To see contributor disclosures related to this article, hover over this reference: [1]
Physicians may earn CME/MOC credit by reading information in this article to address a clinical question, then completing a brief evaluation in which they identify their question and report the impact of any information learned on their clinical practice.
AMBOSS designates this Internet point-of-care activity for a maximum of 0.5 AMA PRA Category 1 Credit(s)™. Physicians should claim only credit commensurate with the extent of their participation in the activity.
For answers to questions about AMBOSS CME, including how to redeem CME/MOC credit, see “Tips and Links” at the bottom of this article
Diagnostic approach
- ABCDE survey
- Targeted clinical evaluation
- BNP or NT-proBNP
- ECG
- Troponin
- BMP
- CBC
- Chest x-ray
- FoCUS and lung POCUS
- TTE
Red flag features
- Signs of end-organ hypoperfusion
- Altered mental status
- Narrow pulse pressure
- Cold, clammy skin
- Peripheral and/or central cyanosis
- Flash pulmonary edema
Acute heart failure in patients with chronic poorly controlled hypertension may manifest with signs of hypoperfusion and cardiogenic shock even at normal-range blood pressures (e.g., > 100 mm Hg).
Management checklist
- Upright positioning
- IV access
- Continuous cardiac monitoring
- Pulse oximetry
- Supplemental O2 for hypoxia
- CPAP for respiratory distress despite supplemental O2
- Start or continue SGLT2i therapy (e.g., dapagliflozin ) if hemodynamically stable.
-
Diuretic therapy for AHF if hemodynamically stable with congestion
- Diuretic-naive patients: IV furosemide OR bumetanide
- Patients taking diuretics: Administer 1–2.5× the patient's usual oral dose intravenously.
- Consider vasodilators for AHF.
- Consult cardiology urgently for hemodynamically unstable patients.
Manage hemodynamically unstable patients based on the classification of AHF. See “Hemodynamic support for AHF” and “Management of cardiogenic shock” for details.
Acute heart failure is the rapid onset or worsening of heart failure symptoms, and it is a common cause of hospitalization in older patients. Multiple triggers can cause an acute decompensation of preexisting heart failure (ADHF) but the condition may also occur suddenly in patients with no previous history of the condition (de novo heart failure). Diagnosis is based on typical clinical features (e.g., dyspnea), laboratory findings (e.g., elevated BNP), and imaging findings (e.g., pulmonary edema). Management is often challenging because of comorbidities; most patients require admission for treatment with IV diuretics, vasodilators, adjustment of their chronic heart failure (HF) medications, respiratory support, and careful monitoring.
- Acute decompensated heart failure (ADHF): An acute worsening of symptoms in a patient with preexisting heart failure (most common) [2]
- De novo heart failure: AHF symptoms occurring for the first time in a patient without known heart failure (∼ 15% of cases) [2][3][4]
| Etiology of acute heart failure | |
|---|---|
| Type of acute heart failure | Underlying etiology [2][5] |
| De novo heart failure |
|
| ADHF |
|
Consider COVID-19 infection as a potential cause in both de novo heart failure and ADHF. [8]
- See “Pathophysiology” in “Heart failure.”
- See also “Flash pulmonary edema.”
Clinical features of acute heart failure are commonly classified according to perfusion and the presence of congestion at rest. [2][3][7]
| Classification of acute heart failure [7][9] | ||
|---|---|---|
| No evidence of congestion (∼5% of patients) | Evidence of congestion (∼95% of patients) | |
| Adequate perfusion |
|
|
| Hypoperfusion |
|
|
-
Congestion (most common) [2][7][9]
-
Clinical features of left heart failure
- Acute dyspnea and orthopnea (i.e., worse when supine)
- Signs of increased work of breathing (WOB)
- Cough (occasionally with frothy, blood-tinged sputum)
- Coarse crackles/rales (and occasionally wheezing) on lung auscultation
- S3 gallop on heart auscultation
- Severe cases: central cyanosis
-
Clinical features of right heart failure
- Jugular venous distention
- Hepatojugular reflux
- Peripheral edema
- Ascites
- Flash pulmonary edema: Typically manifests with hypertension, pulmonary congestion, and minimal peripheral edema
-
Clinical features of left heart failure
-
Hypoperfusion
- Weakness, fatigue, altered mental status
- Signs of poor peripheral perfusion; (e.g., cold, clammy skin, peripheral cyanosis, skin mottling)
- See also “Cardiogenic shock.”
- Blood pressure: may be low, normal, or elevated and should be interpreted in relation to the patient's baseline blood pressure
The combined presence of jugular venous distention, S3 gallop, and lung crackles/rales makes a diagnosis of acute heart failure highly likely. [10]
Assess for clinical features that are suggestive of hypoperfusion (e.g., narrow pulse pressure, cool extremities, peripheral cyanosis, altered mental status, below baseline blood pressure) to identify patients with or at risk of cardiogenic shock. [3]
Approach
Diagnosis of AHF is primarily clinical.
- Obtain a BNP or NT-proBNP level in all patients.
- Obtain CXR and/or lung POCUS to confirm and evaluate pulmonary congestion.
- Order ECG and laboratory studies (e.g., troponin, BMP, CBC) to investigate underlying conditions (e.g., ACS) and/or differential diagnoses.
- Consider POCUS for acute heart failure to confirm diagnosis and guide management. [11]
- Consult cardiology for early TTE for ADHF with a suspected decline in cardiac function OR any de novo heart failure.
- Investigate possible triggers (e.g., missed medications, drugs that may worsen HF, clinical features of ACS, infections).
Laboratory studies
BNP or NT-proBNP [7][12][13]
- Useful for diagnostic confirmation and prognosis
- Should be interpreted in the context of the patient's baseline level, history, physical examination, and imaging studies
- Can be measured serially to guide therapy
| BNP and NT-proBNP in acute heart failure [7][13] | ||
|---|---|---|
| Heart failure unlikely | Heart failure likely | |
| BNP (pg/mL) |
|
|
| NT-proBNP (pg/mL) |
|
|
BNP has a high diagnostic value when combined with physical examination and imaging findings and is especially helpful in patients with an unclear diagnosis.
In a patient presenting with acute dyspnea, low BNP or NT-proBNP makes a diagnosis of acute heart failure very unlikely.
Additional blood tests
- Troponin: to rule out ACS [14]
- BMP: to assess for AKI and/or electrolyte disturbances [7]
- CBC: to assess for anemia [15]
- Liver chemistries: to assess for congestive hepatopathy or ischemic hepatitis [16]
- Serum albumin: to assess for other causes of peripheral edema [4]
- Consider thyroid function tests. [7][17]
Troponin levels are usually mildly elevated and stable in acute heart failure. In ACS, troponin levels rise rapidly and subsequently decline.
ECG
- Indication: all patients to assess for ACS, arrhythmias, and conduction abnormalities
-
ECG findings in acute heart failure are variable and may include: [7][9]
- Acute ischemic changes due to ACS (see “Diagnosis of myocardial infarction.”)
- Atrial fibrillation
- Left ventricular hypertrophy
- Bundle branch block
- Nonspecific ST segment changes
- Low voltage QRS [18][19]
- ECG findings may be normal.
Initial imaging
All patients with suspected acute heart failure should have a chest x-ray and echocardiography performed. [7][11]
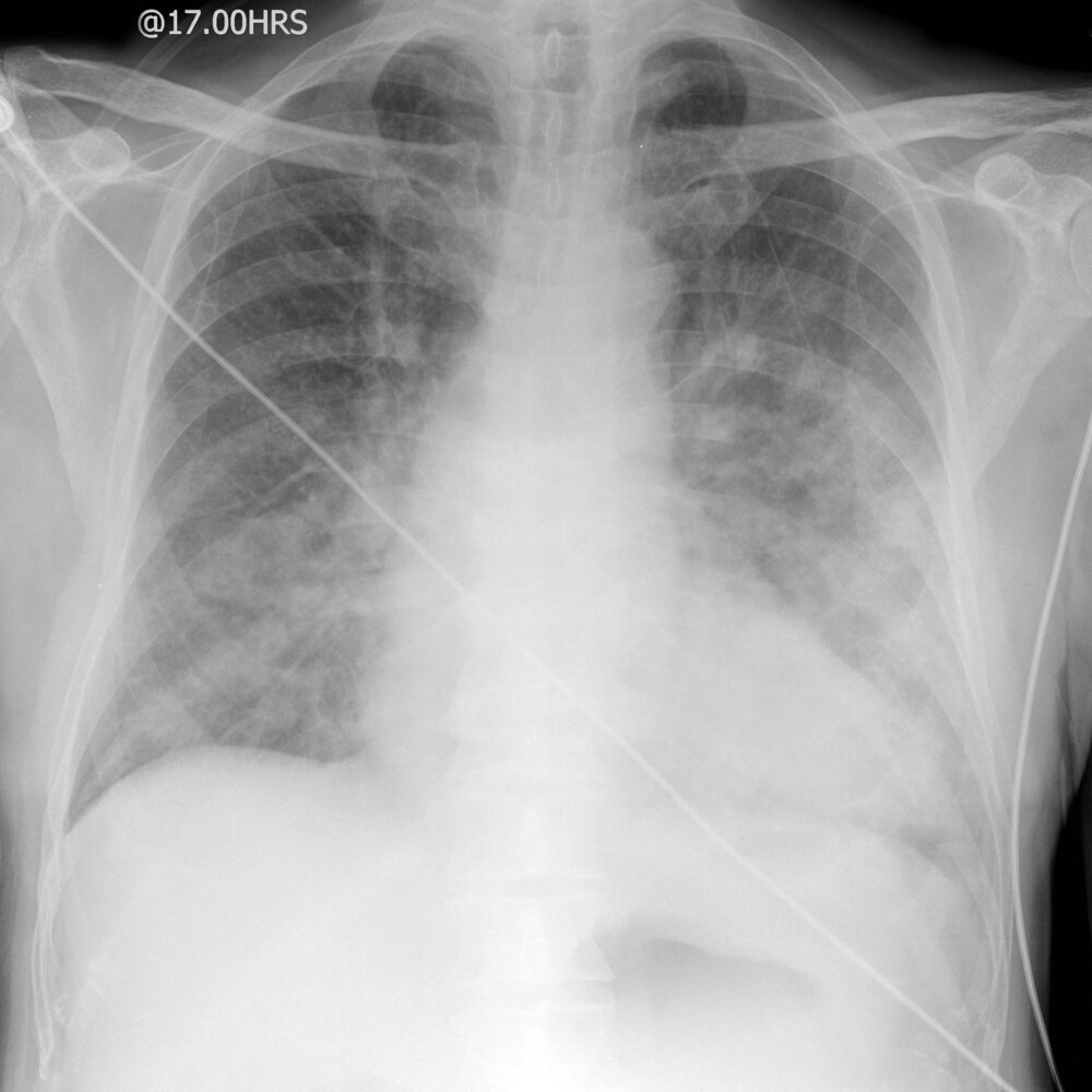
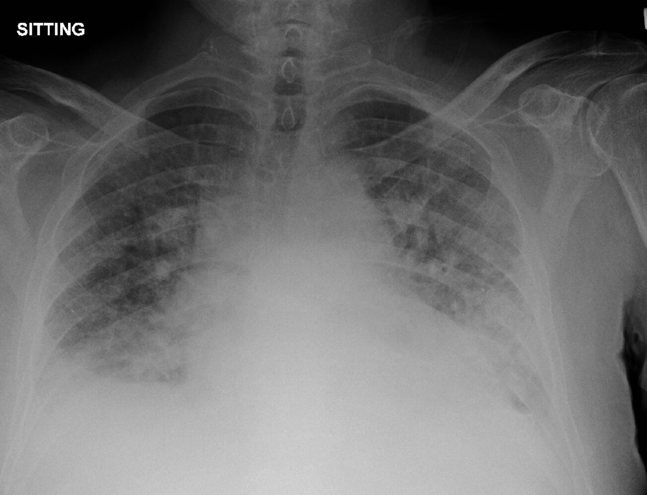
Chest x-ray [7][20]
-
Chest x-ray findings in cardiogenic pulmonary edema
- Enlarged heart shadow due to cardiomegaly and/or pericardial effusion [21]
- Kerley B lines (also known as septal lines)
- Prominent pulmonary vessels and perihilar alveolar edema (the hilar shadow has a butterfly or “bat wing” appearance)
- Basilar interstitialedema
- Bilateral pleural effusions [22]
- Cephalization: increased prominence of pulmonary vessels in the upper lobes of the lungs due to venous congestion [23]
- Peribronchial cuffing
ABCDE: Alveolar edema (bat wings), Kerley B lines (interstitial edema), Cardiomegaly, Dilated prominent pulmonary vessels, and Effusions
![]()
![]()
![]()
![]()
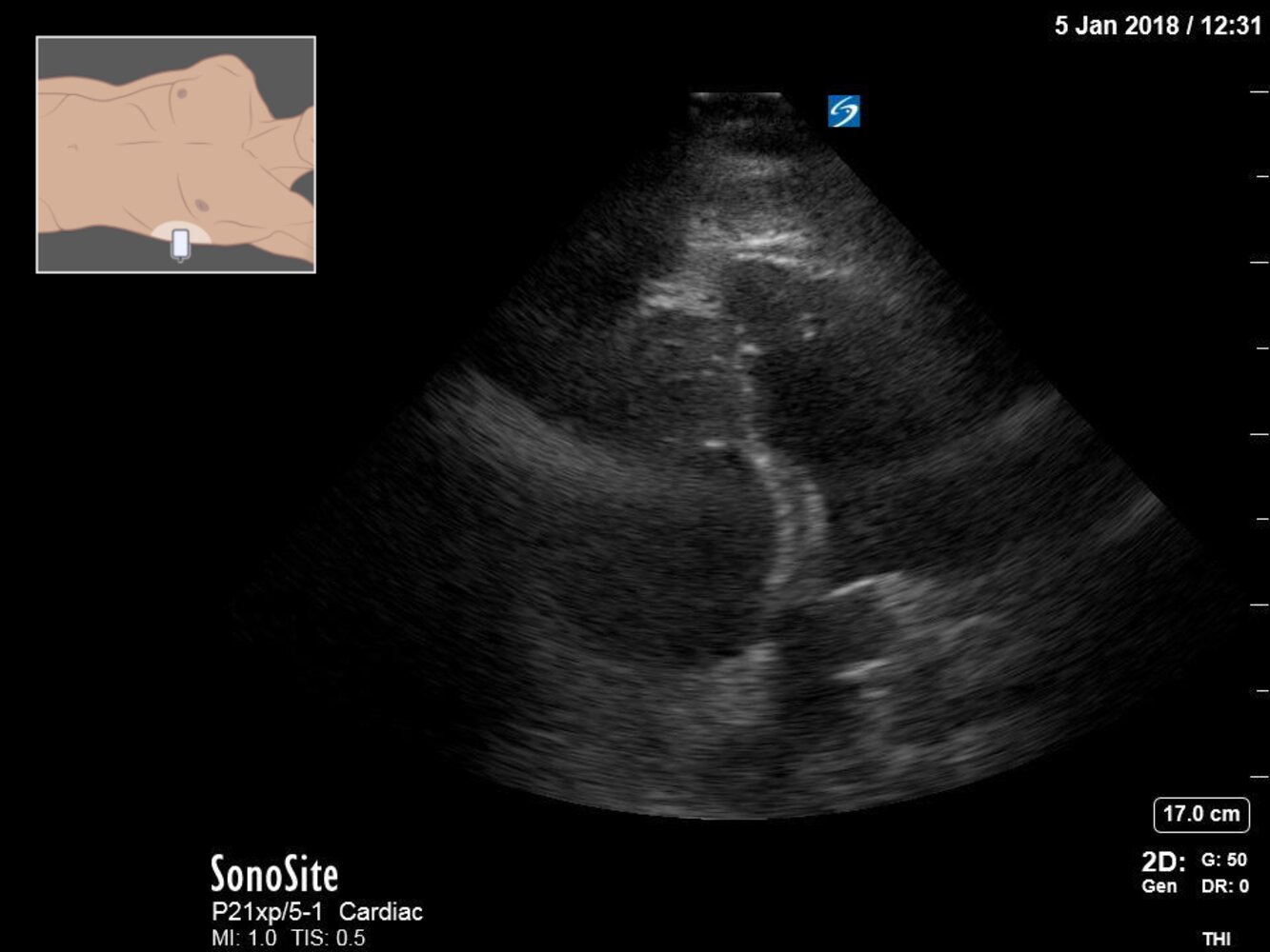
Transthoracic echocardiogram (TTE) [7][24]
- Indications: all patients with suspected acute heart failure (imaging modality of choice) [25]
-
Characteristic echocardiographic findings of AHF
- Reduced or normal LVEF [26]
- Diastolic dysfunction
- Left atrial dilation, valvular disorders [24]
- Pericardial effusion
- Right ventricular systolic dysfunction, increase in right ventricular systolic pressure
-
Specific findings related to underlying etiology
- Acute myocardial ischemia: regional wall motion abnormalities, papillary muscle rupture, mitral valve regurgitation, septal or ventricular free wall rupture [25]
- Endocarditis: vegetation on the valve
- See “Diagnostics” in “Pulmonary embolism.”
- See “Diagnostics” in “Takotsubo cardiomyopathy.”

![]()
![]()
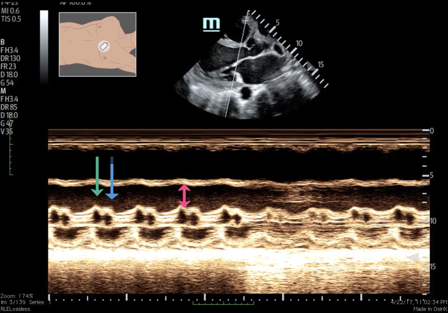
POCUS in acute heart failure
-
Description: bedside ultrasound of the lung fields, inferior vena cava (IVC), and heart
- Can be used to assess volume status prior to and during treatment
- Higher diagnostic accuracy than chest x-ray combined with NT-proBNP [11][27]
- Technique: See “Focused cardiac ultrasound.”
-
Characteristic findings [28][29][30][31]
-
Lung fields
- Pleural effusions
- ≥ 3 B lines in ≥ 2 bilateral lung zones suggest pulmonary edema [32]
- IVC ultrasound: diameter ≥ 2–2.5 cm, reduced IVC collapsibility [30]
-
Heart
- Reduced systolic function in patients with HFrEF
- Other: pericardial effusion, features suggestive of an underlying etiology (e.g., cardiac tamponade, right ventricular dilation in PE) [31]
-
Lung fields



![]()
![]()
![]()
Perform a rapid assessment with bedside echocardiography and other POCUS techniques to quickly establish the underlying cause of acute dyspnea and/or shock.
Advanced imaging
If more detailed information about myocardial viability and/or perfusion is needed (e.g., procedural planning, myocardial ischemia is suspected), further imaging modalities may be necessary after the patient is stabilized. Both MRI and CT require the patient to lie flat for sustained periods and are less accurate at higher heart rates.
-
Cardiac MRI (CMR) [7]
- May show evidence of fibrosis, cardiomyopathy, or perfusion defects
- Can be used to assess LVEF
- Cardiac CT: assessment of coronary arteries (e.g., in suspected ischemic heart disease) and structural defects [7]
-
Stress imaging [25]
- For suspected ischemic etiology or valvular pathology
- Findings may include: wall motion abnormalities, reduced coronary flow, myocardial deformation, interstitial fluid
- Coronary angiography: to evaluate for ischemic cardiomyopathy [7]
See also “Differential diagnoses of dyspnea.”
- Acute coronary syndrome
- Pneumonia
- Acute exacerbation of COPD
- Acute asthma exacerbation
- Noncardiogenic pulmonary edema (e.g., ARDS)
- Pulmonary embolism
- Transfusion-related acute lung injury
- High altitude
Wheezing can be heard in both acute heart failure and obstructive lung disease (e.g., asthma exacerbation, AECOPD). [33]
The differential diagnoses listed here are not exhaustive.
Initial management [4][9]
- Perform a rapid ABCDE survey to assess hemodynamic stability.
- Identify and treat any acute underlying cause of AHF for all patients (e.g., consider PCI for patients with ACS).
Hemodynamically stable patients
-
Clinical presentation
- SBP > 90 mm Hg and no signs of end-organ hypoperfusion
- Respiratory distress may be present.
-
Management
- All patients: Start or continue SGLT2i therapy. [4]
- Patients with no evidence of congestion (dry and warm): Optimize oral pharmacotherapy.
-
Patients with evidence of congestion (wet and warm)
- Provide respiratory support in AHF; (e.g., positioning, supplemental O2) as needed.
- Start diuretic therapy for AHF if there is volume overload.
- Consider vasodilators for AHF, e.g., nitrates.
- Morphine is not recommended. [9][34]
-
Next steps
- Clinical improvement
- Optimize guideline-directed medical therapy and begin supportive care (see “Ongoing hospital management”).
- Consider hospital admission vs. discharge home in patients presenting to the emergency department (see “Disposition”).
- Clinical deterioration: See “Hemodynamically unstable patients.”
- Clinical improvement
To remember the management of ADHF, think of “LMNOP”: Loop diuretics (furosemide), Modify medications, Nitrates, Oxygen if hypoxic, Position (with elevated upper body). [9][34]
For patients with ACS complicated by acute heart failure, consult cardiology for consideration of urgent coronary catheterization.
Hemodynamically unstable patients [35]
Early specialist consultation (e.g., critical care, cardiology) and admission to hospital is recommended.
-
Clinical presentation: can vary
- Cardiogenic shock: SBP< 90 mm Hg OR signs of end-organ hypoperfusion
- Hypertensive emergency: hypertension (e.g., SBP > 180 mm Hg) PLUS flash pulmonary edema and hypoxemic respiratory failure
-
Management: depends on the classification of AHF (See also “Hemodynamic support for AHF” and “Management of cardiogenic shock.”)
-
Evidence of congestion with shock (wet and cold)
- Prioritize respiratory support for AHF.
- Consider inotropic support (e.g., dobutamine, norepinephrine).
- Shock without evidence of congestion (dry and cold): Consider fluid challenge; add vasopressors and inotropes for shock refractory to fluids.
-
Hypertensive emergency with flash pulmonary edema (wet and warm)
- Begin NIPPV and vasodilators for AHF. [34][36][37]
- Identify and treat the underlying trigger: e.g., poorly controlled hypertension, arrhythmias, acute coronary syndrome, valvular heart disease. [38][39]
-
Evidence of congestion with shock (wet and cold)
-
Next steps
- Clinical improvement: Once stabilized, start diuretics for AHF, initiate or adjust pharmacotherapy for HF, and begin supportive care (see “Ongoing hospital management”).
- Clinical deterioration: See “Treatment of refractory heart failure.”
Patients with a wet and cold clinical presentation have a high risk of rapid deterioration and require close hemodynamic monitoring regardless of their blood pressure. [9]
If atrial fibrillation is thought to be causing hemodynamic or respiratory instability, consider immediate electric cardioversion.
Ongoing hospital management [9]
Supportive care
- Fluid restriction does not reduce hospitalization or mortality rates in patients with HF. [7]
- Sodium restriction [7]
- Discontinue or avoid any drugs that may worsen HF (e.g., NSAIDs, thiazolidinediones) [9][34]
- Identify and treat comorbidities (e.g., atrial fibrillation, pneumonia, COPD) and underlying triggers.
- VTE prophylaxis [7][40]
- For large volume ascites, consider therapeutic paracentesis. [9][41]
Optimizing therapy for chronic HF [4][7][9]
-
Administer beta blockers cautiously in beta-blocker-naive patients.
- Start at a low dose (see “Medical treatment of heart failure” for dosages).
- Administer only after stabilization (i.e., once the patient is hemodynamically stable without significant congestion, diuretic dose is stable, and vasodilators and inotropic agents have been discontinued). [7][9][34]
- Optimize guideline-directed medical therapy.
- Initiate or continue SGLT2i therapy.
- Patients on a stable dose of beta blockers: Continue the same dosage. [3]
- Consider switching from ACEIs or ARBs to an ARNI if blood pressure is stable. [4]
- Significant decline in renal function: Consider reducing or stopping RAAS inhibitors, aldosterone antagonists, and digoxin.
- Hypotension: Consider discontinuing hydralazine/isosorbide dinitrate, RAAS inhibitors, and beta blockers.
- Bradycardia: Consider reducing or discontinuing beta blockers and digoxin.
- Optimize blood pressure control (see “Hypertension”).
For patients not previously on beta blockers, use cautiously and only once the patient has been stabilized.
Monitoring [3][7]
- Daily weights, intake, and output monitoring
- Check renal function and electrolytes every 12–24 hours (see “Diuretic therapy in acute heart failure”)
- Consider serial BNP or NT-proBNP measurement. [7][9][42]
- Consider invasive hemodynamic monitoring.
- POCUS can be used to monitor volume overload. [43]
Treatment of refractory acute heart failure [9]
Consider the following if AHF persists despite maximal respiratory and hemodynamic support.
- Alternative diagnoses and comorbidities: See “Differential diagnosis of dyspnea” and “Differential diagnosis of peripheral edema.” [4]
- Ultrafiltration: (e.g., hemodialysis): indicated in congestion with no response to medical therapy [9]
-
Mechanical circulatory support: indicated in reversible refractory acute heart failure [35][44]
- ECMO is the most widely used form of mechanical support in acute heart failure.
- Intra-aortic balloon pump and left ventricular assist device may be useful in certain etiologies, e.g., mitral regurgitation.
- Management of effusions: Consider therapeutic thoracentesis or pericardiocentesis as needed.
Management depends on the classification of AHF. See “Management of cardiogenic shock” for details on therapeutic targets and monitoring.
Dry and cold AHF [9][35]
- Assess fluid responsiveness: consider small fluid challenge then reevaluate volume status. [34][35]
- If fluid responsive: Consider repeating fluid challenge.
- If signs of volume overload: Avoid fluids and optimize respiratory support for acute heart failure.
- If shock refractory to fluids: Start vasopressor (ideally norepinephrine ). [9][35][45]
- If hypoperfusion persists despite fluids and vasopressor administration: Add inotropic support (e.g., dobutamine ). [7][9]
Wet and cold AHF [9][35]
- Begin with inotropic support (e.g., dobutamine , dopamine , OR milrinone ). [7]
- If shock refractory to inotropes: Add a vasopressor (ideally norepinephrine ). [9][35][45]
Avoid inotropes in patients with left ventricular outflow tract obstruction (e.g., hypertrophic cardiomyopathy, aortic stenosis). [46]
The cornerstones of respiratory support in acute heart failure are oxygen therapy and positive pressure ventilation, typically starting with the least invasive modality and escalating as needed. [9]
Initial measures [9]
- Positioning: Ensure the patient is sitting upright. [47]
- Supplemental oxygen: indicated for patients with an SpO2 < 90% or PaO2 < 60 mm Hg (see “Oxygen therapy”).
Respiratory failure
- High-flow nasal cannula (HFNC): Consider in patients with an SpO2 < 90% non-responsive to basic oxygen delivery systems. [48][49][50][51]
-
NIPPV: for patients with respiratory distress despite supplemental oxygen [9]
- CPAP is preferred over BiPAP. [52]
- Avoid in patients with isolated RV failure , severe hypotension [53]
-
Invasive mechanical ventilation
- Indications
- Hypoxemic respiratory failure unresponsive to NIPPV
- Refractory hypoxemia (PaO2 < 60 mm Hg)
- Hypercapnia (PaCO2 > 50 mm Hg)
- Acidosis (pH < 7.35)
- Intubation and mechanical ventilation in patients with acute heart failure can be challenging. [9][41]
- See “High-risk indications for mechanical ventilation” and “Hemodynamic compromise in mechanically ventilated patients.”
- Indications
EPAP and/or PEEP should be used with caution in patients with hemodynamic compromise.
See also “Pharmacotherapy for chronic HF.”
Diuretic therapy in acute heart failure [4]
All hemodynamically stable patients with evidence of congestion (wet and warm) require diuretic therapy.
Initial treatment
- Administer diuretics intravenously, if possible.
- Diuretic-naive patients: IV furosemide OR bumetanide [4]
- Patients already taking diuretics: Administer 1–2.5 times the patient's usual oral dose intravenously as a bolus or continuous infusion. [4]
Continuing treatment
-
Loop diuretic adjustment
- Assess the effect of diuretics (e.g., urine output, urine sodium level, symptoms of congestion) every 6 hours. [54][55]
- Urinary output < 100 mL/hour or urine sodium < 50 mEq/L: Consider doubling the diuretic dose. [4]
- Urinary output > 100–150 mL/hour or urine sodium ≥ 50 mEq/L
- Patients with continued congestion (e.g., pulmonary edema): Continue scheduled diuretic at the current dose.
- Patients with no residual congestion: Consider less frequent dosing or transition to an oral diuretic.
-
Refractory congestion: Consult a cardiologist and consider adding any of the following.
- A thiazide diuretic, e.g., metolazone, hydrochlorothiazide (off-label), chlorothiazide [4][7][54]
- Acetazolamide [4][56]
- Vasodilators for AHF [7]
- Low-dose dopamine infusion [7][57]
-
Transition to oral diuretic [5]
- Once the patient is euvolemic and at their functional baseline
- Furosemide oral dose is double the furosemide IV dose.
- Bumetanide oral and IV dosing are equivalent.
Use diuretics judiciously and assess volume status, electrolytes, and creatinine levels regularly to avoid overaggressive diuresis, as this may lead to hypotension, electrolyte imbalances, and/or a deterioration in kidney function. [4][7]
Monitoring
- Monitor and replete serum electrolytes (e.g., potassium, magnesium, sodium) every 12–24 hours.
- Monitor kidney function (creatinine levels) at least once daily until the patient is stable.
- Consider continuous cardiac monitoring.
Elevated creatinine is not a contraindication to diuretic therapy in patients with acute heart failure, as renal function typically improves with effective diuresis in cardiorenal syndrome. [58]
SGLT2is [4]
- Indications: hemodynamically stable patients with estimated GFR ≥ 20 mL/min/m2, regardless of LVEF
- Agents: dapagliflozin , empagliflozin
- Considerations: Reassess diuretic dosing when starting SGLT2is.
Early initiation of SGLT2i therapy in patients hospitalized with acute heart failure decreases major cardiovascular events and congestion, and reduces the length of hospital stay. [4][59][60]
Vasodilator therapy in acute heart failure
-
Indications [7][9]
- Acute heart failure caused by hypertensive emergency (see “Treatment of hypertensive crises”) [9][61]
- Flash pulmonary edema
- Adjuvant to diuretics for symptomatic relief of dyspnea [7]
-
Treatment options [7]
- IV nitroglycerin [7]
- Sodium nitroprusside [7]
-
Cautions
- Do not use vasodilators if SBP is < 90 mm Hg.
- Doses should be carefully titrated to prevent large drops in blood pressure. [62]
- Use with caution in patients with mitral or aortic stenosis. [63]
For patients with hypertensive acute heart failure with pulmonary edema in the emergency department or prehospital setting, consider a single dose of sublingual nitroglycerin (i.e., nitroglycerin 0.4 mg sublingual once) while obtaining IV access and setting up an infusion. [34]
Avoid the use of vasodilators in patients with acute heart failure and hypotension.
Hyponatremia
- Fluid restriction
- Diuretics, if signs of fluid overload are present
- Consider vasopressin antagonists (e.g., conivaptan, tolvaptan) in consultation with a specialist.
- See also “Hyponatremia.”
Atrial fibrillation with RVR [64]
See “Afib with heart failure.”
Cardiorenal syndrome
Cardiorenal syndrome causes prerenal acute kidney injury with hypervolemia. Management is complex and involves early nephrology input, fluid restriction, and diuretics (see “Hemodynamic support in patients with AKI”).
- Patients with reduced eGFR may require higher initial doses of diuretic therapy. [54]
- Ultrafiltration may be necessary. [65]
Patients presenting with acute heart failure are usually initially managed in the emergency department; most require subsequent hospitalization.
Hospital admission criteria [3][10][11][34]
Consider admission for patients with any of the following:
- De novo heart failure: for further evaluation and management
-
ADHF with:
- Significant respiratory distress: i.e., dyspnea and/or tachypnea at rest
- Significant congestion: i.e., marked lower extremity edema, ascites, or perineal scrotal edema [4]
- Features of decreased cardiac output: e.g., altered mental status, renal impairment, hypotension
- Hemodynamically significant arrhythmia
- Acute coronary syndrome
- Comorbid conditions requiring treatment: e.g., persistent electrolyte abnormalities
- Weight gain of > 2.25 kg (> 5 lbs)
Consider ICU admission for patients at high risk of deterioration, and/or patients with hemodynamic instability and/or respiratory failure requiring aggressive support. [4][10]
Discharge from the emergency department [3][10][11][34]
Discharge may be considered in selected patients with known chronic HF who have returned to their baseline status of health after initial management. [11]
- Optimize medical therapy for chronic heart failure.
- Ensure close outpatient follow-up (typically within 1 week).
- Educate patients on medication adherence, salt restriction, self-monitoring, and symptom recognition (see “General measures” in “Treatment of heart failure”).
We appreciate your feedback!
We’re testing dot phrases with ready-to-use assessment and plan templates.
Please verify all information before use; follow local protocols and procedures when available.
Acute heart failure (hemodynamically stable)
Assessment: This is a @AGE@-year-old @SEX@ presenting with symptoms of acute heart failure. Symptoms include [**dyspnea, orthopnea, lower extremity edema], and physical exam findings include [**pulmonary rales, elevated jugular venous pressure, peripheral edema]. Hemodynamically stable: SBP > 90 mm Hg, no signs of end-organ hypoperfusion. Evidence of congestion: [**elevated JVP, pulmonary edema on chest x-ray]. No evidence of cardiogenic shock or significant hypotension. Suspected cause: [**ischemic, infiltrative, structural, endocrine, viral, toxin-mediated, tachycardia, medication nonadherence, idiopathic].
Differential diagnoses: acute coronary syndrome, PE, pneumonia, AKI
Admission weight: **
Dry weight: **
Baseline BNP/NT-proBNP: **
Plan
Disposition: inpatient admission for diuresis and optimization of heart failure therapy
Monitoring
–Continuous telemetry and pulse oximetry
–Daily weights, strict intake/output monitoring [goal UOP: **]
–Serial monitoring of electrolytes, renal function, and BNP/NT-proBNP
Acute management
–[Furosemide 20–40 mg IV every 12 hours] OR [Bumetanide 0.5–1 mg IV 1–3 times daily] for volume overload
–Monitor urine output [and urine sodium] and adjust diuretics PRN.
–[Dapagliflozin 10 mg PO once daily] OR [Empagliflozin 10 mg PO once daily]
–Hold beta blockers (if initiated during or shortly before decompensation).
–Supplemental oxygen: Titrate to SpO2 ≥ 90%.
–-Keep the patient in an upright position to reduce pulmonary congestion.
GDMT: Optimize as once euvolemic as blood pressure permits.
–RAAS inhibitor [**ACEIs, ARBs, or ARNI]
–Beta blocker
–MRA [**spironolactone, eplerenone]
Prophylaxis and supportive care
–DVT prophylaxis
–Counsel on sodium restriction and medication adherence.
F/E/N
–Low sodium diet
–Replete: K > 4 mEq/L, Mg > 2 mg/dL
Acute heart failure (hemodynamically unstable)
Assessment: This is a @AGE@-year-old @SEX@ presenting with acute heart failure and hemodynamic instability. Symptoms include [**severe dyspnea, fatigue, confusion], and physical exam findings include [**hypotension, tachycardia, cool extremities, oliguria]. Hemodynamic status: SBP < 90 mm Hg OR evidence of end-organ hypoperfusion. Evidence of congestion: [**pulmonary edema on imaging, elevated JVP]. Suspected cause: [**acute myocardial infarction, arrhythmia, infection, severe hypertension].
Differential diagnoses: noncardiac pulmonary edema, pulmonary embolism, acute coronary syndrome, valvular heart disease
Admission weight: **
Dry weight: **
Baseline BNP/NT-proBNP: **
Plan
Disposition: CCU admission for advanced monitoring and therapy
–Continuous telemetry
–Pulse oximetry
–Art line for invasive blood pressure monitoring
–Serial ECGs and troponins to rule out ischemia
–Bedside echo for assessment of cardiac function and volume status.
–Low cardiac output: [Dobutamine 2.5–20 mcg/kg/minute IV infusion; titrate PRN (max. rate 40 mcg/kg/minute).] OR [Milrinone 0.125–0.75 mcg/kg/minute IV infusion; titrate PRN (max. rate 0.75 mcg/kg/minute).] OR [Dopamine 5–15 mcg/kg/minute IV infusion; titrate PRN (max. rate 50 mcg/kg/minute).]
–Persistent hypotension or signs of end-organ dysfunction: [Norepinephrine 0.05–0.4 mcg/kg/minute IV infusion; titrate PRN.]
–Volume depletion: [**small fluid challenge]
–Volume overload: [**diuretics or ultrafiltration as tolerated]
–Supplemental oxygen: Titrate to SpO2 ≥ 90%
–NIPPV for pulmonary edema or hypoxemia
–Intubation and mechanical ventilation for severe respiratory failure or altered mental status
Underlying cause
–[Acute coronary syndrome: Consult cardiology for urgent PCI if indicated.]
–[Arrhythmia: immediate cardioversion for unstable atrial fibrillation or ventricular arrhythmias]
–[Hypertensive crisis: Initiate nitroglycerin or nitroprusside to reduce afterload.]
–[Sepsis/infection: broad-spectrum antibiotics pending culture results]
Advanced therapies
–[Mechanical circulatory support: Consider intra-aortic balloon pump, Impella, or extracorporeal membrane oxygenation (ECMO).]
–[Ultrafiltration: for refractory volume overload unresponsive to diuretics]
–[Thoracentesis or paracentesis: If significant pleural or peritoneal effusions are contributing to symptoms.]
Prophylaxis and supportive care
–VTE prophylaxis (e.g., LMWH or UFH)
–Nutritional support
–Maintain euglycemia.
Monitoring
–Frequent reassessment of hemodynamics, perfusion, and clinical symptoms
–Daily monitoring of weight, fluid balance, renal function, and electrolytes
–Regular evaluation for improvement or progression of congestion and perfusion
- One-Minute Telegram 132-2025-3/3: Flu fighters: learn to fly past acute heart failure
- One-Minute Telegram 99-2024-3/3: Early initiation of dapagliflozin during hospitalization for AHF
- One-Minute Telegram 68-2023-2/3: Loop me in: torsemide or furosemide for heart failure?
- One-Minute Telegram 31-2021-3/3: Benefits to rehabilitation programs for older patients with heart failure?
- One-Minute Telegram 15-2020-4/4: Early IV nitrate treatment for acute heart failure: should we or shouldn’t we?
Interested in the newest medical research, distilled down to just one minute? Sign up for the One-Minute Telegram in “Tips and links” below.