Guest Mode
AMBOSS Articles/ Radiology

Adrenal Incidentaloma

An adrenal incidentaloma is an adrenal mass that is detected on imaging conducted for reasons unrelated to adrenal conditions. Most adrenal incidentalomas are nonfunctioning (hormonally inactive) benign cortical adenomas. Approximately 20% are functional (hormonally active) and/or malignant tumors. The most important diagnostic steps are to evaluate hormonal activity using biochemical testing and the risk of malignancy using imaging (primarily CT without contrast). Nonfunctioning benign adenomas do not require treatment or routine follow-up. All patients with malignant adrenal incidentalomas (e.g., metastases, adrenocortical carcinoma) and/or functional adrenal incidentalomas (e.g., pheochromocytomas or tumors causing cortisol excess) should be managed by a multidisciplinary team and may need further diagnostic assessment. Most functioning and malignant adrenal tumors require adrenalectomy.

An adrenalincidentaloma is a clinically unapparent adrenal mass detected on imaging studies conducted for reasons unrelated to the assessment of adrenal conditions. [1][2]

Adrenal masses detected in patients being screened for hereditary syndromes or undergoing staging or follow-up for extra-adrenal cancer are not included in the definition of adrenal incidentaloma.

  • Prevalence: 1–6% in adults; increases with age and peaks at 40–70 years of age [1][3]
  • Nonfunctioning (hormonally inactive) benign cortical adenomas: ∼ 75% of cases [1]
  • Functional and/or malignant tumors: ∼ 20% of cases [1]

The vast majority of functional (hormonally active) adrenal adenomas produce excess glucocorticoids. [4]

Epidemiological data refers to the US, unless otherwise specified.

Benign adrenal incidentalomas [2][4]

  • Adrenal adenoma (most common)
    • Nonfunctioning
    • Functional (e.g., mild autonomous cortisol secretion, primary hyperaldosteronism, Cushing syndrome)
  • Pheochromocytoma
  • Other
    • Myelolipoma or schwannoma (mesenchymal origin)
    • Ganglioneuroma (neurogenic origin)
    • Cyst and pseudocyst
    • Hematoma and hemorrhage

Malignant adrenal incidentalomas [2][4]

  • Adrenal metastases (most common)
  • Adrenocortical carcinoma: functional or nonfunctioning
  • Other
    • Malignant pheochromocytoma
    • Sarcoma
    • Lymphoma

Focused history [4][5]

  • Systemic symptoms (e.g., fever, fatigue, weight loss)
  • Personal and family history of:
    • Endocrine disorders
    • Adrenal or extra-adrenal malignancy
    • Genetic syndromes associated with adrenal tumors
  • Medications that can affect biochemical testing (e.g., glucocorticoids)

Focused examination [4][5]

  • Signs of Cushing syndrome
  • Signs of pheochromocytoma
  • Signs of primary hyperaldosteronism
  • Signs of hyperandrogenism (e.g., hirsutism, acne) or hyperestrogenism (e.g., gynecomastia)
  • Signs of adrenal insufficiency

Patients are often asymptomatic and have normal physical examination findings because the majority of adrenal incidentalomas are nonfunctioning and benign.

The majority of adrenal incidentalomas do not require further diagnostics or management after a review of imaging and initial biochemical testing.

Management approach

  • Review imaging to assess the risk of malignancy (preferably CT without contrast).
  • Obtain biochemical testing to evaluate hormonal activity.
    • Dexamethasone suppression test for all patients
    • Additional studies (e.g., aldosterone-to-renin ratio) based on clinical suspicion for a functional and/or malignant tumor
  • Consider additional imaging and/or laboratory studies based on initial findings.
  • Consult a multidisciplinary team (endocrinologist, endocrine surgeon, radiologist) for management of functional tumors or if there is suspicion for malignancy. [1][2][4]

During the initial evaluation of adrenal incidentaloma, simultaneously perform a thorough clinical evaluation, review of imaging, and biochemical studies.

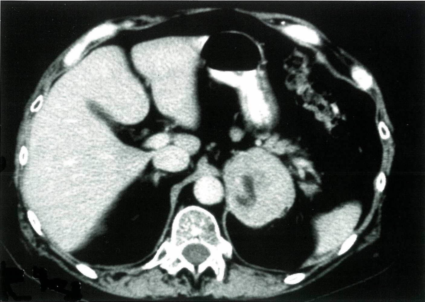
Imaging [1][2][4]

CT without contrast (first-line)[2]

  • Low-risk features for malignancy include:
    • ≀ 10 Hounsfield units (HU), i.e., lipid-rich mass
    • < 4 cm in diameter [2]
    • Homogeneous
  • High-risk features for malignancy include:
    • > 10 HU [2]
    • β‰₯ 4 cm in diameter [4]
    • Heterogeneity
    • Irregular tumor margins, necrosis, vascularity, calcification
  • Interpretation
    • Low-risk features: no further imaging required
    • Combination of low-risk and high-risk features: Consider additional imaging studies.
    • High-risk features : Consider surgery (and/or additional imaging).

A homogeneous adrenal mass with an attenuation (radiodensity) of ≀ 10 HU is considered benign and does not require further imaging.

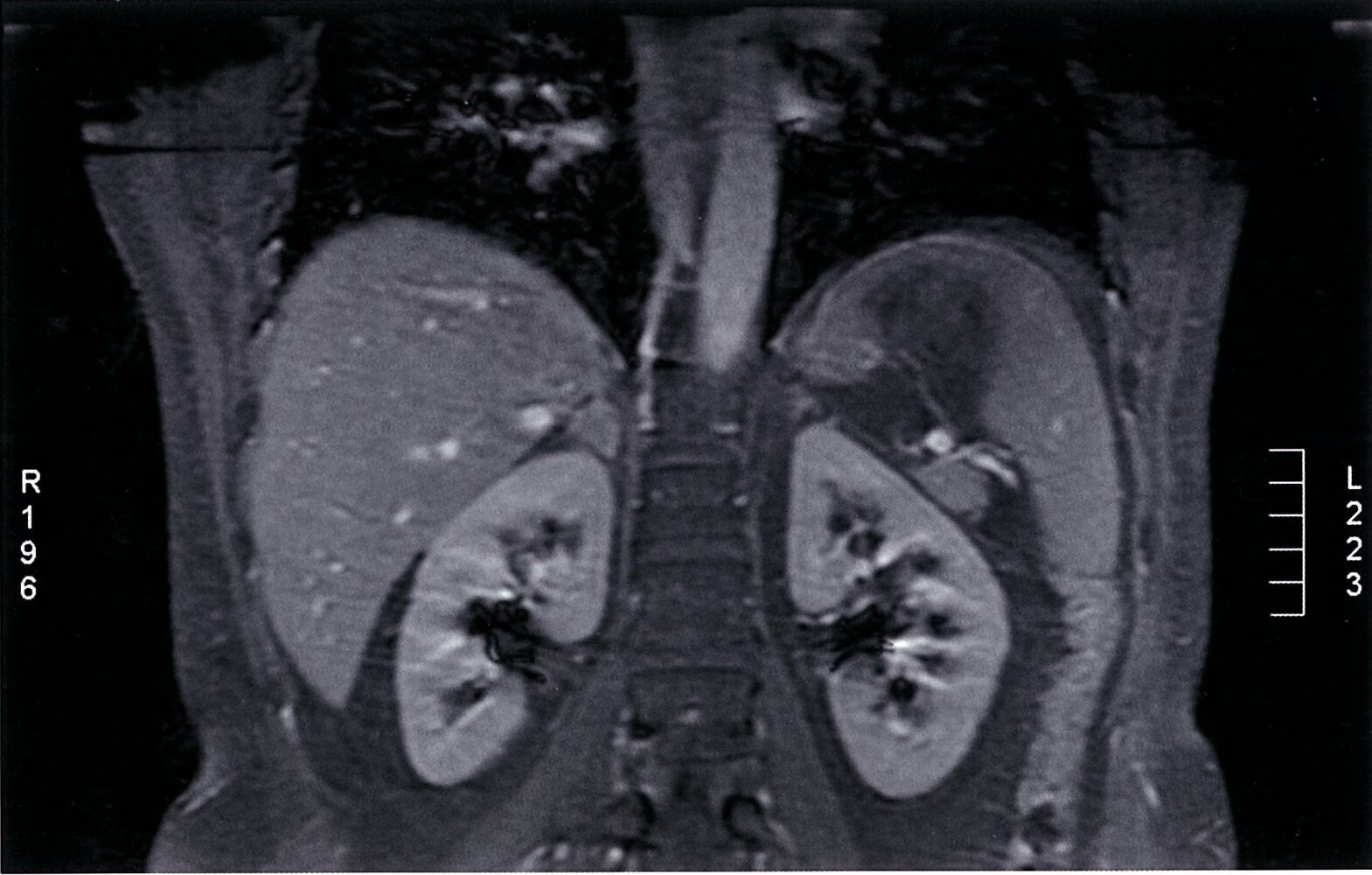
Alternative and additional imaging

  • MRI with chemical shift analysis
    • Alternative to CT to identify benign masses and exclude malignancy
    • Offers equivalent information to CT
  • FDG-PET CT
    • Mainly used as additional imaging for indeterminate masses on CT/MRI to identify malignancy
    • May detect the primary tumor in patients with adrenal metastases
    • May detect metastases of a malignant adrenal tumor
  • Other: e.g., MRI , CT abdomen (adrenal washout study) [2]

Biochemical testing

The following is an overview of the indications and initial tests for hormonal activity in adrenal incidentaloma. See the respective disease-specific articles for details of confirmatory testing.

Biochemical testing in adrenal incidentaloma [1][2][4]
Endocrine condition Indication Initial test Supportive findings
Hypercortisolism
  • All patients
  • 1-mg overnight dexamethasone suppression test
  • Serum cortisol > 1.8 mcg/dL [4]
  • Suggestive of either:
    • Mild autonomous cortisol secretion
    • Cushing syndrome
Catecholamine excess
  • Any features uncharacteristic of benign adenoma (e.g., > 10 HU on CT without contrast)
  • One of the following tests for catecholamine excess:
    • Plasma free metanephrines
    • Urinary fractionated metanephrines (24-hour urine collection)
  • ↑ Plasma free metanephrines or ↑ urinary fractionated metanephrines
Hyperaldosteronism
  • Hypertension and/or hypokalemia
  • Aldosterone-to-renin ratio
    • Morning plasma aldosterone concentration
    • Plasma renin activity (PRA) or direct renin concentration (DRC)
  • ↑ Aldosterone-to-renin ratio
Hyperandrogenism, hyperestrogenism, and steroid precursor excess
  • Suspected adrenocortical carcinoma
  • Sex hormones and/or steroid precursors
  • Hormone levels usually above ULN
Adrenal insufficiency
  • Infiltrative and/or large bilateral masses
  • Bilateral hemorrhages
  • Morning cortisol and morning ACTH
  • ↓ cortisol and ↑ ACTH
  • Suggestive of adrenal metastases, lymphoma, or infiltrative inflammatory disease
Congenital adrenal hyperplasia
  • Bilateral hyperplasia without autonomous cortisol secretion
  • Early-morning 17-hydroxyprogesterone
  • Hormone levels above ULN

Sex hormone-producing adrenal incidentalomas are typically adrenocortical carcinomas.

Histopathology

  • Biopsy [1][2]
    • Not routinely recommended
    • Indication: suspected adrenal malignancy other than adrenocortical carcinoma if the result is expected to have an impact on management
    • Catecholamine excess must be excluded before biopsy.
  • Diagnostic adrenalectomy [2][4]
    • Often required for both a definitive diagnosis and treatment in malignant (especially adrenocortical carcinomas) or hormonally active masses
    • Additional indication: unclear imaging and/or laboratory findings

Biopsy is rarely indicated in adrenal incidentaloma. However, a definitive diagnosis of adrenocortical carcinoma usually requires adrenalectomy and histopathology.

Common types of adrenal incidentaloma [1][2][4]
Condition Characteristic clinical features Diagnostic findings Management
Nonfunctioning adrenocortical adenoma
  • Asymptomatic
  • Imaging: homogeneous mass, ≀ 10 HU on CT
  • No hormone excess
  • Observation; no routine follow-up needed
Mild autonomous cortisol secretion
  • Hypertension
  • Weight gain
  • Anxiety, depression
  • 1-mg dexamethasone suppression test: cortisol > 1.8 ΞΌg/dL
  • ACTH < 5 pg/mL (confirms ACTH independence)
  • Confirmatory testing for Cushing syndrome: urine free cortisol or late-night salivary cortisol
  • Active surveillance or adrenalectomy
  • Management of ASCVD
Cushing syndrome
  • Clinical features of Cushing syndrome, e.g., striae, hirsutism, depression, muscle atrophy, central obesity
  • Adrenalectomy
  • See β€œTreatment of Cushing syndrome.”
Primary hyperaldosteronism
  • Hypertension
  • Features of hypokalemia , e.g., fatigue, weakness, constipation, polyuria [4]
  • Hypokalemia
  • ↑ Aldosterone-to-renin ratio
  • For confirmatory testing see β€œDiagnostics for primary hyperaldosteronism.”
  • Adrenalectomy or medical management (e.g., spironolactone)
  • See β€œTreatment of primary hyperaldosteronism.”
Pheochromocytoma
  • Clinical features of pheochromocytoma, e.g., (paroxysmal) hypertension, headaches, palpitations, sweating
  • Imaging: mass with > 10 HU on CT
  • ↑ Plasma free metanephrines or ↑ urinary fractionated metanephrines
  • See β€œTesting for catecholamine excess” for details.
  • Adrenalectomy with preoperative blood pressure management
  • See β€œTreatment of pheochromocytoma.”
Adrenocortical carcinoma
  • Clinical features of hyperandrogenism or hyperestrogenism
  • Clinical features of Cushing syndrome
  • Nonspecific symptoms due to tumor growth (e.g., flank pain)
  • Imaging: heterogeneous mass with > 10 HU on CT, > 4 cm in diameter, irregular margins, usually unilateral, possibly necrosis, calcification, or hemorrhage
  • There may be an excess of sex hormones, steroid precursors, and/or cortisol.
  • Confirmatory test: adrenalectomy with histopathology
  • Adrenalectomy
  • See β€œTreatment” in β€œAdrenocortical carcinoma.”
Metastases
  • Clinical features of the primary cancer (e.g., lung cancer, melanoma)
  • Clinical features of adrenal insufficiency may be present in bilateral metastases.
  • Imaging: mass with > 10 HU on CT, heterogeneous, irregular margins, high FDG uptake on PET CT
  • ↓ Morning cortisol and ↑ morning ACTH may be present in bilateral metastases.
  • Treatment of primary cancer
  • Surgical removal may be indicated.