Guest Mode
AMBOSS Articles/ Pediatrics > Pediatric Nephrology

Alport Syndrome

Alport syndrome is a genetic disorder that is characterized by glomerulonephritis, often in combination with sensorineural hearing loss and sometimes eye abnormalities. It is caused by a genetic defect of type IV collagen, which is usually inherited in an X-linked dominant pattern. Patients typically present with intermittent gross hematuria during infancy. In adolescence, patients classically start to develop more serious signs of chronic kidney disease (e.g., proteinuria), and may experience hearing loss or, in rare cases, vision problems. In milder forms, patients may remain asymptomatic and only require monitoring. In classic Alport syndrome, diagnostic evaluation shows persistent microhematuria on urinalysis and splitting of the glomerular basement membrane on kidney biopsy. The classic form usually leads to end-stage renal disease (ESRD) between the second and third decade of life, and the only definitive treatment is a kidney transplant.

  • Rare disorder [1]
  • The most common hereditary nephritis

Epidemiological data refers to the US, unless otherwise specified.

  • Usually X-linked (80%) [2][3][4]
  • Can also be autosomal recessive (15%) or autosomal dominant (5%) [4]
  • The disease tends to be more severe in males [5]
  • Genetic defect of type IV collagen chains (component of the basement membrane of the kidneys, eye, and cochlea) →kidney damage (glomerulonephritis), sensorineural hearing loss, and ocular abnormalities
  • Age of onset can vary markedly among individuals (from infancy to late adulthood) depending on the underlying genetic defect
  • Often asymptomatic
  • Initially intermittent gross hematuria (may present in infancy)
  • As glomerular damage progresses, symptoms ofnephritic syndrome and chronic kidney disease occur (usually leads to ESRD between 16–35 years of age) [1]
  • Sensorineural hearing loss
  • Ocular findings: retinopathy, anteriorlenticonus (a congenital conical elevation at the anterior pole or posterior pole of the crystalline lens in the eye)
    • Anterior lenticonus may be seen in Alport's syndrome, and a posterior lenticonus may be seen in Lowe's syndrome (oculocerebral renal syndrome).
    • A lenticonus appears as an oil globule in the center of the red reflex on direct ophthalmoscopy.

Patients with Alport syndrome can't pee, can't see, can't hear a bee.

  • Laboratory tests
    • Urinalysis: best initial test, signs of nephritic syndrome (e.g., hematuria, minor proteinuria)
    • BUN and creatinine to assess severity of renal disease
  • Skin biopsy
    • Confirmatory test
    • Shows absence of collagen type IV alpha-5 chains
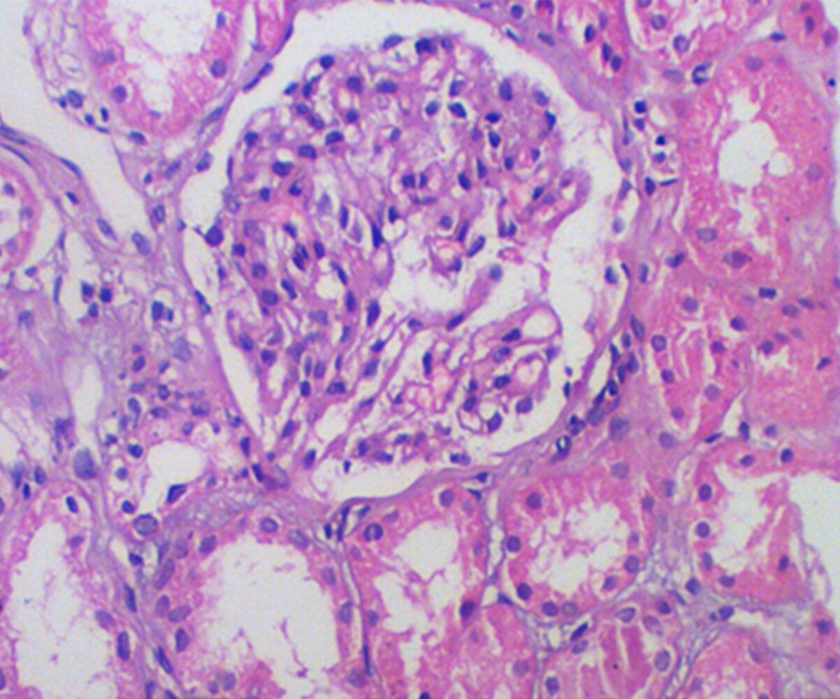
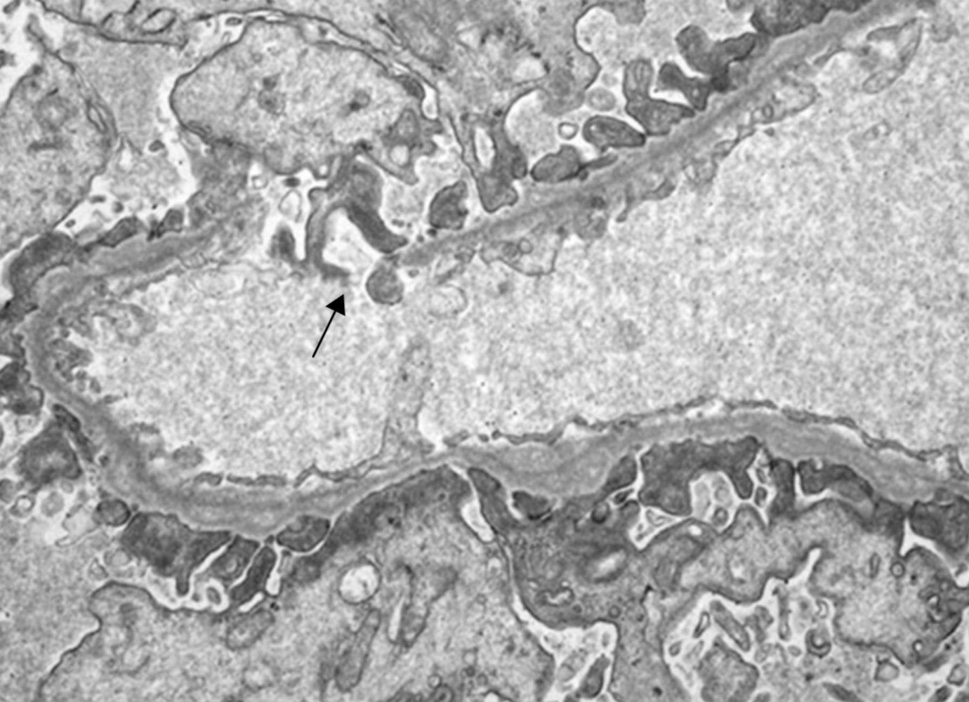
  • Kidney biopsy
    • Light microscopy: mesangial cell proliferation and sclerosis
    • Electron microscopy: splitting and alternating irregular thickening and thinning of the glomerular basement membrane (“basket-weave appearance”)
    • Immunofluorescence
      • Initially may be negative
      • Irregular deposits of IgM, IgG, and/or C3
    • Immunostaining: absence of the type IV collagen alpha-3, alpha-4, and/or alpha-5 chains in the basement membrane
  • Molecular genetic testing: can confirm and distinguish subtypes
  • Other
    • Audiometry: may detect high-frequencysensorineural hearing loss
    • Ophthalmic evaluation: may detect anteriorlenticonus, perimacular flecks, and/or other eye abnormalities

  • Monitor renal function regularly
  • In patients with proteinuria: ACE inhibitors/angiotensin II receptor blockers
  • In patients with renal failure: See “Treatment” in “Chronic kidney disease” (e.g., sodium restriction, diuretics).
  • Kidney transplant
    • The only definitive treatment of Alport syndrome
    • Complication: Goodpasture disease can occur due to newly developed collagen type IV antigens following a kidney transplant. [6]
  • Hearing aids in patients with hearing loss
  • Consider ocular surgery in patients with lenticonus