Guest Mode
AMBOSS Articles/ Family Medicine > Dermatologic Disorders

Actinic Keratosis

Actinic keratosis is a UV-induced precancerous lesion that manifests as rough, scaly skin papules or plaques. Lesions either spontaneously regress, persist, or progress to cutaneous squamous cell carcinoma. Actinic keratosis is usually a clinical diagnosis, but a skin biopsy may be necessary if there is diagnostic uncertainty. The choice of treatment varies depending on the number and distribution of lesions. Lesion-directed therapy (e.g., cryosurgery) is usually used for patients with isolated or few lesions, while field-directed therapy with topical agents (e.g., imiquimod, 5-fluorouracil) or photodynamic therapy are used for patients with multiple lesions in one contiguous area.

  • Occurs on areas of sun-exposedskin
  • Most commonly seen in individuals with light skin who are over the age of 50
  • Initially: small lesion (papule or plaque) with rough surface (sandpaper-like texture)
  • Later: Lesions grow and become brown or erythematous and scaly.

  • Actinic cheilitis: actinic keratosis on the lower lip
  • Cutaneous horn
    • Benign growth composed of keratin that resembles a horn
    • May develop from preexisting actinic and seborrheic keratoses or warts
    • Can progress to squamous cell carcinoma (SCC)
    • Treatment of choice is surgical excision with a margin.

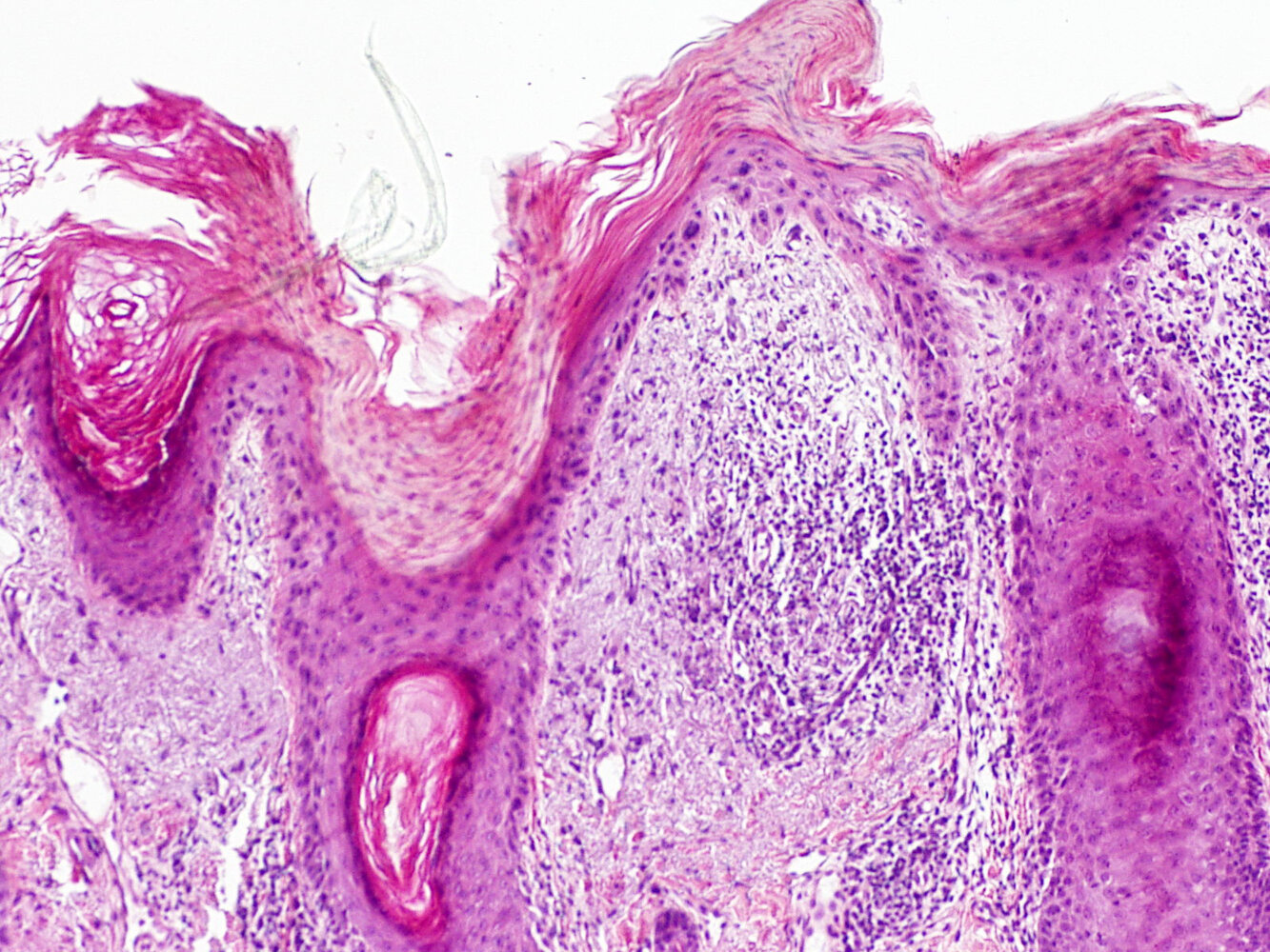
  • Usually a clinical diagnosis
  • Diagnostic uncertainty: Perform a skin biopsy.
  • Atypical cells in the basal and squamous layers
  • Hyperkeratosis and parakeratosis
  • Granular layer is usually absent.

Management is aimed at improving cosmesis and symptoms and decreasing the risk of malignant transformation to cutaneous squamous cell carcinoma. Refer to dermatology for assistance with management as needed. [2][3]

  • Single or few lesions: lesion-directed treatment [2]
    • Cryosurgery with liquid nitrogen [2]
    • Curettage: consider for thick lesions [3]
    • Laser ablation
  • Multiple lesions in one contiguous area: field-directed treatment [2]
    • Topical agents
      • Topical 5-fluorouracil (5-FU) [3]
      • Imiquimod [3]
      • Tirbanibulin [4]
      • Topical diclofenac : Avoid in patients with contraindications to NSAIDs.
    • Photodynamic therapy
  • Limited life expectancy or high risk of mortality from treatment: Consider expectant management.

Recommend photoprotective measures to all patients with actinic keratoses to prevent the development of additional lesions. [2]

Topical therapies for actinic keratosis can cause local skin reactions. [2]

Recommend photoprotective measures to all individuals. [2]

Actinic keratoses are caused by exposure to UV light. [2]

  • Lesions may either regress, persist, or progress to cutaneous squamous cell carcinoma (SCC).
  • The degree of epithelial dysplasia determines the risk of cutaneous squamous cell carcinoma.