Guest Mode
AMBOSS Articles/ Surgery > Neurosurgery

Acoustic Neuroma

Acoustic neuromas (also known as vestibular schwannomas) are benign tumors that arise from Schwann cells and primarily originate within the vestibular portion of cranial nerve VIII. The tumor forms within the internal acoustic canal with variable extension into the cerebellopontine angle. Most tumors are unilateral. Bilateral acoustic neuromas strongly suggest the genetic condition neurofibromatosis type II. Symptoms are related to compression of cranial nerves VIII, V, VII, and the cerebellum. The most common symptom is unilateral sensorineural hearing loss. Diagnosis of acoustic neuroma involves audiometry that demonstrates ipsilateral sensorineural hearing loss and MRI with contrast to confirm the tumor. For patients with large tumors or significant hearing loss, the treatment of choice is surgical removal or radiation therapy. However, observation with follow-up may be appropriate for patients with smaller tumors and minimal hearing loss. On average, the prognosis is favorable, as acoustic neuromas are usually benign, slow-growing tumors with low recurrence rates.

  • Benign tumors that arise from Schwann cells
  • Median age: 52 years [1]
  • Incidence: 4:100,000 people per year (♂ = ♀) [1]
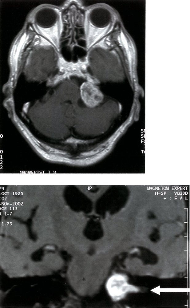
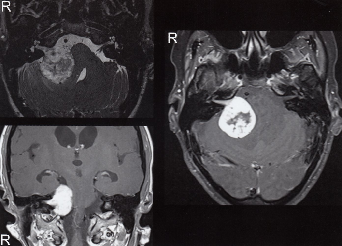
  • Commonly located within the internal acoustic canal and can extend into the cerebellopontine angle (most common tumor of the cerebellopontine angle)
  • Most commonly unilateral [2]

Bilateral acoustic neuromas are strongly associated with neurofibromatosis type II.

Epidemiological data refers to the US, unless otherwise specified.

  • Early symptoms: as a result of tumor expansion into the internal acoustic canal (internal auditory meatus), causing pressure on the vestibulocochlear nerve (CN VIII)
    • Cochlear nerve involvement
      • Unilateral sensorineural hearing loss (most common symptom)
      • Tinnitus
    • Vestibular nerve involvement
      • Dizziness [3]
      • Unsteady gait and disequilibrium
  • Late symptoms: caused by pressure of adjacent structures within the cerebellopontine angle
    • Trigeminal nerve (CN V) involvement; : paresthesia (numbness), hypoesthesia (decreased sensation), and/or unilateral facial pain
    • Facial nerve (CN VII) involvement; : peripheral, unilateral facial weakness that can progress to paralysis [3]
    • Compression of structures in posterior fossa
      • Cerebellum: ataxia
      • 4th ventricle: hydrocephalus

  • Cranial nerve testing
    • Cochlear nerve (CN VIII): sensorineural hearing loss
      • Audiometry
        • Hearing loss with a greater deficit for higher frequencies
        • Best initial test: > 90% of patients will have some type of hearing loss. [2]
      • Weber test: lateralization to the normal ear
      • Rinne test: air conduction > bone conduction in both ears
      • Brainstem-evoked audiometry: delay in cochlear nerve conduction time on affected side finding
        • Can be used as an additional test in patients with asymmetric audiometry findings
        • More cost-effective but less sensitive than an MRI
    • Trigeminal nerve (CN V): ipsilateral decreased corneal reflex
    • Facial nerve (CN VII): ipsilateral facial twitching or weakness
  • Contrast MRI (imaging modality of choice)
    • Recommended in patients with abnormal audiometric testing or high clinical suspicion of acoustic neuroma (cerebellopontine angle syndrome)
    • CT with and without contrast is an alternative for those who cannot undergo MRI.
    • Shows an enhancing lesion by the internal auditory canal, with possible extension into the cerebellopontine angle

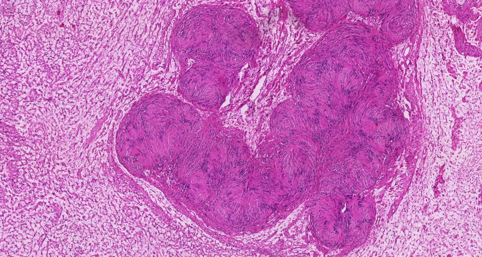
  • Gross findings: encapsulated firm mass
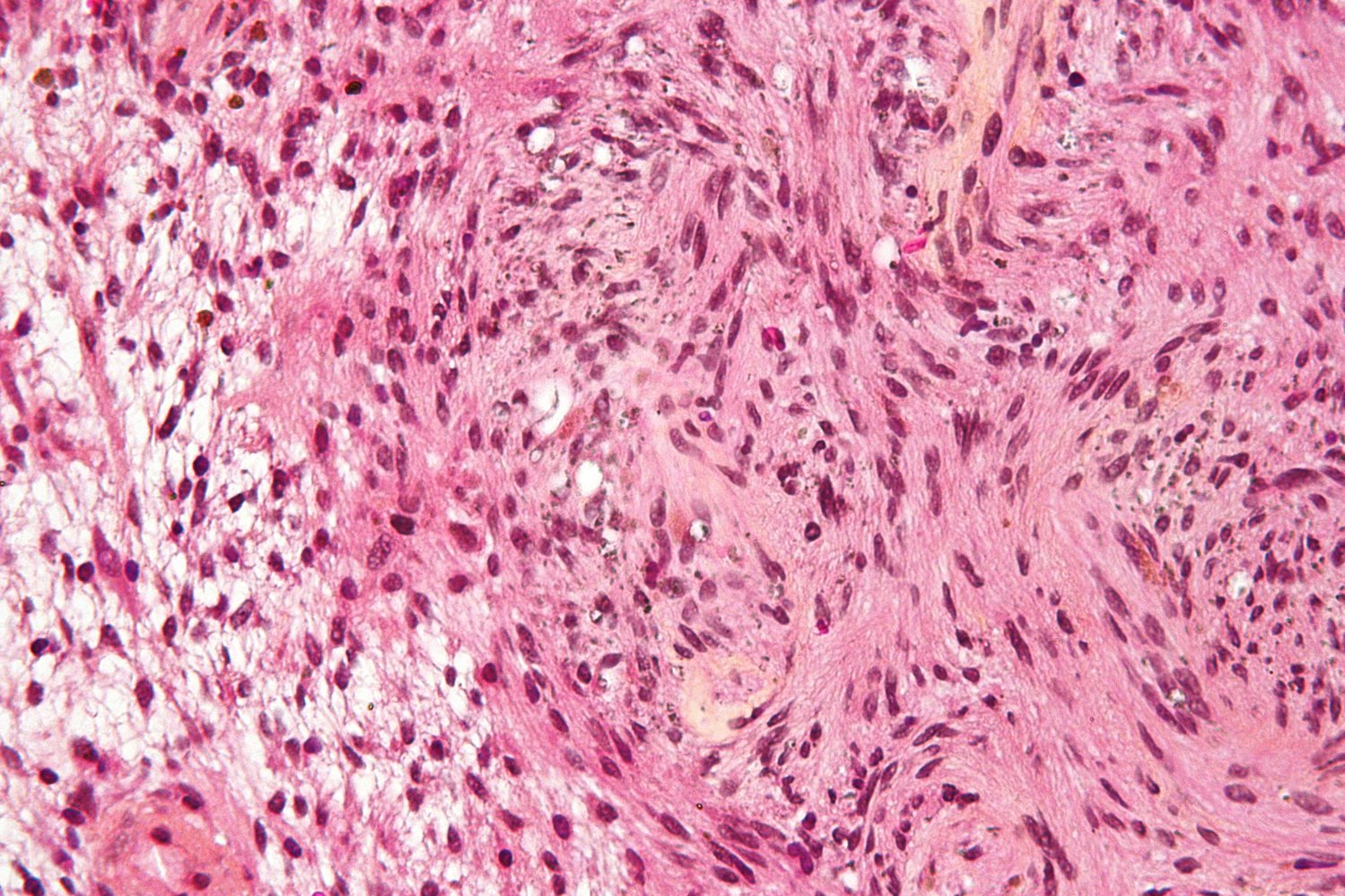
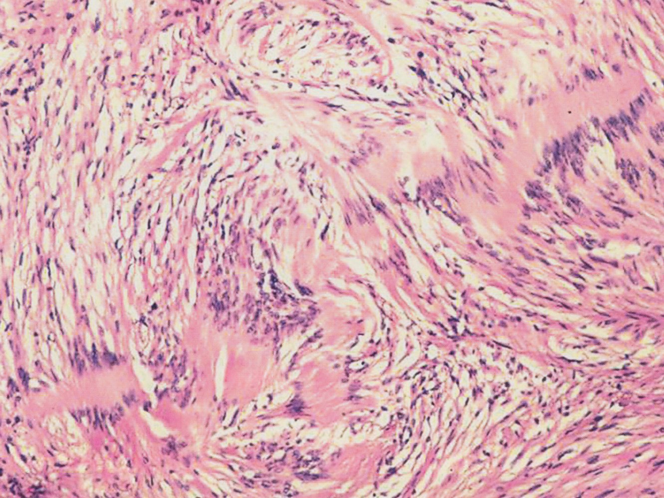
  • Microscopic findings
    • Spindle cells in palisades (Antoni A tissue) alternating with myxoid hypocellular areas (Antoni B tissue)
    • S-100 positive

  • For those with large tumors or significant hearing loss, the main treatment options are surgery or radiation therapy.
  • Observation of the tumor can be considered in patients with small tumors or minimal hearing loss, or if they are of advanced age. These patients should undergo MRI surveillance every 6–12 months. [4]
  • Good prognosis: Neuromas are a WHO grade I brain tumor with a low rate of recurrence (< 5%). [2]