Guest Mode
AMBOSS Articles/ Psychiatry > Neurocognitive Disorders

Alzheimer Disease

Alzheimer disease (AD) is a progressive neurodegenerative disorder and the leading cause of dementia. The clinical spectrum of AD ranges from preclinical to severe. Risk factors include age > 65 years and genetic factors. The main histopathological features are extraneuronal β-amyloid () plaques and intraneuronal tau protein neurofibrillary tangles. The most common initial presentation is short-term memory loss, which insidiously progresses to dementia with deficits in other cognitive domains. Patients commonly have neuropsychiatric symptoms (e.g., depression, anxiety, and apathy) alongside cognitive deficits. The diagnosis is based on clinical criteria. Specialized imaging (PET-CT) and cerebrospinal fluid (CSF) analysis can be used to help clarify diagnostic uncertainty. There is no curative therapy; patients should receive supportive management. Pharmacotherapy (e.g., cholinesterase inhibitors and/or memantine) are modestly effective at slowing symptom progression. Average survival following diagnosis usually ranges from 3 to 10 years.

  • AD is the leading cause of dementia and the sixth most common cause of death in the US. [1]
  • Incidence and prevalence increase with age.
    • Incidence
      • ∼ 400:100,000 in individuals between 65 and 74 years of age
      • ∼ 3200:100,000 in individuals 75–84 years of age
      • ∼ 7600:100,000 in individuals ≥ 85 years of age
    • Prevalence: A total number of ∼ 5.8 million individuals in the US have AD.
      • 65–74 years of age: 1 million individuals (17%)
      • 75–84 years of age: 2.7 million individuals (47%)
      • ≥ 85 years of age: 2.1 million individuals (36%)
  • Sex: ♀ > ♂
  • Early-onset (before the age of 65) familial AD represents ∼ 10% of all AD cases

Epidemiological data refers to the US, unless otherwise specified.

Genetic factors [1][2]

Overview of genetic factors in Alzheimer disease
Genes Proteins Characteristics
Amyloid precursor protein (APP) gene
  • APP
  • Linked to 10–15% of early-onset familial AD cases
  • Since the APPgene is located on chromosome 21, individuals with trisomy 21 have an increased risk of early-onset AD due to APP. overexpression
  • Age at disease onset usually resembles parental age at disease onset (median ∼ 49 years).
Presenilin-1
  • PSEN1
  • Earlier onset compared to AD due to mutations of other genes (median is ∼ 43 years)
  • Linked to ∼ 50% of familial AD cases
Presenilin-2 [3]
  • PSEN2
  • Mutations cause the rarest form of familial AD.
  • Later onset (average ∼ 54 years)
Apo ε
  • Apolipoprotein E (ApoE)
  • Risk of late-onset AD increases with the number of carried Apo ε4 alleles.
  • Apo ε2 alleles may have a protective effect (reduce the risk of late-onset sporadic AD).
  • Apo ε3 alleles neither decrease nor increase risk of developing AD.

Other risk factors [1][2]

  • Age (strongest predisposing factor for regular AD)
  • Family history of dementia (strongest predisposing factor for early-onset AD)
  • Low socioeconomic and/or educational status
  • Diabetes, obesity, dyslipidemia
  • Hypertension, peripheral atherosclerosis, and cerebrovascular disease
  • African American or Hispanic descent (compared to White individuals)
  • Lack of physical activity (independent risk factor)
  • Traumatic brain injuries
  • Environmental factors (e.g., secondhand smoke)
  • Sleep deprivation

The following pathophysiological mechanisms contribute to AD: [2]

  • Senile plaques (neuritic plaques)
    • Extracellular
    • Located in the grey matter of the brain
    • Aβ protein is the main component of the plaques.
    • Enzymatic cleavage of transmembranous APP by β-secretase and γ-secretase → Aβ peptide aggregation → formation of insoluble plaques → neurotoxic effect
  • Neurofibrillary tangles
    • Intracellular
    • Tangles are composed of hyperphosphorylatedtau protein (an insoluble microtubule-associated protein).
    • Phosphorylation (hyperphosphorylation) of tau formation of intracellular fibrils → neurotoxic effect (number of tangles correlates with the degree of cognitive impairment) [4]
  • Reduced cholinergic function
    • Acetylcholine deficiency is related to the degeneration of cholinergic neurons and likely plays a role in the decline of cognitive abilities.
    • Other neurotransmitter systems (e.g., noradrenergic transmission) are affected less severely.

Cognitive [2]

  • Common symptoms of cognitive impairment
    • Short-term memory impairment
      • Insidious onset
      • Slow progression
      • Episodic memory affected first
    • Language impairment
    • Temporal and spatial disorientation(patients are usually not oriented to person, place, time, or events)
    • Impairment of executive functions and judgment
  • Less common symptoms
    • Primary progressive aphasia
    • Apraxia
    • Alexia
    • Agnosia
    • Acalculia

Noncognitive [2]

  • Behavioral changes
    • Apathy
    • Agitation, aggression, irritability
  • Mood disorders (e.g., symptoms of depression)
  • Urinary incontinence
  • Anxiety and mutism
  • Hallucinations and paranoia
  • Hyposmia
  • Insomnia
  • Myoclonus
  • Seizures

Patients with mild to moderate AD are often able to maintain a social facade and preserve certain skills (e.g., dressing, hygiene routines).

Approach [5][6][7]

  • Consider AD in patients with dementia or mild neurocognitive disorder. (See “Diagnosis of major neurocognitive disorder.”)
  • Establish the diagnosis based on clinical criteria and neuropsychological testing.
  • Consider advanced testing in consultation with neurology, e.g.:
    • Biomarkers (PET scan or CSF) [8]
    • EEG
    • Testing for genetic factors in Alzheimer disease
  • A definitive diagnosis requires neurohistopathological confirmation (not usually done).

Diagnostic criteria for Alzheimer disease [9]

DSM-5 diagnostic criteria for major neurocognitive disorder due to Alzheimer disease [9][10][11]
Probable major neurocognitive disorder due to AD Possible major neurocognitive disorder due to AD
Criteria
  • Diagnostic criteria for major neurocognitive disorder are fulfilled.
  • Insidious onset with gradually progressive symptoms in ≥ 2 cognitive domains
  • All of the following:
    • Objective impairment in learning and memory and ≥ 1 other cognitive domain
    • Steady cognitive decline with no plateaus
    • No evidence of other causes
  • OR evidence of a causative genetic mutation
  • Absence of any features indicating probable AD

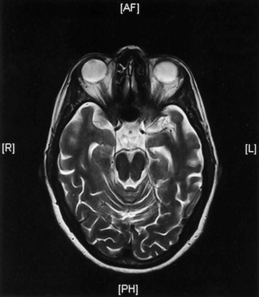
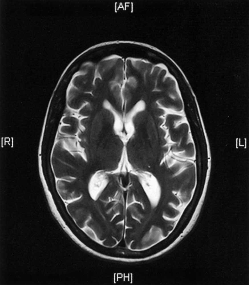
MRIbrain [7][8]

  • Indication: all patients as part of the initial evaluation of major neurocognitive disorder
  • Supportive findings
    • Signs of generalized or focal cerebral atrophy
      • Enlarged ventricles (ventriculomegaly)
      • Narrowing of gyri
      • Prominent cerebral sulci (hydrocephalus ex vacuo)
    • Disproportionate atrophy of the medial temporal lobe including the hippocampi, amygdala, cingulate cortex, and parahippocampal gyrus

Advanced studies [8][12]

  • Consider in selected cases under specialist guidance.
  • May be indicated for patients with:
    • Progressive unexplained mild cognitive impairment
    • Possible AD
    • Early-onset dementia
    • Rapidly progressive dementia

PET Scan

  • FDG-PET [13]
    • Used to:
      • Differentiate between types of dementia, as well as between AD subtypes
      • Assess severity and prognosis
    • Supportive finding: ↓ glucose metabolism in temporal and parietal cortices
  • Amyloid-β ()-PET [13]
    • A negative result reduces the probability of AD.
    • Supportive finding: amyloid uptake signal
  • Tau-PET [14]
    • To assess prognosis based on tau uptake signal in temporal and parietal cortices

Additional studies

  • CSF analysis
    • May be used to differentiate between types of dementia [5][6]
    • Supportive findings
      • ↑ Phospho-tau protein
      • proteins Aβ1–42
  • Electroencephalogram (EEG) [6][15]
    • Indication: to rule out seizures and subcortical dementia or frontal lobe degeneration
    • Supportive findings include:
      • Slower basic rhythm (↑ δ and θ activity, ↓ α and β activity)
      • Decreased synchronization

Patients with preclinical Alzheimer disease are asymptomatic but have measurable brain changes (e.g., abnormal on PET-CT or CSF analysis). There is often a duration of several years between the onset of mild cognitive symptoms and the diagnosis of dementia. [16]

Macroscopic

  • Cerebral atrophy
    • Damage to the hippocampus and parahippocampal cortex (medialtemporal lobe structures) is the earliest gross pathological change.
      • Axonal degeneration
      • Neuronal loss
    • Degeneration of cholinergic neurons in the nucleus basalis of Meynert
    • Diffuse cortical atrophy occurs as the disease progresses.

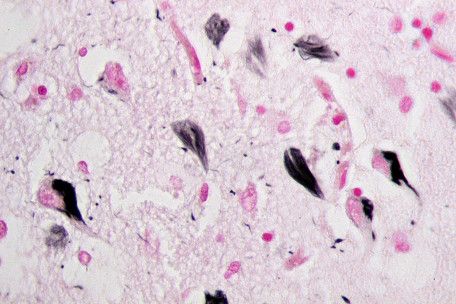
Microscopic

  • Amyloid beta (): stains with Congo red under polarization
    • Cerebral amyloid angiopathy
    • Extracellular senile plaques (beta-amyloid core) in gray matter
  • Tau protein: intracellular neurofibrillary tangles that stain with Gallyas silver
  • Hirano bodies
    • Intracellular rod-shaped eosinophilic aggregates of actin and actin-associated proteins in neurons, especially in hippocampus
    • Also found in other neurodegenerative diseases (e.g., Creutzfeldt–Jakob disease) and sometimes in normal elderly as well

References:[2]

See “Differential diagnosis of subtypes of dementia.”

The differential diagnoses listed here are not exhaustive.

General principles [6]

  • There is currently no curative therapy for AD.
  • Management should include:
    • Supportive care for dementia, including lifestyle modifications
    • Pharmacological treatment for AD as indicated
    • Management of conditions commonly associated with dementia
  • Overall goals
    • Maintain function
    • Delay symptom progression

Pharmacological treatment [6][7]

Recommendations are based on disease severity, which is based on symptoms , and the results of a functional status assessment and a cognitive assessment.

Pharmacological therapies provide only modest delay in the progression of cognitive decline. Treatment choices should be a shared decision.

Antidementia medications [6][17][18]
Indications Mechanism of action Adverse effects
Acetylcholinesterase inhibitors (AChEIs) Rivastigmine
  • Mild to moderate AD (first-line)
  • Mild to moderate Parkinson dementia
  • Lewy body dementia (off label) [17][18]
  • Reversible cholinesterase inhibitionACh concentration at the synaptic gap
  • Nausea, vomiting
  • Dizziness
  • Insomnia
  • Cholinergic crisis
  • Bradycardia, conduction abnormalities
Galantamine
Donepezil
NMDA receptor antagonist: memantine
  • Moderate to severe AD
  • Often used in combination with donepezil
  • NMDA receptor antagonismglutamate-induced calcium-mediated excitotoxicity
  • Headaches
  • Dizziness
  • Confusion
  • Hallucinations
  • Seizures
  • Constipation
monoclonal antibody: aducanumab [19][20]
  • Mild AD
  • Mild neurocognitive disorder due to AD
  • plaque formation
  • Brain edema
  • Cerebral microhemorrhage

Cholinesterase inhibitors affect the sinoatrial and atrioventricular nodes and increase the risk of bradycardia, syncope, and heart block. Check heart rate and obtain a 12-lead ECG prior to initiating a cholinesterase inhibitor, and screen for bradyarrhythmias at each visit thereafter. [21]

Think “Gallantly Down the River“ to remember the centrally acting AChE inhibitors used in the treatment of dementia: Galantamine, Donepezil, and Rivastigmine.

Supportive management

  • Similar to management in other types of dementia
  • Includes lifestyle modifications, e.g., maintaining sleep hygiene and a predictable schedule
  • May require management of common comorbidities, e.g.:
    • Major depressive disorder: low-dose SSRIs (e.g., citalopram)
    • Agitation or psychosis: low-dose atypical antipsychotics (e.g., risperidone)
  • See “Management of major neurocognitive disorder” for further details.

Avoid drugs with strong anticholinergic effects (e.g., diphenhydramine).

  • Infections: Aspiration pneumonia is the most common contributing factor to AD-related mortality.
  • Malnourishment/dehydration
  • Intracerebral hemorrhage (↑ risk due to cerebral amyloid angiopathy)

We list the most important complications. The selection is not exhaustive.

The mean survival time is ∼ 3 to 10 years after diagnosis.

See “Prevention of dementia.”

  • One-Minute Telegram 110-2024-2/3: Keep the safety on for individuals with Alzheimer disease
  • One-Minute Telegram 81-2023-3/3: Clearing the way: targeting amyloid plaques in Alzheimer disease
  • One-Minute Telegram 64-2022-1/3: Crossword puzzles beat cognitive games

Interested in the newest medical research, distilled down to just one minute? Sign up for the One-Minute Telegram in “Tips and links” below.