Guest Mode
AMBOSS Articles/ Emergency Medicine > Toxicologic Disorders

Approach to the Poisoned Patient

To see contributor disclosures related to this article, hover over this reference: [1]

Physicians may earn CME/MOC credit by reading information in this article to address a clinical question, and then completing a brief evaluation, in which they will identify their question and report the impact of any information learned on their clinical practice.

AMBOSS designates this Internet point-of-care activity for a maximum of 0.5 AMA PRA Category 1 Credit(s)β„’. Physicians should claim only credit commensurate with the extent of their participation in the activity.

For answers to questions about AMBOSS CME, including how to redeem CME/MOC credit, see β€œTips and Links” at the bottom of this article.

Diagnostic approach

  • ABCDE survey
  • Focused toxicological history and physical exam
  • Collateral history (e.g., from EMS providers, family)
  • Evaluate for classic toxidromes.
  • BMP
  • Liver chemistries
  • 12-lead ECG
  • Consider ABG/VBG.
  • Quantitative drug levels on a case-by-case basis

Serum and urine screening panels often have false-positive or false-negative results, which may indicate past exposure to a substance rather than explaining the current clinical presentation.

Red flag features

  • Altered mental status
  • Kussmaul breathing
  • Hyperthermia
  • Hypotension with bradycardia
  • QRS widening and/or drug-induced LQTS
  • Hyperkalemia
  • Hypoglycemia
  • Rhabdomyolysis
  • AKI
  • DIC
  • Toxic seizures

Life-threatening causes

  • Cardiovascular drug poisoning
  • Opioid overdose
  • Tricyclic antidepressant overdose
  • Acetaminophen overdose
  • Cyanide poisoning
  • Carbon monoxide poisoning
  • Cholinergic poisoning
  • Toxic alcohol ingestion
  • Caustic ingestion
  • Ruptured packet in body packing

Management checklist

  • Body surface decontamination and appropriate PPE in cases of chemical exposure
  • GI decontamination as needed (e.g., with activated charcoal )
  • Continuous cardiac monitoring
  • Pulse oximetry
  • Consider early intubation for airway protection.
  • Administer antidotes for immediate threats to life, e.g.:
    • Naloxone for opioid overdose
    • Lorazepam for toxic seizures
    • D50W for hypoglycemia
    • Atropine for cholinergic poisoning
    • 8.4% NaHCO3 for severe sodium channel blocker toxicity
  • Aggressive supportive care as needed (e.g., IV fluids, active cooling)
  • Consult poison control (1-800-222-1222).
  • Suicide risk evaluation in patients with intentional exposure

Do not treat toxic seizures with phenytoin, which can worsen the cardiotoxic effects of certain drugs (tricyclic antidepressants, theophylline, and cocaine) and is ineffective in seizures caused by withdrawal or isoniazid.

This article provides a general approach to patients with possible acute poisoning due to potentially toxic substances, including medications, recreational drugs, and environmental substances. Although few poisonings are fatal, acute poisoning can be a challenging medical emergency. Toxicity depends on exposure characteristics (e.g., substance type, route, dosage, timing) and patient characteristics (e.g., age and comorbidities). Management is guided by a toxicological risk assessment based on the clinical evaluation of poisoning and individualized diagnostics and monitoring. Initial management of critically ill patients should follow an ABCDE approach adapted to poisoning, which includes rapid identification of classic toxidromes, acute stabilization, and if indicated, early decontamination (e.g., activated charcoal), enhanced elimination (e.g., hemodialysis), and antidote administration (e.g., naloxone for opioid overdose). Consultation with a toxicologist or regional poison control center (in the United States, Poison Control is available 24/7 at 1-800-222-1222) is required in most cases. Admission and frequent reevaluation are often necessary due to altered substance pharmacokinetics, dynamic clinical manifestations, and the risk of delayed complications.

Approach

  • Stabilize the patient using a modified ABCDE approach that includes toxicology-specific considerations, for example:
    • Airway: Anticipate airway loss due to impending obstruction or depressed mental status and consider prophylactic airway protection.
    • Breathing: Consider the effect of the toxin on the respiratory drive.
    • Circulation: Check ECG to identify and treat cardiotoxic substance exposure.
    • Disability: Treat alterations in glucose metabolism and/or toxic seizures.
    • Exposure: Look for clues for the underlying toxin and perform surface decontamination.
  • Evaluate for classic toxidromes as well as for signs and symptoms of specific poisonings.
  • Determine if GI decontamination, enhanced elimination techniques, and/or specific antidotes are required during or after stabilization.
  • Once the patient has been stabilized, continue the toxicological risk assessment.

Anticipate and prepare for changes in hemodynamic and mental status, as toxic substances are metabolized gradually.

The combination of hypotension and bradycardia suggests cardiovascular drug poisoning. [2]

Airway [2][3][4][5]

Assessment

  • Airway obstruction or injury
    • Caustic agents
    • Toxic inhalation injuries
    • Toxic seizures
  • ↑ Risk of aspiration or bronchial obstruction
    • Loss of airway protective reflexes
    • Excessive vomiting or hematemesis

Management

  • Airway obstruction
    • Caustic or inhalation injury: high risk of difficult airway
      • Call for help: e.g., anesthesia.
      • Perform intubation as soon as possible. [6][7]
    • Uncontrollable seizures: Abort convulsive activity and perform RSI.
  • Loss of airway protection
    • Begin basic airway maneuvers.
    • Consider early intubation for patients expected to deteriorate with:
      • Severely depressed mental status or coma [8]
      • ↑ Risk of aspiration: e.g., excessive vomiting
      • ↑ Risk of status epilepticus
  • Transient airway compromise (e.g., isolated GHB toxicity, post-ictal period): Consider basic airway maneuvers alone with close airway monitoring. [9]

Breathing [2][3][4][5]

Assessment

  • ↓ RR
    • Opioids
    • Sedative-hypnotics
  • ↑ RR or Kussmaul respirations
    • Stimulants (e.g., amphetamines, cocaine)
    • Acute salicylate ingestion
    • Compensation for toxin-induced metabolic acidosis (e.g., toxic alcohols)
    • Aspiration pneumonia

Management

  • All patients
    • Start SpO2 monitoring and provide oxygen therapy as needed.
    • Begin BMV if signs of respiratory failure.
    • Consider ABG/VBG to screen for acid-base disorders.
  • CO poisoning
    • Administer high-flow 100% O2.
    • Interpret pulse oximetry with caution in patients with CO toxicity. [2]
  • Opioid-induced respiratory depression or respiratory arrest: Administer naloxone for opioid overdose.
  • Consider intubation and mechanical ventilation for:
    • Respiratory failure unresponsive to antidotes (e.g., naloxone)
    • Significant acidemia and evidence of respiratory muscle fatigue (see β€œHigh-risk indications for invasive mechanical ventilation”)

In mechanically ventilated patients with severe metabolic acidosis, optimize tidal volume and respiratory rate to match the patient's respiratory compensation.

Circulation [2][3][4][5]

Assessment

  • Hypotension: opioids, digoxin, antihypertensives
  • Hypertension
    • Central neurological complication (e.g., cocaine-associated stroke)
    • Sympathomimetics
  • Poisoning-induced rhythm and conduction abnormalities
    • Bradycardia: beta blockers, CCBs
    • Narrow complex tachycardia: vasodilators, sympathomimetics
    • QRS widening and wide complex tachycardia: sodium channel blockers (e.g., TCAs, antiarrhythmics) [10]

Management

  • All patients
    • Start continuous cardiac monitoring and consider hemodynamic monitoring for patients with shock.
    • Establish adequate IV access.
    • Provide immediate hemodynamic support as needed (e.g., IV fluid resuscitation)
  • Poisoning-induced bradycardia
    • Administer atropine and follow the β€œAdult unstable bradycardia algorithm.”
    • If there are muscarinic cholinergic symptoms, give high-dose atropine. [11]
    • See β€œCardiovascular drug poisoning” for further details.
  • Poisoning-induced tachyarrhythmias
    • Consider benzodiazepines for stimulant intoxication.
    • Administer 8.4% sodium bicarbonate for severe sodium channel blocker toxicity (e.g., TCA toxicity). [3][12][13][14]
  • Poisoning-induced hypotension: typically requires treatment with adrenergic vasopressors [13]
    • Negative inotropes: Epinephrine is preferred. [4][15]
    • Peripheral vasodilators: Norepinephrine is preferred. [15]
    • See β€œVasopressors” for information on dosages.
  • Cardiovascular drug poisoning: e.g., beta-blocker poisoning, CCB poisoning, digoxin poisoning
    • Consider toxin-specific antidotes in addition to immediate hemodynamic support, such as:
      • High-dose euglycemic insulin therapy
      • Calcium for drug poisoning
      • High-dose glucagon
      • Digoxin immune fab
      • Intravenous lipid emulsion therapy
      • Methylene blue for drug poisoning
    • Consider ECMO for refractory life-threatening cases.
    • See β€œCardiovascular drug poisoning” for further details.

Disability [2][3][4][5]

Assessment

  • Pupillary changes: examine closely for mydriasis and miosis (see β€œClassic toxidromes”).
  • Hypoglycemia: insulin and oral hypoglycemics
  • Toxic seizures [2]
    • Insulin and oral hypoglycemics
    • Antidepressants
    • Sympathomimetics
    • Lead
    • Lithium
    • Isoniazid
  • Withdrawal seizures: e.g., from alcohol, benzodiazepines

Management

  • Altered mental status
    • Do not administer a β€œcoma cocktail” empirically. Consider each antidote on an individual basis. [2] [2][16]
    • Consider naloxone for opioid-induced coma. [17]
    • Give D50W for hypoglycemia.
    • Give thiamine if there are risk factors for Wernicke encephalopathy (e.g., malnourishment, alcohol use disorder). [13]
    • Reevaluate mental status frequently.
  • Toxic seizures [2][18]
    • First-line: benzodiazepines (e.g., lorazepam )
    • Second-line: barbiturates (e.g., phenobarbital )
    • Treat underlying poisoning.
      • Drugs: See β€œTCA poisoning,” β€œSalicylate poisoning,” β€œLocal anesthetic systemic toxicity,” β€œBupropion poisoning,” β€œAntipsychotic poisoning,” β€œLithium poisoning,” and β€œStimulant intoxication.”
      • Environmental: See β€œOrganophosphates,” β€œCyanide poisoning,” β€œCarbon monoxide poisoning,” β€œSnake envenomation,” β€œMetal toxicity,” and β€œMushroom poisoning.”
    • Identify and treat toxin-induced hypoglycemia or hyponatremia.
    • Consult neurology and toxicology for refractory seizures.
  • Cyanide toxicity: Administer antidotes for cyanide poisoning, e.g., hydroxocobalamin.

Do not treat toxic seizures with phenytoin, which can worsen the cardiotoxic effects of certain drugs (tricyclic antidepressants, theophylline, and cocaine) and is ineffective in seizures caused by withdrawal or isoniazid. [14][19]

Exposure [2][3][4][5]

Assessment

  • Skin abnormalities
    • Evidence of chemical exposure
    • Transdermal medication patches
    • Track marks
    • See β€œFocused physical examination” for other skin findings.
  • Hyperthermia: See β€œDifferential diagnosis of drug-induced hyperthermia.”

Management

  • Chemical or radiological exposures
    • Remove all of the patient's clothing.
    • Immediately irrigate the body.
    • Avoid irrigation with water if the patient was exposed to an alkali metal.
    • See also β€œSurface decontamination.”
  • Hyperthermia
    • Discontinue causative agent (see β€œSerotonin syndrome” and β€œNeuroleptic malignant syndrome”).
    • Begin active cooling, e.g., mist and fan.

Classic toxidromes

Recognition of classic toxidromes is essential to the evaluation of patients poisoned with an unknown substance. Note that, in practice, toxidromes may manifest more subtly than what is described here.

Classic toxidromes [2][4][11]
Vital signs Mental status Pupils Other examination findings
Sedative-hypnotic toxidrome
  • Hypothermia
  • ↓ HR
  • ↓ RR
  • ↓ BP
  • ↓ SaO2
  • Sedation, stupor, coma
  • Poor reactivity to light
  • Hypotonia, hyporeflexia
  • Slurred speech
Opioid toxidrome
  • Miosis
  • Decreased bowel sounds
Cholinergic toxidrome (muscarinic)
  • ↓ HR
  • Variable RR
  • ↓ BP
  • ↓ SaO2
  • Can be altered or normal
  • Miosis
  • Wheezing/bronchospasm
  • Signs and symptoms of ↑ secretions (bronchorrhea, salivation, lacrimation, urination, defecation, vomiting, sweating)
  • Gastrointestinal cramps
  • DUMBBELLSS
Cholinergic toxidrome (nicotinic)
  • ↑ HR
  • ↑ BP
  • Normal
  • Muscle fasciculations and weakness [11]
  • Abdominal pain
Anticholinergic toxidrome
  • Hyperthermia
  • ↑ HR
  • Delirium
  • Mydriasis
  • Dry, hot skin
  • Ileus
  • Urinary retention
Serotonin toxicity
  • Hyperthermia
  • ↑ HR
  • ↑ RR
  • ↑/↓ BP (Variability in BP is a feature of autonomic instability.)
  • Variable [20]
    • Agitation, confusion
    • OR drowsiness, coma
  • Mydriasis
  • Sweating
  • Neuromuscular hyperactivity: i.e., clonus, myoclonus, hyperreflexia, tremor, ataxia
  • Diarrhea
  • If severe: seizures, rhabdomyolysis, AKI, and DIC
Sympathomimetic toxidrome
  • Hyperthermia
  • ↑ HR
  • ↑/↓ BP [11]
  • Agitation, confusion
  • Sweating
  • Psychosis
  • Seizures

In patients taking serotonergic medications, clonus and hyperreflexia should raise suspicion for serotonin syndrome. [20]

For patients with anticholinergic syndrome, remember: blind as a bat, mad as a hatter, red as a beet, hot as a hare, and dry as a bone!

General principles

Risk assessment in toxicology is based on the overall clinical evaluation and helps guide interventions that could:

  • Convert potentially fatal toxic exposures to nonfatal toxic exposures
  • Convert potentially toxic exposures to nontoxic exposures

Key components [2][14]

  • Focused toxicological history and physical examination, including:
    • Collateral history
    • Substance identification, e.g., using online drug databases or pill identifier tools (see β€œTips & links”)
    • Estimation of toxicity; often requires consulting poison control and/or material safety data sheets
  • Routine and confirmatory diagnostic studies (See β€œDiagnostics.”)
  • Clinical or diagnostic evidence of complications
  • Assessment of patient factors that increase risk of toxicity (e.g., age, kidney function, liver function)
  • Monitoring parameters indicating response to therapy, e.g., serial ECGs, serial quantitative drug levels.

The dose of a toxic substance exposure is a key determinant of the effects, i.e., β€œthe dose makes the poison.”

Avoid anchoring bias by comparing the history of exposure and expected toxicological effects with physical and diagnostic findings over the course of the evaluation.

Risk-based decision-making

Categorize the risk presented by a toxic exposure along the following spectrum (from high to low):

  • Immediate threat to life and/or cognitive function
    • Begin resuscitation, e.g., immediate hemodynamic support, respiratory support
    • Administer antidotes, decontamination, or enhanced elimination during the ABCDE survey, if applicable.
    • Consider ICU admission.
  • Potential for permanent organ damage
    • Consider antidotes, decontamination, or enhanced elimination early to preserve organ function.
    • Consider the need for organ transplant (may require interfacility transfer).
  • Risk of life-threatening complications (e.g., seizures, cardiac arrhythmias, aspiration)
    • Consider antidotes, decontamination, or enhanced elimination early to prevent complications.
    • Prepare to provide supportive care if complications occur.
  • Uncertain risk
    • Consider admission for observation and monitoring.
    • Consider additional investigations and consultations.
  • Low risk (e.g., does not meet the threshold of toxic ingestion)
    • Provide reassurance.
    • Consider discharge with return instructions after a period of observation.

Approach [2][11][14]

  • Sources of information
    • Obtain as much information directly from patients as possible, reassuring them about confidentiality.
    • Seek collateral sources of information.
      • EMS providers, e.g., circumstances at the scene, including any bottles found
      • Family/friends, e.g., history of drug use, recent concerning statements or changes in behavior
      • Chart review or pharmacy, e.g., for a list of current and recent prescription medications
      • Witnesses or bystanders
  • Key historical elements
    • Drug-related: e.g., drug class, immediate vs. extended-release formulation, amount, time of ingestion [2][14]
    • Patient-related: e.g., age, comorbidities, clinical status
    • Attempt to quantify the toxic dose ingested per kg of weight.
    • Consider the possibility of multiple co-ingested substances.
  • Key physical examination elements
    • Examine the skin, eyes, abdomen, and neurological system.
    • Identify classic toxidromes.
    • Identify cardinal signs of specific poisonings.

Clinical effects of a given substance at toxic (supratherapeutic) doses can vary dramatically from the expected side effects at therapeutic doses.

Focused history

History obtained initially can be unreliable for various reasons, for example:

  • Only secondhand information is available (i.e., the patient is unresponsive or altered).
  • Patients may feel the need to conceal information about the exposure.
Focused toxicological history [2][11][14]
Questions Description
Who?
  • Patient characteristics: confer an increased risk
    • Older age (β‰₯ 65 years)
    • Comorbidities (e.g., obesity, CKD, cirrhosis, seizure disorder)
    • Current clinical status (e.g., symptomatic, hemodynamically unstable, worsening)
What?
  • Exposure characteristics: confer an increased risk
    • High dose
    • High toxicity (e.g., narrow therapeutic index)
    • Extended-release formulation
    • Any co-ingestions
  • Unknown toxin: attempt to identify by asking about:
    • All recently prescribed medications
    • Any nonprescribed medications, supplements, herbals, etc.
    • Occupation and hobbies
    • If bottles are found, do not rely solely on labels, since patients may use bottles to store other medications. Use a pill identifier tool; see β€œTips & Links.” [2]
How?
  • Route of exposure: e.g., oral, intravenous, transdermal, rectal
When?
  • Important times to document
    • Exact time and duration of exposure [2]
    • Time elapsed since exposure
    • Time of symptom onset
Why?
  • Unintentional exposure
    • Iatrogenic: e.g., incorrect dose prescribed or given
    • Patient-related: e.g., misunderstanding regarding prescribed dose, inability to read or understand the bottle label, new or worsening cognitive disorder.
  • Intentional exposure
    • Self-harm or suicide attempt: Identify risk factors for serious intent. [13]
      • Overdose attempt made in an isolated place
      • Suicide note
      • Past medical history: e.g., terminal illness, history of depression
      • Recent bereavement
      • Sociodemographic factors: e.g., male gender, older age, unemployment
    • Harm by another (e.g., date rape, older adult abuse, child abuse): Evaluate safety of patient's current living situation.

Reevaluate the clinical hypothesis if physical findings and diagnostic studies are inconsistent with toxic effects expected from the exposure history.

Focused physical examination

Focused toxicological physical examination [2][11][14]
Examination Description
Weight
  • Accurate weight: important for toxicological risk assessment and for the dosing of certain antidotes.
Odors
  • Fruits: ketosis
  • Garlic or gasoline: organophosphates
  • Rotten eggs: hydrogen sulfide
  • Bitter almonds: cyanide
  • Fire smoke: increases suspicion for CO toxicity or cyanide exposure
Skin
  • Erythema: cyanide poisoning, carbon monoxide poisoning, scombroid poisoning, niacin toxicity, boric acid
  • Hyperthermia: anticholinergic poisoning, cocaine, malignant neuroleptic syndrome
  • Lesions, bruises: may be due to prolonged immobilization (e.g., from falls related to sedative use)
  • Moisture (sweating): cholinergic or sympathomimetic poisoning, serotonin syndrome
Eyes and mucous membranes
  • Pupil size: See β€œClassic toxidromes.”
  • Eye movements
    • Strabismus and ophthalmoplegia: tricyclic antidepressants, barbiturates, phenothiazines, antiepileptics (e.g., phenytoin, carbamazepine) [20]
    • Nystagmus: sedatives, antiepileptics, ketamine, phencyclidine [2]
  • Blurring or loss of vision, tunnel vision: methanol, quinine [20]
  • Mucous membranes
    • Blueish: cyanosis, methemoglobinemia
    • Yellowish: drug-induced liver injury, drug-induced hemolytic anemia
Abdomen
  • ↓ Bowel sounds: anticholinergic toxidrome, opioid toxicity
  • ↑ Bowel sounds: cholinergic toxidrome, serotonin toxicity
  • Bladder distention: anticholinergic toxidrome
Neurological exam
  • General mental status: e.g., depressed, delirious, or anxious
  • Abnormal movements [20]
    • Acute dystonia: dopamine receptor antagonists (e.g., metoclopramide, antipsychotics)
    • Tremor: intoxication, withdrawal
    • Choreoathetosis: organophosphorus poisoning
  • Reflexes
    • Hyperreflexia: tricyclic antidepressants
    • Hyporeflexia: sedatives
    • Clonus: serotonin syndrome
  • Tone
    • Hypertonia: tricyclic antidepressants
    • Hypotonia: sedatives
    • Rigidity: neuroleptic malignant syndrome

Reassess the patient frequently. Examination findings can change as the toxic substance metabolizes.

Intoxication with certain substances can cause the loss of some brainstem reflexes. A diagnosis of brain death can only be made in the absence of intoxication. [21]

General principles [2][4][13][14]

  • Targeted investigations based on the clinical evaluation are typically preferred over blanket testing and screening.
  • Document the time blood was drawn, so that results can be accurately interpreted.
  • General serum or urine screening panels for multiple substances are not routinely recommended. [2][4]

Serum and urine screening panels often have false-positive or false-negative results. They may indicate past exposure to a substance and may not explain the current clinical presentation. [2][4]

Routine studies

  • BMP
    • Electrolyte abnormalities
      • Hyponatremia (e.g., due to MDMA)
      • Hyperkalemia (e.g., due to digoxin)
      • Hypokalemia (e.g., due to albuterol or theophylline)
    • Hypoglycemia (e.g., due to insulin and/or oral hypoglycemics)
    • Acute kidney injury (e.g., due to ethylene glycol or rhabdomyolysis) [2]
    • Anion gap and osmolar gap : can be elevated with multiple substance exposure
  • Liver chemistries: may be deranged in acetaminophen overdose or alcohol intoxication
  • Acetaminophen level: the only specific toxin routinely screened [4]
  • ECG [14][20]
    • Bradycardia and atrioventricular block (e.g., due to digoxin, beta blockers, or calcium channel blockers)
    • QRS prolongation and right axis deviation (e.g., due to tricyclic antidepressants)
    • QT prolongation (e.g., due to citalopram, antipsychotics)

Classic causes of high anion gap metabolic acidosis: CAT MUDPILES (Cyanide/Carbon monoxide, Aspirin/Alcoholic ketoacidosis, Toluene, Methanol/Metformin, Uremia, Diabetic ketoacidosis, Paraldehyde/Propylene glycol, Isoniazid, Lactic acidosis, Ethylene glycol, Salicylates) [2]

Classic causes of high osmolar gap: ME DIE (Methanol, Ethylene glycol, Diuretics (mannitol)/Diabetic ketoacidosis, Isopropyl alcohol, Ethanol)

Acetaminophen levels may not be detectable if the patient presents > 18 hours after overdose. [13]

Additional laboratory studies

  • ABG: to help identify acid-base disorders
  • Lactate and/or ketones: to further evaluate metabolic acidosis
  • CPK: for suspected rhabdomyolysis
  • Quantitative drug levels can be helpful to guide management for the following substances: [2]
    • Digoxin
    • Ethanol
    • Lithium
    • Salicylates
    • Iron
    • Methotrexate
    • Theophylline
    • Phenobarbital
    • Valproic acid
    • Phenytoin
    • Carbamazepine

Imaging [2][20]

Routine imaging is unnecessary; consider the following on a case-by-case basis:

  • X-ray chest for pulmonary complications (e.g., aspiration, ARDS). [20]
  • CT head for altered mental status that is not clearly attributable to a specific toxic exposure. [2]
  • CT or MRI esophagus for esophageal caustic injury.
  • X-ray or CT abdomen for ingestion of select radiopaque substances, such as: [22]
    • Heavy metals (e.g., iron, lead, arsenic, mercury) [20]
    • Packets containing substances such as opiates or cocaine [2]
    • Chloral hydrate
    • Phenothiazines
    • Numerous sustained-release or enteric-coated substances
    • Numerous industrial solvents (e.g., carbon tetrachloride)

To remember foreign substances with a radiopaque appearance on abdominal radiography, think of CHIPES: Chloral hydrate, Heavy metals, Iodides, Phenothiazines, Enteric-coated or sustained-release substances, and Solvents. [22]

Consider decontamination early to prevent further toxicity of certain substances, as the window of opportunity for life-saving benefits is often narrow. [2][13]

Body surface decontamination

The removal of any residual toxin from the patient's skin and mucus membranes to:

  • Prevent further transdermal and/or inhalational exposure
  • Protect healthcare providers from contamination

Clinical applications

Consider in any case of known or suspected exposure to chemical, biological, radiologic, or nuclear (CBRN) hazards.

  • Suspect chemical contamination if any of the following are present: [23]
    • History of intentional overdose with a chemical substance
    • Strong or unusual odor (see β€œOdors” in β€œFocused physical examination”)
    • Unidentified substances contaminating skin or clothing
    • Signs and symptoms of a cholinergic toxidrome
    • Chemical burns or inflamed mucous membranes
  • Substances typically requiring body surface decontamination [24]
    • Solvents
    • Organophosphates
    • Paraquat
    • Hydrofluoric acid
    • Heavy metals (e.g., methylmercury)
    • Cyanide
    • Radioactive particles

Body surface decontamination is unnecessary for patients who have been exposed to radiation but have no radioactive materials on their person.

Preparation

  • Perform decontamination of dermal or ocular exposures during the 'Exposure' phase of the ABCDE approach.
  • Use the appropriate level of PPE protection; See β€œTips & links” for the OHSA/EPA categories (e.g., Level A, B, or C). [25][26]
  • Consider more aggressive body surface decontamination and specialized PPE for high-risk poisons, e.g,:
    • Deliberately released poisons, e.g., nerve agents, bioterrorism
    • Household, industrial, or agricultural exposure, e.g., cleaning products, solvents, insecticide, radioactive materials in a laboratory
  • Activate necessary protocols (e.g., for hazardous exposures, mass casualties).
  • Notify external agencies according to hospital and state requirements (e.g., fire department, health department, CDC).

Use universal precautions as minimum protection when performing body surface decontamination.

Procedure [23][27]

Decontaminate the patient prior to entering patient care areas

  • Carefully and completely remove all clothing.
  • Double-bag clothing in sealed and labeled biohazard bags.
  • Wash exposed areas with copious amounts of water (and soap, if possible) for 10–15 minutes, while sponging areas gently.
    • Wash any exposed open wounds and eyes (if exposed) first.
    • Continue to wash the rest of the body, working from head to toe.
    • Prevent water runoff from touching eyes, nose, mouth, or any unexposed areas.
    • After the initial wash of eyes and/or open wounds, use water or saline to irrigate them for another 5–10 minutes.
  • In situations of deliberate release, the β€œrinse-wipe-rinse” approach is recommended. [28][29]

Gastrointestinal decontamination [2][4][13][14]

  • The removal of a toxic substance from the body before complete absorption by the GI tract
  • Not routinely recommended; consider individual risks and benefits in consultation with a specialist. [30][31][32]

The use of ipecac to induce vomiting is no longer recommended. [33]

Single-dose activated charcoal (AC) [2][4][13]

  • Method: oral or nasogastric administration of activated charcoal [2][30][34]
  • Clinical applications
    • Most effective for single toxic ingestions occurring ≀ 1 hour prior to presentation
    • Consider for single ingestions of slowly metabolized substances occurring > 1 hour from presentation, such as: [13]
      • Substances that prolong GI transit (e.g., TCAs)
      • Extended-release formulations
  • Contraindications
    • Risk of aspiration [30]
    • Increased risk of GI bleeding or perforation
    • Ingestion of substances that do not bind well to charcoal, e.g., lithium, iron, or toxic alcohols

Single-dose AC can cause vomiting and/or constipation. Coadministration of cathartics (e.g., sorbitol) is discouraged.

Activated charcoal does not adsorb metals (e.g., iron, mercury, arsenic, lead, lithium), alcohols (e.g., ethanol, methanol, ethylene glycol), organic solvents (e.g., acetone), acids, bases, or cyanides. [12][35]

Whole bowel irrigation (WBI) [2][4][13]

  • Method: oral or nasogastric administration of large volumes of an osmotically balanced solution (e.g., polyethylene glycol electrolyte solution) to flush the bowel [4][13][31]
  • Clinical applications [31]
    • Body packing
    • Significant ingestions of:
      • Enteric-coated tablets
      • Sustained-release formulations
      • Drugs poorly absorbed by activated charcoal (e.g., iron, lithium)
  • Contraindications
    • Unprotected airway
    • Hemodynamic instability
    • Intractable vomiting
    • Ileus, bowel obstruction, or GI perforation

WBI may cause vomiting and bowel distention, leading to aspiration.

Gastric lavage [2][4][13]

  • Method [32]
    • Insert a large-bore orogastric tube.
    • Administer 200–300 mL of warm saline or water into the stomach.
    • Aspirate the fluid.
    • Continue until no pills or pill fragments remain in the fluid.
  • Clinical applications
    • No clear indications
    • Considered in very rare situations [4]
  • Contraindications [30]
    • Risk of aspiration
    • Ingestion of strong acids or alkali
    • Increased risk of GI bleeding or perforation
  • Adverse effects
    • Aspiration pneumonitis or pneumonia
    • Esophageal or gastric perforation
    • Fluid and electrolyte imbalances
    • Cardiac arrhythmias [13]

Gastric lavage should only be performed by experienced individuals in consultation with a toxicologist in rare situations where the benefits outweigh the risks. [4]

General principles [2][4][12][13]

  • The removal of a toxic substance from the body after absorption by the GI tract
  • Indicated for a small number of substances with specific pharmacokinetics .

Consult a toxicologist or poison control unit before implementing enhanced elimination methods. [13][14]

Multidose activated charcoal (MDAC) [2][4][12][13]

  • Goal: prevent GI reabsorption during enterohepatic or enteroenteric circulation
  • Method: Repeated doses of activated charcoal [34][36]
  • Indications include potentially fatal overdoses of: [36]
    • Carbamazepine
    • Theophylline
    • Quinine
    • Phenobarbital
    • Dapsone
  • Other clinical applications: GI decontamination for substances that delay GI transit, form bezoars, or have sustained-release formulations (e.g., salicylates) [34][37][38]
  • Contraindications
    • Unprotected airway
    • Intestinal obstruction

Avoid coadministration of MDAC with cathartics (e.g., sorbitol). [2][36]

Urine alkalinization [2][4][12][13]

  • Goal: promote renal elimination by trapping by basic ions in the urine
  • Method [39]
    • Administer sodium bicarbonate IV infusion. [34]
    • Correct hypokalemia before beginning the infusion.
    • Supplement potassium during the infusion. [13]
    • Monitor urinary pH and BMP (for acid-base balance and potassium level) every 1–2 hours.
    • Adjust rate to target urine output of 2–3 mL/kg/hour. [37]
  • Clinical applications
    • Consider as first-line treatment for patients with salicylate poisoning who do not meet criteria for dialysis.
    • Consider as second-line treatment for patients with phenobarbital poisoning.
    • May potentially be used for methotrexate and chlorophenoxy herbicide poisoning [12]
  • Adverse effects
    • Hypokalemia
    • Tetany (due to alkalosis)
    • Hypernatremia
    • Hypocalcemia (rare)

Maintain normokalemia for urinary alkalinization to be successful.

Extracorporeal therapy (ECTR) [2][4][12][13]

  • Goal: remove toxic substances from the bloodstream via an extracorporeal process
  • Methods: hemodialysis, continuous renal replacement therapy, or hemoperfusion
  • Indications
    • Potentially fatal overdoses of: [13]
      • Ethylene glycol
      • Methanol
      • Theophylline
      • Salicylates
      • Lithium
    • Other indications for dialysis include severe acid-base or electrolyte derangements.
  • Complications: hypotension (see β€œHemodialysis and hemofiltration” in β€œRenal replacement therapy” for others)

Consult nephrology and toxicology before administering ECTR. Central line insertion is typically required.

Definition [12][40][41][42]

  • A therapy that counteracts or reduces the effects of a toxic substance, by any of the following:
    • Directly neutralizing the substance
    • Interfering with receptors or downstream chemical pathways that cause toxicity
    • Preventing the formation of toxic metabolites
  • Antidotes can also restrict absorption and enhance elimination of the substance.

Antidotes are most useful for substances that have delayed, potentially life-threatening consequences (e.g., N-acetylcysteine for acetaminophen overdose).

Administration [12][41][42]

  • Titration to clinical effects may be preferred over fixed dosing (e.g., naloxone for opioid overdose).
  • Avoid excess dosing of antidotes.
  • Stop treatment at the desired therapeutic endpoint.
  • Monitor the following: [42]
    • Clinical signs and symptoms, e.g., blood pressure if administering calcium to treat a calcium channel blocker overdose
    • Time to clinical response: A delayed response may suggest the need to redose or reconsider the diagnosis.
    • Laboratory studies, e.g., prothrombin time if administering vitamin K to treat a warfarin overdose

Consult poison control before administering antidotes, unless treatment is time-sensitive and potentially life-saving (e.g., naloxone, atropine, 8.4% NaHCO3).

Risks [12][41][42]

  • Risks of rare use
    • May not be immediately available [14]
    • High risk of dosing errors
  • Risks are greater in patients with critical illness, coingestions, and specific comorbidities. [12][12][41]
  • High-quality evidence to support the use of most antidotes is limited.

Consult poison control (e.g., by calling 1-800-222-1222 in the US) to determine the risks and benefits of an antidote for an individual poisoning.

Overview of common antidotes

Overview of antidotes, reversal agents, and enhanced elimination therapy [4][12][41]
Antidotes and/or enhanced elimination agents Management
Benzodiazepines Flumazenil (rarely indicated) See β€œBenzodiazepine overdose.”
Barbiturates Sodium bicarbonate (enhanced elimination) See β€œBarbiturate overdose.”
Opioids Naloxone See β€œManagement of opioid overdose.”
Organophosphate pesticides and nerve agents Atropine and pralidoxime See β€œCholinergic poisoning.”
Anticholinergics Physostigmine (rarely indicated) See β€œAnticholinergic poisoning.”
Serotonergic agents Cyproheptadine (rarely indicated) See β€œManagement of serotonin syndrome.”
Stimulants Benzodiazepines for stimulant intoxication See β€œManagement of stimulant intoxication.”
Acetaminophen N-acetylcysteine See β€œManagement of acetaminophen overdose.”
Salicylates Sodium bicarbonate (enhanced elimination) See β€œManagement of salicylate poisoning.”
Tricyclic antidepressants (TCAs) Sodium bicarbonate See β€œApproach to antidepressant overdose” and β€œTCA overdose.”
Beta blockers High-dose glucagon, high-dose euglycemic insulin See β€œInitial management of CV drug poisoning,” β€œBeta blocker poisoning,” β€œCCB poisoning,” and β€œDigoxin poisoning.”
Calcium channel blockers (CCBs) Calcium for drug poisoning, high-dose euglycemic insulin
Digoxin Digoxin immune Fab
Neuroleptic malignant syndrome (NMS) Dantrolene, bromocriptine (rarely indicated) See β€œManagement of NMS.”
Malignant hyperthermia Dantrolene See β€œManagement of malignant hyperthermia.”
Heparin Protamine sulfate See β€œHeparin reversal.”
Warfarin Vitamin K, PCC or fresh frozen plasma See β€œWarfarin reversal.”
DOACs Idarucizumab for dabigatran; andexanet alfa for factor Xa inhibitors See β€œDOAC reversal.”
Local anesthetics Intravenous lipid emulsion therapy See β€œLocal anesthetic systemic toxicity” and β€œLAST-induced cardiac arrest.”
Cyanide Hydroxocobalamin, sodium nitrite, sodium thiosulfate See β€œCyanide poisoning.”
Ethylene glycol Fomepizole See β€œToxic alcohol poisoning.”
Methanol
Iron Deferoxamine See β€œMetal toxicity.”
Lead or mercury Succimer
Arsenic Dimercaprol
Carbon monoxide Supplemental oxygen, hyperbaric oxygen therapy See β€œManagement of carbon monoxide poisoning.”
Methemoglobinemia Methylene blue See β€œManagement of methemoglobinemia.”
Atropa belladonna Physostigmine (limited availability in US) See β€œPlant poisoning.”
Amanita phalloides N-acetylcysteine, penicillin G, silibinin See β€œMushrooms poisoning.”

Aggressive supportive care is essential to the successful management of poisoned patients, irrespective of the need for other interventions (e.g., decontamination, antidotes).

Systems-based supportive care

Cardiorespiratory [5][13]

  • Manage persistent hypotension: Ensure adequate fluid resuscitation and consider vasopressors (see β€œShock”).
  • Prevent arrhythmias, e.g., due to QTc prolongation, wide QRS complex, or AV block. [12]
  • Provide oxygen therapy; consider mechanical ventilation as needed to optimize gas exchange.

Metabolic [5][13][43]

  • Correct electrolyte derangements (e.g., hypokalemia, hypomagnesemia, hyponatremia).
  • Manage severe metabolic acidosis.
    • Adjust tidal volume and respiratory rate as needed (see β€œVentilation strategy for severe acidosis”).
    • Consider administration of IV 8.4% sodium bicarbonate.
  • Manage hypoglycemia.
    • Encourage oral carbohydrate intake and ensure resolution of hypoglycemia.
    • If the patient is unconscious: IV 50% dextrose in water
    • If insulin- or sulfonylurea-related: Consider a continuous dextrose infusion (e.g., 10% dextrose in 0.9% NaCl).
    • Monitor glucose and potassium levels.
    • Consider prophylactic dextrose in patients with salicylate toxicity to avoid cerebral hypoglycemia.
    • See β€œTreatment of hypoglycemia” for more information.

Temperature (hyperthermia) [5][13]

  • If core temperature is > 39Β°C: Use active cooling techniques.
  • If due to sympathetic stimulation: Use benzodiazepines (e.g., lorazepam ).
  • If resistant to cooling measures: Consult toxicologist for advanced treatment strategies.

Many cases of poisoning can be effectively managed with supportive care alone. [2]

Consider 3% hypertonic saline to treat severe MDMA-induced hyponatremia causing cerebral edema or seizures.

Toxic substances without specific antidotes

Management of the following poisonings typically involves aggressive supportive care until the toxin is cleared endogenously or via enhanced elimination:

  • Alcohol intoxication
  • GHB intoxication
  • Inhalant-related disorders
  • Cannabis-induced disorders
  • Caffeine-related disorders
  • Hallucinogen intoxication (MDMA, LSD, PCP)
  • Lithium poisoning
  • Caustic agents

Monitoring parameters [2]

Clinical and diagnostic monitoring are often required. Discuss details with poison control based on the toxicological risk assessment.

  • Clinical monitoring for complications, e.g.: [5]
    • Rhabdomyolysis (due to direct toxic effects, resulting seizures, or prolonged hyperthermia)
    • Urinary retention (due to anticholinergic effects)
  • Serial drug levels: Consider for substances with unpredictable absorption kinetics (e.g., salicylates, valproic acid). [2]
  • Monitoring for cardiotoxicity
    • Consider serial ECGs and continuous cardiac monitoring if:
      • The ingested substance was cardiotoxic (e.g., calcium channel blockers, digoxin)
      • Multiple substances were ingested
      • The ingested substance is unknown
    • For patients with rhythm disturbances, monitor the following: [12]
      • QRS and QT intervals with serial ECGs (e.g., every 2–4 hours)
      • Serum electrolytes: Maintain K+ levels > 4 mEq/L.
      • Acid-base status: Correct metabolic acidosis.

Duration of observation [2]

  • Consider short duration (e.g., 6 hours) for intentional ingestion, if:
    • Peak toxicity is expected to be reached within that time
    • Overall level of toxicity is predicted to be low
    • Patient remains asymptomatic
    • Patient has received a psychiatric consult
  • Consider long duration (e.g., > 24 hours) in the following situations:
    • Substance-related: extended-release formulation, delayed peak effects , delayed toxicity , or active metabolites . [42]
    • Patient-related: Symptoms do not resolve with supportive treatment or complications occur.

Choose a monitoring interval that takes altered pharmacokinetics into account. In many cases, a substance's reported elimination half-life at therapeutic levels differs from that of overdose.

Discuss disposition with a toxicologist or poison control center based on individual toxicological risk assessment. Most patients require admission for stabilization, treatment, observation, and/or involuntary commitment.

  • Consider admission for:
    • Symptomatic patients.
    • Asymptomatic patients expected to experience delayed toxicity
  • Consider ICU admission for patients with:
    • Need for advanced airway management OR high risk of airway compromise
    • Need for mechanical ventilation OR high risk of respiratory failure
    • Need for vasoactive medications OR high risk of hemodynamic instability
    • High risk of life-threatening complications: e.g., cardiac arrhythmias, seizures, cerebral edema, multiorgan failure
    • Need for hemodialysis
  • Consider discharge with instructions in select patients, e.g.:
    • Clinically stable after unintentional, nontoxic exposures
    • PLUS reliable history, support network, and follow-up
  • Intentional poisoning: Consult psychiatry.
  • Substance use disorder: Refer for counseling or rehabilitation if patient agrees.

Consult critical care early for all unstable patients or those with a high-risk toxicological risk assessment.

Definitions [44][45][46]

  • Body packing: intentional or coerced ingestion of large quantities of a controlled substance (e.g., narcotics, cocaine, amphetamines) in packaging that prevents absorption, typically for smuggling purposes
  • Body stuffing: ingestion or intracavitary concealment of small amounts of drugs to avoid arrest

A patient's concealment of drugs, involvement with drug trafficking, or lack of cooperation with health providers may be involuntary. Beware of implicit biases during the clinical encounter.

Clinical features [44][45][46]

Clinical manifestations, e.g., opioid toxidrome, sympathomimetic toxidrome, depend on the substance and amount absorbed.

  • Body stuffing: often symptomatic
  • Body packing
    • Unruptured packet: typically asymptomatic; clinical features of bowel obstruction may occur.
    • Ruptured packet
      • Subtle features initially
      • Fulminant, life-threatening poisoning (e.g., respiratory failure, shock, coma, cardiac arrest) can rapidly develop.

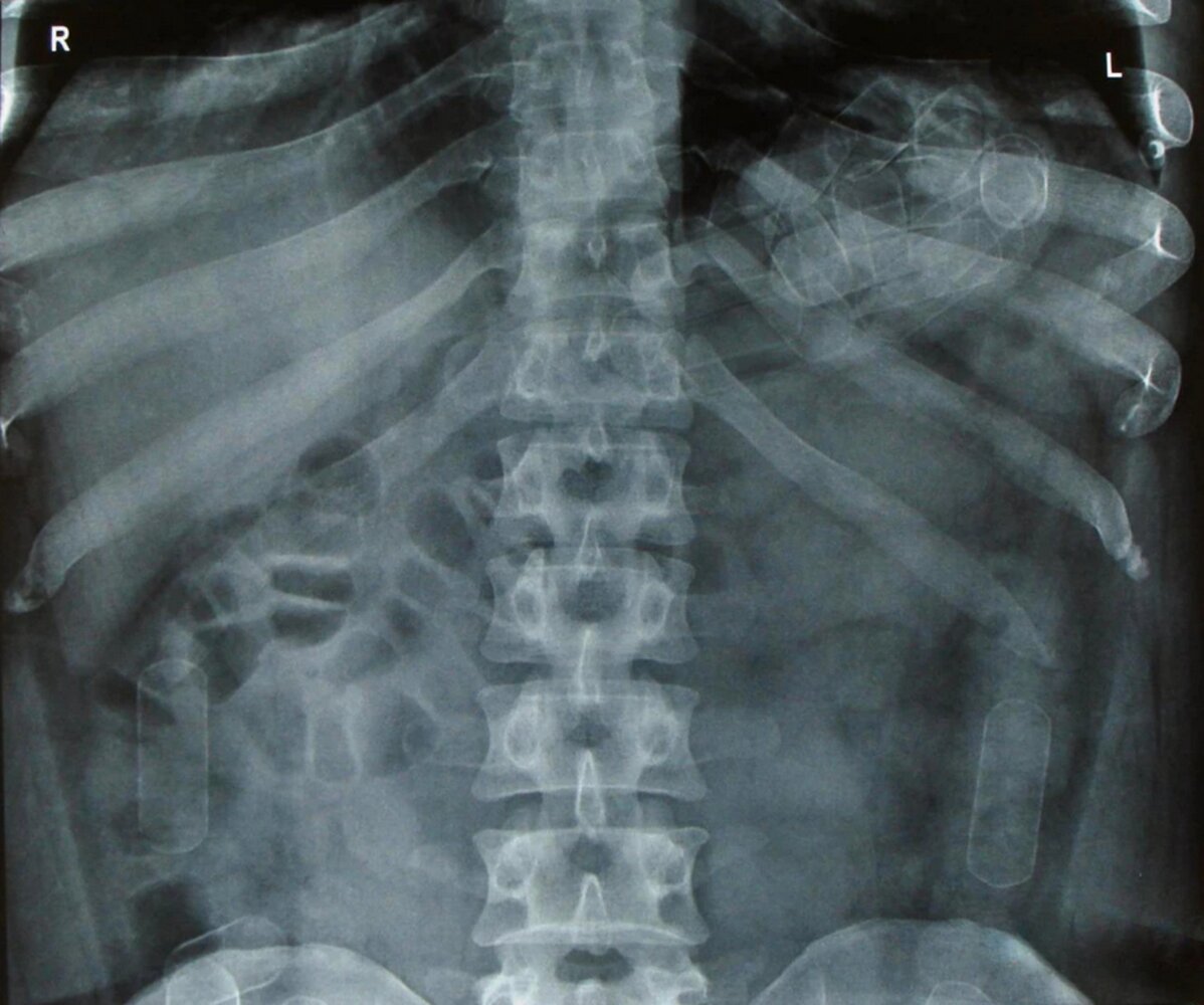
Diagnostics [44][45][46]

Body stuffing is a clinical diagnosis. Obtain confirmatory imaging if body packing is suspected.

  • Abdominal x-ray
    • Indicated as a screening tool or for rapid confirmation
    • Reported sensitivity ranges from 40 to 90% [47]
  • CT abdomen: indicated if x-ray findings are equivocal

Management [44][45][46]

  • All symptomatic patients: Manage associated poisoning.
    • See β€œManagement of opioid overdose.”
    • See β€œManagement of stimulant intoxication.”
  • Body packing
    • Consider GI decontamination with whole bowel irrigation.
    • Admit patients for observation until all packets have passed (ICU monitoring may be required).
    • If symptoms of a ruptured packet occur:
      • Begin acute stabilization.
      • Administer high doses of indicated antidotes, e.g., naloxone for opioid overdose.
      • Consult surgery for urgent operative GI decontamination, e.g., for stimulant packets.
    • Identify and treat GI perforation and bowel obstruction.
  • Patients with red flags for human trafficking: See β€œManagement of human trafficking.”

A ruptured packet in a patient with body packing is an acute life-threatening emergency. It often requires respiratory support, hemodynamic stabilization, large quantities of antidotes, and/or surgical intervention.