Guest Mode
AMBOSS Articles/ Surgery > Abdominal Surgery > Esophagus

Achalasia

Achalasia is a condition characterized by impaired relaxation of the lower esophageal sphincter (LES) due to degeneration of inhibitory neurons within the esophageal wall. Symptoms include dysphagia to both solids and liquids (most common), regurgitation, retrosternal pain, and weight loss. High-resolution esophageal manometry is the preferred test to confirm the diagnosis. Upper endoscopy is indicated for all patients to rule out pseudoachalasia, which manifests similarly to achalasia but is caused by another underlying condition (e.g., malignancy). Barium esophagram is often obtained to support the diagnosis and/or assess treatment outcomes in patients with persistent or recurrent symptoms. Definitive treatment options are pneumatic dilation, laparoscopic Heller myotomy, and peroral endoscopic myotomy (POEM); the choice depends on the subtype of achalasia. If definitive treatment is not possible, an injection of botulinum toxin may be used. Medical therapy (e.g., nifedipine) may be considered as a last resort option.

  • Esophageal motility disorder characterized by inadequate relaxation of the lower esophageal sphincter (LES) and nonperistaltic contractions in the distal two-thirds of the esophagus due to the degeneration of inhibitory neurons
  • Etymology: A (absent) -chalasia (relaxation)
  • Rare disorder (∼ 1.6/100,000 individuals) [1]
  • Most commonly occurs in middle-aged individuals

Epidemiological data refers to the US, unless otherwise specified.

The cause of achalasia is unknown but may be associated with autoimmune processes, genetic factors, and/or viral infections. [2]

  • Swallowing is controlled through excitatory (acetylcholine, substance P) and inhibitory (NO, VIP) neurohumoral substances.
  • Atrophy of inhibitory neurons in the Auerbach plexus → lack of inhibitory neurotransmitters (e.g., NO, VIP) → inability to relax and increased resting pressure of the LES, as well as dysfunctional peristalsis → esophageal dilation proximal to LES

Chicago classification [3]

Achalasia is classified based on high-resolution esophageal manometry findings.

  • Type I achalasia: aperistalsis with no increased pressure (20–40% of patients) [3]
  • Type II achalasia: aperistalsis with panesophageal pressurization ≄ 30 mm Hg (50–70% of patients) [3]
  • Type III achalasia: spastic contractions with or without panesophageal pressurization (∼ 5% of patients) [3]
  • Dysphagia to solids and liquids; can be progressive; or paradoxical dysphagia (difficulty swallowing liquids, while solids are easily swallowed)
  • Regurgitation
  • Retrosternal pain and cramps
  • Weight loss

Achalasia typically manifests with progressive dysphagia to solids and liquids while esophageal obstruction manifests with dysphagia to solids only.

Approach

  • Consider achalasia in patients with:
    • Clinical features of achalasia
    • A suspected diagnosis of GERD unresponsive to PPI treatment [3]
  • Obtain upper endoscopy to rule out pseudoachalasia.
  • Obtain high-resolution esophageal manometry to confirm the diagnosis and classify subtype.
  • Consider barium esophagram to confirm the diagnosis if manometry is inconclusive.

Upper endoscopy [2][3][4]

  • Indication: : to rule out pseudoachalasia or other causes of obstruction
  • Findings
    • Often normal in patients with achalasia
    • Suggestive findings include:
      • Retained saliva and/or food
      • Esophageal dilatation
      • Puckered gastroesophageal junction with increased resistance during passage with the endoscope

Perform additional studies including endoscopic ultrasound and biopsy if malignancy is suspected.

High-resolution esophageal manometry (HRM) [2][3][4]

  • Indication: gold standard to confirm achalasia and determine subtype by measuring LES pressure and esophageal peristalsis
  • Findings
    • Absent or uncoordinated peristalsis in the lower two-thirds of the esophagus
    • Impaired LES relaxation (i.e., incomplete or absent) with increased LES resting pressure [5]
    • Possibly increased panesophageal pressure

Barium esophagram [2][3][4]

Timed barium esophagram (TBE) is preferred if available. [2]

  • Indications
    • To support the diagnosis if HRM results are unclear
    • To assess treatment outcome in patients with persistent or recurrent symptoms
  • Findings
    • May be normal
    • Suggestive findings include:
      • Bird-beak sign: dilatation of the proximalesophagus with stenosis of the gastroesophageal junction
      • Delayed barium emptying or barium retention

Additional studies

  • Functional lumen imaging probe (FLIP) [2][3][4]
    • Endoscopic tool used to measure esophageal pressure, diameter, and function
    • May be used as an additional tool to support diagnosis if results are unclear
  • Cross-sectional imaging: for further evaluation if malignant causes of pseudoachalasia are suspected [2]
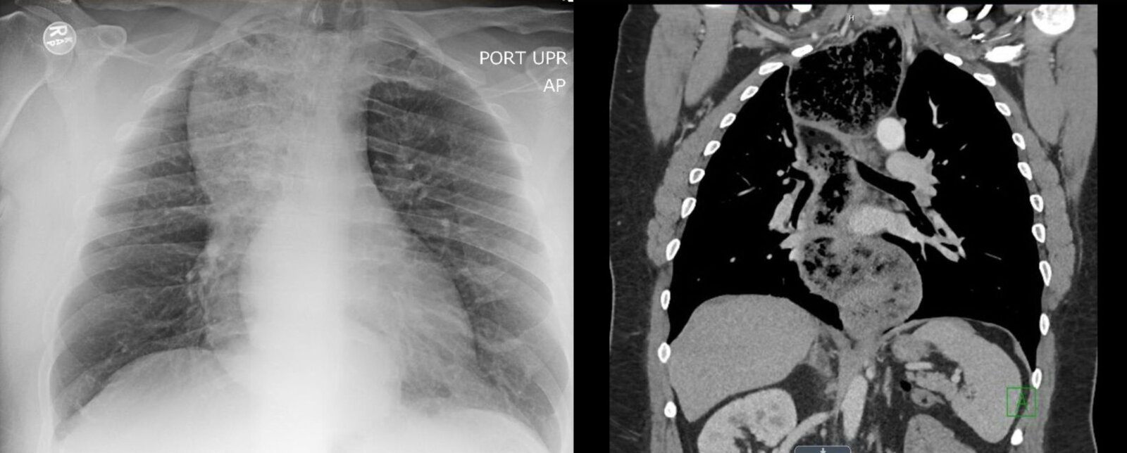
  • Chest x-ray
    • Not routinely indicated
    • May show supportive findings, e.g.: [6]
      • Widened mediastinum
      • Air-fluid level on lateral view
      • Possible absence of gastric bubble

Signs of pseudoachalasia include a short duration of < 1 year and significant weight loss. [2]

Differential diagnoses of achalasia

  • Pseudoachalasia (secondary achalasia) refers to symptoms and/or diagnostic findings (e.g., impaired LES relaxation) that mimic achalasia but are caused by another condition, e.g.: [2]
    • Esophageal cancer [7]
    • Gastric cancer and other extraesophageal cancers (symptoms may be due to mass effect or paraneoplasia)
    • Chagas disease [8]
    • Amyloidosis [9]
    • Neurofibromatosis type I [10]
    • Sarcoidosis [11]
    • Extrinsic compression (e.g., mediastinal lymphadenopathy)
  • Schatzki ring
  • Esophageal stricture
  • Scleroderma
  • Other esophageal motility disorders

CHAgas disease may lead to secondary aCHAlasia.

Esophageal motility disorders

  • Esophageal motility disorders include disorders of hypomotility (e.g., achalasia) and hypermotility (e.g., diffuse esophageal spasm). [12][13][14]
  • Achalasia is the best described hypomotile esophageal disorder.
  • Diffuse esophageal spasm and hypercontractile esophagus are the best described hypermotile esophageal disorders.
  • Hypertensive peristalsis (nutcracker esophagus; super-squeeze esophagus)
    • Previously considered a hypermotile esophageal disorder; manifests with retrosternal chest pain and dysphagia
    • On conventional esophageal manometry, hypertensive peristalsis is characterized by propagative high-amplitude (> 220 mm Hg) esophageal contractions.
      • With the emergence of high-resolution esophageal manometry (HRM), the clinical relevance of hypertensive peristalsis as a diagnosis has been questioned.
    • If HRM is not available and symptomatic patients have esophageal peristalsis with an amplitude > 220 mm Hg, treatment is the same as for esophageal hypermotility disorders.
Esophageal motility disorders [12][13][14]
Normal esophagus Achalasia Diffuse esophageal spasm (distal esophageal spasm, corkscrew esophagus, rosary bead esophagus) Hypercontractile esophagus (jackhammer esophagus)
Clinical features
  • None
  • Progressive dysphagia or paradoxical dysphagia
  • Regurgitation of undigested food and/or saliva
  • Weight loss
  • Dysphagia
  • Retrosternal squeezing chest pain, similar to angina; occurs with eating
  • Regurgitation
  • Retrosternal chest pain
  • Dysphagia
  • Regurgitation
Lower esophageal sphincter (LES) pressure and relaxation
  • Normal
  • LES pressure: high (failure to relax)
  • LES relaxation: incomplete/absent
  • Normal
  • Normal
Contraction waves
  • Progressive (toward the LES)
  • Early stage: uncoordinated or simultaneous nonperistaltic contractions [2]
  • Later stages: aperistalsis [2]
  • Simultaneous, nonprogressive, repetitive
  • Nonperistaltic contractions
  • Vigorous propagative contractions
Barium esophagram
  • Normal
  • Dilated esophagus that tapers distally (bird-beak sign/rat's tail appearance)
  • LES spasm and delayed barium emptying
  • May be normal between episode
  • Corkscrew esophagus (pseudodiverticulosis)
  • Typically normal
Esophageal manometry
  • Normal (40–100 mm Hg)
  • High LES resting pressure
  • High esophageal body pressure
  • Low peristaltic contraction pressure
  • Simultaneous multi-peak premature contractions
  • ≄ 10% of swallows have simultaneous contractions with mean amplitude ≄ 30 mm Hg. [15]
  • Intermittent normal peristalsis
  • N/A
High-resolution esophageal manometry [12]
  • Distal contractile integral (DCI) < 5000 mm Hg/second/cm
  • Distal latency (DL) ≄ 4.5 seconds
  • ↑ LES relaxation pressure
  • See ā€œAchalasia subtypes.ā€
  • DCI < 5000 mm Hg/second/cm
  • DL < 4.5 seconds in at least 20% of swallows
  • DCl > 8000 mm Hg/second/cm
Treatment
  • N/A
  • See ā€œTreatment of achalasia.ā€
  • Avoid trigger foods.
  • Medical
    • Calcium channel blockers
    • Nitrates
  • Endoscopic therapy
    • Botox injections
    • Endoscopic myotomy
    • Consider bougie or pneumatic dilation.
  • Surgery: long myotomy (for intractable symptoms)

The differential diagnoses listed here are not exhaustive.

General principles [3][4]

  • The goal of treatment is to reduce LES pressure to improve symptoms and prevent progression.
  • Offer definitive treatment (if feasible) depending on the achalasia subtype.
    • Type I or II: Choose any definitive treatment.
    • Type III: POEM is preferred.
  • Consider pharmacological treatment if definitive treatment options are contraindicated or unsuccessful.
  • Esophagectomy may be indicated in end-stage achalasia (e.g., with megaesophagus).

Definitive treatment [3][4]

  • Pneumatic dilation
    • Fluoroscopy- or endoscopy-guided graded balloon dilation of the LES that tears the surrounding muscle fibers
    • Indication: type I or II achalasia
    • Should only be performed if surgical support is available as there is a 2% risk for esophageal perforation [3]
  • Laparoscopic Heller myotomy (LHM)
    • Surgical procedure in which the LES is incised longitudinally
    • Indication: type I or II achalasia
    • Often performed with fundoplication to reduce postoperative risk of GERD
  • Peroral endoscopic myotomy (POEM)
    • Endoscopy-guided myotomy of the inner circular muscle layer of the LES (the longitudinal muscle layer is preserved)
    • Indications
      • Any achalasia type (preferred definitive treatment for type III) [4]
      • May be considered in other esophageal motility disorders (e.g., diffuse esophageal spasm)

Pharmacological treatment [3][4]

  • Botulinum toxin injection
    • Botulinum toxin is injected into the LES during endoscopy.
    • Indication: any achalasia type in patients who cannot undergo definitive treatment
    • Highly effective but temporary [3]
  • Oral medication [3]
    • Least effective treatment
    • May be considered if other measures are unsuccessful or contraindicated [3]
    • Options
      • Calcium channel blockers, e.g., nifedipine (off-label) [3]
      • Nitrates, e.g., isosorbide dinitrate (off-label) [3]
  • Pulmonary complications (e.g., pneumonia, abscess, asthma) caused by aspiration
  • Megaesophagus
  • Increased risk of esophageal cancer

Although patients with achalasia are at higher risk for esophageal cancer, routine cancer screening is not recommended.

We list the most important complications. The selection is not exhaustive.