Guest Mode
AMBOSS Articles/ Obstetrics > Gynecology > Pregnancy Associated Disorders

Antepartum Hemorrhage

Antepartum hemorrhage refers to vaginal bleeding occurring after 20 weeks of gestation. It most commonly occurs during the third trimester and is associated with significant fetal and maternal morbidity and mortality. Common causes of antepartum hemorrhage are bloody show associated with labor, placenta previa, and placental abruption. Rare causes include vasa previa and uterine rupture. Symptoms of placental abruption typically include lower abdominal pain, vaginal bleeding, and uterine rigidity. Placenta previa and vasa previa both manifest with painless vaginal bleeding, but bleeding from vasa previa typically occurs after rupture of membranes and more commonly causes fetal distress. In cases of severe hemorrhage, patients may present with signs of shock; fetal symptoms include signs of fetal distress such as decelerations on cardiotocography and decreased fetal movement. The diagnosis of antepartum hemorrhage is primarily clinical, but transabdominal or transvaginal ultrasound can help determine the etiology. The treatment approach depends on the results of the maternal and fetal status assessment. A conservative approach with continuous monitoring is advised for asymptomatic patients with reassuring fetal status, while emergency cesarean delivery is indicated for patients with significant active bleeding, hemodynamic instability, or fetal distress.

Uterine rupture, pregnancy loss, and postpartum hemorrhage are discussed in separate articles. For vaginal bleeding before 20 weeks' gestation, see “Vaginal bleeding in pregnancy.”

Differential diagnosis of antepartum bleeding
Condition Onset Pain Additional symptoms Risk factors
Placental abruption
  • Sudden
  • Occurs most often in the third trimester
  • Usually mild to moderate abdominal pain
  • Continuous vaginal bleeding
  • Hypertonic contractions (rigid uterus)
  • Uterine tenderness
  • Premature labor
  • Fetal distress
  • Previous placental abruption
  • Hypertension
  • Trauma
  • Smoking
  • Cocaine use
  • Preterm premature rupture of the membranes
Placenta previa
  • Sudden
  • Prior to rupture of membranes
  • Painless
  • Bright red vaginal bleeding
  • Previous placenta previa
  • Previous cesarean delivery
  • Multiparity
  • Multiple gestation
  • Advanced maternal age
  • Smoking
Vasa previa
  • Sudden
  • After rupture of membranes
  • Painless
  • Vaginal bleeding (fetal blood)
  • Fetal distress (e.g., deteriorating fetal heart rate)
  • Velamentous cord insertion
  • Placenta previa
  • In vitro fertilization
  • Multiple gestation
Uterine rupture
  • Sudden
  • During labor
  • Severe abdominal pain
  • Sudden pause in contractions
  • Fetal distress (e.g., deteriorating fetal heart rate)
  • Vaginal bleeding
  • Hemodynamic instability
  • Previous cesarean delivery
  • Transmyometrial surgery
Stillbirth
  • After 20 weeks of gestation
  • Cramping abdominal pain
  • Vaginal bleeding
  • Features of labor (e.g., uterine contractions)
  • Advanced maternal age
  • Obesity
  • Smoking
  • Multiple gestation
  • Concurrent medical disorders
  • Complicated pregnancy
Bloody show
  • Associated regular uterine contractions and cervical changes
  • No pain
  • A small amount of blood or blood-tinged mucus that is usually passed prior to labor or in early labor.
  • N/A
Cervical trauma
  • Sudden, typically caused by sexual intercourse
  • Mild to moderate pelvic pain depending on the extent of damage
  • Bruised and tender cervix without evidence of active bleeding
  • N/A

Initial management of antepartum hemorrhage [1][2][3]

  • If unstable; : ABCDE approach and immediate hemodynamic support, including emergency blood transfusion
  • Conduct a maternal and fetal status assessment.
    • Focused gynecologic history and pelvic examination
    • Laboratory studies: CBC, coagulation studies, type and screen
    • Fetal heart rate tracing [4]
    • Transvaginal ultrasound to confirm placental location
  • Rh(D) negative mothers; : Obtain a Kleihauer-Betke test and administer anti-D immunoglobulin. [5][6]
  • Urgent OB/GYN consult to determine further management

Estimated blood loss is often inaccurate; assess for clinical signs of shock instead. [2]

Do not perform a digital cervical examination until placenta previa has been excluded on ultrasound. [1][2]

Definitive management of antepartum hemorrhage

Definitive management depends on the cause of bleeding, gestational age, fetal status, and maternal stability.

  • Severe bleeding, hemodynamic instability, and fetal distress are indications for urgent delivery.
  • Expectant management for stable patients may include interventions for preterm labor, e.g.:
    • Induction of fetal lung maturity with corticosteroids (e.g., betamethasone) if: [7]
      • Gestational age is < 34 weeks
      • Gestational age is 34–37 weeks and delivery is likely within 7 days
    • Magnesium sulfate for fetal neuroprotection [2][8]
  • See also “Management of placental abruption,” “Management of placenta previa,” and “Management of uterine rupture.”

Placenta previa is an absolute contraindication to vaginal delivery. [3]

In patients with hemodynamic instability or nonreassuring fetal status, do not delay delivery to administer corticosteroids. [1]

When planning for delivery, ensure transfusion products and equipment to surgically control severe postpartum hemorrhage are readily available.

  • ABCDE survey
  • Hemodynamic monitoring, continuous ECG, pulse oximetry
  • Oxygenation: e.g., supplemental O2, HFNC
  • Immediate hemodynamic support, including emergency blood transfusion for hemorrhagic shock
  • Focused gynecologic history and pelvic examination
  • Laboratory studies: CBC, coagulation studies, type and screen
  • Fetal heart rate tracing
  • Transvaginal ultrasound to confirm placental location
  • Rh(D)-negative mothers: Kleihauer-Betke test, anti-D immunoglobulin
  • Urgent OB/GYN consult to determine further management

Definition [2]

  • The partial or complete separation of the placenta from the uterus prior to delivery; subsequent hemorrhage occurs from both maternal and fetal vessels.

Epidemiology

  • Incidence: ∼ 0.7–1.2% of pregnancies [9]
  • Occurs most often in the third trimester
  • The recurrence rate in subsequent pregnancies is 4–15%. [10]

Etiology [2][11]

Predisposing factors include:

  • Vascular changes
    • Hypertension (most common cause)
    • Preeclampsia/eclampsia
  • (Abdominal) trauma; : e.g., car accidents, falls, intimate partner violence
  • Twin pregnancy [12]
  • Sudden decrease in intrauterine pressure ; decompression of an overdistended uterus (e.g., ruptured membranes in polyhydramnios)
  • Previous abruption, chorioamnionitis, short umbilical cord
  • Maternal age: < 20 years and > 35 years [13]
  • Alcohol and cigarette consumption, cocaine use [14]

Clinical features [2]

  • Maternal symptoms
    • Sudden onset of continuous vaginal bleeding (revealed abruptio placentae)
    • In up to 20% of cases, the hemorrhage is mainly retroplacental and vaginal bleeding does not occur (concealed abruptio placentae). [4]
    • Sudden onset of abdominal pain or back pain
    • Uterine tenderness
    • Hypertonic contractions (rigid uterus), premature labor
    • Signs of shock
    • Clinical features of disseminated intravascular coagulation (DIC)
  • Fetal distress (60% of cases) [4]
    • Possible diminished or absent fetal movement
    • Decelerations on fetal heart monitor

Abruptio placentae is characterized by the “abrupt” onset of painful bleeding.

In cases of retroplacental hemorrhage, patients may present with signs of hypovolemic shock without evident vaginal bleeding!

Diagnostics [2][4]

For the initial management of patients with antepartum hemorrhage, see “Approach to antepartum hemorrhage.”

  • Ultrasound (transvaginal and/or transabdominal)
    • Low (25%) sensitivity for placental abruption [13][15]
    • Placental position and fetal biophysical profile should be assessed.
    • Retroplacental hematoma may be visible.
  • Fetal heart rate tracing: to assess for signs of fetal distress
  • Laboratory studies
    • CBC: Hematocrit may be low in patients with hemorrhage.
    • Coagulation studies : to assess for DIC in patients with hemorrhage [13]
    • Type and screen

Placental abruption is a clinical diagnosis. Ultrasound is indicated in all patients to rule out placenta previa but is not diagnostic for abruption.

Digital vaginal examination is contraindicated unless placenta previa has been ruled out on ultrasound as it may worsen bleeding.

Management of placental abruption [1][2][3]

  • All patients: : Initiate immediate management of antepartum hemorrhage.
  • Pregnant trauma patients: see “Approach to suspected abruption in trauma patients.”
  • Hemodynamically unstable or moderate-severe bleeding: emergency cesarean deliveryunless vaginal delivery is imminent
  • Hemodynamically stable with mild bleeding
    • Reassuring fetal status: expectant management or delivery depending on gestational age [1];
      • < 34 weeks
        • Expectant management and observation
        • Consider tocolytics (e.g., nifedipine, β2-adrenergic agonist). [2]
        • Aim for a normal delivery.
      • 34–36 weeks
        • Active uterine contractions: vaginal delivery
        • No active uterine contractions: expectant management and observation
      • > 36 weeks: Deliver.
      • See also “Management of preterm labor.”
    • Nonreassuring fetal status: emergency cesarean delivery unless vaginal delivery is imminent
    • Intrauterine fetal demise
      • Induction of vaginal delivery with amniotomy and oxytocin
      • Urgent cesarean delivery if there is a risk of maternal mortality

Placental abruption is an obstetric emergency. Delay in diagnosis and management is potentially life-threatening for the mother and fetus.

Complications [2][4]

  • Intrauterine fetal death
  • Maternal DIC and hypovolemic shock: occurs as a result of blood loss and massive coagulation; the placenta is rich in tissue thromboplastin, which is released as a result of the placental abruption.
  • Couvelaire uterus
    • Retroplacental hemorrhage may extend through the uterus into the peritoneum.
    • The myometrium is weakened, with possible subsequent uterine rupture during contractions.

Patients with placental abruption have a high risk of postpartum hemorrhage. [2]

Definition [2][4]

  • Presence of the placenta in the lower uterine segment; , which can lead to partial or full obstruction of the internal os; high risk of hemorrhage (rupture of placental vessels) and birth complications

Epidemiology

  • ∼ 0.5% of all pregnancies [16]

Risk factors [17]

  • Maternal age > 35 years, multiparity, short intervals between pregnancies
  • Previous curettage or cesarean delivery
  • Previous placenta previa, previous/recurrent abortions
  • History of uterine surgery, e.g., myomectomy, cesarean delivery [2]

Classification [18]

  • Placenta previa: placenta either partially or completely covers the internal os
    • Previously, this category included marginal previa (placenta reaching the internal os), partial previa (placenta partially covering the internal os), and complete previa (placenta completely covering the internal os); these terms have been excluded from the new classification.
  • Low-lying placenta: : lower edge of the placenta lies less than 2 cm from the internal cervical os

In placenta previa, we receive a “preview” of the placenta through the cervical os.

Clinical features [2][4]

  • Sudden, painless, bright red vaginal bleeding
  • Usually occurs during the 3rd trimester (before rupture of the membranes)
  • Initial bleeding episodes are often self-limited and recur during the onset of labor or manual cervical examination.
  • Soft, nontender uterus [4]
  • Usually no fetal distress

Asymptomatic placenta previa is often diagnosed during a routine second trimester prenatal ultrasound. [4]

In contrast to placental abruption, bleeding in patients with placenta previa is painless.

Diagnostics [1][19][20]

  • Routine prenatal care: transvaginal or transabdominal ultrasound to assess placental position
  • Assessment of antepartum hemorrhage
    • Transvaginal ultrasound to assess placental position
    • Laboratory studies: CBC, coagulation studies, type and screen
    • See also “Approach to antepartum hemorrhage.”

In patients with antepartum hemorrhage, avoid digital vaginal examination unless placenta previa has been ruled out on transvaginal ultrasound. [1][19]

Transvaginal ultrasound can be performed in patients with antepartum hemorrhage and suspected placenta previa, as it has not been found to exacerbate bleeding. [1][19]

Management of placenta previa

Placenta previa detected on routine ultrasound during pregnancy [1][19][21]

  • Monitor placental placement.
  • If placenta previa persists at ∼ 32 weeks:
    • Repeat ultrasound at 36 weeks.
    • Schedule cesarean delivery, ideally between 36 and 37 weeks'gestation.
  • If placenta previa is complicated by placenta accreta: Schedule delivery between 34 and 35 weeks' gestation.

In patients with placenta previa, delivery after 37 weeks' gestation is associated with bleeding complications and unscheduled emergency delivery. [22]

Placenta previa presenting as antepartum hemorrhage [1][2]

  • Initiate immediate management of antepartum hemorrhage.
  • ≥ 37 weeks: immediate delivery
  • < 37 weeks: delivery or expectant management
    • Severe, active bleeding or fetal distress: emergency cesarean delivery
    • Light or no bleeding and no fetal distress: expectant management
      • Hospitalization and observation for 24–48 hours
      • Consider tocolytics to inhibit uterine contractions (in consultation with obstetrics). [19][23]
      • See also “Management of preterm labor.”

Route of delivery [6][24]

  • Placenta previa: lower segment cesarean delivery
  • Low-lying placenta: Shared decision-making is advised.
    • Lower segment cesarean delivery: usually preferred
    • Vaginal delivery ± induction of labor: may be considered for stable mothers with reassuring fetal status

Vaginal delivery should never be attempted outside of the operating room in a patient with low-lying placenta.

Complications [2]

  • Placenta accreta
  • Antepartum and/or postpartum hemorrhage
  • Fetal distress
  • Preterm labor and delivery (∼ 45% of cases) [2]
  • Amniotic fluid embolism

Definition

  • Condition in which the fetal vessels are located in the membranes near the internal os of the cervix, putting them at risk of injury if the membranes rupture

Epidemiology

  • 1/2500 births

Etiology

In most cases, at least one of the following risk factors is present.

  • Placental anomalies, such as:
    • Velamentous umbilical cord insertion
    • Bilobate or succenturiate placenta
      • Variation of the placental morphology with one or more accessory lobes developing separately from the main placental body
      • Fetal vessels connecting the lobes are only supported by the chorioamniotic membranes.
      • Risk factors: advanced maternal age, in vitro fertilization
      • Can lead to vasa previa, placenta previa, and retained placental tissue
  • Placenta previa
  • Low-lying placenta
  • Multiparity
  • In vitro fertilization

Clinical features

  • Painless vaginal bleeding (fetal blood) that occurs suddenly after rupture of membranes
  • Fetal distress (e.g., fetal bradycardia; decelerations or sinusoidal pattern on fetal heart tracings)
  • Fetal death can occur quickly through exsanguination or asphyxiation if fetal vessels are compressed during labor.

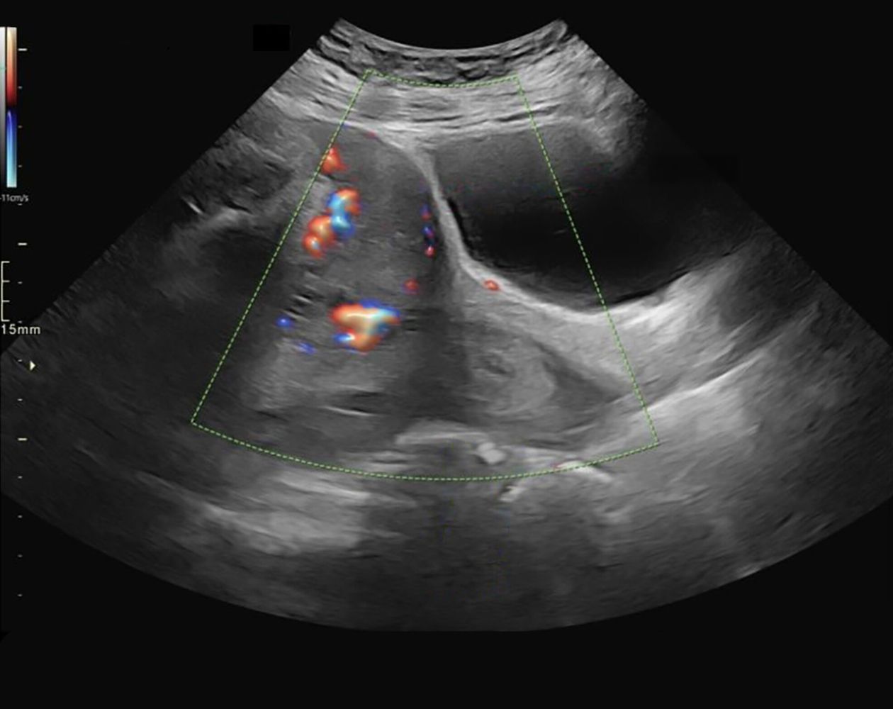
Diagnostics

  • Transabdominal or transvaginal ultrasound with color Doppler shows fetal vessels overlying the internal os and decreased blood flow within fetal vessels.

Treatment

  • Emergency cesarean delivery if there are signs of fetal distress

References:[25]