Guest Mode
AMBOSS Articles/ Internal Medicine > Pulmonology > Basics of Pulmonology

Airways and Lungs

The respiratory system consists of a conducting zone (anatomic dead space; i.e., the airways of the mouth, nose, pharynx, larynx, trachea, bronchi, bronchioles, and terminal bronchioles) and a respiratory zone (lung parenchyma; i.e., respiratory bronchioles, alveolar ducts, alveolar sacs). The conducting zone is composed of nonrespiratory tissue and provides the passage for ventilation of the respiratory zone, where the O2 and CO2 exchange takes place. The respiratory system is furthermore divided into an upper tract (structures from the larynx upwards) and a lower tract (structures below the larynx). The entire respiratory tract down to the bronchioles is covered in ciliated epithelium, which provides immunologic protection by helping clear the airways of dust and microorganisms. Hyaline cartilage in the form of C-shaped rings (trachea) and plates (bronchi) provides structural protection and integrity. Gas exchange takes place in the alveoli of the lungs. The right lung consists of 3 lobes (upper, middle, lower), while the left lung consists of 2 lobes (upper, lower) and the lingula, a structure that is homologous to the middle lobe of the right lung. The left lung shares its space with the heart, which it accommodates in the cardiac notch. The development of the lungs begins in the embryonic period and continues until approximately 8 years of age.

Overview

Zones

  • Conducting zone: large airways and small airways (intrapulmonary conducting system; nonrespiratory tissue)
  • Respiratory zone: lung parenchyma (site of O2 and CO2 exchange)

Location

  • Upper respiratory tract
    • Nasopharynx
    • Larynx
  • Lower respiratory tract
    • Trachea
    • Bronchi, bronchioles
    • Lungs: located in the thoracic cavity (protected by the rib cage)
      • Between the lungs: inferior mediastinum (including heart, large vessels, tracheal bifurcation, esophagus)
      • Superior to the lungs: superior mediastinum
      • Inferior to the lungs: diaphragm
      • Anterior to the lungs: ribs
      • Posterior to the lungs: vertebral column, ribs

Function

  • Ventilation (distribution of air in the airway)
  • Respiration: gas exchange (absorption of O2 into the blood and release of CO2 into the air)
  • Immune defense (ciliary clearance, alveolar macrophages, goblet cells)
  • For respiratory mechanics, see pulmonary function testing.
  • For more information, see “Respiratory physiology.”

Intrapulmonary conducting system

Large airways

  • Nose
  • Nasopharynx
    • Most superior portion of the pharynx; connecting the nasal cavity to the oropharynx
    • Contains the adenoids and eustachian tube openings
    • Neighboring structures
      • Anteriorly: the nasal choanae
      • Posteriorly: clivus, prevertebral musculature covering C1–C2
      • Laterally: pharyngeal opening of the eustachian tube, fossa of Rosenmuller, medial pterygoid plates, and superior pharyngeal constrictor muscles
  • Larynx
  • Trachea
    • Formed by a series of cartilages (15–20), joined together by annular ligaments.
    • Bifurcates at the level of T4 into the left and the right main bronchus (tracheal carina)
    • Neighboring structures
      • Posterior: esophagus, descending aorta
      • Anterior: thyroid, ascending aorta, brachiocephalic trunk, superior vena cava
  • Bronchi
    • The right main (primary) bronchus divides into 3 lobar bronchi (secondary bronchi).
    • The left main (primary) bronchus divides into 2 lobar bronchi (secondary bronchi).
    • The lobar bronchi divide further into segmental bronchi (tertiary bronchi).

Small airways

  • Bronchioles
  • Terminal bronchioles

Function

  • Conduction of air in and out of the respiratory tree
  • Anatomic dead space (no gas exchange)
  • Warms and humidifies air
  • Mucociliary clearance: ciliated epithelium transports mucus, bacteria, and dust towards the throat, where it is either swallowed or expelled through the mouth

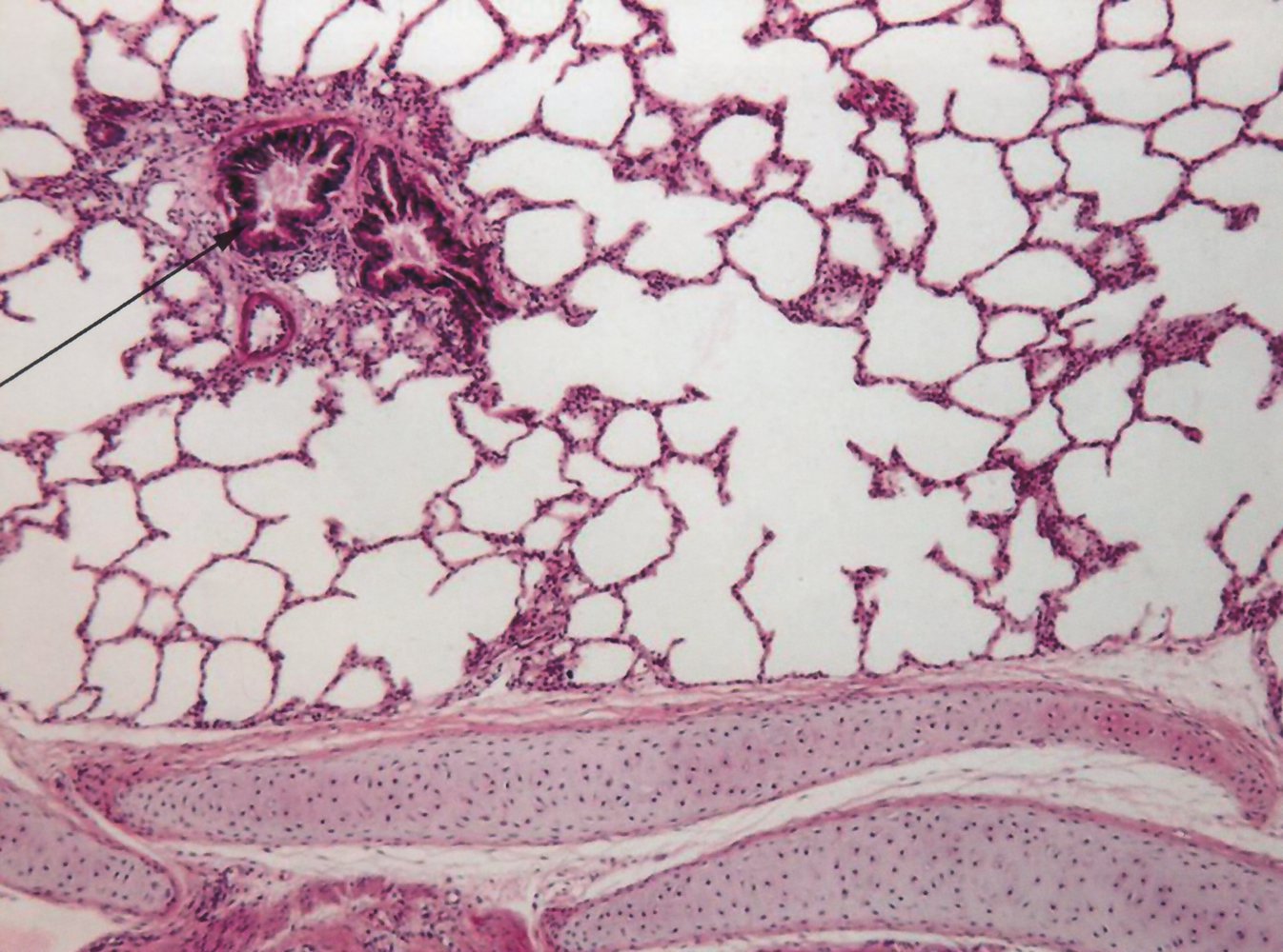
Respiratory zone

Lungs

  • Overview
    • Paired organ of the respiratory system
    • Located in the thoracic cavity
    • Surrounded by the visceral pleura
  • Hilum of the lung: the point of attachment of the lung to the lung root, which serves as the entry and exit site of the primary bronchi, pulmonary arteries and veins, bronchial arteries and veins, pulmonary nervous plexus, and lymphatics of each lung
  • Bronchopulmonary segments
    • Segments of lung tissue that are supplied by a segmental bronchus and a segmental branch of the pulmonary artery.
    • They are surrounded by a connective tissue septum (intersegmental septum), which encloses a branch of the pulmonary vein.
  • Lung parenchyma
    • Respiratory bronchioles
    • Alveolar ducts
    • Alveolar sacs, which contain several pulmonary alveoli surrounded by capillaries
    • Pulmonary acinus: a part of the airway distal to a terminal bronchiole; each acinus contains multiple respiratory bronchioles, alveolar ducts, alveolar sacs, and alveoli.
Overview
Left lung Right lung
Lobes and bronchopulmonary segments
  • 2 lobes (upper, lower)
  • Upper lobe includes the lingula, a tongue-shaped projection homologous to the middle lobe of the right lung (the rest of the space occupied by the middle lobe in the right lung is occupied by the heart in the left lung).
  • 8–10 bronchopulmonary segments
  • 3 lobes (upper, middle, lower)
  • 10 bronchopulmonary segments
Bronchi
  • Left main stem bronchus is longer and more horizontal than the right bronchus
  • Inferior to the left pulmonary artery
  • Right main stem bronchus is more vertical, shorter, and wider than the left bronchus and, therefore, more prone to aspiration (See “Pathophysiology of foreign body aspiration.”)
  • Posterior to the right pulmonary artery
Notches
  • Cardiac notch of left lung: cardiac impression on the anterior border of the left lung
  • Indentations for ascending and descending aorta and left subclavian artery
  • Contains several notches for superior vena cava, esophagus, and arch of the azygos vein

Only the right lung has a middle lobe. It can be auscultated in the fourth to six intercostal space anteriorly at the midclavicular line.

The right main bronchus is wider, shorter, and more vertical than the left main bronchus so aspiration of foreign bodies and aspiration pneumonia are more likely in the right lung.

Each bronchopulmonary segment can be surgically removed without affecting the function of the others.

The Lingula is in the Left Lung.

Function

  • Oxygen and carbon dioxide exchange across blood-air barrier
  • Alveolar macrophages phagocytose fine dust particles (< 2 Ξm)

Vasculature

The lungs have a dual blood supply.

Pulmonary circulation

Overview of pulmonary circulation
Vessels Anatomy Characteristics
Pulmonary trunk
  • Originates in the right ventricle of the heart
  • Divides into the left and right pulmonary arteries → lobar, segmental, and subsegmental arteries
  • Carries deoxygenated blood from the right ventricle to the lungs for oxygenation
Left pulmonary artery
  • Superior to the left main bronchus.
  • Connects to the arch of the aorta by the ligamentum arteriosum
  • Carries deoxygenated blood from the pulmonary trunk to the left lung for gas exchange
Right pulmonary artery
  • Posterior to the aorta and the superior vena cava
  • Anterior to the right main bronchus
  • Carries deoxygenated blood from the pulmonary trunk to the right lung for gas exchange
Pulmonary veins
  • Originate in the alveoli from venules → form 2 pulmonary veins in each lung → 4 pulmonary veins merge into the left atrium
  • Drain oxygenated blood from alveoli to the left atrium
  • Drain deoxygenated blood from the visceral pleura and respiratory zones to the left atrium

Relationship of pulmonary arteries to the corresponding bronchi (Right: Anterior to the mainstem bronchus; Left: Superior to the mainstem bronchus): RALS.

Bronchial circulation

Overview of bronchial circulation
Vessels Anatomy Characteristics
Bronchial arteries
  • Left: usually 2 arteries that arise from the thoracic aorta
  • Right: usually 1 artery that arises from one of the following
    • Right posterior intercostal artery
    • Thoracic aorta
    • Left superior bronchial artery
  • Supply oxygenated blood to the lung parenchyma, bronchi, and the visceral pleura
Bronchial veins
  • Originate near the bronchi
  • Empty into the azygos vein (right) and into the accessory hemiazygos vein or the superior intercostal vein (left)
  • Drain deoxygenated blood from hilar structures and conducting zone structures

Lymphatics

  • Lymphatic vessels drain the entire respiratory tree (lymphatic vessels are not present in the pulmonary alveoli)
  • Intrapulmonary nodes → bronchopulmonary nodes → tracheobronchial nodes → paratracheal nodes → bronchomediastinal nodes and trunks → thoracic duct on the left and right lymphatic duct on the right

Innervation (pulmonary plexus)

  • Branches accompany the blood vessels and bronchi into the lung.
  • Parasympathetic fibers from the vagus nerve (M3 receptors) innervate smooth muscle and glands (bronchoconstriction, increase secretion)
  • Sympathetic fibers (act on ß2-receptors): innervate blood vessels, smooth muscle, and glands (bronchodilation, vasoconstriction, decrease secretion)

Conducting zone

  • Nasopharynx
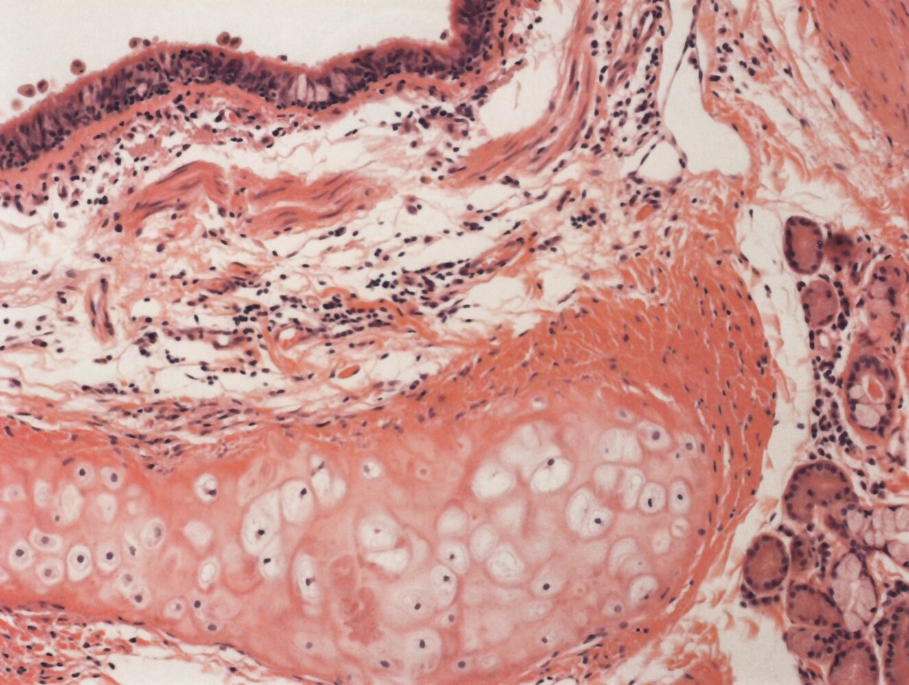
    • Two main types of epithelium: stratified squamous epithelium and ciliated respiratory-type epithelium
    • Lymphoid aggregates
    • Goblet cells
    • Seromucous glands
    • Basal cells
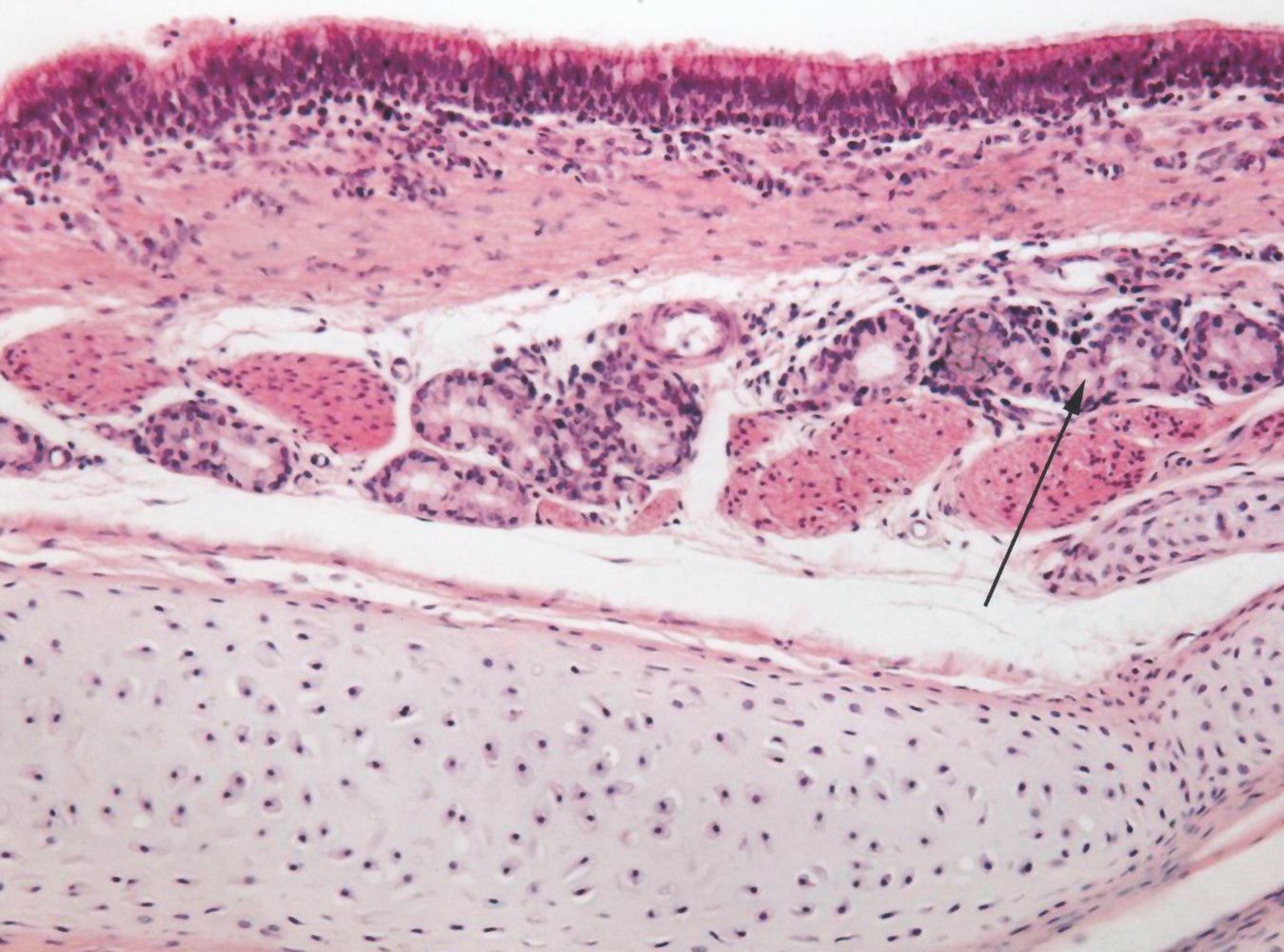
  • Trachea and bronchi
    • Pseudostratified ciliated columnar epithelium: important for mucociliary clearance
    • Goblet cells
    • Cartilage: C-shapedhyaline cartilage rings in the trachea and hyaline cartilage plates in the bronchi provide structural support.
    • Annular ligaments of trachea: horizontal fibrous bands that join the tracheal cartilage rings together
    • Smooth muscle
    • Seromucous glands (secrete mucus)
    • Basal cells
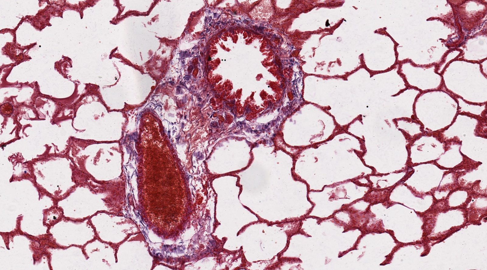
  • Bronchioles: simple ciliated columnar epithelium; enclosed by smooth muscle
  • Terminal bronchioles: simple ciliated cuboidal epithelium; smooth muscle

Respiratory zone [1]

Respiratory bronchioles

Respiratory bronchioles contain simple (non-ciliated) cuboidal and squamous epithelium and smooth muscle.

  • Club cells (formerly known as Clara cells)
    • Maintain the integrity of the respiratory epithelium by secreting specialized immunomodulatory proteins, glycoproteins, and lipids.
    • Cytochrome P450-dependent degradation of toxins
    • Act as a reserve for ciliated cells to restore bronchiolar epithelium (stem cell properties) [2]
    • Nonciliated, secretory, cuboidal cells located in the terminal and the respiratory bronchioles of the lung
  • Respiratory airway secretory cells (RAS cells) ; [3][4]
    • Low cuboidal cells located in the distal airways and respiratory bronchioles
    • Act as progenitor cells for type II pneumocytes
    • Secrete proteins, glycoproteins, and lipids essential for the integrity of the respiratory epithelium
    • Chronic exposure to tobacco (e.g., patients with COPD) alters gene expression and the differentiation pathway of type II pneumocytes.

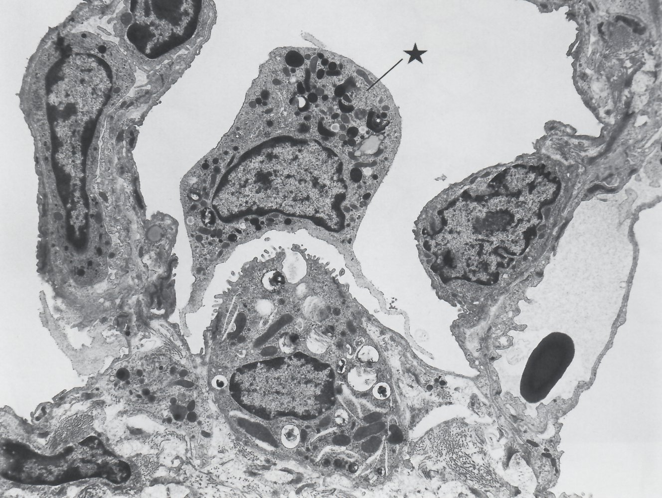
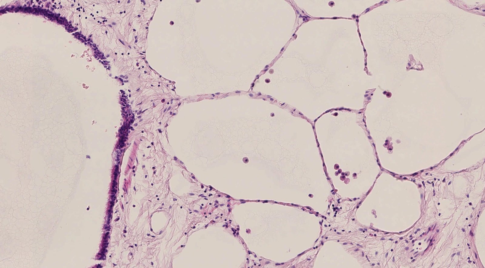
Pulmonary alveoli

Pulmonary alveoli are separated from each other by the interalveolar septum with elastic fibers and capillaries. Interalveolar pores connect adjacent alveoli.

  • Type I pneumocytes: thin squamous cells that line the alveoli that allow for transcellular gas exchange
    • Comprise 95% of the total alveolar area
    • Connected to each other by tight junctions
    • Form the blood-air barrier, together with the endothelial cells of the capillaries and the basement membrane between the two cells.
  • Type II pneumocytes: cuboidal alveolar cells
    • Comprise 5% of the total alveolar area, but 60% of total number of cells
    • Surfactant formation: Type II pneumocytes contain lamellar bodies, which secrete surfactant (surface-activating lipoprotein complex).
      • Surfactant is mainly composed of the phospholipids dipalmitoylphosphatidylcholine (DPPC or lecithin) and phosphatidylglycerol.
      • It reduces alveolar surface tension and thereby prevents the alveoli from collapsing.
    • Lung regeneration and repair: Type II pneumocytes can proliferate to replace type I or type II pneumocytes following lung damage.
  • Alveolar macrophages: phagocytose foreign materials and initiate the immune response by releasing cytokines
    • Produce alveolar elastase, which is degraded by tissue inhibitors of metalloproteinases (TIMPs)
    • Increased elastase activity is associated with the development of emphysema.
    • Presence of hemosiderin-laden macrophages (or heart failure cells) may be a sign of pulmonary edema or alveolar hemorrhage (from pulmonary infarction, vasculitis, or aspiration of blood).

Pulmonary surfactant produced by type II pneumocytes reduces the surface tension of the thin layer of water that covers the pulmonary epithelium, thereby preventing alveolar collapse at end-expiration, increasing compliance, and reducing the work of breathing!

The presence on microscopy of hemosiderin-laden macrophages of lung tissue indicates alveolar hemorrhage or pulmonary edema.

Deposition and clearance of inhaled particles

Inhaled particles within the respiratory tree are cleared by different means depending on their size.

Overview
Particle size Deposit into Clearance via
Small (< 3 Ξm) Alveoli Alveolar macrophages
Medium (3–10 ξm) Trachea and/or bronchi Mucociliary clearance
Large (â‰Ĩ 10 Ξm) Nasal cavity Nasal hair (vibrissae)

The main function of the lung is the absorption of oxygen into the blood and the release of carbon dioxide into the air.

  • For this purpose, the air must first reach the alveoli (see pulmonary function testing for respiratory mechanics).
  • The distribution of air (ventilation) is adjusted to the perfusion of pulmonary vessels so that the gas exchange proceeds evenly.
  • The respiratory center adjusts the breathing to the needs of the entire organism.
  • For more information, see ”Respiratory physiology.”
Overview of embryology [5]
Developmental stage Description Clinical significance
Embryonic period
(weeks 4–7)
  • Lung bud at the distal end of the respiratory diverticulum develops into:
    • Trachea
    • Bronchial buds → mainstem bronchi, secondary (lobar) bronchi, tertiary (segmental) bronchi
  • Errors lead to tracheoesophageal fistula or pulmonary sequestration.
Pseudoglandular period (weeks 5–17)
  • Development of:
    • Bronchioles and terminal bronchioles from the endodermal tubules
    • Fine lung capillaries (surrounding terminal bronchioles)
    • Development of type II pneumocytes
  • Bronchopulmonary epithelium begins to produce amniotic fluid.
  • Errors lead to bronchogenic cyst.
  • Nonviable state: immature lung tissue incapable of gas exchange
Canalicular period
(weeks 16–25)
  • Development of:
    • Respiratory bronchioles, alveolar ducts and primitive alveoli
    • Blood-air barrier
    • Prominent lung capillaries (surrounding alveolar ducts)
  • Airway diameter increases
  • Errors lead to pulmonary hypoplasia or respiratory distress syndrome [6]
  • Pneumocyte development and surfactant production begin at 20–22 weeks' gestation; mature surfactant levels are reached at 35 weeks' gestation.
  • Respiration first possible at 25 weeks
  • Corticosteroids are crucial for lung development and surfactant production
Saccular period
(weeks 26–birth)
  • Development of terminal sacs (thin-walled alveoli separated by primary septa) from alveolar ducts
  • Fetus can breathe outside the uterus from about 24–25 weeks of gestation with intensive care.
Alveolar period
(week 36–8 years)
  • Development of:
    • Mature type II pneumocytes
    • Definitive alveoli (separated by secondary septa) from terminal sacs
  • Following birth, alveoli increase in number but not in size
    • At birth: approx. 20–70 millionalveoli
    • In adults: approx 300 millionalveoli
  • In utero: increased vascular resistance due to aspiration of amniotic fluid
  • Postpartum: inspiration of air leads to a drop in pulmonary vascular resistance

  • Pulmonary examination
  • Pulmonary function testing
  • Embryonic abnormalities
    • Congenital tracheoesophageal fistula
    • Pulmonary hypoplasia
    • Bronchogenic cysts
    • Neonatal respiratory distress syndrome
    • Surfactant deficiency
  • Tracheal conditions
    • Tracheomalacia
    • Tracheostomy
    • Laryngotracheitis
  • Obstructive lung diseases
  • Restrictive lung diseases
  • Interstitial lung disease
  • Acute respiratory distress syndrome
  • Pulmonary hypertension
  • Pleural effusion
  • Pneumothorax
  • Atelectasis
  • Pulmonary embolism
  • Cystic fibrosis
  • Pneumonia
  • Tuberculosis
  • Lung cancer
  • Pneumonectomy
  • Aging respiratory system