Guest Mode
AMBOSS Articles/ Pharmacology > Cardiovascular, Pulmonary, and Renal

Amiodarone

Amiodarone is a class III antiarrhythmic agent that blocks voltage-gated potassium channels. It is used in the treatment of acute ventricular tachycardia and persistent ventricular fibrillation (VF) after unsuccessful defibrillation, as well as the long-term treatment of refractory supraventricular arrhythmia (atrial fibrillation). Since amiodarone has a very low negative inotropic effect, it can be used in patients with a reduced ejection fraction (EF). Side effects commonly involve the thyroid, liver, heart, eyes, and central nervous system. Pulmonary side effects, such as lung fibrosis and chronic interstitial pneumonitis, are rare but severe. Because amiodarone is a cytochrome P450 inhibitor, simultaneous administration of other drugs should be considered carefully to minimize the risk of interactions.

  • Primary mechanism of action: antiarrhythmic effect via blockage of voltage-gated potassium channels→ prolongedrepolarization of the cardiac action potential
  • Secondary mechanism of action: inhibits β-receptors and sodium and calcium channels → decreases conduction through the AV and sinus node
  • Special uses: : only antiarrhythmic agent with (almost) no negative inotropic effect → use in patients with reduced EF

References:[1][2]

Overview

  • Amiodarone is highly effective but typically limited to short-term treatment because of its side effect profile.
  • Amiodarone accumulation in tissues can cause damage to the thyroid, lungs, nerves, skin, eyes, and heart.
  • The lowest effective dose should be administered.
  • Before initiating amiodarone therapy, patients should receive a baseline ECG, chest x-ray, ophthalmological exam, and thyroid, liver, and pulmonary function tests.
  • Thyroid and liver function should be monitored every 3–6 months and ECG should be performed annually.
Overview of amiodarone adverse effects [4]
Pulmonary
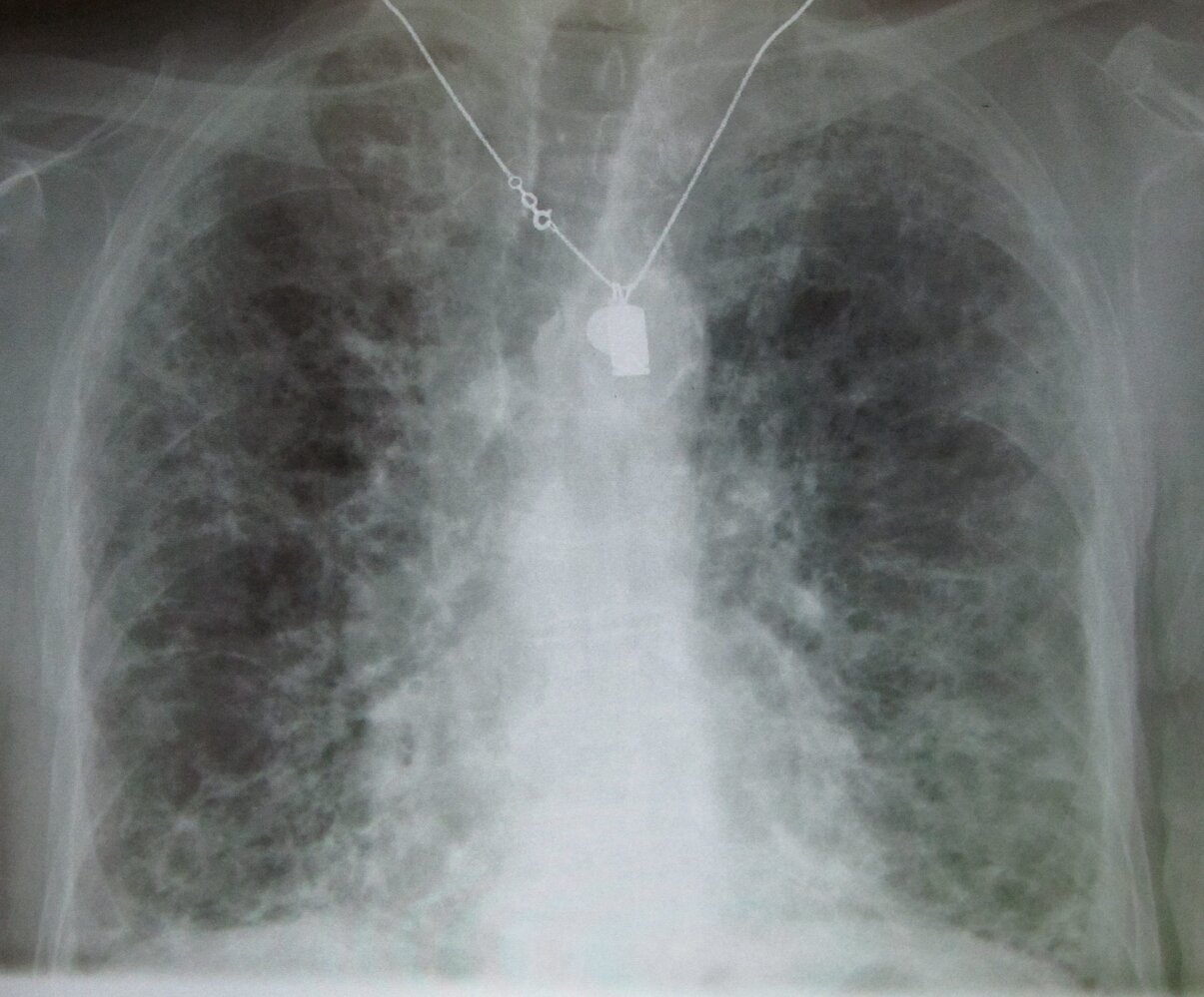
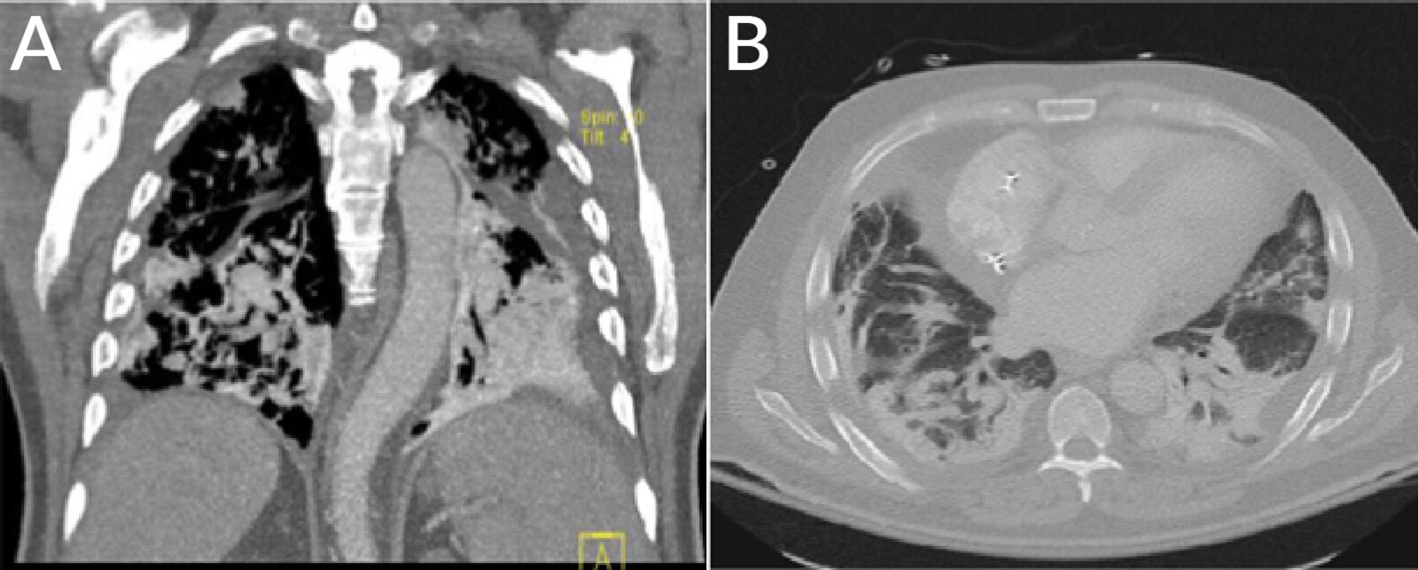
  • Pulmonary fibrosis
  • Chronic interstitial pneumonitis
  • Organizing pneumonia
  • ARDS
  • Solitary pulmonary mass
Thyroid
  • Hypothyroidism
  • Hyperthyroidism or thyrotoxicosis
  • Exacerbation of preexisting thyroid conditions
Hepatic
  • AST and/or ALT> 2x normal
  • Hepatitis and cirrhosis
Cardiac
  • Proarrhythmia
  • Bradycardia and AV block
  • Hypotension
Ocular
  • Corneal micro-deposits
  • Optic neuritis
GI tract
  • Nausea
  • Anorexia
  • Constipation
Dermal
  • Photosensitivity
  • Blue discoloration
CNS
  • Peripheral neuropathy
  • Ataxia
  • Paresthesia
  • Sleep disturbance
  • Impaired memory
  • Tremor
GU tract
  • Epididymitis
  • Erectile dysfunction

Pulmonary [5]

  • Amiodarone-induced pulmonary toxicity (AIPT) leads to the most deaths associated with amiodarone therapy.

  • Toxicity correlates more closely with cumulative dose than with serum drug levels.
  • Treatment: Discontinue amiodarone and initiate corticosteroid therapy.

Thyroid

  • Amiodarone causes thyroid dysfunction in ∼ 10% of patients receiving long-term therapy. [3]
  • Amiodarone-induced hypothyroidism
    • Pathophysiology
      • ↑ Iodine content of amiodarone → inhibition of thyroid hormone biosynthesis (Wolff-Chaikoff effect)
      • Amiodarone → inhibition of peripheral T4 to T3 conversion → ↑ concentrations of metabolically inactive rT3
    • Treatment: thyroid hormone substitution (i.e., levothyroxine)
  • Amiodarone-induced thyrotoxicosis
    • Type I amiodarone-induced thyrotoxicosis
      • Pathophysiology: ↑ iodine content of amiodarone → ↑ thyroid hormone synthesis and release (Jod-Basedow phenomenon)
      • Treatment: antithyroid therapy (e.g., thionamides); if resistant, then radioiodine treatment or surgical thyroidectomy
    • Type II amiodarone-induced thyrotoxicosis
      • Pathophysiology: drug-induced damage of follicular cells → destructive thyroiditis → ↑ release of preformed thyroid hormones
      • Treatment: glucocorticoid therapy

"Am-IOD-arone" consists of approx. 37% iodine.

Hepatic

  • Asymptomatic rise in AST and ALT is common after initiation of amiodarone therapy.
  • Amiodarone should be discontinued if AST and/or ALT rise above 2x higher than the normal range.

Cardiac

  • Slows heart rate and AV-node conduction primarily through calcium channel-blocking activity
  • Can cause QT prolongation but the risk of progression to torsades de pointes is low

Ocular

  • Corneal micro-deposits occur in > 90% of patients and rarely cause symptoms but have the potential to result in halo vision (especially at night), photophobia, and blurred vision. [3]

We list the most important adverse effects. The selection is not exhaustive.

  • Acute treatment (IV administration)
    • Second-line therapy for patients with ventricular tachycardia (VT) who are hemodynamically stable
    • Persistent VT after defibrillation
    • Pulseless ventricular fibrillation
    • Supraventricular tachycardia in patients with cardiac failure (LVEF < 40%)
  • Long-term treatment: (oral administration): rhythm control in refractory symptomatic atrial fibrillation (supraventricular arrhythmia) and underlying heart disease→ restoration and maintenance of sinus rhythm

Amiodarone is the drug of choice for supraventricular arrhythmias in most heart failure patients (LVEF < 40%).

References:[1][6][7][8]

  • Severe sinus node dysfunction with marked sinus bradycardia
  • Second- and third-degree heart block (except in patients with a functioning pacemaker)
  • Hyperthyroidism and hypothyroidism
  • Known allergy to iodine
  • Pre-existinglung disease

We list the most important contraindications. The selection is not exhaustive.

  • Amiodarone is an inhibitor of cytochrome P450 enzymes (see principles of pharmacology) → ↓ clearance of the following drugs:
    • Warfarin (risk of bleeding)
    • Simvastatin (increased risk of rhabdomyolysis)
    • Digoxin
    • Cyclosporine
    • Flecainide, procainamide, quinidine
    • Sildenafil

References:[9]

  • Lipophilic properties → accumulation of amiodarone in myocardium and muscles → long duration of action
  • Metabolized in the liver by CYP3A4 with biliary excretion
Oral treatment IV bolus
Onset of action 2 days to 3 weeks Within a few hours
Time to peak effect 1 week to 5 months 15 minutes
Half-life elimination 40–55 days 9–36 days

References:[9][10]