Guest Mode
AMBOSS Articles/ Surgery > Abdominal Surgery > Spleen

Asplenia

The spleen is primarily responsible for the elimination of damaged erythrocytes and plays a central role in the opsonization and removal of encapsulated organisms from the bloodstream. Asplenia is the absence of normal spleen function (functional asplenia) or of the spleen itself (anatomic asplenia). Anatomic asplenia is most commonly due to elective or emergency splenectomy, while functional asplenia is due to conditions that result in the loss of splenic function (e.g., multiple infarctions in sickle cell disease). Asplenic patients typically have Howell-Jolly bodies on peripheral blood smears as well as neutrophilia and thrombocytosis. Patients with asplenia have a lifelong risk of fulminant, life-threatening infections. Asplenic sepsis and overwhelming postsplenectomy sepsis have a very poor prognosis. Therefore, preventive measures, including immunization against encapsulated bacteria and early empiric antibiotic treatment for fever, are vital.

  • Acquired asplenia
    • Anatomic asplenia: due to splenectomy, which may be indicated in
      • Thrombocytopenia (e.g., refractory idiopathic thrombocytopenic purpura)
      • Severe hemolytic anemias (e.g., spherocytosis)
      • Splenic rupture (e.g., from blunt abdominal trauma)
      • Hypersplenism with splenomegaly (See “Pathophysiology” in “Splenomegaly”)
    • Functional asplenia
      • Autosplenectomy: sickle cell anemia
      • Splenic infarction (splenic artery thrombosis)
      • Tumor infiltration
  • Congenital asplenia: very rare (incidence is up to 1:10,000) [1]
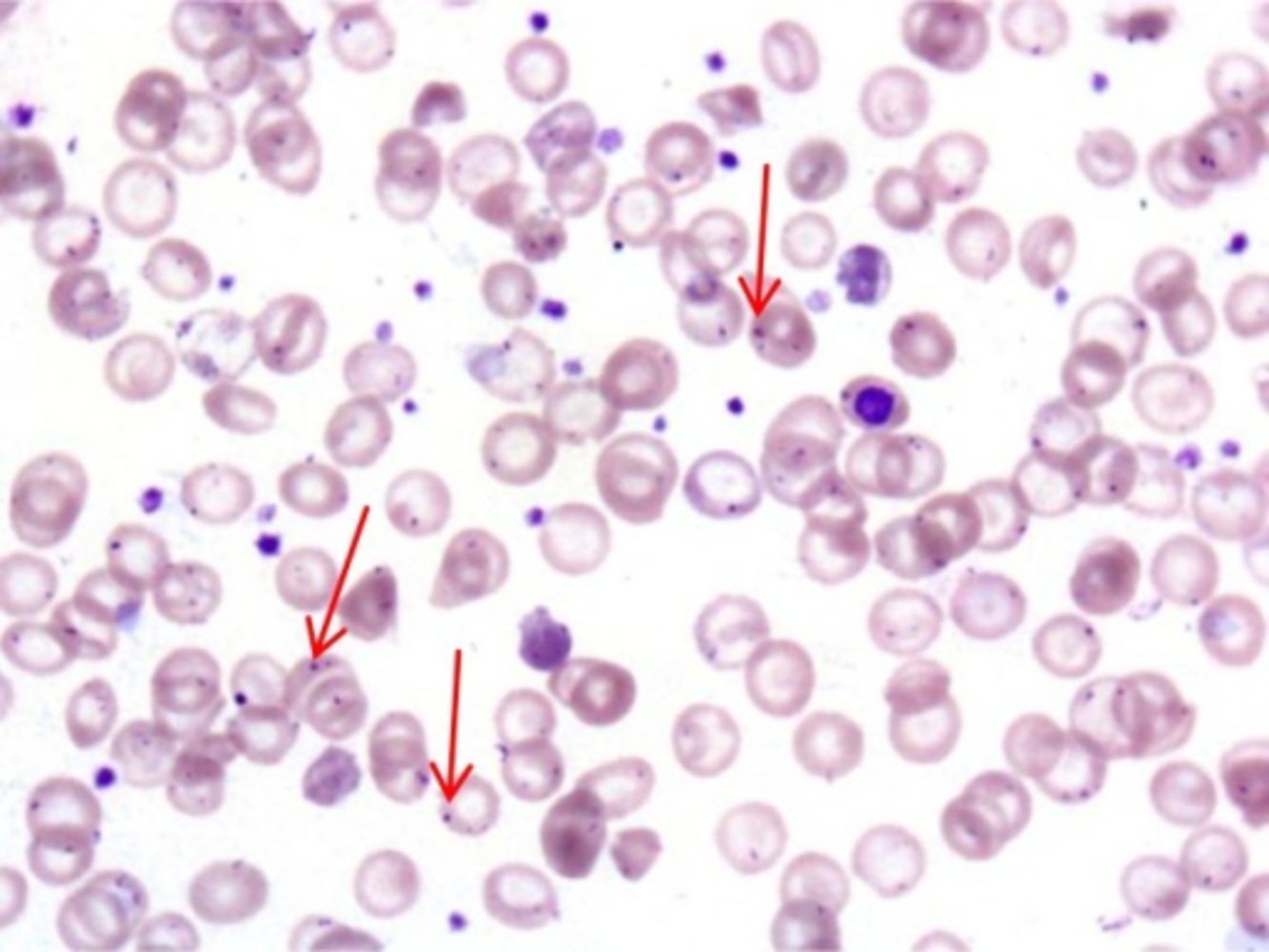
  • Peripheral blood smear
    • Howell-Jolly bodies; (a lack of Howell-Jolly bodies on peripheral blood smear in an asplenic patient indicates an accessory spleen)
    • Target cells
  • Lymphocytosis
  • Neutrophilia
  • Decreased production of immunoglobulins (IgG, IgM): leads to decreased complement activation and C3b opsonization
  • Reactive thrombocytosis: usually for the first weeks to months after splenectomy

The lack of Howell-Jolly bodies in asplenic patients is suggestive of the presence of an accessory spleen.

General

  • Increased risk of fulminant and life-threatening infections and sepsis for up to 30 years or longer after splenectomy

Overwhelming postsplenectomy infection (OPSI) and asplenic sepsis

  • Definition: a bacterial infection that rapidly progresses to fulminant, overwhelming sepsis in the setting of anatomic or functional asplenia
  • Etiology: encapsulated bacteria (e.g., Streptococcus pneumoniae, Neisseria meningitidis,Haemophilus influenzae)
  • Pathophysiology
    • Normally, encapsulated pathogens are opsonized with antibodies and then phagocytosed by specialized macrophages in the spleen.
    • Individuals with asplenia lack these specialized macrophages, so pathogens are able to spread and cause sepsis.
  • Clinical features: initially flu-like symptoms, followed by rapid deterioration within hours with fever, severe malaise, signs of sepsis, and meningitis
  • Therapy
    • Immediate IV antibiotic therapy with vancomycin plus ceftriaxone or cefotaxime
    • See “Management of asplenic patients” below.
  • Prognosis [2]
    • Mortality 70% without treatment
    • Mortality can be reduced to ∼ 10–40% with early treatment

Asplenic individuals Have No Spleen: H. influenzae, N. meningitidis, and S. pneumonia are the pathogens that most commonly cause asplenic sepsis.

An asplenic patient with fever requires immediate empiric antibiotic treatment. Asplenic infection and sepsis are a medical emergency. Preventing the infection is vital.

General measures

  • Patient identification card or MedicAlert bracelet/necklace
  • Take precautions to avoid dog and tick bites
  • Caution is recommended when traveling to malaria-endemic areas

Infection prevention for asplenia

  • Immunization against Streptococcus pneumoniae, Neisseria meningitidis and Haemophilus influenzae type b (see “Immunization schedule”)
    • If elective surgery: vaccination should be performed 14 days prior
    • Prevention steps if emergency splenectomy
      • S. pneumoniaevaccines
        • 2 weeks after surgery: administer 15-valent pneumococcal conjugate vaccine (PCV15)
        • 8 weeks after PCV15: administer 23-valent pneumococcal polysaccharide vaccine (PPSV23)
        • 5 years later and at 65 years of age: revaccinate with PPSV23
      • Meningococcal quadrivalent vaccine: once 2 weeks after surgery and then every 5 years
      • Hib vaccine: once 2 weeks after surgery
    • Annual inactivated influenza vaccination
  • Daily antibiotic prophylaxis with oral penicillin or amoxicillin should be considered in the following groups: [3]
    • Asplenic children: until at least 5 years of age
    • Following splenectomy: children > 5 years of age and adults for at least 1 year
    • Patients with immunocompromise or a history of postsplenectomy sepsis: lifelong
  • Early empiric antibiotic therapy
    • If signs of infection appear (e.g., fever, chills), patients should immediately begin treatment.
    • Oral amoxicillin/clavulanate or cefuroxime or fluoroquinolones (e.g., levofloxacin)
  • Antibiotic prophylaxis prior to diagnostic and surgical procedures
    • Not routinely indicated
    • Recommended for patients undergoing procedures that increase the risk of infection with encapsulated bacteria (e.g., bronchoscopy)

Thrombosis prevention

  • Indication: Severe reactive thrombocytosis after splenectomy and risk factors for thrombosis (e.g., malignancy)
  • Treatment
    • Low-dose heparin for at least 4 weeks
    • Optionally acetylsalicylic acid (100 mg daily) for one year