulation and obstruction.
  • Strangulated or obstructed hernia
    • Obtain emergency surgery consult and begin supportive care as needed.
      • Keep the patient NPO; consider nasogastric tube insertion.
      • Begin IV fluid resuscitation.
      • Administer parenteral analgesics and antiemetics.
    • Obstructed hernia without signs of strangulation: Consider manual hernia reduction. [32][33]
    • Signs of strangulation: Consider IV broad-spectrum antibiotics (see ā€œEmpiric antibiotic therapy for intraabdominal infectionā€). [10][34]

Treat strangulated hernias and obstructed hernias as surgical emergencies, for which operative repair is indicated within hours to prevent complications (e.g., intestinal ischemia, sepsis, and death).

Manual hernia reduction [31][32][33]

  • Indications: acutely incarcerated hernias with no signs of strangulation
  • Preparation
    • Obtain informed consent.
    • Administer analgesia; consider the need for procedural sedation.
  • Procedure
    • Ask the patient to lie in the supine position.
    • Apply ice or a cold compress over the hernia.
    • Apply slow, steady pressure to the hernia sac for up to 20 minutes.
  • Next steps
    • Reduction successful
      • Typically, patients are admitted for observation for at least 12 hours.
      • Schedule early surgical repair (often performed during the same admission).
    • Unsuccessful reduction or new signs of strangulation: prompt surgical intervention
  • Complications: visceral rupture or perforation, peritonitis, worsened ischemia

Do not attempt to reduce a strangulated hernia! Gangrenous bowel may be forced into the abdominal cavity, which can lead to peritonitis and sepsis. [30]

Nonoperative and preoperative management

  • Watchful waiting may be considered in selected patients. [4][22][23]
    • Asymptomatic patients with high perioperative risk and/or low risk of hernia complications (e.g., small umbilical hernias)
    • Asymptomatic patients with modifiable risk factors that may be treated preoperatively
  • If elective hernia repair is anticipated, consider starting preoperative lifestyle modifications (e.g., smoking cessation, weight loss) and optimization of chronic illnesses. [4][35]
  • Hernia trusses and binders may improve patient comfort but have not been found to reduce the risk of acute hernia complications. [36]

Surgical management [1]

  • Indications
    • Emergency surgery for any obstructed hernias or strangulated hernias
    • Elective surgery for all symptomatic hernias and asymptomatic hernias at risk for complications
  • Techniques (open or laparoscopic): include hernioplasty (i.e., with mesh) and herniorrhaphy (i.e., with sutures) [23][30][35]
  • Complications following surgery include: [23][35]
    • Recurrence [35]
    • Infection
    • Others: e.g., seroma, wound dehiscence, enterocutaneous fistula, chronic pain
  • Definition: herniation of intraabdominal contents through an abdominal wall defect due to previous abdominal surgery
  • Incidence: up to 20% after abdominal surgery [37][38]
  • Risk factors [22][30][38]
    • Laparotomy, especially via midline incision
    • Postoperative wound infection
    • Patient factors: smoking history, diabetes mellitus, obesity, immunosuppression, malnourishment, older age [35]
    • Emergency abdominal surgery
    • Pregnancy [1]
  • Clinical features [22][39]
    • Mass or protrusion at the site of the incisional scar that increases with coughing/straining
    • Edges of the hernial defect are palpable upon reduction of the hernia
    • Patients may be asymptomatic or present with nonspecific symptoms such as postprandial fullness.
  • Treatment [22][39]
    • Elective surgical repair (usually with mesh) is typically recommended. [30][39][40]
    • Conservative management may be considered in patients at high risk for perioperative morbidity, e.g., patients with COPD. [41]
  • Complications [22][35]
    • Strangulation or obstruction: Up to 20% of patients with a ventral hernia will require emergency surgery. [30]
    • Recurrence after repair: ∼ 15–25% of repaired incisional hernias recur [35]
  • Parastomal hernia [1][42]
    • A type of incisional hernia in which intraabdominal contents protrude through the abdominal wall defect created during stoma placement (e.g., colostomy)
    • Diagnosis: usually clinical; imaging (CT or ultrasound) may be considered if the diagnosis is uncertain.
    • Management
      • Consult ostomy nurse to help with management.
      • Asymptomatic parastomal hernias may be managed conservatively with a support garment (e.g., ostomy belt).
      • Symptomatic parastomal hernias may require surgical repair.

Umbilical hernias are defined as midline hernias at the level of the umbilicus. Ninety percent of umbilical hernias are acquired, usually as a result of increased abdominal pressure. [2][3]

Congenital vs. acquired umbilical hernias [43]
Congenital umbilical hernia [44][45][46] Acquired umbilical hernia [1][4]
Epidemiology
  • 10–20% of infantsborn at term have a congenital hernia
  • ∼ 10% of all adult abdominal hernias are acquired umbilical hernias [3]
Site of hernial defect
  • Umbilical orifice
  • Direct: umbilical orifice
  • Indirect (paraumbilical hernia): adjacent to the umbilical orifice
Etiology
  • Delayed spontaneous closure of the umbilical ring following physiological herniation of the midgut → patent umbilical orifice
  • For more information, see ā€œEmbryologyā€ in ā€œGastrointestinal tract.ā€
  • Reopening of the previously closed umbilical ring or surrounding tissue
Risk factors
  • Persistently raised intraabdominal pressure
  • Other congenital anomalies (e.g., Down syndrome, trisomy 18, congenital hypothyroidism)
  • Persistently raised intraabdominal pressure
Clinical features
  • Mass that protrudes through the umbilicus covered by skin
  • Mass increases with increased abdominal pressure (e.g., as a result of crying, coughing, straining)
  • Reduces in size in recumbent position
  • Hernia can be completely reduced (unless incarcerated).
  • Direct hernia: mass that protrudes symmetrically through the umbilicus
  • Indirect hernia: mass that protrudes adjacent to the umbilical orifice, pushing the umbilicus into a crescent shape
  • Fascial defect is often small.
Risk of developing complications (incarceration, obstruction, strangulation, or rupture)
  • Low
  • Low, but higher than in congenital umbilical hernias [43]
Treatment
  • Conservative: ∼ 90% will spontaneously close by 2 years of age
  • Surgery (rarely necessary)
    • Large umbilical hernias (defect > 1.5–2 cm) in children > 2–3 years of age
    • No evidence of spontaneous closure by 5 years of age
    • Patients with incarcerated, obstructed, or strangulated umbilical hernias
  • Surgical repair, usually with mesh
  • Conservative management may be appropriate for small, asymptomatic hernias
Differential diagnosis
  • Omphalocele, gastroschisis (see ā€œOverview of abdominal wall defectsā€)
  • Epigastric hernia
  • Epigastric hernia
  • Spigelian hernia
  • Incisional hernia [30]

Up to 20% of patients with cirrhosis develop an umbilical hernia. [30]