Diagnostic approach
- ABCDE survey
- Targeted clinical evaluation (e.g., Rovsing sign)
- CBC with differential
- CRP
- BMP
- Urinalysis
- β-hCG
- Consider risk stratification tools for acute appendicitis.
- Ultrasound abdomen or CT abdomen with IV contrast
![]()
![]()
Red flag features
- Peritoneal signs
- Sepsis or septic shock
- High-grade fever
- Tachycardia
- Severe RLQ pain
- Decreased bowel sounds
- Hemodynamic instability
Management checklist
- Consult general surgery.
- NPO
- IV access and IV fluid therapy
- Electrolyte repletion
- Parenteral analgesics
- Parenteral antiemetics as needed
- Empiric antibiotic therapy for acute appendicitis
![]()
Surgery for acute uncomplicated appendicitis can safely be delayed for up to 24 hours from diagnosis.
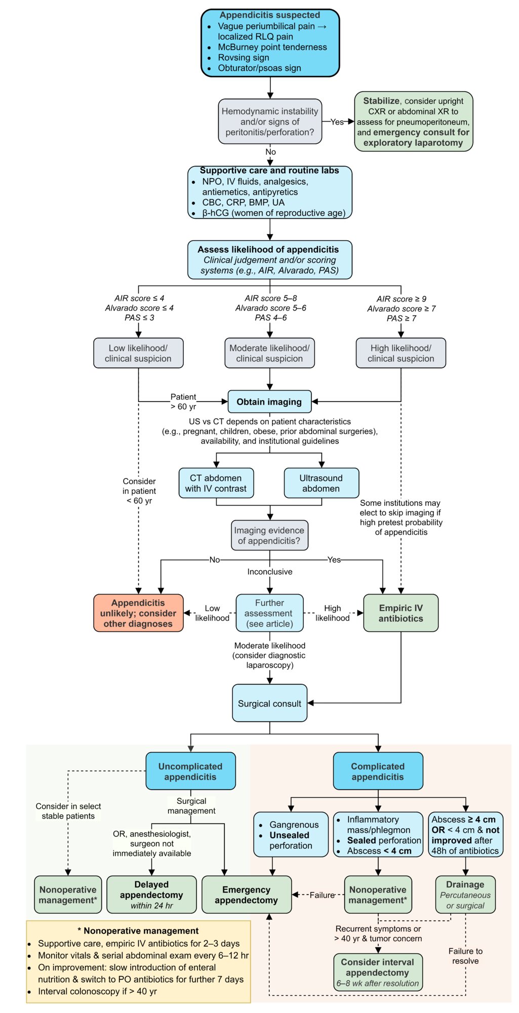
Acute appendicitis is the acute inflammation of the appendix, typically due to an obstruction of the appendiceal lumen. It is the most common cause of acute abdomen requiring emergency surgical intervention in both children and adults. The characteristic features of acute appendicitis are periumbilical abdominal pain that migrates to the right lower quadrant (RLQ), anorexia, nausea, fever, and RLQ tenderness. When seen alongside neutrophilic leukocytosis, these features are sufficient to make a clinical diagnosis using appendicitis scoring systems to estimate the likelihood of appendicitis. Imaging (e.g., abdominal CT with IV contrast, abdominal ultrasonography) may be considered if the clinical diagnosis is uncertain. The current standard of management of acute uncomplicated appendicitis is appendectomy within 24 hours of diagnosis (laparoscopic or open) and antibiotics. Emergency appendectomy is indicated for patients with systemic complications. Nonoperative management (NOM), which includes bowel rest, antibiotics, and analgesics, is indicated in patients with an inflammatory appendiceal mass (phlegmon) or an appendiceal abscess, because surgical intervention is associated with a higher risk of complications in these patient groups. Interval appendectomy 6–8 weeks following resolution of the acute episode may be considered in these patients to prevent a recurrence or if there is concern for an underlying appendiceal tumor.
- Appendicitis: acute inflammation of the vermiform appendix
- Uncomplicated appendicitis: appendicitis with no evidence of an appendiceal fecalith, an appendiceal tumor, or complications, such as perforation, gangrene, abscess, or mass [1]
- Complicated appendicitis: appendicitis associated with perforation, gangrene, abscess, an inflammatory mass, an appendiceal fecalith, or an appendiceal tumor [1]
- Common cause of acute abdomen [2]
- Lifetime risk: ∼ 8%
- Peak incidence: 10–19 years of age [3]
- Sex: ♂ > ♀
References:[2][3]
Epidemiological data refers to the US, unless otherwise specified.
Caused by obstruction of the appendiceal lumen due to:
- Lymphoid tissue hyperplasia (60% of cases): most common cause in children and young adults
- Appendiceal fecalith (concretion of feces that develops in the appendix that can obstruct the appendiceal lumen) and fecal stasis (35% of cases): most common cause in adults
- Neoplasm (uncommon): more likely in patients > 50 years of age [4]
- Parasitic infestation (uncommon): e.g., Enterobius vermicularis, Ascaris lumbricoides, and species of the Taenia and Schistosoma genera [5]
-
Obstructed proximal appendiceal lumen (closed-loop obstruction), resulting in:
- Stasis of mucosal secretions → bacterial multiplication and local inflammation → transmural spread of infection → clinical features of appendicitis
- Increased intraluminal pressure → obstruction of veins → edema of the appendiceal walls → obstruction of capillaries → ischemia → gangrenous appendicitis with/without perforation
- Inflammation can spread to serosa, leading to peritonitis
-
Migrating abdominal pain: most common and specific symptom
- Typically constant and rapidly worsens
- Most patients present within 48 hours of symptom onset.
- Initial diffuse periumbilical pain: caused by the irritation of the visceral peritoneum (pain is referred to T8–T10 dermatomes) [6]
- Localizes to the RLQ within ∼ 12–24 hours: caused by the irritation of the parietal peritoneum
-
Associated nonspecific symptoms
- Nausea
-
Anorexia
- In up to 80% of cases
- Hamburger sign: If there is no loss of appetite, appendicitis is unlikely. [7]
- Vomiting
- Low-grade fever
- Diarrhea
- Constipation
-
Clinical signs of appendicitis
-
McBurney point tenderness (RLQ tenderness)
- Tenderness at the junction of the lateral third and medial two-thirds of a line drawn from the right anterior superior iliac spine to the umbilicus
- This point corresponds to the location of the base of the appendix.
- RLQ guarding and/or rigidity
- Rebound tenderness (Blumberg sign), especially in the RLQ
- Rovsing sign: RLQ pain elicited on deep palpation of the LLQ [8]
-
Psoas sign: can be performed in two different ways
- Can be elicited on flexing the right hip with stretched leg against resistance
- RLQ pain may be elicited on passive extension of the right hip when the patient is positioned on their left side.
- Obturator sign: RLQ pain on passive internal rotation of the right hip with the hip and knee flexed
- Hyperesthesia within Sherren triangle: formed by the anterior superior iliac spine, umbilicus, and symphysis pubis
- Lanz point tenderness: at the junction of the right third and left two-thirds of a line connecting both the anterior superior iliac spines
- Pain in the Pouch of Douglas: pain elicited by palpating the rectouterine pouch on rectal examination
- Baldwin sign: pain in the flank when flexing the right hip (suggests an inflamed retrocecal appendix)
-
McBurney point tenderness (RLQ tenderness)
The location of the pain may be variable as the appendix's location varies, especially in pregnant women. [9]
![]()

The following recommendations apply to adult patients and are consistent with the 2020 World Society of Emergency Surgery (WSES) appendicitis guidelines, the 2018 American Association for the Surgery of Trauma (AAST) appendicitis guidelines, and the 2023 American College of Emergency Physicians (ACEP) clinical policy on acute appendicitis. See “Special patient groups” for modifications for pediatric, obstetric, and geriatric patients. [10][11][12]
Initial management [10][11][13][14]
- Perform rapid clinical evaluation using ABCDE approach.
- Screen for peritoneal signs (e.g., due to perforated appendix) or sepsis.
- Establish IV access and obtain blood samples for laboratory studies.
- Provide immediate hemodynamic support if necessary.
- Keep patients NPO and initiate supportive care: e.g., IV fluids, analgesia, antiemetics
-
Determine the likelihood of diagnosis based on a combination of:
- Patient demographics (e.g., age, sex)
- Clinical features of appendicitis
- Initial laboratory studies (see “Diagnostics”)
- Appendicitis risk scores, e.g., AIR score [10][11]
- Proceed with subsequent management based on the likelihood of diagnosis.
Subsequent management [10][11][13][14]
Diagnostic imaging is often performed for most patients. A selective and individualized approach is generally recommended to minimize patient exposure to radiation and expedite care. [10][11][15][16]
![]()
Low likelihood of appendicitis
- Associated scores: AIR score≤ 4, Alvarado score ≤ 2–4
-
Management: Additional testing for appendicitis may not be required. [10]
- Consider other differential diagnoses of acute abdominal pain.
- Perform further diagnostic workup of acute abdominal pain as needed.
-
Next steps: Determine disposition. [11]
- Consider discharge home with follow-up within 24 hours in select patients (e.g., motivated adults < 40 years old with clinical stability and no red flags for abdominal pain) [10][16][17]
- Consider observation, reassessment (e.g., every 6–8 hours), and/or diagnostic imaging for:
- Suspected early appendicitis
- Unclear underlying cause of symptoms
- Older adults (e.g., ≥ 65 years old) [14][18]
A low appendicitis risk score alone is insufficient to exclude appendicitis in adults ≥ 65 years old with RLQ pain, who have a higher risk of serious underlying illness. These patients require a period of observation, at minimum, and a low threshold should be maintained for diagnostic imaging. [19]
Moderate likelihood of appendicitis
- Associated scores: AIR score≤ 5–8, Alvarado score ≤ 5–6
- Management: confirmatory imaging required, e.g., ultrasound abdomen, CT abdomen (See “Diagnostics.”)
-
Next steps
- Imaging confirms appendicitis: See “High likelihood of appendicitis”.
- Imaging is inconclusive or negative for appendicitis [20]
- Low index of suspicion: See “Low likelihood of appendicitis.”
- High index of suspicion: Consult surgery.
- Consider admission, serial abdominal examination, and repeat imaging or diagnostic laparoscopy. [14][20][21][22]
- Consider empiric antibiotic therapy for acute appendicitis (for at least 3 days). [20]
High likelihood of appendicitis [20]
- Associated scores: AIR score≥ 9, Alvarado score ≥ 7–9
-
Management: Urgent surgical consult for admission and definitive treatment required
- Begin empiric antibiotic therapy for acute appendicitis.
- Arrange preoperative CT abdomen as needed (e.g., for patients > 40 years old). [11]
-
Next steps
- Laparoscopic appendectomy within 24 hours for uncomplicated appendicitis (no signs of sepsis or complicated appendicitis)
- Emergency appendectomy for complicated appendicitis with systemic manifestations (e.g., generalized peritonitis or sepsis)
-
Nonoperative management of appendicitis
- Recommended for complicated appendicitis with an appendiceal phlegmon or appendiceal abscess
- Consider in select patients who present with early uncomplicated appendicitis in close consultation with a surgeon.
These tools use clinical findings and laboratory values to estimate the probability of acute appendicitis and can help inform management in adults. The pediatric appendicitis score can be applied in children. [9][10][11][12][16]
Appendicitis inflammatory response score (AIR Score) [9]
- A relatively new scoring system that emphasizes laboratory parameters and graded clinical findings to provide a more objective clinical evaluation
- Provides a more accurate estimated likelihood of acute appendicitis than the Alvarado scoring system [23]
| Appendicitis inflammatory response score [24] | |||
|---|---|---|---|
| Characteristics | Score | ||
| Symptoms | Vomiting | 1 | |
| RLQ pain | 1 | ||
| Physical examination | Rebound tenderness | Mild | 1 |
| Moderate | 2 | ||
| Strong | 3 | ||
| Temperature ≥ 38.5°C (101.3°F) | 1 | ||
| Laboratory parameters | Leukocytosis | 10,000/mm3–14,999/mm3 | 1 |
| ≥ 15,000/mm3 | 2 | ||
| PMN | 70–84% | 1 | |
| ≥ 85% | 2 | ||
| CRP | 10–49 mg/L | 1 | |
| ≥ 50 mg/L | 2 | ||
Likelihood of appendicitis
| |||
Alvarado score (MANTRELS) [9][14][16][25][26]
- A 10-point scoring system that uses eight parameters to estimate the likelihood of appendicitis
- Accuracy is higher in young to middle-aged adults than in children < 10 years of age and adults > 60 years of age. [27]
| Alvarado score (MANTRELS)[28] | ||
|---|---|---|
| Characteristics | Score | |
| Symptoms | Migration of pain to RLQ | 1 |
| Anorexia | 1 | |
| Nausea and/or vomiting | 1 | |
| Physical examination | Tenderness in RLQ | 2 |
| Rebound pain | 1 | |
| Elevated temperature > 37.3°C (99.1°F) | 1 | |
| Laboratory parameters | Leukocytosis (> 10,000/mm3) | 2 |
| Shift to the left and/or ≥ 75%neutrophils | 1 | |
Likelihood of appendicitis
| ||
![]()
Acute appendicitis is usually a clinical diagnosis supported by laboratory findings (e.g., leukocytosis with left shift). Confirmatory imaging is recommended if the diagnosis is uncertain.
Laboratory studies [9]
-
Routine studies
- CBC: mild leukocytosis with left shift
- CRP: elevated (> 10 mg/L)
- BMP: ↑ creatinine, electrolyte abnormalities may be present in patients with severe vomiting and diarrhea
- Urinalysis: typically normal in appendicitis; possible findings of mild pyuria and/or hematuria
-
Tests to evaluate differential diagnoses
- Urine/serum β-hCG test: perform in all women of reproductive age to rule out pregnancy (including ectopic pregnancy) [20]
- See also “Diagnostics workup of acute abdominal pain.”
A normal WBC count does not rule out acute appendicitis.
Imaging [9][10][13][20][29]
Decisions regarding the optimal timing and initial imaging modality should be based on individual patient factors (e.g., demographics, likelihood of appendicitis, risk of alternate diagnoses of concern, comorbidities), available resources, and local specialist preferences and hospital policy. [10][11][15][16]
-
Options for first-line imaging in nonpregnant adults [11][12]
-
CT abdomen [12][29]
- Advantages: higher accuracy and reliability, allows operative planning, better evaluation of differential diagnoses (e.g., for patients > 60 years old)
- Limitations: exposure to ionizing radiation and risk of contrast-related adverse events
-
Ultrasound abdomen (typically performed in conjunction with an appendicitis scoring system) [11][16]
- Advantages: can limit the exposure to radiation and contrast, potentially reduce cost and length of stay (LOS) associated with CT use
- Limitations: lower accuracy and reliability , can increase cost and LOS if CT abdomen is still required [13]
-
CT abdomen [12][29]
- First-line imaging for pregnant adults and children: : ultrasound abdomen [10][11][12]
The combined use of appendicitis risk scores and an initial ultrasound abdomen can reduce the need for CT abdomen in certain patients with suspected appendicitis, however, this should be balanced with the risk of missing the diagnosis. [11][16][17][30]
Abdominal ultrasound
Many institutions prefer ultrasound as the initial imaging modality, reserving CT scans for inconclusive ultrasound findings. [11][29]
-
Options
- Formal ultrasound
- POCUS [31]
-
Supportive findings [32]
- Distended appendix (diameter > 6 mm)
- Noncompressible, aperistaltic, distended appendix
- Target sign: concentric rings of hypo- and hyperechogenicity in the axial/transverse section of the appendix
- Possible appendiceal fecalith: focal hyperechogenicity with posterior acoustic shadowing
While abdominal ultrasound can confirm the diagnosis of acute appendicitis, normal ultrasound findings do not reliably rule out appendicitis. [10]
![]()
![]()
![]()
![]()
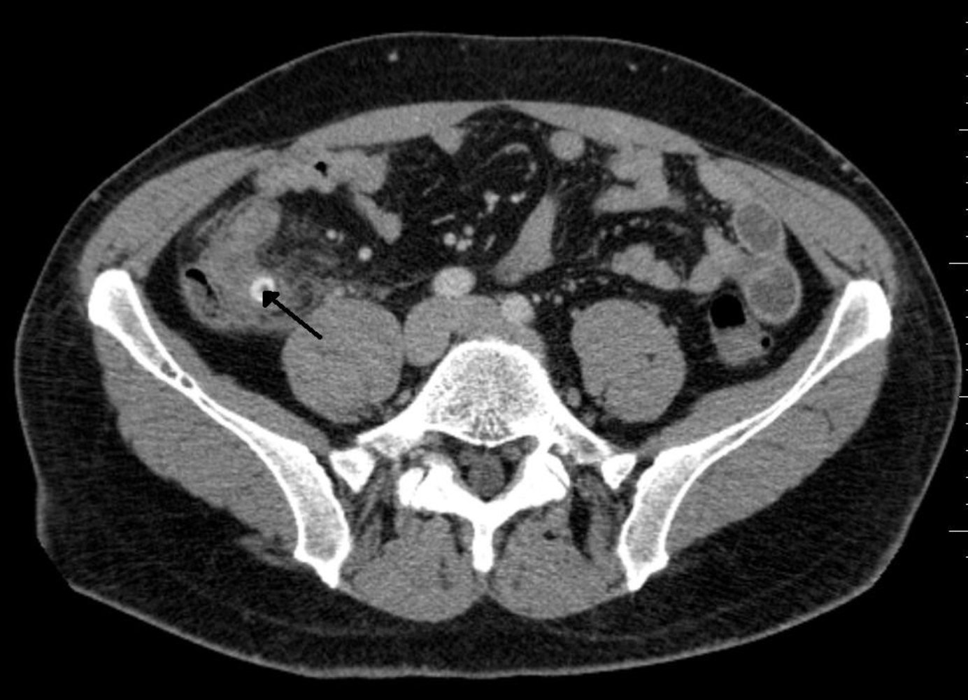
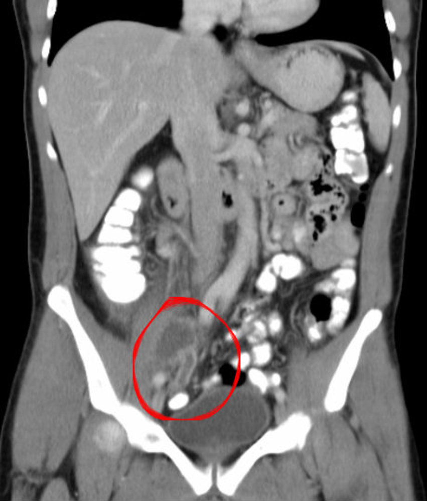
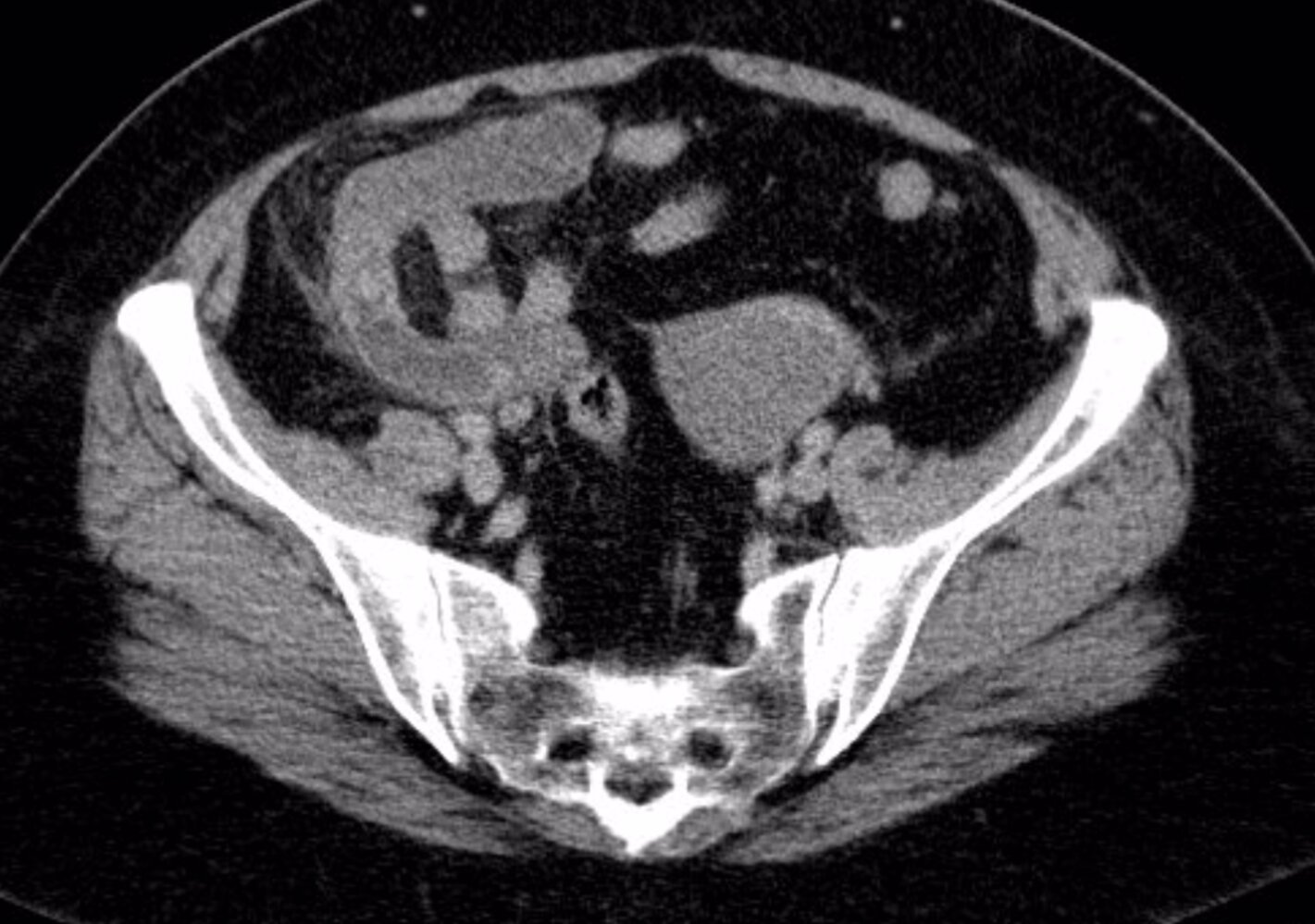
CT abdomen with IV contrast
CT abdomen is the most accurate initial imaging modality for appendicitis. [12][29]
-
Supportive findings [29]
- Distended appendix (diameter > 6 mm)
- Edematous appendix with periappendiceal fat stranding
- Possible appendiceal fecalith: focal hyperdensity within the appendiceal lumen
- Evidence of complications
-
Additional considerations
- Consider low-dose CT scan (with IV contrast) to minimize radiation exposure. [33][34]
- Consider CT without contrast in patients with contrast allergy. [34]
Adding oral and/or rectal contrast does not improve diagnostic accuracy and may delay diagnosis. [10]
![]()
![]()
![]()
![]()
MRI abdomen and pelvis [14][29][35]
-
Indications
- MRI without IV contrast: pregnant patients with inconclusive ultrasound findings [29][35]
- MRI with IV contrast: nonpregnant patients with inconclusive ultrasound findings and contraindications for CT scan
- Findings: similar to CT scan findings
A normal MRI in a pregnant patient does not completely rule out the possibility of acute appendicitis. Consider diagnostic laparoscopy if clinical suspicion remains high. [11]
Diagnostic laparoscopy
-
Indications: Consider in the following groups of patients with inconclusive findings on imaging. [14][20][21]
- Women of reproductive age
- Patients with obesity
-
Findings [36]
- Acute uncomplicated appendicitis: inflamed, distended, erythematous appendix
- Possible signs of complications: perforation, gangrene, pus
-
Additional steps based on findings [22][37]
- Normal appendix on diagnostic laparoscopy: Leave in situ.
- Appendicitis confirmed: Perform laparoscopic appendectomy.
Supportive care
- Bowel rest (NPO)
- Intravenous fluids (see “IV fluid therapy”)
- Electrolyte repletion as needed
- IV analgesics (see “Pain management”) [9]
- IV antiemetics as needed
- Antipyretic therapy
Empiric antibiotic therapy for acute appendicitis [13][20][38][39]
- Indication: all patients with acute appendicitis
- Required coverage: : against gram-negative and anaerobic organisms [20]
-
Preoperative antibiotics for uncomplicated appendicitis: Administer one of the following agents within 60 minutes before surgery as prophylaxis against surgical site infection (can be discontinued after surgery or within 24 hours). [14][20][39]
- A cephalosporin with anaerobic coverage: cefoxitin OR cefotetan
- Combination therapy with a first-generationcephalosporin (e.g., cefazolin ; ) PLUS metronidazole [39]
- In patients allergic to penicillin/cephalosporin, administer clindamycin OR metronidazole PLUS one of the following: [39]
- High-dose gentamicin
- Ciprofloxacin
-
Nonoperative management for appendicitis (with or without interval appendectomy)
- Agents: See ''Mild or moderate infection'' in “Empiric antibiotic therapy for intraabdominal infections.” [20]
- Duration for early uncomplicated appendicitis (not yet standardized): Consider initial parenteral antibiotics for at least 2–3 days then switch to oral antibiotics for 7 days. [35][40]
- Duration for complicated appendicitis (appendiceal mass or appendiceal abscess): 3–5 days [14][35][41][42]
Operative management
Appendectomy [13][14][20][35][43]
Appendectomy within 24 hours of diagnosis is the current standard of care for acute uncomplicated appendicitis. [11][11][35][43][44]
- Definition: surgical removal of the appendix, usually within 24 hours of the diagnosis [11]
-
Emergency appendectomy [11]
- Timing: less than 8 hours after diagnosis
- Indications: systemic manifestations resulting from complicated appendicitis (e.g., sepsis, generalized peritonitis) [11][35]
-
Relative contraindications [35][45]
- Appendiceal mass
- Appendicular abscess
-
Approach [35]
- Laparoscopic appendectomy
- Open appendectomy (via a transabdominal incision in the RLQ)
Surgery for acute uncomplicated appendicitis can safely be delayed for up to 24 hours from diagnosis.
Perform an emergency appendectomy for patients with complicated appendicitis and systemic symptoms. [11]
Initial operative treatment of appendiceal abscesses or appendiceal phlegmons is associated with a high risk of complications. [46]

![]()
Interval appendectomy [14][35][47][48][49]
Typically performed after a trial of nonoperative management for appendicitis.
- Definition: appendectomy performed 6–8 weeks following the resolution of an acute episode of appendiceal mass or appendiceal abscess to minimize surgical complications [49]
-
Indications: currently not routinely recommended ; [14][47]
- Consider for persistent or recurrent symptoms of appendicitis in a patient with an appendiceal mass or appendiceal abscess treated conservatively. [14][35][45]
- Consider in patients > 40 years of age if there is concern for an underlying appendiceal tumor. [50][51]
Nonoperative management (NOM; conservative management) is typically preferred for patients at high risk of surgical morbidity if operated on immediately. It is sometimes followed by an interval appendectomy. NOM can also be offered to select patients with early uncomplicated appendicitis in consultation with an experienced surgeon, however, this remains an area of ongoing research. [11][12][35][47]
Indications [14][20][40][47]
- Inflammatory appendiceal mass [35][45]
- Appendiceal abscess [35][45]
- Patient refusal of surgery
- High surgical risk due to comorbidities
- History of previous surgical/anesthesia complications
- Consider in select patients with early uncomplicated appendicitis [11][12]
Contraindications [35][40]
- Septic shock
- Generalized peritonitis
- Inability to percutaneously drain an appendiceal abscess
- Appendiceal fecalith [52][53]
Steps of nonoperative management [20][40]
- Empiric parenteral antibiotic therapy for 2–3 days: See ''Mild or moderate infection'' under ''Community-acquired infections'' in empiric antibiotic therapy for intraabdominal infections. [20][35][40]
- Supportive care (see above)
- Periappendiceal abscess > 4 cm: image-guided percutaneous drainage; send aspirate for cultures
- Monitor vitals and serial abdominal examinations every 6–12 hours.
- Insignificant improvement/worsening of symptoms : urgent surgical intervention [35]
- Symptomatic improvement within 24–48 hours
- Slow introduction of enteral nutrition
- Switch to oral antibiotics for 7-day course. [35][40]
- Schedule interval colonoscopy in patients > 40 years of age following NOM of acute appendicitis to rule out early colonic malignancy. [14][45][54]
PAIN: Pain management, Antibiotics, Intravenous fluid therapy, and NPO are part of conservative management of appendicitis.
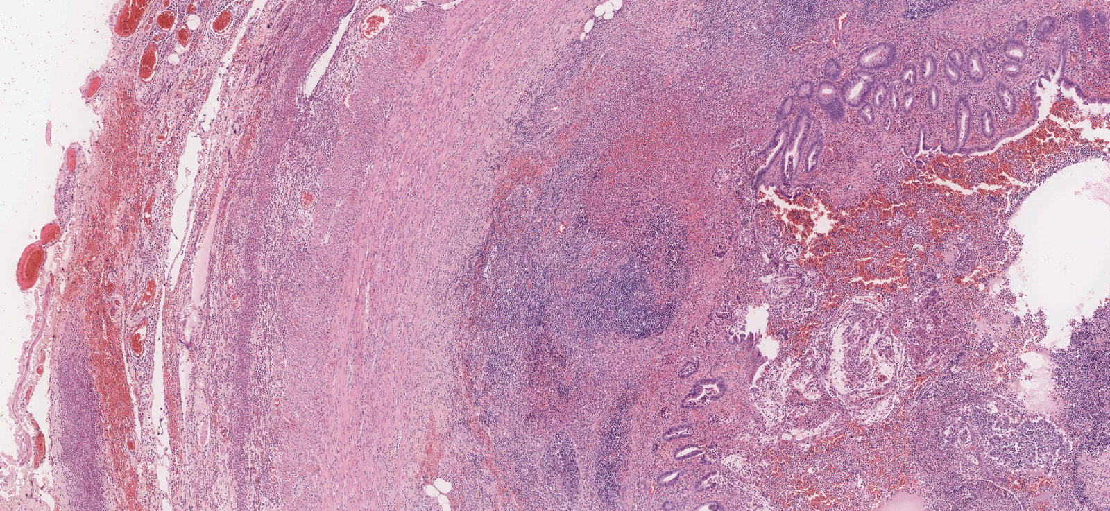
- The appendix is composed of the same four histological layers of the alimentary canal.
- See “Microscopic anatomy” in “Large intestine” for the histological features of a healthy appendix.
- Transmural neutrophilic infiltration is the characteristic histological feature of acute appendicitis.
- Blood vessel thrombosis, mucosal ulceration, and/or gangrene of the appendiceal wall may also be present.
![]()
- Ectopic pregnancy
- Pseudoappendicitis [55]
- Meckel diverticulum
- Diverticulitis (especially in elderly patients)
- Psoas abscess (in patients with a positive psoas sign)
- Inflammatory bowel disease
- Gastroenteritis
- Colon cancer
- Urolithiasis and renal colic
- Urinary tract infections
- Gynecological diseases (e.g., pelvic inflammatory disease, ovarian cyst)
- See “Differential diagnoses of acute abdomen.”
Right-sided carcinoma of the colon may manifest with clinical features similar to those of acute appendicitis. [56]
References:[55]
The differential diagnoses listed here are not exhaustive.
Inflammatory appendiceal mass (appendiceal phlegmon) [35][45]
- Description: an ill-defined mass of inflammatory periappendiceal tissue
- Clinical features: manifests as a tender mass in the RLQ
-
Treatment
- Nonoperative management of acute appendicitis (see ''Treatment'' above for more information)
- Consider interval appendectomy. [20][35][45]
Appendiceal abscess [20][35][45]
- Description: a localized collection of pus and necrotic tissue that forms around an inflamed appendix, which typically follows an untreated perforated appendix
- Clinical features: manifests as a tender mass in the RLQ in an acutely ill patient (i.e., high-gradefever, possible paralytic ileus, leukocytosis, signs of sepsis)
-
Treatment
- Nonoperative management of acute appendicitis
- Abscess< 4 cm: antibiotic therapy alone is usually sufficient.
- Abscess> 4 cm: image-guided percutaneous drainage or surgical drainage; send aspirate for cultures [45][57]
- Consider interval appendectomy. [20][35][45]
Gangrenous appendicitis
- Description: irreversible necrosis of the appendiceal wall
-
Clinical features
- Manifests with high-grade fever, tachycardia, severe RLQ pain and tenderness
- Typically diagnosed intraoperatively: The appendix has a mottled purple appearance.
- Treatment: emergency appendectomy and IV antibiotics
Perforated appendix [35]
- Description: rupture of the appendix
-
Clinical features
-
Early presentation: localized/generalized peritonitis and decreased bowel sounds
- Generalized peritonitis indicates a free rupture of the appendix into the peritoneal cavity.
- Localized peritonitis suggests a concealed perforation.
- Delayed presentation: appendiceal mass or appendiceal abscess
-
Early presentation: localized/generalized peritonitis and decreased bowel sounds
-
Treatment
- Early presentation
- Emergency appendectomy and IV antibiotics
- Obtain pus or exudate for cultures intraoperatively. [20]
- Tailor antibiotics accordingly.
- Delayed presentation: See “Appendiceal mass” and “Appendiceal abscess.”
- Early presentation
Pylephlebitis [58]
- Description: septic thrombosis of the portal vein or its branches
- Etiology: a complication of intraabdominal sepsis (e.g., due to perforated appendicitis, diverticulitis, or necrotizing pancreatitis)
- Clinical features: fever, abdominal pain
-
Diagnostics
- CT: filling defect in the portal vein or its branches
- Bacteremia
- Treatment: broad-spectrum antibiotics
- Prognosis: Thrombosis of the portal circulation can result in bowel infarction and death.
We list the most important complications. The selection is not exhaustive.
- Uncomplicated appendicitis with adequate management (surgical intervention) has an excellent prognosis.
- Perforation and peritonitis: ∼ 1% mortality rate
- Up to 20% of patients are found to have a normal appendix following surgery.
- The mortality rate is higher (∼ 5%) in elderly patients with complicated appendicitis.
Appendicitis in children [9][59]
Clinical features
- The reliability of signs and symptoms in children is lower.
- Most reliable symptoms: emesis and duration of pain, abdominal tenderness and pain with walking, jumping, and coughing
Diagnostics [11]
- Routinely obtain laboratory studies; initial CRP ≥ 10 mg/mL and WBC count > 16,000/mL strongly predict appendicitis.
- Consider either of the following clinical risk scores:
- Alvarado score
- Pediatric appendicitis score: A scoring system to estimate the likelihood of appendicitis in patients 3–18 years of age [60][61]
- Ultrasound is the diagnostic procedure of choice.
| Pediatric appendicitis score [60] | ||
|---|---|---|
| Characteristics | Score | |
| Symptoms | Migration of pain to RLQ | 1 |
| Anorexia | 1 | |
| Nausea/vomiting | 1 | |
| Physical examination | RLQ tenderness | 2 |
| RLQ pain elicited on coughing/jumping/percussion | 2 | |
| Temperature ≥ 38°C (100.4°F) | 1 | |
| Laboratory parameters | Leukocytosis (≥ 10,000/mm3) | 1 |
| PMN ≥ 75% | 1 | |
Likelihood of appendicitis [15]
| ||
The diagnosis should not be based solely on the clinical score in children. [11]
Treatment [9]
- All patients: Provide empiric antibiotic therapy for acute appendicitis and supportive care.
- Operative treatment: See “Appendectomy.”
-
Nonoperative treatment
- May be considered in consultation with a surgeon for patients with uncomplicated appendicitis [62]
- See “Nonoperative management of acute appendicitis.”
Appendicitis in pregnant individuals [9][63]
Clinical features
Appendicitis often manifests atypically in pregnant individuals, potentially delaying diagnosis.
- Atypical (higher) pain localization
- Other possible symptoms include heartburn, flatulence, irregular bowel movements, diarrhea, urinary frequency, and pain on Douglas pouch palpation.
Diagnostics
- Laboratory studies: Results may be misleading due to physiological changes in pregnancy.
-
Graded compression ultrasonography
- An ultrasonographic technique in which the transducer is used to gradually compress the abdominal wall, which displaces the bowel to better visualize intraabdominal structures.
- Can be used to diagnose appendicitis in children and pregnant individuals.
- If ultrasonography is inconclusive, consider MRI.
Treatment
Treatment consists of prompt laparoscopic or open appendectomy.
- Delayed intervention (> 24 hours) after symptom onset is associated with a higher risk of perforation.
- Laparoscopic approach is safe and can be performed in all trimesters. [64]
- Perioperative antibiotics with proven coverage of gram-negative and anaerobic bacteria
Complications
- Maternal: cervical incompetence, vaginitis, vulvovaginitis, sepsis
- Fetal: small for gestational age, low birth weight
- A perforated appendix is associated with a higher risk of preterm labor and pregnancy loss.
Appendicitis in adults > 65 years of age [11][65]
Management is broadly the same as for the general adult population, with some modifications. Diagnostic approach to undifferentiated acute abdominal pain in older adults is detailed separately.
Clinical features [19]
The presentation of appendicitis in older adults is often atypical (see “Clinical features of acute abdomen in older adults.”)
- Fever may be absent or low-grade.
- Nausea may be absent.
- Nonspecific symptoms such as confusion may be present.
-
RLQ pain is typically present, but:
- Abdominal guarding may be subtle.
- Rebound tenderness may be absent.
Management [11][65]
Initial management
- Provide immediate supportive care as necessary (see “Management” above).
-
Risk stratification tools for acute appendicitis
- In older adults, a low score should not be used to support immediate discharge without observation. [65]
- The following strategy has been suggested:
- Low likelihood score (e.g., Alvarado score < 5): Observe clinically and reassess; consider CT abdomen and pelvis with IV contrast if no improvement.
- Moderate or high likelihood score (e.g., Alvarado score ≥ 5): Obtain immediate imaging.
In older adults, consider the possibility of other conditions masquerading as acute appendicitis (e.g., colon carcinoma, appendiceal tumors) or other serious causes of acute abdominal pain (e.g., diverticulitis, bowel obstruction). [19][66]
Do not discharge older adults home without observation based only on a low appendicitis risk score. [65]
Imaging [67]
In older adults, imaging is required to confirm a diagnosis of appendicitis.
- CT abdomen and pelvis with IV contrast is the preferred study.
- In patients with contraindications for iodinated IV contrast and Alvarado score ≥ 5, consider either of the following. [19]
- Abdominal ultrasound: to confirm (but not to exclude) appendicitis
- MRI abdomen and pelvis: to confirm or exclude appendicitis, and to identify perforated appendix
- See “Diagnostics” for details on the advantages and disadvantages of various imaging modalities.
Treatment
- All patients: Provide empiric antibiotic therapy for acute appendicitis and supportive care.
- Nonoperative treatment
- Consider for select patients in consultation with a surgeon. [65]
- See “Nonoperative management of acute appendicitis” for indications.
- Operative treatment
- Laparoscopic appendectomy within 24 hours is generally preferred. [11][12][68]
- See “Preoperative management in older adults” for surgical risk assessment.
- Consider continuing antibiotics for 3–5 days postoperatively for complicated appendicitis.
Subsequent management
- All older adults: Refer for colonoscopy after treatment to evaluate for colonic malignancy. [65]
- In older adults who received nonoperative management of acute appendicitis, consider both of the following (in consultation with a surgeon): [11]
- CT colonography with IV contrast to evaluate for colonic malignancy
- Elective interval appendectomy
Colonoscopy to evaluate for colonic malignancy is recommended for all older adults following treatment of acute appendicitis; CT colonography with IV contrast may additionally be considered for those treated nonoperatively. [11]
Complications [65]
Older patients are more likely to develop complications of appendicitis, especially:
- Perforated appendix
- Appendiceal abscess
- One-Minute Telegram 14-2020-1/3: Pills vs. scalpels: appendicitis treatment revisited
Interested in the newest medical research, distilled down to just one minute? Sign up for the One-Minute Telegram in “Tips and links” below.