Guest Mode
AMBOSS Articles/ Internal Medicine > Pulmonology > Restrictive Lung Diseases

Asbestos-Related Diseases

Asbestos-related diseases are a group of conditions caused by exposure to asbestos fibers. Occupational exposure (e.g., in shipbuilding, roofing, plumbing) is the primary cause. Asbestos-related diseases include nonmalignant diseases such as asbestosis and benign asbestos-related pleural effusion, as well as malignant diseases such as lung cancer and mesothelioma. Diagnosis is primarily based on history of exposure, clinical and imaging findings, and, in some cases, histopathology. Preventing asbestos exposure is crucial. Asbestos is banned in many countries worldwide, and as part of ongoing efforts to reduce asbestos exposure risks, the US is also striving toward a complete ban on asbestos.

Asbestosis is a type of pneumoconiosis caused by the inhalation of asbestos fibers. After a long latency period of > 20 years, asbestosis manifests with nonspecific respiratory symptoms such as coughing and dyspnea. These symptoms are caused by slowly progressive fibrotic changes in the lungs, which are best visualized on high-resolution CT (HRCT) and often result in a nonspecific restrictive lung disease pattern on pulmonary function tests (PFTs). Management mainly consists of symptomatic (e.g., oxygen therapy) and preventive measures (e.g., cessation of asbestos exposure and smoking, appropriate immunization).

Mesothelioma is a rare type of cancer that develops in mesothelial cells. Pleural mesothelioma is the most common type and manifests with respiratory and constitutional symptoms in advanced stages. Histological confirmation is necessary to confirm the diagnosis. Chemotherapy is the primary treatment for most patients and can be combined with surgery and/or radiation therapy. The prognosis of unresectable mesothelioma is poor, with a median survival time of ∼ 1 year.

Causes of asbestos-related diseases

  • Inhalation of airborne asbestos fibers is the primary cause.
    • Duration and intensity of asbestos exposure play crucial roles in the development of asbestos-related diseases.
    • Several months of exposure to visible dust > 10 years ago is considered significant. [1]
  • Other factors, e.g., smoking and genetic factors, may influence disease development and progression.

Sources of asbestos exposure [1][2]

  • Occupational exposure
    • Asbestos miners and millers
    • Shipyard workers involved in the manufacture or demolition of ships
    • Plumbers, roofers, insulators, and other building tradespeople
    • Brake mechanics
    • Electricians
    • Firefighters
  • Environmental exposure
    • Living with someone with occupational exposure
    • Living near asbestos mines or asbestos-contaminated construction sites
    • Extended stay in contaminated buildings
    • Natural exposure to geological sources
  • Inhalation of airborne asbestos fibers into alveoli; → inflammation and fibrosis of pleural parenchyma→ risk of carcinogenic effects [3]

Asbestosis is a type of pneumoconiosis; development and severity are generally dose-dependent. [1]

Clinical features [2][4]

  • Long latent period (∼ 20–30 years after exposure) [1]
  • Progressive exertionaldyspnea (most common symptom)
  • Nonproductive cough, which may progress to a productive cough
  • Bilateral fine, basal end-inspiratory rales on auscultation
  • Late finding: signs of chronic hypoxemia, e.g., digital clubbing

As symptoms are often mild and nonspecific, a history of asbestos exposure is key to suspecting asbestos-related diseases.

Diagnostics [1][2][3]

General principles

  • Obtain HRCT and PFTs in patients with dyspnea and a history of significant asbestos exposure.
  • Diagnostic criteria [4]
    • Asbestos exposure, determined by history or markers of exposure (e.g., pleural plaques)
    • Evidence of structural or functional changes on imaging studies, PFTs, or histopathology
    • Exclusion of differential diagnoses of asbestosis

Diagnosis is based on a history of asbestos exposure, clinical features, and radiological findings; histopathology is not routinely required.

Imaging studies [2][4][5]

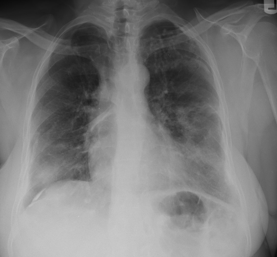
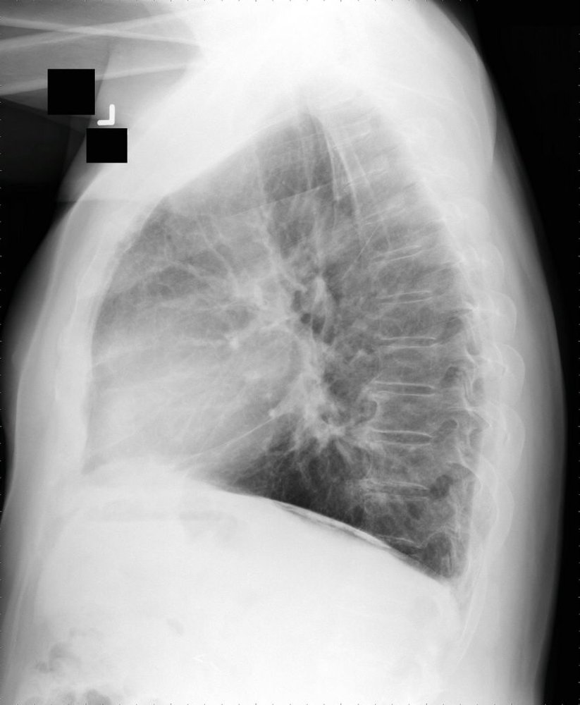
Chest x-ray is often performed as part of a routine workup for respiratory symptoms, however, HRCT has higher sensitivity and specificity (especially in early disease stages).

  • Chest x-ray
    • Signs of interstitialfibrosis (e.g., diffuse bilateral opacities, predominantly in the lower lobes)
    • Pleural abnormalities (e.g., pleural plaques and pleural thickening) may be seen.
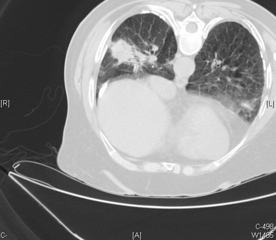
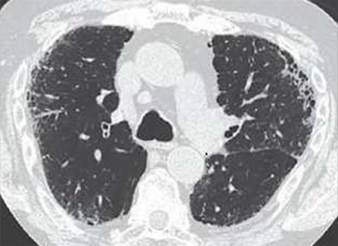
  • HRCT
    • Signs of interstitial fibrosis, e.g.:
      • Subpleural linear opacities
      • Septal and interlobular thickening
      • Honeycombing
      • Rounded atelectasis
    • Pleural abnormalities
      • Calcified (ivory white) or noncalcified pleural plaques
      • Pleural reticulonodular opacities
      • Pleural thickening

Although asbestos is commonly found in roofing materials, it predominantly affects the lower lobes of the lungs.

Pulmonary function tests (PFTs) [1][2]

PFTs typically show a nonspecific restrictive lung disease pattern; results are used to determine disease severity.

  • Early stages: ↓ DLCO
  • Later stages: signs of restrictive lung disease
    • ↓ Lung compliance
    • ↓ TLC and ↓ VC
    • Normal or ↓ FEV1/FVC

PFTs typically show a restrictive lung disease pattern but cannot be used to distinguish between different types of interstitial lung disease.

Invasive testing [2][4]

Invasive testing is not routinely required for diagnosis but may be useful to exclude infections and malignancies.

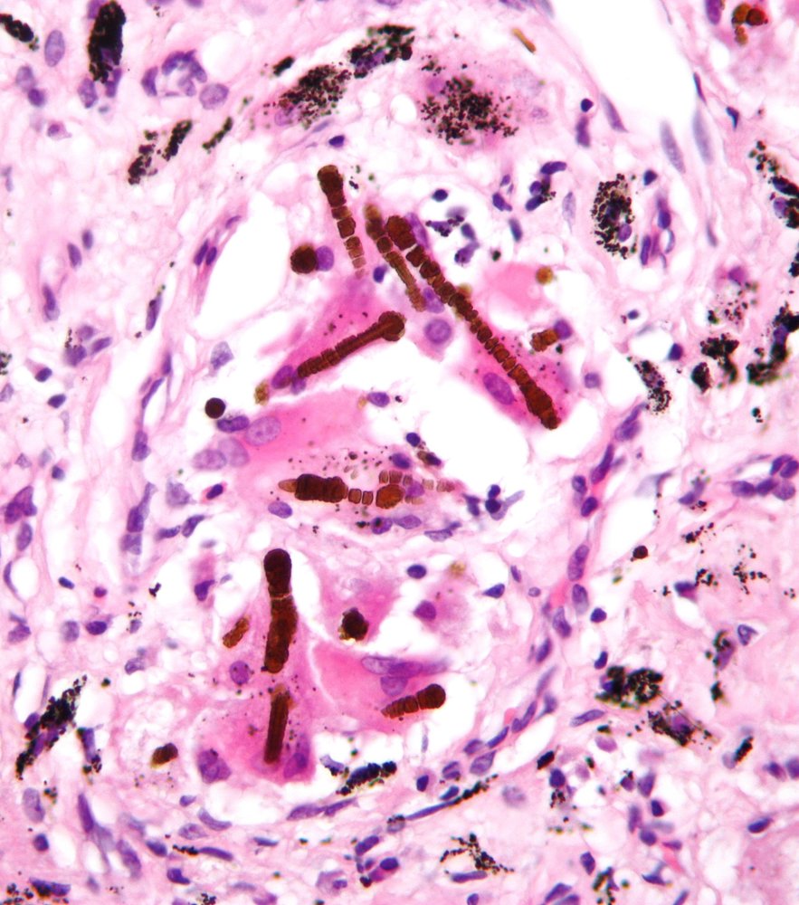
  • Bronchoalveolar lavage
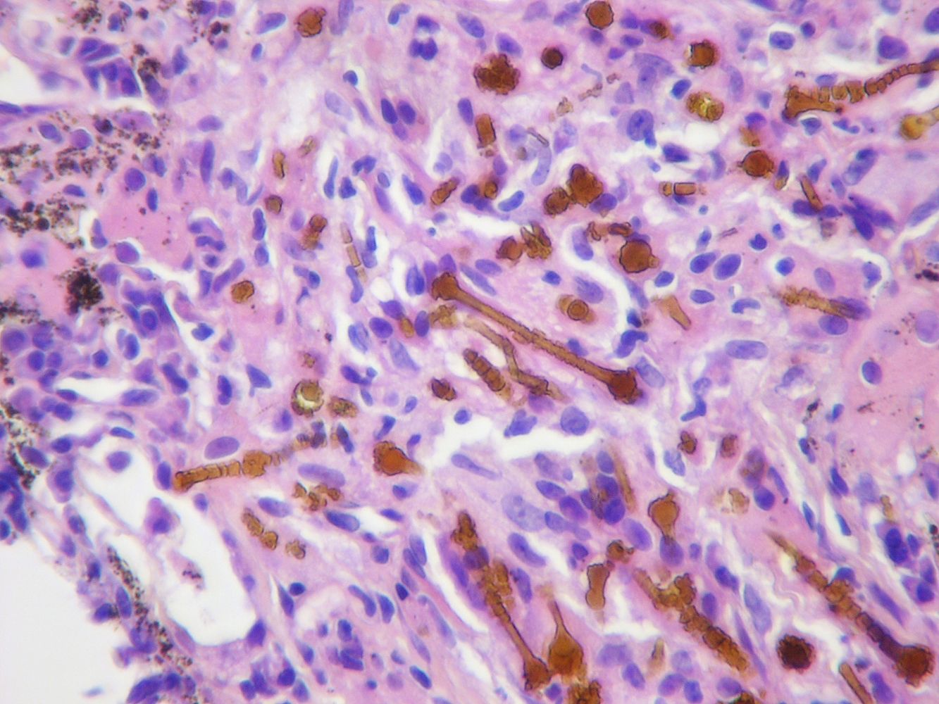
    • Microscopic asbestos bodies (a type of ferruginous body)
      • Dumbbell-shaped, golden-brown fusiform rods surrounded by an iron protein coat [3]
      • Stain positive with Prussian blue [6]
      • Occasionally also found in alveolar sputum samples [6]
    • Asbestos fiber count
  • Biopsy
    • Microscopic asbestos bodies
    • Fibrosis

Differential diagnoses

  • Other causes of interstitial lung disease, e.g., idiopathic pulmonary fibrosis, other pneumoconioses
  • Combined pulmonary fibrosis and emphysema
  • Interstitial pneumonitis
  • Lung cancer
  • Other asbestos-related diseases, e.g., mesothelioma

Asbestosis clinically resembles idiopathic pulmonary fibrosis but progression is much slower. [1]

Management [2]

There is no specific treatment for asbestosis. Management focuses on prevention of complications and symptomatic treatment.

Supportive management

  • Smoking cessation
  • Cessation of asbestos exposure
  • Immunization against influenza and pneumococcal pneumonia
  • Antimicrobial treatment for respiratory infections
  • Pulmonary rehabilitation
  • Oxygen therapy as needed
  • Palliative care for advanced disease

Surgery

Consider in selected advanced cases.

  • Decortication or pleurectomy for extensive fibrosis
  • Lung transplantation in end-stage disease

Complications

  • Pulmonary hypertension [4]
  • Cor pulmonale [4]
  • Right-sided heart failure
  • Progressive respiratory failure
  • Caplan syndrome

Mesothelioma is a type of cancer that develops in mesothelial cells.Pleural mesothelioma is the most common type; peritonealmesothelioma and pericardialmesothelioma are rare.

Epidemiology [7][8]

  • Incidence: rare (∼ 3000 registered cases/year in the US) [7]
  • ♂ > ♀
  • Most commonly occurs in adults > 50 years of age [8]

Etiology [7][9]

  • Asbestos exposure (most important risk factor)
  • Exposure to other carcinogenic fibers, e.g., erionite [7]
  • Genetic mutations, e.g., BAP1 mutation [7]
  • Radiation

Smoking has not been shown to increase the incidence of mesothelioma.

Clinical features [7][9]

  • Long latent period (∼ 30–50 years after exposure) [7]
  • Constitutional symptoms, e.g., fatigue, weight loss, fever, night sweats
  • Features of pleural effusion (in pleural mesothelioma), e.g.:
    • Dyspnea and nonpleuritic chest pain (most common)
    • Dull percussion and absent or reduced breath sounds on the affected side
    • Nonproductive cough
  • Clinical features of ascites (in peritoneal mesothelioma or metastasized pleural mesothelioma)
  • Signs of paraneoplastic syndromes

Diagnostics [7][9][10]

Suspect pleural mesothelioma in patients with a history of asbestos exposure and typical symptoms and/or imaging findings (e.g., pleural thickening, pleural effusion).

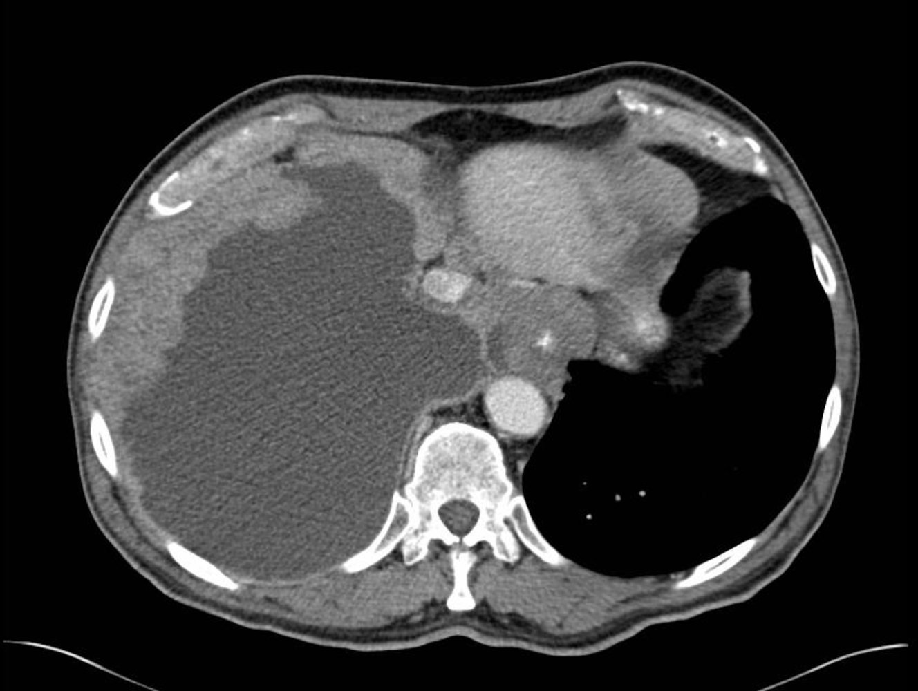
Initial imaging

  • Modalities
    • Chest x-ray: often routinely obtained first
    • Contrast-enhanced CT: most sensitive imaging modality for diagnosis
  • Findings in pleural mesothelioma
    • Multiple nodular pleural lesions (pleural thickening)
    • Pleural effusion
    • Thickening of interlobar fissures
    • Pleural opacities (calcifications or plaques)
    • Signs of local tumor growth, e.g., reduced size of ipsilaterallung fields, mediastinal shift
    • Signs of local invasiveness, e.g., obliteration of fat planes

Pleurocentesis and pleural fluid analysis

  • Indicated for all patients with pleural effusion and suspected mesothelioma [10]
  • Cytological examination findings: usually bloodyexudate, may show malignant mesothelial cells (mesothelioma cells) [11]
  • Sensitivity varies widely and local invasion cannot be assessed: Confirm results with a biopsy.

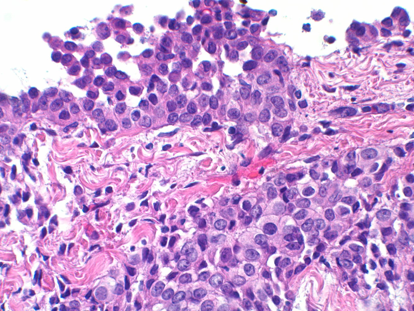
Biopsy

  • Uses
    • Histopathological confirmation and differentiating mesothelioma from adenocarcinoma
    • Confirmation of mesothelioma subtype: epithelioid, sarcomatoid, or mixed
  • Modality: usually thoracoscopic biopsy (or laparoscopic biopsy: in suspected peritoneal mesothelioma) [10]
  • Findings
    • Mesothelioma cells (tumor cells with long and slender microvilli, tonofilaments, and desmosomes on electron microscopy) [12]
    • Psammoma bodies (rare, not specific for mesothelioma) [12]
    • Immunohistochemical markers: calretinin, cytokeratin 5 and 6, thrombomodulin, and mesothelin [9]

Histopathology is required to confirm the diagnosis of mesothelioma.

In contrast to mesothelioma cells, the tumor cells of adenocarcinomas have short and stubby microvilli and are usually negative for cytokeratin 5 and 6. [12]

Staging [10][13]

  • Initial studies
    • CT chest and upper abdomen with contrast
    • PET-CT
  • Further assessment
    • MRI with contrast may be considered to assess tumor invasion.
    • Other studies may be indicated based on clinical features and/or imaging findings, e.g., mediastinoscopy to evaluate mediastinal lymph nodes.

Treatment [7][10]

Refer all patients to a specialist (e.g., oncology, pulmonology) and/or experienced centers of excellence.

  • Systemic chemotherapy
    • Primary treatment for most patients as it improves quality of life and survival
    • May be used alone or as part of a multimodal approach (adjuvant or neoadjuvant)
    • Agents
      • First line: pemetrexed PLUS either cisplatin OR carboplatin
      • Adjunctive bevacizumab may be offered to selected patients.
  • Maximal surgical cytoreduction
    • May be considered for selected patients with localized disease as part of a multimodal approach
    • Modalities include pleurectomy with decortication (preferred, as it is lung-sparing) and pneumonectomy. [10]
  • Adjuvant radiation therapy: may be considered for selected patients as part of a multimodal approach
  • Palliative care
    • Palliative intervention: e.g., pleurodesis or pleural catheter for recurrent effusions
    • Palliative radiation: e.g., in patients with pain or symptomatic obstruction

Systemic chemotherapy is the primary treatment for most patients with mesothelioma.

Prognosis [7]

  • Poor (median survival in unresectable mesothelioma is ∼ 1 year)
  • ∼ 50% of mesotheliomas metastasize.
  • Common causes of death include pulmonary emboli, bronchopneumonia, cardiac tamponade, invasion of great vessels, and cachexia.

Nonmalignant [1][2]

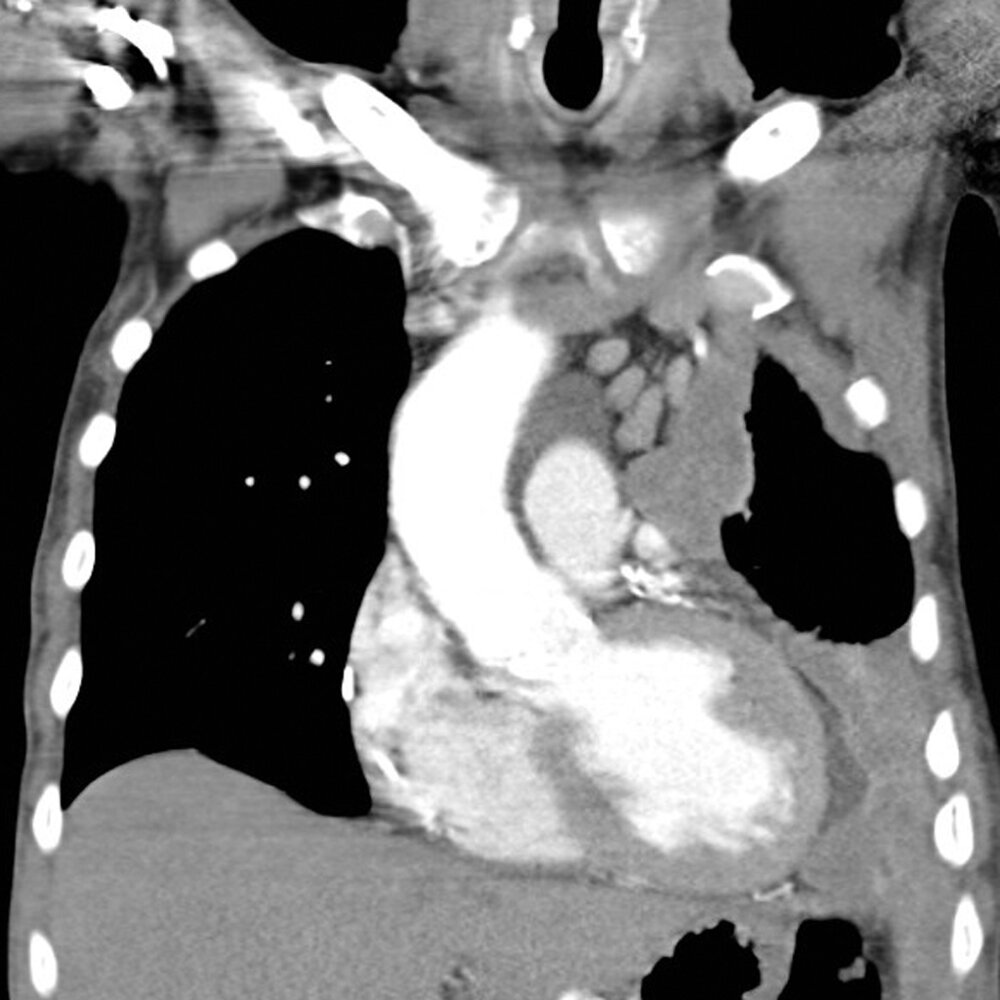
  • Circumscribed pleural plaques
    • Composed of collagen fibers in the parietal pleura
    • Characteristic markers of asbestos exposure
    • Typically asymptomatic
    • Calcified (ivory white) or noncalcified opacities on chest imaging
  • Benign asbestos-related pleural effusion (BAPE)
    • Exudative effusion, often unilateral
    • Early manifestation of asbestos exposure (latency period of 10–20 years)
    • Asymptomatic or nonspecific symptoms, e.g., dyspnea, pleuritic chest pain, fever
    • Rounded atelectasis may be seen on chest imaging.
    • Diagnosis of exclusion: Biopsy is needed to rule out malignancy and tuberculosis.
    • Management: pleural tap
  • Diffuse pleural thickening
    • Abnormal thickening of the visceral and parietal pleura
    • Often a consequence of BAPE
    • Asymptomatic or nonspecific symptoms, e.g., chest pain
    • Obliteration of costophrenic angles may be seen on chest imaging.

HRCT has higher sensitivity for detecting pleural abnormalities than chest x-ray.

Malignant [5]

  • Lung cancer
    • Most common malignant complication of asbestos exposure
    • Smoking has a synergistic effect with asbestos that further increases the risk of lung cancer.
  • Laryngeal cancer
  • Ovarian cancer

The most common malignancy associated with asbestos exposure is lung cancer, not mesothelioma.