Acute liver failure (ALF) is a severe condition characterized by rapidly progressive liver injury, hepatic encephalopathy, and impaired synthetic function, which results in coagulopathy. The most common causes are infections (e.g., viral hepatitis) and acetaminophen toxicity. Signs of hepatic encephalopathy may be accompanied by jaundice and nonspecific symptoms such as nausea, vomiting, and fatigue. The diagnosis is confirmed by identifying an elevation of liver chemistries and an altered coagulation panel in patients with encephalopathy. Clinicians should maintain a high index of suspicion and aim to confirm the diagnosis as quickly as possible in order to start management early. Most patients with ALF are critically ill and require admission to a critical care unit. The prognosis is usually poor, and most patients require urgent liver transplantation as definitive treatment.
![]()
-
Acute liver failure (ALF)
- Rapidly progressive and severe acute liver injury lasting ≤ 26 weeks associated with coagulopathy and encephalopathy in individuals without previous hepatic disease [1]
- Subtypes are defined by the time it takes for encephalopathy to develop after the onset of other symptoms, e.g., jaundice. [1][2]
- Hyperacute: ≤ 1 week
- Acute: 1–3 weeks
- Subacute: 3–26 weeks
- Acute liver injury: markers of liver injury (elevated transaminases with or without hyperbilirubinemia) and impaired liver function (i.e., coagulopathy) in patients with no encephalopathy and no chronic liver disease [3][4]
- Acute-on-chronic liver failure (ACLF): a distinct syndrome involving acute deterioration of chronic liver disease accompanied by multiorgan failure and significant short-term mortality [5][6][7]
Hyperacute presentations of acute liver failure carry a high risk of cerebral edema and are primarily seen in acetaminophen toxicity, viral hepatitis from hepatitis A and E, and ischemic liver injury. [1]
- Idiopathic (20–45% of cases) [8]
-
Hepatotoxic drugs and supplements [1]
- Acetaminophen toxicity (most common cause in the US) [9]
- See “Drug induced liver injury” for other common causative agents.
-
Infection [1]
-
Acute viral hepatitis
- HAV infection, HBV infection, or HEV infection
- HBV-HDV coinfection or superinfection
- Other viral infections (rare): CMV, EBV, HSV, VZV, or adenovirus
- Toxoplasmosis (e.g., in transplant recipients) [10]
-
Acute viral hepatitis
- Other exogenous toxins: e.g., mushroom poisoning, aflatoxin, alcohol [1][11]
-
Miscellaneous [1]
- Vascular disorders: e.g., Budd-Chiari syndrome, ischemic hepatitis
- Pregnancy-related disorders: e.g., HELLP syndrome, acute fatty liver of pregnancy
- Inherited or autoimmune conditions: e.g., Wilson disease, autoimmune hepatitis
- Malignant infiltration: e.g., lymphoma, metastases
Presentation is mostly nonspecific; clinicians should maintain a high index of suspicion in patients who acutely develop the following symptoms: [2][3][12]
- Signs of hepatic encephalopathy (e.g., altered level of consciousness, asterixis)
- Symptoms of cerebral edema [13]
- Nausea, vomiting
- Fatigue, lethargy, malaise
- Jaundice, pruritus
- Anorexia
- Abdominal pain: may be located in the RUQ or diffuse, secondary to ascites
- Features of the underlying etiology (e.g., Kayser-Fleischer rings in Wilson disease)
In hyperacute liver failure, jaundice is usually minimal and the predominant presentation is encephalopathy, which can delay diagnosis and management.
Decompensated cirrhosis and ALF have many overlapping clinical features, while features unique to ACLF include signs of portal hypertension, variceal hemorrhage, and hepatorenal syndrome-acute kidney injury. [1]
![]()
![]()
![]()
![]()
![]()
- Decompensated cirrhosis
- Severe acute hepatitis without liver failure, e.g., acute alcohol-associated hepatitis, acute viral hepatitis
- Chronic liver disease with superimposed illness
- Sepsis
- Other encephalitis or encephalopathy, e.g., drug- or toxin-induced, uremic encephalopathy (see “Causes of altered mental status”)
- See also “Causes of jaundice in adults” and “Causes of elevated transaminases.”

![]()
The differential diagnoses listed here are not exhaustive.
Approach [1]
- Begin immediate stabilization using the ABCDE approach before diagnostic confirmation if severely ill upon presentation.
- Confirm the diagnosis based on laboratory studies and signs of hepatic encephalopathy.
- Admit to a critical care unit. [12]
- Consult hepatology for specialist-guided management.
- Identify liver transplant candidates early using, e.g., King's College criteria and refer them to a transplant center if necessary.
ALF can cause multiorgan dysfunction, which requires system-based management in a critical care unit. [14]
Stabilization [1][2][12]
-
Immediate hemodynamic support
- Volume repletion with normal saline
- Titrate to target MAP of 60–80 mm Hg. [1]
- Start vasopressors if no response to fluids.
- First-line: norepinephrine
- Second-line: Consider adding vasopressin.
- Consider hydrocortisone for persistent hypotension.
- Start hemodynamic monitoring (e.g., BP and urinary output) to adjust therapy
-
Respiratory support
- Secure airway as needed.
- Consider early intubation for airway protection in patients with higher-grade encephalopathy.
- See also “Intubation of patients with high ICP.”
- Start clinical and SpO2 monitoring and consider serial ABG.
-
Management of elevated ICP and cerebral edema
- Start early CRRT for patients with overt hepatic encephalopathy.
- Consider hyperosmolar therapy for ICP management (mannitol, hypertonic saline).
- Consider short-term controlled hyperventilation (see “Ventilation strategy for elevated ICP”).
- Consider ICP monitoring in patients who are transplant candidates.
Approach [1]
- Obtain initial laboratory studies to support the diagnosis and assess severity based on organ dysfunction.
-
ALF is confirmed if all of the following are present:
- Encephalopathy
- Abnormal liver chemistries
- Coagulopathy (INR > 1.5)
- Obtain imaging to rule out alternative diagnoses, e.g., head CT to rule out other causes of encephalopathy.
-
Identify the underlying cause.
- Consider causes based on patient history, e.g., alcohol-associated fatty liver, metabolic dysfunction-associated steatotic liver disease, or drug-induced liver injury.
- Obtain additional laboratory studies based on clinical suspicion.
- Liver biopsy may be considered if the underlying cause remains unclear.
Initial studies [1]
Laboratory studies [12]
-
CMP
- Liver chemistries: elevated transaminases, hyperbilirubinemia
- Hypoglycemia
- Electrolytes: may show various disturbances, e.g., hyponatremia, hypokalemia, hypophosphatemia
- Renal function tests: ↑ BUN and creatinine in patients with acute kidney injury or hepatorenal syndrome
-
Coagulation panel
- Prolonged prothrombin time (INR ≥ 1.5)
- Presence of other derangements (e.g., hypofibrinogenemia) is variable
-
CBC
- Platelet count typically ≤ 150,000/mm3
- Other findings may be present depending on the underlying cause, e.g., leukopenia in some viral infections
-
Blood gas analysis
- Acid-base status can vary between acidosis , mixed acid-base disorder, and alkalosis , depending on the underlying etiology [15]
- Lactate: commonly elevated; marker of severe disease
-
Other
- Serum ammonia (preferably arterial): frequently elevated; values > 150 micromol/L are associated with a higher risk of increased ICP.
- LDH: typically elevated in early stages of acute liver failure
- Blood and urine cultures
- Type and screen
ALF diagnosis requires the presence of abnormal liver chemistries, coagulopathy (INR > 1.5), and encephalopathy. [1]
Imaging [1]
- CT head: Obtain initially to rule out alternative causes of altered mental status.
-
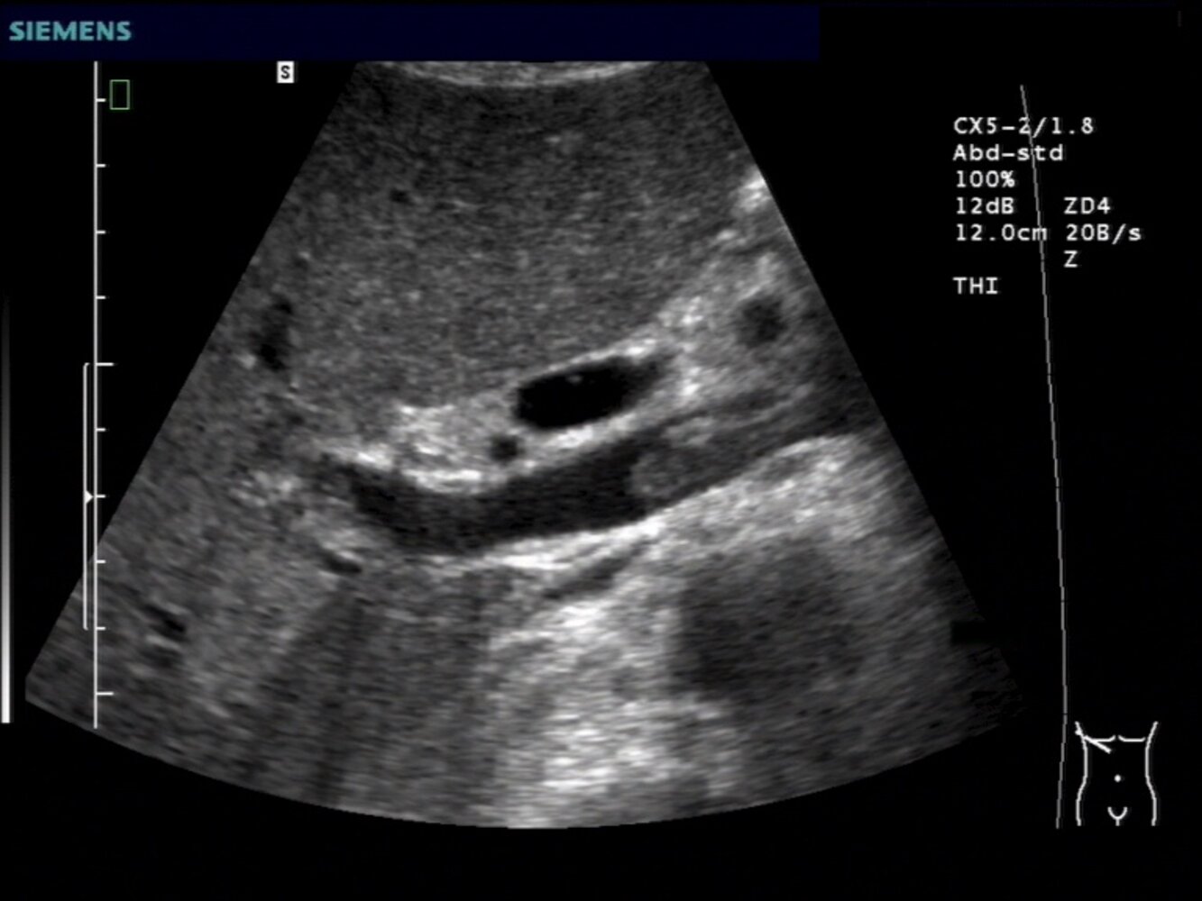
Abdominal ultrasound with Doppler: to assess liver damage [16]
-
Ultrasound findings
- Early: may include heterogeneous hypoechogenicity (sign of necrosis) and/or ascites
- Late: in patients who have been sick for at least seven days, may show a nodular surface, which can be mistaken for cirrhosis
- Doppler findings depend on the underlying cause, e.g., portal vein thrombosis, hepatic ischemia.
-
Ultrasound findings
- Chest x-ray: to rule out cardiopulmonary complications
- ECG: to identify dysrhythmias
![]()
![]()
Identifying the underlying cause [1][17]
Additional laboratory studies
-
Viral studies
- All patients: viral hepatitis panel including hepatitis Eserologywith IgG and possibly RNA testing
- Consider PCR for EBV, CMV, adenovirus, and HSV.
- Consider VZV (IgM) in immunocompromised patients or those with a vesicular rash.
-
Testing for hepatotoxic medications
- Urine drug screen
- Serum acetaminophen and salicylate levels
- Additional testing based on clinical suspicion
-
Testing for more uncommon etiologies based on clinical suspicion, e.g.:
- Serum ceruloplasmin and copper studies for Wilson disease [17]
- Serum IgG levels and autoimmune markers ; for autoimmune hepatitis
- α-fetoprotein for suspected malignancy
- Pregnancy test in suspected HELLP syndrome
- Serum ferritin in suspected hemophagocytic lymphohistiocytosis [3]
- Hematologic studies (e.g., blood smear, Coombs test): may show abnormalities, e.g., hemolytic anemia in Wilson disease [18]
In many cases, the cause remains unknown even after an extensive evaluation.
Liver biopsy
-
Indications
- Unclear etiology
- The suspected underlying cause requires specific management (e.g., autoimmune hepatitis, malignancy).
- Findings: depend on the underlying cause; necrosis and regeneration are common.
- Complications: significant risk of bleeding
The significant risks of performing a liver biopsy may outweigh the benefits, as most patients with ALF require a liver transplant regardless of biopsy results.
General principles
- If indicated, start NAC as early as possible.
- If the underlying cause is known, initiate specific management.
- Assess candidacy for liver transplantation and, if necessary, transfer candidates to a transplant center without delay.
- Manage any complications, e.g., cerebral edema, acute kidney injury, or coagulopathy.
Urgent liver transplantation remains the standard of care for ALF. [12]
N-acetylcysteine (NAC) [1][2][12]
- Indicated in all patients with ALF due to confirmed or suspected acetaminophen toxicity
-
Consider in patients with ALF due to:
- Any other type of drug-induced liver injury [19][20]
- Confirmed or suspected mushroom poisoning, e.g., Amanita phalloides
- Dosage and administration
- 21-hour IV NAC regimen
- 72-hour oral NAC regimen
- Consider extending therapy on a case-by-case basis depending on clinical and laboratory evaluations.
- Continue NAC for acetaminophen overdose until NAC stopping criteria are met. [21]
Administer NAC as early as possible if indicated, i.e., before hepatic encephalopathy becomes severe. [14]
Treatment of the underlying cause [1][8]
- Autoimmune hepatitis: Consider a trial of steroids on a case-by-case basis, weighing the increased risk of infection against the likely benefit.
- Viral hepatitis: supportive treatment and antivirals, depending on the cause (e.g., HBV infection, HSV hepatitis)
- A. phalloides poisoning: Start treatment with silibinin (preferred) or penicillin G; consider NAC. [1]
- Pregnancy-associated liver diseases: Urgent delivery of the fetus is indicated.
- Acetaminophen toxicity: Start NAC and management of acetaminophen overdose.
If the cause is medication- or substance-induced, notify the local poison control center.
Liver transplant [1][22]
- Consider liver transplant in most patients, as a high proportion do not recover with supportive therapy alone.
- Use prognostic scoring systems to risk-stratify patients' need and urgency of transplantation.
- Commonly used scores
- King's College criteria: provides indications for liver transplant [8][22]
- MELD (for patients over 12 years of age) or PELD (for pediatric patients): prioritizes patients waiting for a transplant
- For patients who require transplant:
- Refer immediately to a transplant center.
- Obtain a pretransplant evaluation and pretransplant infectious workup.
![]()
![]()
| King's College criteria for risk stratification in acute liver failure [22] | |
|---|---|
| ALF type | Liver transplant indications |
| Secondary to acetaminophen toxicity [1][23] |
|
| Other etiologies |
|
Management of complications [1][2][12]
-
Encephalopathy
- Lactulose may be considered in patients who are alert and do not require respiratory support. [3][24]
- The benefit of rifaximin is unclear.
- Avoid hyponatremia.
-
Metabolic and nutritional support
- Optimize nutrition: for patients in a catabolic state, optimize weight-based protein intake enterally or via TPN.
- Electrolyte repletion and treatment of hypoglycemia as needed
- Avoid hypotonic fluids (may result in hyponatremia).
- Consider glucose infusion with a target glucose ∼ 140 mg/dL. [2][25]
- Consider serial CMP monitoring.
-
Hemostasis [2][25][26]
-
Correct coagulopathy if there is active bleeding or a need for invasive procedures, usually using a combination of: [26][27]
- Fresh frozen plasma (most common)
- Recombinant factor VIIa
- Cryoprecipitate (for hypofibrinogenemia < 100 mg/dL)
- Vitamin K
- Platelets (e.g., for severe thrombocytopenia)
- See “Transfusion” for dosages.
- Consider stress ulcer prophylaxis to prevent GI bleeding.
- Consult hematology for specialized management.
- Monitor coagulation studies and consider using viscoelastic hemostatic assays.
-
Correct coagulopathy if there is active bleeding or a need for invasive procedures, usually using a combination of: [26][27]
-
Management of kidney injury
- Optimize hemodynamic support in patients with AKI.
- Consider early acute renal replacement therapy (CRRT is preferred).
- See also “Acute kidney injury” and “Hepatorenal syndrome.”
- Monitor urine output and consider serial renal function tests.
-
Infection control
- Begin infection control and prevention measures based on individual risk (e.g., consider isolation).
- Screen for and start empiric antibiotics for sepsis if suspected.
- Monitor with frequent clinical assessments (e.g., vital signs, qSOFA).
- Consider serial biomarkers (e.g., CBC, CRP, ESR).
We appreciate your feedback!
We’re testing dot phrases with ready-to-use assessment and plan templates.
Please verify all information before use; follow local protocols and procedures when available.
Acute liver failure (adult)
Assessment: This is a @AGE@-year-old @SEX@ presenting with acute onset of jaundice, hepatic encephalopathy, and coagulopathy most consistent with acute liver failure. Suspected cause: [**acetaminophen toxicity, viral hepatitis, autoimmune hepatitis, toxin exposure, unknown]
Differential diagnoses: acute on chronic liver disease, acute liver injury, sepsis, hypoperfusion-related liver injury, metabolic disorders
Plan:
Disposition
–Admit to ICU for close monitoring and management based on [presence of encephalopathy, coagulopathy with INR > 1.5, multisystem organ dysfunction or hemodynamic instability, consideration of liver transplant].
–OR [Admit to medicine.]
Stabilization and monitoring
–IV fluids to maintain MAP of 60–80 mm Hg
–Norepinephrine for vasopressor support if hypotension persists
–Intubate for airway protection PRN.
–Consider ICP monitoring in transplant candidates with severe encephalopathy.
–Manage elevated ICP with hyperosmolar therapy (e.g., mannitol or hypertonic saline).
Cause-specific treatment
–Acetaminophen toxicity: [Start IV N-acetylcysteine 150 mg/kg IV infusion loading dose over 1 hour, then 50 mg/kg IV infusion over 4 hours, followed by 100 mg/kg IV infusion over 16 hours (total 300 mg/kg)] OR [Oral N-acetylcysteine 140 mg/kg PO loading dose, then 70 mg/kg PO every 4 hours for a total of 17 doses (total 1,330 mg/kg)]
–Viral hepatitis: Initiate antiviral therapy [**if indicated (e.g., for HBV or HSV infection)].
–Autoimmune hepatitis: glucocorticoids
–Mushroom poisoning (Amanita phalloides): Administer silibinin or penicillin G; consider NAC.
–Pregnancy-related liver failure: OB-GYN consult
Liver transplant evaluation
–Assess using [**King's College criteria] OR [**MELD score].
–Consult transplant hepatology for evaluation and transfer to a transplant center [**if criteria are met].
Encephalopathy: Lactulose 30–60 mL PO or via enteral tube every 2–6 hours; titrate to maintain 3–4 bowel movements per day (avoid in ileus).
Correct coagulopathy only for active bleeding or invasive procedures.
F/E/N
–Monitor metabolic parameters, including electrolytes and lactate.
–Maintain euglycemia.
–Avoid hyponatremia to prevent cerebral edema.
–Nutrition: enteral feeding, dietician consult
- Advances in management have improved outcomes for ALF patients, but prognosis remains poor (overall mortality of 30–40%) and is worse for ALF of indeterminate etiology. [2][28]
- Survival without liver transplant depends on etiology [28]
- Acetaminophen toxicity, hepatitis A, ischemic hepatitis, pregnancy-related (e.g., HELLP syndrome, AFLP): ≥ 50%
- All other etiologies: < 25%
- Survival with liver transplant: ∼ 65–84% at 1 year [8]