Guest Mode
AMBOSS Articles/ Pediatrics > Pediatric Hematology

Acute Chest Syndrome

Acute chest syndrome (ACS) is a potentially fatal complication of sickle cell anemia caused by vaso-occlusion of the pulmonary vasculature. Symptoms may include chest pain, shortness of breath, and fever. Diagnosis is based on clinical symptoms and chest imaging findings of a new pulmonary infiltrate. Management consists of antibiotics, supportive care with IV fluids and oxygen, and possibly a blood transfusion.

See also “Sickle cell disease.”

  • Vaso-occlusion of the pulmonary vasculature
  • Triggers include infection, asthma, surgery/general anesthesia
  • Common cause of death in patients with sickle cell disease [1]
  • Chest pain
  • Fever
  • Respiratory distress, cough, shortness of breath, wheezing
  • Signs of vaso-occlusive crisis (e.g., pain in arms or legs)
  • Rib or sternal pain
  • See also “Complications” below.

ACS is a clinical diagnosis supported by characteristic clinical features and the presence of new pulmonary infiltrate on imaging. [1]

Diagnostic criteria for acute chest syndrome [2][3][4]

  • Clinical findings of one or more of the following:
    • Chest pain
    • Cough
    • Temperature > 38.5°C
    • Tachypnea
    • Hypoxemia
    • Signs of increased work of breathing
    • Wheezing
    • Crackles
  • PLUS a new pulmonary infiltrate on CXR that involves at least one lung segment and is not due to atelectasis [4]

Laboratory studies

  • Routine
    • CBC: anemia, leukocytosis, thrombocytopenia [5]
    • Type and screen and crossmatch
    • BMP and LFTs: signs of multiorgan failure may be present
      • Elevated creatinine
      • Elevated AST and ALT
    • Sputum and blood cultures [6]
    • Arterial blood gas: Gold standard for determining partial pressure of oxygen and carbon dioxide [7]
  • Additional
    • Consider PCR for viral panel and serologies for respiratory pathogens (e.g., Mycoplasma, Legionella): See pneumonia diagnostics.
    • Consider troponin to assess for myocardial injury.

Imaging

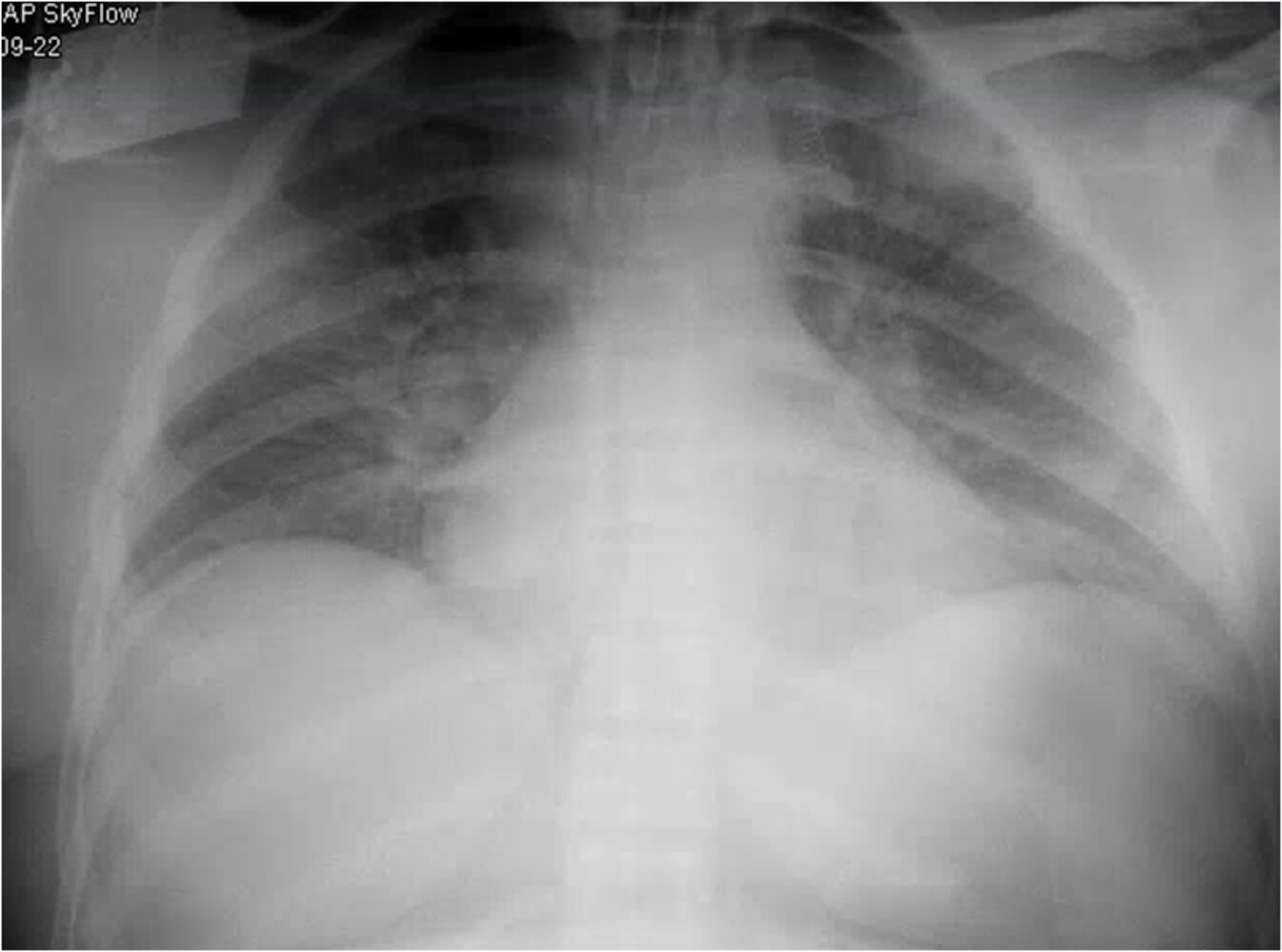
  • Chest x-ray
    • Indication: all patients suspected of having ACS
    • Supportive findings:
      • New pulmonary infiltrate
      • Segmental, lobar, or multilobular consolidation with or without the presence of pleural effusion
      • If CXR is normal, it should be repeated in 24–48 hours if there is ongoing clinical suspicion for ACS. [6]
  • CT pulmonary angiography: if there is a concern for pulmonary embolism (PE) [8]

Other

  • ECG: Assess for acute myocardial injury (see diagnosis of myocardial infarction).
  • Bronchoscopy with bronchoalveolar lavage: performed in refractory cases and/or in atypical presentations for assessment of viral or bacterial causes

General principles [1][4][9]

  • All patients
    • Supportive care
    • Antibiotics
    • Evaluation for blood transfusion
    • Hospital admission with close monitoring and hematology consult
  • Critically ill or rapidly progressing patients
    • Respiratory and hemodynamic support
    • Evaluation for urgent exchange transfusion
    • Admission to the ICU
  • Patients with recurrent ACS
    • Allogenic stem cell transplantation may be indicated.
    • See “Long-term management of sickle cell disease”. [10]

Supportive care

  • Respiratory support
    • Supplemental oxygen: target SpO2 > 95%
    • Identify patients at risk of progression to respiratory failure. [1]
      • PaO2 ≤ 60 mm Hg
      • Opioid-induced respiratory depression
      • Features of impending severe ACS (see “Monitoring”)
    • Initiate NIPPV or invasive mechanical ventilation as needed (see mechanical ventilation and management of ARDS). [1]
  • Additional supportive care
    • Pain management: opioids administered as scheduled doses or continuous infusion via patient-controlled analgesia
    • IV fluids: Avoid overhydration, which can lead to pulmonary edema. [7]
      • For patients with hypovolemia: cautious use of normal saline bolus [11]
      • The choice of fluids depends on hydration status.
        • Isotonic fluids are recommended for urgent volume correction.
        • Hypotonic fluids are recommended otherwise, i.e., 5% dextrose in either water, 0.45% normal saline, or 0.22% normal saline.
      • Recommended rate: no greater than 1.5 times the maintenance fluid requirement
    • Bronchodilators (e.g., albuterol): especially in patients with a history of asthma or evidence of acute bronchospasm
    • Incentive spirometry to prevent atelectasis
    • VTE prophylaxis [1]
    • Treatment of associated complications: See “Complications.”

Avoid overhydration in patients with acute chest syndrome because of the risk of pulmonary edema.

Antibiotic therapy [7]

  • Obtain blood cultures (two sets) and sputum cultures before starting antibiotics.
  • Start empiric antibiotics (see empiric antibiotic therapy for community-acquired pneumonia).
    • Suggested regimen
      • A third-generation cephalosporin (e.g., ceftriaxone) [12][13]
      • PLUS a macrolide (e.g., azithromycin) [4]

Blood transfusion

  • Simple blood transfusion [4]
    • pRBCs indicated if hemoglobin concentration is > 1.0 g/dL below baseline
    • May not be indicated if the patient’s baseline hemoglobin is ≥ 9 g/dL
    • For HbSC or HbS/β-thalassemia, consult hematology.
  • Urgent exchange transfusion [4]
    • Indications
      • Oxygen saturation < 90% even with supplemental oxygen
      • Worsening respiratory distress
      • Worsening pulmonary infiltrates
      • Hemoglobin concentration continuing to decline after a simple transfusion
    • Consult an apheresis specialist, if applicable.
    • Consider central venous access. [14]

Monitoring and disposition

  • Monitoring
    • Continuous or frequent (e.g., every 4 hours) pulse oximetry monitoring
    • Consider continuous cardiac monitoring.
    • Consider frequent clinical assessments of patients with features of impending severe ACS. [4]
      • Multilobe disease on chest imaging
      • Pleural effusion
      • Respiratory distress
      • Persistent oxygen saturation < 95% despite supplemental oxygenation
      • Neurological features: seizure, stroke, altered mental status
      • Low platelets (< 200,000/mm3) [3]
      • History of cardiac disease [3]
    • Monitor for progression to multisystem organ failure.
    • Monitor closely for anemia and bronchospasm.
  • Disposition
    • Admit all patients to the hospital. [4]
    • Admit/transfer to the ICU if the patient is at risk of progression to respiratory failure, is intubated, and/or requires an exchange transfusion.
  • Acute [1][3][7]
    • Neurological: altered mental status, seizure, stroke, intracranial hemorrhage [1][3]
    • Pulmonary: PE, pulmonary hemorrhage, cor pulmonale
    • Splenic sequestration causing hypovolemic shock
    • Multisystem organ failure
  • Chronic [1][3][7]
    • Chronic sickle lung disease
    • Pulmonary fibrosis
    • Premature mortality

We list the most important complications. The selection is not exhaustive.

  • Pain management
  • IV fluids: avoid overhydration
  • Blood cultures (2 sets) and sputum cultures
  • Start empiric antibiotics (see empiric antibiotic therapy for community-acquired pneumonia).
  • Supplemental oxygen
  • Rule out alternative causes (e.g., myocardial infarction, PE).
  • Hematology consultation
  • Evaluate the need for transfusion and obtain type and screen.
  • Bronchodilators in patients with a history of asthma or evidence of acute bronchospasm [1]
  • Incentive spirometry
  • Hospital admission
  • Transfer to ICU if the patient is at risk of progression to respiratory failure, intubated, and/or requires an exchange transfusion.