Guest Mode
AMBOSS Articles/ Surgery > Abdominal Surgery > Pancreas, Liver, and Bile Ducts

Acute Cholangitis

Acute cholangitis (ascending cholangitis) refers to a bacterial infection of the biliary tract, typically secondary to biliary obstruction and stasis (e.g., due to choledocholithiasis, biliary stricture). Charcot triad, which consists of RUQ pain, fever, and jaundice, is the classical clinical manifestation of acute cholangitis though not all patients manifest with the triad. The diagnosis of acute cholangitis is based on a combination of characteristic clinical features, evidence of systemic inflammation (i.e., leukocytosis, ↑ CRP), and evidence of cholestasis (e.g., elevated direct bilirubin, GGT, and ALP). Imaging is primarily used to identify the underlying cause of biliary obstruction. Empiric antibiotic therapy and urgent biliary drainage (e.g., ERCP + papillotomy, EUS-guided biliary drainage) within 48 hours of presentation are the mainstays of treatment. Treatment of the underlying cause (e.g., ERCP-guided stone extraction or CBD stenting) may be performed at the same time as urgent biliary drainage in stable patients with mild cholangitis or deferred until clinical improvement in patients with severe cholangitis.

See also β€œCholelithiasis”, β€œCholedocholithiasis”, and β€œAcute cholecystitis.”

  • Sex: ♀ = β™‚
  • Incidence: up to 9% of patients with cholelithiasis [1]
  • Peak incidence: 50–60 years

Epidemiological data refers to the US, unless otherwise specified.

  • Biliary tract obstruction β†’ bile stasis with increased intraductal pressure β†’ bacterial translocation into the bile ducts ; β†’ bacterial infection ascends the biliary tract (even into the hepatic ducts) ; [2]
    • Causes
      • Choledocholithiasis (most common) [2][3]
      • Biliary strictures
        • Congenital
        • Infectious (e.g., HIV)
        • Inflammatory (e.g., primary sclerosing cholangitis, IgG4-related sclerosing cholangitis)
        • Iatrogenic (e.g., ERCP, stent placement)
      • Malignant obstruction (e.g., due to cholangiocarcinoma, pancreatic cancer, etc)
      • Extrinsic compression (e.g., Mirizzi syndrome)
      • Parasitic infection (e.g., liver fluke, hydatid cyst, Ascaris spp.)
      • Acute pancreatitis
      • Periampullary duodenal diverticulum [2]
  • Contamination of bile with intestinal contents
    • Manipulation of the biliary tract (e.g., papillotomy, stent placement, ERCP, liver transplantation)
    • Biliary-enteric fistula [4]

  • Charcot cholangitis triad (25–70% of patients present with all three features) ; [1][5]
    • Abdominal pain (most commonly RUQ)
    • Highfever
    • Jaundice (least common feature)
  • Reynolds pentad; : Charcot cholangitis triad PLUS hypotension and mental status changes
  • Features of sepsis, septic shock, and multiorgan dysfunction may be present, depending on the severity of disease at presentation.
  • Elderly patients may present with nonspecific symptoms such as confusion; pain and jaundice may be absent. [6]

Acute cholangitis may present atypically, particularly in older patients. A high index of suspicion is required to avoid delays in diagnosis and treatment. [6][7]

Acute cholangitis is diagnosed based on systemic signs of inflammation (fever, leukocytosis, ↑ CRP) in combination with signs of cholestasis (jaundice, ↑ GGT, ↑ ALP) and/or characteristic imaging findings (e.g., dilated CBD, periductal inflammation). Once the diagnosis is confirmed, disease severity should be assessed to determine the best approach to management (see β€œSeverity grading of acute cholangitis”).

Diagnostic criteria [8][9]

Charcot triad is not included in the diagnostic criteria because, although specific, it is not a sensitive criterion and may even be absent in patients with acute cholangitis. [8]

Diagnostic criteria for acute cholangitis [10]
Systemic signs of inflammation
  • Fever and/or chills with rigors
  • Laboratory findings: ↑ WBC, CRP
Signs of cholestasis
  • Jaundice
  • LFTs: signs of cholestasis (↑ bilirubin, ↑ GGT,↑ ALP, ↑ ALT)
Imaging findings
  • Biliary dilatation
  • Evidence of underlying etiology (e.g., choledocholithiasis, biliary stricture, biliary stent, etc.)
Interpretation
  • Suspected diagnosis: β‰₯ 1 sign of inflammation PLUS either β‰₯ 1 sign of cholestasis OR β‰₯ 1 characteristic imaging findings
  • Definite diagnosis: β‰₯ 1 sign of inflammation PLUS β‰₯ 1 sign of cholestasis PLUS β‰₯ 1 characteristic imaging findings

Laboratory studies [1][4][8][9]

  • Tests to support the clinical diagnosis
    • CBC: leukocytosis with left shift
    • CRP: elevated
    • LFTs: signs of cholestasis (↑ bilirubin, ↑ GGT,↑ ALP, ↑ALT)
    • Blood cultures (2 sets): obtain before administering antibiotics (especially in febrile patients). [1]
    • Bile cultures: obtain during biliary drainage procedure [9]
  • Tests to assess severity of disease (see β€œSeverity grading of acute cholangitis”)
    • Blood gas analysis: PaO2/FiO2 ratio < 300 in severely ill patients
    • BMP: AKI, electrolyte derangements in patients with severe disease
    • PT/INR: coagulopathy in patients with severe disease
  • Tests to evaluate differential diagnoses
    • Consider serum lipase levels to assess for concurrent biliary pancreatitis in patients with suspected common bile duct obstruction.
    • See also β€œDiagnostic workup of acute abdominal pain.”

Atypical presentations are common in elderly patients. Consider obtaining liver chemistries to evaluate for acute cholangitis in acutely ill elderly patients with nonspecific symptoms. [6]

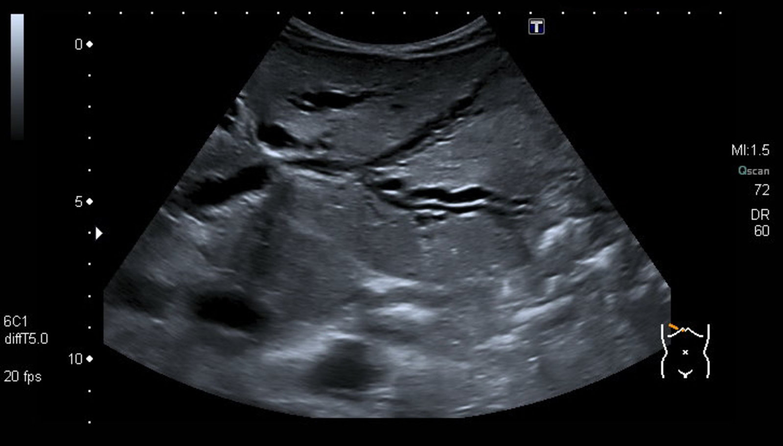
Imaging [8][9][11][12]

Acute cholangitis cannot be diagnosed with imaging alone. The goal of imaging is to evaluate for biliary obstruction that may have precipitated cholangitis. [8]

RUQultrasound

  • Indication: : preferred first-line imaging modality in patients presenting with suspected cholangitis [8][11][12]
  • Supportive findings
    • Dilated common bile duct: See ''Diagnosis of choledocholithiasis” for details.
    • Dilated intrahepatic bile ducts: indicates obstructive cholestasis
    • Thickened bile duct walls [13]
    • Evidence of underlying etiology, such as:
      • Choledocholithiasis: occluding CBD stone with/without cholelithiasis may be visualized [14]
      • Biliary stricture: focal narrowing of the bile duct(s), with dilation of the proximal biliary tree
      • Biliary tumor: intraluminal mass within the bile duct

RUQultrasound is not sufficiently sensitive to definitively rule out biliary obstruction. Obtain cross-sectional imaging (i.e., CT abdomen or MRCP) in patients with a high pretest probability of acute cholangitis and a negative RUQultrasound. [8]

CT scan with IV contrast [11][12][13]

  • Indications [8]
    • Confirmatory imaging modality if ultrasound is inconclusive
    • To rule out differential diagnoses if the clinical diagnosis is unclear
  • Supportive findings [13]
    • Concentric thickening and heterogeneous enhancement of the walls of the biliary tree [15]
    • Bile duct dilation
    • Periductal edema
    • Evidence of underlying cause: choledocholithiasis, biliary tumor , biliary-enteric fistula, hydatid cyst, etc.
    • Evidence of complications: pericholecystic or liver abscess, portal vein thrombosis.

MRI abdomen without and with IV contrast with MRCP

  • Indication: an alternative confirmatory imaging modality if ultrasound is inconclusive [8][11][12][16]
  • Supportive findings: similar to CT findings

  • RUQ pain with fever with/without jaundice
    • Acute calculus cholecystitis or its complications
    • Acalculous cholecystitis
    • Liver abscess
    • Acute hepatitis
    • Bile leak (iatrogenic, e.g., post-ERCP, postcholecystectomy)
    • Acute necrotizing pancreatitis
    • Malignancy
      • HCC
      • Gall bladder cancer
      • Cholangiocarcinoma
      • Carcinoma head of the pancreas
      • Metastatic cancer
    • See ''RUQ'' in β€œDifferential diagnoses of acute abdominal pain.”
    • See β€œDifferential diagnoses of abdominal pain.”
  • Dilated biliary duct: See ''Differential diagnoses'' in β€œCholedocholithiasis.”
  • See also β€œOverview of biliary disease”.

The differential diagnoses listed here are not exhaustive.

Once the diagnosis is confirmed, disease severity should be assessed to determine the best approach to treatment. [8][9]

Severity grading for acute cholangitis [8][9]
Grades of severity Grading criteria
Grade I (Mild acute cholangitis)
  • Acute cholangitis with no evidence of organ dysfunction
  • Does not meet any criteria of grade II or III acute cholangitis
Grade II (Moderate acute cholangitis)
  • Acute cholangitis PLUS any two of the following:
    • WBC count > 12,000/mm3 or < 4,000/mm3
    • Temperature β‰₯ 39Β°C
    • Age β‰₯ 75 years
    • Total serum bilirubin β‰₯ 5 mg/dL
    • Serum albumin less than 70% of lower limit of normal
Grade III (Severe acute cholangitis)
  • Dysfunction of at least one organ system
    • Cardiovascular: hypotension requiring treatment with dopamine β‰₯ 5 mcg/kg/minute or any dose of norepinephrine
    • Neurologic: impaired consciousness
    • Respiratory: PaO2/FiO2 ratio < 300
    • Renal: oliguria, serum creatinine > 2 mg/dL
    • Hepatic: INR > 1.5
    • Hematologic: platelet count < 100,000/mm3

Empiric antibiotic therapy and urgent biliary drainage are the mainstays of treatment of acute cholangitis. The choice and timing of both biliary drainage and any procedure to treat the underlying cause are dictated by the severity of the disease at presentation (see β€œSeverity grading of acute cholangitis”).

Initial management [2][9][17][18]

  • Stabilize the patient as needed.
    • Identify and treat sepsis.
    • Provide immediate hemodynamic support (e.g., IV fluid resuscitation) and respiratory support (e.g., mechanical ventilation) if necessary.
  • Administer empiric antibiotic therapy for acute biliary infection to all patients.
    • Grade III acute cholangitis: within one hour of presentation [17]
    • Grade I–II acute cholangitis: within 4–6 hours of presentation [2][17]
  • Determine the need and timing for urgent biliary drainage and treatment of the underlying cause, based on severity grading for acute cholangitis (see β€œDefinitive management”).
  • Identify and treat concurrent choledocholithiasis (see β€œDiagnosis of choledocholithiasis”).
  • Provide initial supportive therapy for acute biliary disease: e.g., analgesics (preferably NSAIDs), antiemetics, nasogastric tube insertion as needed, electrolyte repletion
  • Keep patients NPO.
  • Consult gastroenterology, interventional radiology, and/or surgery for urgent biliary drainage and decompression.

Initiate supportive therapy and broad-spectrum antibiotics as early as possible!

Definitive management [8][9][18][19]

Approach

  • Grade I acute cholangitis
    • Antibiotic therapy alone may be sufficient.
    • Consider urgent biliary drainage within 24–48 hours of presentation in patients with either of the following:
      • No response to antibiotic therapy within 24 hours
      • Choledocholithiasis
    • Underlying cause
      • If antibiotics are given alone: Treat electively, after acute symptoms resolve.
      • If biliary drainage is performed: Treat concurrently (i.e., a single-stage procedure).
  • Grade II acute cholangitis
    • Urgent biliary drainage within 24–48 hours of presentation
    • Underlying cause
      • Treat concurrently with biliary drainage (i.e., a single-stage procedure)
      • OR treat electively, after the patient improves with biliary drainage (i.e., a two-stage procedure)
  • Grade III acute cholangitis
    • Urgent biliary drainage within 24 hours of presentation [9][20]
    • Treat the underlying cause once the patient's condition improves after urgent biliary drainage (i.e., a two-stage procedure)

Urgent drainage of infected bile is imperative in order to achieve rapid source control in patients with grade II–III acute cholangitis.

Procedures for biliary drainage [18][21]

  • Therapeutic ERCP-guided transpapillary biliary drainage
    • Indication: preferred biliary drainage procedure in acute cholangitis [1][9][21]
    • Procedures
      • ERCP with papillotomy (sphincterotomy): Consider in patients with grade I–II acute cholangitis with no evidence of coagulopathy. ][18][22]
      • ERCP with temporary biliary stenting: Consider in patients with grade III acute cholangitis, uncorrected coagulopathy, biliary stricture, or cholangiocarcinoma. [1][2][18]
  • EUS-guided biliary drainage [18][22][23]
    • Indications
      • Second-line procedure if ERCP-guided drainage is unsuccessful
      • Second-line procedure if balloon-enteroscopy-assisted ERCP is not feasible in patients with altered upper gastrointestinal anatomy
    • Procedure: Under EUS guidance, a fistula is created and a stent placed between the stomach/duodenum and the CBD/(dilated) hepatic duct to allow for internal biliary drainage.
  • Others
    • Double balloon enteroscopy-assisted ERCP [18][24]
      • Indication: preferred procedure for biliary drainage in patients with altered upper gastrointestinal anatomy, if endoscopy expertise is available
      • Procedure: An enteroscope is used to maneuver through the gastroenteric/enteroenteric anastomosis until the duodenal papilla is identified; after which ERCP-guided papillotomy or stenting may be performed.
    • Percutaneous transhepatic biliary drainage (PTBD) [18]
      • Indication: EUS-guided drainage unsuccessful or not feasible
      • Procedure: A catheter is passed through the liver using of the Seldinger technique under ultrasound guidance and placed into an intrahepatic bile duct to allow for external biliary drainage.
    • Surgical choledochotomy with T-tube biliary drainage [18][25]
      • Indication: Consider if minimally invasive endoscopic and percutaneous biliary drainage procedures are unsuccessful or not feasible
      • Procedure: The CBD is opened laparoscopically or via open surgery (choledochotomy), a T-tube placed within the CBD, and the choledochotomy closed around the T-tube. The long limb of the T-tube is brought out through the abdominal wall to allow for external biliary drainage. [26]

Bile obtained during the biliary drainage procedure should be sent for culture and sensitivity, and antibiotic therapy tailored accordingly.

Procedures for treatment of the underlying cause [9]

  • For choledocholithiasis [2]
    • ERCP-guided stone extraction (see ''Treatment'' in β€œCholedocholithiasis” for details)
    • Elective interval cholecystectomy: ∼ 6 weeks after the resolution of acute symptoms to minimize the risk of recurrence [27]
  • For biliary stricture: ERCP and CBD stenting
  • For parasitic infections (rare): ERCP-guided parasite extraction and anthelmintics [28][29]
  • See also β€œMirizzi syndrome”, β€œBiliary-enteric fistula”, and β€œCholangiocarcinoma.”

Disposition [9]

All patients require inpatient management.

  • Grade I acute cholangitis: healthcare facility with access to biliary drainage
  • Grade II acute cholangitis: advanced healthcare facility with access to urgent biliary drainage
  • Grade III acute cholangitis: same as for grade II and access to intensive care
  • NPO
  • IV access with two large-bore peripheral IVs
  • Blood cultures (2 sets)
  • Provide initial hemodynamic support and respiratory support as needed.
  • Initial supportive care (see ''Initial supportive therapy of acute biliary disease'')
  • Determine severity (see ''Severity grading for acute cholangitis'').
  • IV antibiotics (see ''Empiric antibiotic therapy for acute biliary infection'')
  • Urgent gastroenterology, interventional radiology, and/or surgery consult for biliary drainage and decompression
  • Serial abdominal examination
  • ICU transfer if sepsis or shock are present
  • Sepsis, septic shock, MODS
  • Pyogenic liver abscess
  • Pericholecystic abscess
  • Biliary stricture

We list the most important complications. The selection is not exhaustive.