Guest Mode
AMBOSS Articles/ Neurology > Neuromuscular Disorders

Amyotrophic Lateral Sclerosis

Amyotrophic lateral sclerosis (ALS), formerly known as Lou Gehrig disease, is a fatal neurodegenerative disease characterized by progressive upper motor neuron (UMN) and lower motor neuron (LMN) damage. ALS usually manifests initially with asymmetric weakness in the hands or feet, but early presentation is highly variable and may be subtle (e.g., minor vocal changes). The mean age of onset is 65 years. Most patients develop respiratory muscle weakness and dysphagia. Riluzole and edaravone are FDA-approved for ALS treatment but have minimal impact on the disease course. Multidisciplinary care is essential and includes nursing care, physiotherapy, and eventually respiratory support and enteral feeding. Prognosis is poor, with a median survival of ∼ 3–5 years after symptom onset and a 10–20% survival rate of 10 years.

  • Prevalence: 5/100,000 population in the US [1]
  • Incidence: 2–3 cases/100,000 population per year worldwide [2]
  • Sex: β™‚ > ♀
  • Mean age of onset is 65 years.
  • Familial history of ALS in 5–10% of cases ; 90–95% are sporadic

References:[2][3]

Epidemiological data refers to the US, unless otherwise specified.

The definitive cause of ALS is still unknown. Studies have suggested an interaction between genetic predisposition and environmental factors.

Genetics

Mutations of the following genes have been found in approx. 70% of familial clusters and some sporadic cases. [4]

  • SOD1 [5]
    • Codes for superoxide dismutase
    • Mutations are associated with either a very aggressive or very slow disease progression
    • Account for 15–20% of familial ALS cases
  • TARDBP
    • Π‘odes for the TDP-43 protein involved in DNA repair
    • In ALS, abnormally ubiquitinated TDP-43 forms inclusions within motor neurons.
    • Accounts for ∼ 5% of familial ALS cases
  • C9orf72
    • Most common mutated gene in familial ALS (account for 30–40% of familial ALS cases)
    • Associated with a combination of ALS and frontotemporal dementia
  • FUS
    • Mutations are associated with a young-onset rapidly-progressing ALS. [1]
    • Accounts for ∼ 5% of familial ALS cases

Environmental risk factors [6]

  • Exposure to the following substances:
    • Ξ²-N-methylamino-L-alanine [7]
    • Pesticides (e.g., cis-chlordane, pentachlorobenzene) [8]
    • Lead
  • Head trauma
  • Individuals serving in US military [6][9]
  • Smoking
  • Classically affects the entire motor neuron system at two or more levels (both upper and lower motor neuron degeneration).
    • Upper motor neurons in the precentral gyrus and, frequently, prefrontal cortex
    • Lower motor neurons in the anterior horn of the spinal cord and brainstem
  • Potential underlying mechanisms include abnormal RNA processing and protein aggregation, excitotoxicity, mitochondrial dysfunction, and defective neurofilaments.

References:[10][11]

General characteristics [12]

  • Combined upper and lower motor neuron signs: See β€œUMN signs vs. LMN signs.”
  • Constant disease progression: usually begins in one extremity, then progresses to all extremities and, after months or years, the respiratory system

Early features [12]

Clinical presentation may be subtle (e.g., vocal changes or difficulties grasping objects) and is highly variable.

  • Weight loss
  • Bulbar palsy (25% of patients at onset): e.g., dysarthria, tongueatrophy, dysphagia [12]
  • Pseudobulbar palsy with pseudobulbar affect
  • Asymmetric limb weakness that often begins in the hands and feet but may affect any part of the body
  • Split hand sign: atrophy of the muscles in the thenar eminence due to degeneration of the lateral portion of the anterior horn of the spinal cord
  • Fasciculations, muscle spasticity, clonus, and/or hyperreflexia

Late features [12]

  • Frontotemporal dementia (∼15 % of patients with ALS) [12]
  • Dysautonomia (e.g., constipation, neurogenic bladder)
  • Respiratory muscle weakness causing:
    • Dyspnea with hypoxia and/or hypercarbia
    • Possible respiratory failure
  • Severe dysphagia (leading to weight loss and malnutrition)

Approach [12]

  • Perform a complete neurological examination, focusing on motor function.
  • Obtain electrodiagnostic studies; to support the diagnosis in patients with suggestive clinical features.
  • Obtain additional studies (e.g., neuroimaging; , vitamin B12) to exclude alternative causes of neuromuscular weakness.
  • Consider a validated clinical tool to support the diagnosis (e.g., the Gold Coast diagnostic criteria). [13]

Progressive UMN signs and LMN signs without sensory function compromise strongly suggests ALS, but alternative diagnoses should be excluded.

Electrodiagnostic studies [12]

  • Electromyography: Findings must be confirmed in at least two muscular regions.
    • Signs of denervation (e.g., fibrillations, positive sharp waves, fasciculations)
    • Signs of reinnervation (e.g., large-amplitude complex motor unit action potentials)
  • Nerve conduction studies
    • Sensory and motor nerve conduction are usually normal; , but motor neuron conduction amplitudes may be reduced.
    • Abnormal conduction suggests an alternative diagnosis (e.g., multifocal motor neuropathy).

Additional studies [12][14]

See also β€œSubacute, chronic, or gradually progressive causes of weakness” for a comparison of differential diagnoses.

  • Neuroimaging: Findings are usually normal in early stages of ALS.
    • MRI spine without IV contrast: to exclude spinal cord compression (e.g., due to disc herniation, neoplasms)
    • MRI head with and without IV contrast: to help exclude infectious diseases or neoplasms
  • Laboratory studies
    • Routine laboratory studies (e.g., CBC, CMP) are usually normal, ↑ CPK levels may be present
    • Vitamin B12, TFTs: to rule out treatable metabolic causes of neurological symptoms
    • Lyme serology: to rule out neuroborreliosis in patients from an endemic area
    • Other studies in consultation with a neurologist (e.g., anti-AChR antibodies)

Vitamin B12 deficiency and thyroid disorders cause neurological features that are similar to those of ALS.

  • Macroscopic features [15]
    • Atrophy of the precentral gyrus
    • Thinning of ventral spinal roots
    • Sclerosis and pallor of the corticospinal tract
    • Muscle atrophy
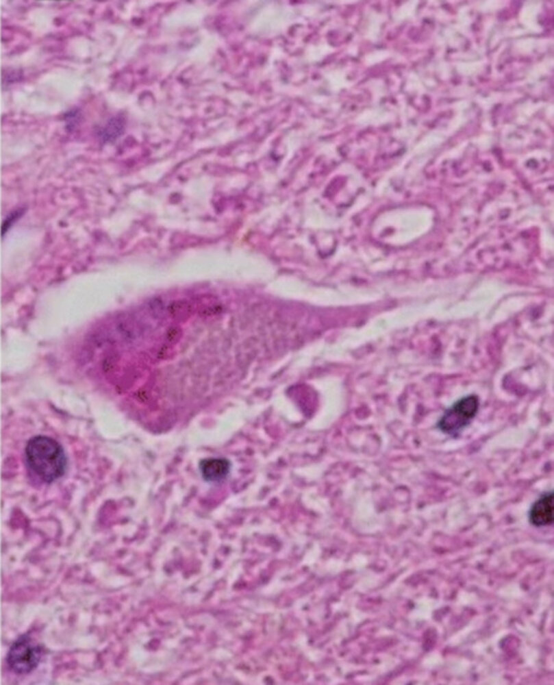
  • Microscopic features [16]
    • Death of upper and lower motor neurons
    • Inclusion bodies in affected neurons, e.g.:
      • Lipofuscin
      • Bunina bodies
      • Ubiquitin-positive aggregates (associated with the protein TDP-43, which is also found in frontotemporal dementia)
    • Neuroinflammation (e.g., proliferation of astroglia and microglia)
    • Denervation, reinnervation, and atrophy of muscle fibers

  • Multifocal motor neuropathy (MMN) [17][18]
    • A type of neuropathy that solely affects motor neurons
    • Slowly progressing asymmetrical paralysis and areflexia that typically affect the distal upper limbs
    • Muscle atrophy is rare.
    • EMG may reveal motor nerve conduction block.
    • Protein levels in CSF are usually normal.
    • Highly elevated anti-GM1-ganglioside antibody titers
  • Myasthenia gravis
    • Weakness improves with acetylcholinesterase inhibitors
    • No UMN or LMN signs
  • Lambert-Eaton myasthenic syndrome
    • Proximal muscle weakness that improves with repetitive stimulation (Lambert sign)
    • Symptoms of autonomic dysfunction (e.g., dry mouth)
    • Anti-VGCC antibodies
  • Cervical spondylotic myelopathy
    • Sensory symptoms
    • LMN confined to affected level of spinal compression
    • MRI shows spinal cord compression
  • Thyrotoxicosis
    • Myopathy, fine tremor, and hyperreflexia resolve with treatment of hyperthyroidism
  • Poliomyelitis
    • Asymmetric flaccid paralysis
    • Poliovirus RNA in CSF
  • Other conditions, e.g.:
    • Vitamin B12 deficiency
    • Copper deficiency
    • Neuroborreliosis
    • Hyperparathyroidism

The differential diagnoses listed here are not exhaustive.

General principles

  • There is no curative therapy for ALS; management is mostly supportive.
  • Pharmacological treatment only modestly improves life expectancy and functional decline.
  • Consult neurology and other specialists (e.g., physical therapy, speech therapy) for a multidisciplinary care approach.
  • Encourage early advance care planning.

ALS is a chronic, progressive, life-limiting condition. Encourage advance care planning and early engagement with palliative care.

Supportive care

  • Monitoring for disease progression
    • Assess for respiratory failure. [19]
      • Obtain routine PFTs. [4]
      • Findings may include decreased maximum inspiratory pressure and/or PFT findings in restrictive lung disease.
    • Screen for dysphagia (e.g., using a clinical swallow evaluation).
  • Management of symptoms and prevention of complications, e.g.: [11][12]
    • Bronchopulmonary hygiene (e.g., oral or tracheal suctioning, mucolytics, chest physiotherapy) [12]
    • Management of dysphagia: Consider specialized nutritional support as needed (e.g., PEG tube).
    • Management of constipation [12]
    • Pain management [12]
  • Advance care planning
    • Discuss prognosis and end-of-life choices early (e.g., care setting in a nursing home).
    • Consider palliative care as needed.
    • Assess for caregiver burnout.

Pharmacological treatment [11][12][20]

Consider ALS-targeted pharmacological treatment based on shared decision-making, e.g.:

  • Riluzole
    • A sodium channel blocker that inhibits glutamate release in the CNS and decreases glutamate excitotoxicity
    • May prolong life expectancy (on average for 2–3 months) and slow functional decline in patients with late-stage ALS [20]
  • Edaravone
    • A reactive oxygen species scavenger
    • Shown to slow functional decline in some patients with ALS
  • Sodium phenylbutyrate/taurursodiol [21][22]
    • A combination of sodium phenylbutyrate and taurursodiol (ursodeoxycholic acid conjugated with taurine)
    • No longer commercially available in the US as of 2024

Rilouzole rilly helps treat Lou Gehrig disease.

Respiratory support for ALS [4][12][20]

  • Noninvasive positive-pressure ventilation
    • May improve life expectancy and quality of life
    • Consider in patients with:
      • Signs of respiratory muscle weakness (e.g., orthopnea, daytime fatigue)
      • Abnormal oximetry (e.g, SaO2 < 90% during at least 5% of sleep time) [4]
      • Abnormal PFTs (e.g., VC < 80% of the predicted value) [4]
  • Invasive mechanical ventilation [19][23]
    • Tracheostomy may be considered if noninvasive ventilation is insufficient or not possible.
    • If considering intubation (e.g., in emergency settings):
      • Review goals of care (e.g., DNI order, parameters for withdrawal of ventilation).
      • Do not use depolarizing neuromuscular blockers (e.g., succinylcholine) during intubation.
    • See β€œVentilation strategy for neuromuscular weakness.”
  • ALS is incurable.
  • Median survival is ∼ 3–5 years after symptom onset. [1][14]
  • 5-year survival rate: 30% [1][24]
  • 10-year survival rate: 10–20% [1][24]
  • Early bulbar and/or respiratory symptoms are associated with a worse prognosis.