Atherosclerotic cardiovascular disease (ASCVD) is a group of conditions that are caused by atherosclerosis and that can affect different locations throughout the body. Examples of ASCVD include coronary artery disease (CAD), peripheral artery disease (PAD), and ischemic stroke. Major risk factors include advanced age, smoking, diabetes mellitus, hypertension, and dyslipidemia. The pathogenesis of atherosclerosis is precipitated by endothelial damage, which leads to inflammation and the formation of atheromas in vessel walls. The risk of ASCVD should be estimated using an ASCVD risk calculator (e.g., PREVENTTM equations, or pooled cohort equations (PCE)) to guide timely primary prevention strategies, such as lifestyle modifications and prophylactic statin therapy. Management of ASCVD involves intensive lifestyle modifications and high-intensity statin therapy, with or without antiplatelet therapy, to minimize the risk of future cardiovascular events.
ASCVD is an umbrella term for clinical manifestations of atherosclerosis that include: [1]
-
Coronary artery disease
- Acute coronary syndrome, myocardial infarction
- Chronic coronary disease
-
Cerebrovascular disease
- Stroke, TIA
- Carotid artery stenosis
- Peripheral artery disease
- History of arterial revascularization
- Abdominal aortic aneurysm, thoracic aortic aneurysm
- Intestinal ischemia
Definitions
- Arteriosclerosis: an umbrella term to describe arterial wall thickening (hardening) and elasticity loss with variable pathogenesis
-
Atherosclerosis
- Most common type of arteriosclerosis
- Multifactorial inflammatory disease of the intima, manifesting at points of hemodynamic shear stress
- Characterized by a build-up of cholesterol plaques in the tunica intima
- Affects elastic arteries and large/medium-sized muscular arteries
-
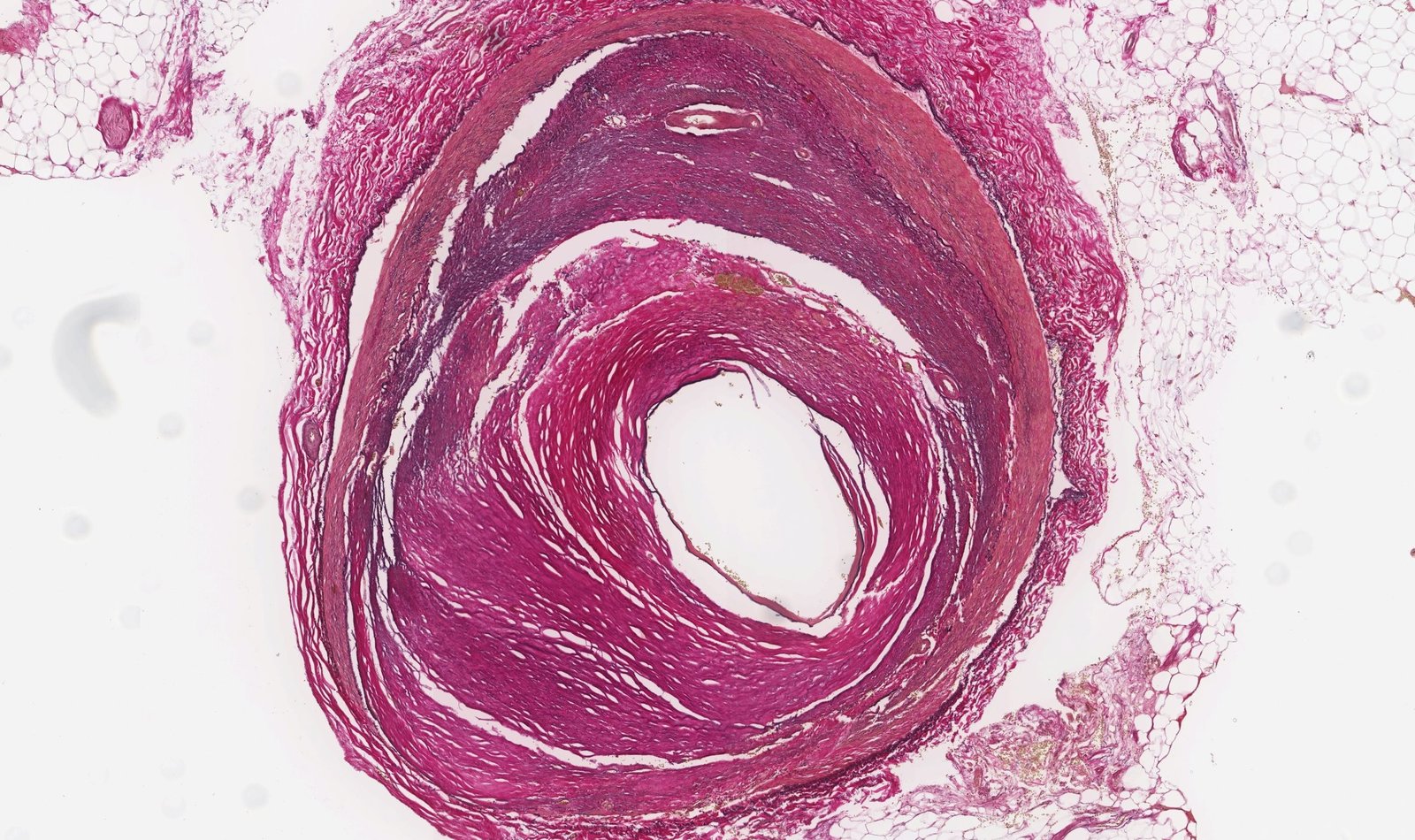
Monckeberg arteriosclerosis
- A form of arteriosclerosis characterized by dystrophic calcification of the tunica media and internal elastic lamina
- There is no blood flow obstruction.
- Mainly affects medium-sized arteries
- Causes: diabetes mellitus and/or progressive kidney disease
- X-ray: pipestem appearance
-
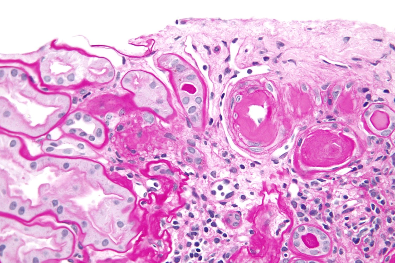
Arteriolosclerosis: the thickening and loss of elasticity of the small arteries and arterioles
-
Hyaline arteriolosclerosis
- Deposition of proteins below the endothelium due to plasma protein leakage
- H&E: pink amorphous deposits (hyaline) within the arteriolar walls
- Causes: chronic essential hypertension, diabetes mellitus, and normal aging
-
Hyperplastic arteriolosclerosis
- Proliferation of subendothelial smooth muscle cells in response to very high blood pressure
- H&E: "onion-skin" appearance of the arteriole
- Cause: malignant hypertension
-
Hyaline arteriolosclerosis
The terms βarteriosclerosisβ and βatherosclerosisβ are often used synonymously.

![]()
![]()
![]()
![]()
Pathophysiology
Pathogenesis of atherosclerosis [2][3]
- Chronic stress on the endothelium (e.g., due to arterial hypertension and turbulence)
-
Endothelial cell dysfunction, which leads to:
- Invasion of inflammatory cells (mainly monocytes and lymphocytes) through the disrupted endothelial barrier
- Adhesion of platelets to the damaged vessel wall β platelet release of inflammatory mediators (e.g., cytokines) and platelet-derived growth factor (PDGF)
- PDGF stimulates the migration and proliferation of smooth muscle cells (SMCs) in the tunica intima and mediates the differentiation of fibroblasts into myofibroblasts
- Inflammation of the vessel wall
- Macrophages and SMCs ingest cholesterol from oxidized LDL; and transform into foam cells (macrophages filled with lipid droplets).
- Foam cells accumulate to form fatty streaks (early atherosclerotic lesions).
- Lipid-ladenmacrophages and SMCs produce extracellular matrix (e.g., collagen) deposition β development of a fibrous plaque (atheroma)
- Inflammatory cells in the atheroma (e.g., macrophages) secrete matrix metalloproteinases β weakening of the fibrous cap of the plaque due to the breakdown of extracellular matrix β minor stress ruptures the fibrous cap
- Calcification of the intima (the amount and pattern of calcification affect the risk of complications)
- Plaque rupture β exposure of thrombogenic material ; (e.g., collagen)β thrombus formation with vascular occlusion or spreading of thrombogenic material
![]()
![]()
![]()
Common sites (in order of frequency)
- Abdominal aorta
- Coronary arteries
- Popliteal arteries
- Carotid arteries
- Circle of Willis
![]()
![]()
![]()
Atherosclerotic diseases [4]
- Weakening of vessel wall: arterial aneurysm or dissection (e.g., aortic aneurysm, aortic dissection)
- Demand-supply mismatch: coronary heart disease (e.g., coronary artery disease, stable angina), peripheral artery disease, subcortical vascular dementia, and intestinal ischemia (e.g., colon ischemia, acute mesenteric ischemia)
- Thrombosis and thromboembolism: acute coronary syndrome, stroke
- Renovascular hypertension
- Leading cause of vascular disease worldwide
- β > β
Epidemiological data refers to the US, unless otherwise specified.
Traditional ASCVD risk factors [5]
These parameters are typically included as variables in ASCVD risk calculators, e.g., PCE and PREVENTTM equations.
-
Nonmodifiable risk factors
- Advancing age
- Male sex
- Race and ethnicity
-
Modifiable risk factors
- Smoking
- Diabetes mellitus
- Hypertension
- Dyslipidemia (β total cholesterol, β HDL cholesterol)
The PREVENTTM equations do not include race or ethnicity but do incorporate a geography-based proxy measure for social determinants of health, which is derived from the individual's US zip code. [6]
ASCVD risk-enhancing factors [1][7][8]
These parameters can be used to upwardly revise the risk assessment for patients with borderline or intermediate ASCVD risk. [9][10]
-
Family history
- Certain racial/ethnic groups have an increased risk of ASCVD, e.g., people with South Asian ancestry.
- Premature ASCVD in a first-degree relative< 55 years of age (β) or < 65 years of age (β)
-
Patient history
- Premature menopause
- History of hypertensive pregnancy disorders, e.g., preeclampsia
- Untreated chronic kidney disease
- Chronic inflammatory disease, e.g., rheumatoid arthritis, psoriasis, HIV
- Metabolic syndrome, obesity
-
Diagnostic findings
- Persistent hypercholesterolemia: β LDL cholesterol, β non-HDL cholesterol
- Persistent hypertriglyceridemia
- β Lipoprotein(a), and/or β apolipoprotein B
- β High-sensitivity C-reactive protein (hsCRP)
- β Resting ankle-brachial index
ASCVD risk assessment is not recommended in individuals who are considered at high risk for ASCVD events, e.g., those with established ASCVD, familial hypercholesterolemia, and/or LDL cholesterol levels β₯ 190 mg/dL. [11]
General principles [7][11]
-
For adults aged 20β75 years with unknown ASCVD risk : [1][11]
- Assess for traditional ASCVD risk factors.
- Use a validated tool (e.g., PREVENTTM, PCE) to calculate ASCVD risk.
- Consider additional studies for individuals with borderline or intermediate ASCVD risk.
- Starting at age 20, reassess at least every 4β6 years.
- Reassess more frequently in adults aged 40β75 years, depending on the individual ASCVD risk. [7][11][12]
Assessment for traditional ASCVD risk factors [5]
- Medical history, including smoking history
- Diabetes mellitus screening: Measure hemoglobin A1C.
-
Screening for hypertension
- Assess for β systolic blood pressure.
- Ask about current antihypertensive treatment.
- Screening for lipid disorders: Assess for β total cholesterol and β HDL.
ASCVD risk calculation [1][11]
ASCVD risk calculators [5]
-
Pooled cohort equations (PCE) [12]
- Uses traditional ASCVD risk factors to estimate:
- 10-year ASCVD risk for individuals aged 40β79 years
- Lifetime ASCVD risk for individuals aged 20β59 years
- Underestimates risk in individuals with: [11]
- Chronic inflammatory conditions (e.g., ulcerative colitis, HIV)
- Socioeconomic disadvantage
- May overestimate risk for individuals with the ability to access care and adhere to lifestyle modifications for ASCVD prevention
- Uses traditional ASCVD risk factors to estimate:
-
PREVENTTM equations [6][13]
- Designed to improve the accuracy of risk prediction compared to PCE
- Includes kidney function as a variable to estimate:
- 10-year risk of ASCVD, CVD, and HF for individuals aged 30β79 years
- 30-year risk of ASCVD, CVD, and HF for individuals aged 30β59 years
- See βTips and Linksβ for a link to the calculator.
-
Other clinical calculators: Consider using for patients from the same populations used to validate the calculators. [7][11][14]
- MESA 10-year ASCVD coronary artery calcification calculator (incorporates CAC score)
- Reynolds risk score (incorporates high-sensitivity CRP)
- Framingham risk assessment tool (historically used)
ASCVD risk calculators should be used in patients at risk for ASCVD; they are not intended for patients with established ASCVD.
![]()
![]()
10-year ASCVD risk categories
The 10-year risk categories estimate the risk of developing myocardial infarction or stroke in this time period and are used for individuals aged 40β75 years. [11]
- Low risk: < 5%
- Borderline risk: 5β7.4%
- Intermediate risk: 7.5β19.9%
- High risk: β₯ 20%
Additional evaluation [1]
In patients with borderline or intermediate ASCVD risk, results from the following studies may help shared decision-making regarding preventive statin therapy.
Assessment for ASCVD risk-enhancing factors [1]
- Review family and medical history for risk-enhancing factors, e.g., premature ASCVD in a first-degree relative.
- Obtain studies as indicated, e.g.:
- Advanced lipid testing: Increased levels are associated with a high lifetime risk of ASCVD.
- Lipoprotein(a) β₯ 50 mg/dL
- Apolipoprotein B β₯ 130 mg/dL
- High-sensitivity CRP β₯ 2 mg/L: associated with inflammatory conditions
- Resting ankle-brachial index < 0.9: indicates reduced peripheral blood flow in lower extremities
- Advanced lipid testing: Increased levels are associated with a high lifetime risk of ASCVD.
Low-dose cardiac CT scan [11][15]
- Consider if there is remaining uncertainty about statin therapy after considering ASCVD risk-enhancing factors.
-
Coronary artery calcium (CAC) score is calculated from the amount of calcification in the coronary arteries. [11]
- CAC score 0: very low risk of future ASCVD event
- CAC score 1β99: average risk; does not appreciably change clinical ASCVD risk assessment
- CAC score β₯ 100: increased risk of future ASCVD event
Although ASCVD risk calculators are important tools for guiding primary prevention strategies in individuals with no history of ASCVD, results should always be considered in conjunction with other factors, e.g., ASCVD risk-enhancing factors, CAC scoring, and patient preferences.
General principles [11][16]
- Educate all patients about Life's Essential 8.
- Encourage all individuals to adhere to lifestyle modifications for ASCVD prevention.
- Consider pharmacological prevention (e.g., statins and/or aspirin) based on estimated ASCVD risk.
- Utilize shared decision-making to tailor preventive therapies.
-
Manage modifiable risk factors for ASCVD, e.g.:
- Management of diabetes mellitus
- Management of hypertension
- Management of obesity
Life's Essential 8 framework
- Definition: a framework designed by the American Heart Association to promote and quantify cardiovascular health (CVH) by focusing on eight key areas [17]
-
Components and ideal values
- Nutrition: DASH diet most of the time
- Physical activity: 150 minutes/week of at least moderate-intensity activity
- Avoidance of nicotine
- Sleep: 7 to < 9 hours
- Normal weight
- Cholesterol: non-HDL cholesterol < 130 mg/dL
- Blood glucose: normal levels, i.e., fasting glucose < 100 mg/dL, HbA1c < 5.7%
- Blood pressure: < 120/80 mm Hg
Optimal CVH is further determined by SDOH and psychological health, i.e., the presence of positive factors such as a sense of purpose, happiness, and optimism, and the absence of negative factors, such as depression, anxiety, and stress.
Lifestyle modifications for ASCVD prevention [7][11]
- Smoking cessation: Assess tobacco use at each encounter.
-
Dietary modification with a heart-healthy diet, e.g.: [18]
- Mediterranean diet
- Replacement of saturated fat with monounsaturated and polyunsaturated fats
- Reduced dietary cholesterol intake
- Limit sodium intake for all adults to < 2300 mg/day. [11]
- Minimal refined sugars and processed meats
- Physical activity: Provide counseling on regular exercise.
- Sleep hygiene: Encourage 6β8 hours of sleep per night.
Smoking cessation is one of the most effective interventions to reduce all-cause mortality and prevent recurrent vascular events in patients with ASCVD! [19]
Pharmacological prevention for ASCVD [11]
Recommendations for preventive therapy vary.
Preventive statins
| Indications for statins for primary ASCVD prevention | ||
|---|---|---|
| 2019 American Heart association (AHA) guideline on primary prevention of cardiovascular disease [1][11] | 2022 USPSTF recommendation on statin use for primary prevention of cardiovascular disease [12] | |
| Age 20β39 years |
|
|
| Age 40β75 years |
|
|
Preventive aspirin [11][20]
Consider only for patients with a low risk of bleeding, and use shared decision-making.
- The USPSTF recommends considering low-dose aspirin for adults aged 40β59 years with 10-year ASCVD risk > 10%. [20]
- According to the AHA, low-dose aspirin may be considered for certain adults aged 40β70 years with an increased ASCVD risk. [11]
Aspirin for primary prevention of ASCVD is contraindicated in individuals at increased risk of bleeding.
Remember the ABCDS of ASCVD primary prevention: Aspirin (if there are indications), Blood pressure control, Cholesterol management, Diabetes management, Smoking cessation. [16]
This section provides an overview of long-term management strategies for ASCVD. See respective articles for specific treatment of an acute ASCVD events, e.g., management of ischemic stroke.
General principles [1][7]
- Encourage lifestyle modifications for ASCVD prevention.
- Assess risk for recurrent ASCVD events.
- Provide pharmacotherapy.
- Start statin therapy (unless contraindicated).
- Consider the addition of nonstatin lipid-lowering therapy for patients with very high-risk ASCVD.
- Consider antiplatelet therapy (e.g., aspirin) based on clinical indications.
- Manage modifiable risk factors for ASCVD, e.g.:
- Management of hypertension
- Management of diabetes mellitus
- Management of obesity
Risk assessment for recurrent ASCVD events [1][11]
Patients with ASCVD are considered at very high risk of future ASCVD events in the following scenarios:
-
β₯ 2 major ASCVD events, e.g.:
- ACS in the past 12 months
- Myocardial infarction
- Ischemic stroke
- Symptomatic PAD
-
1 major ASCVD event in combination with β₯ 2 high-risk conditions, e.g.:
- Age β₯ 65 years
- Current smoking
- LDL cholesterol β₯ 100 mg/dL on maximally tolerated statin therapy and ezetimibe
- History of coronary revascularization not associated with the major ASCVD event(s)
- Heterozygous familial hypercholesterolemia
- Comorbidities: e.g., diabetes mellitus, hypertension, CKD, history of congestive heart failure
Lipid-lowering therapy for ASCVD
Statin therapy [1]
Treatment to a specific LDL cholesterol goal (e.g., < 70 mg/dL) vs. targeting statin intensity is a topic of ongoing inquiry. [1][7]
- High-intensity statin therapy is recommended in adults with established ASCVD.
-
Moderate-intensity statin therapy is a reasonable alternative for adults with ASCVD who:
- Are > 75 years of age and do not have very high-risk ASCVD
- Do not tolerate high-intensity statin
| Overview of statin intensity [1] | |
|---|---|
| Intensity | Agents |
| High-intensity statin therapy |
|
| Moderate-intensity statin therapy |
|
| Low-intensity statin therapy |
|
Nonstatin lipid-lowering agents [1]
- Consider addition for patients with very high-risk ASCVD events with LDL cholesterol level β₯ 70 mg/dL despite maximally tolerated statin dose.
- Agents
- Ezetimibe (off-label)
- PCSK9 inhibitors, e.g., evolocumab or alirocumab
- Bile acid sequestrants, e.g., colesevelam (off-label)
Antiplatelet therapy
- Start treatment as indicated depending on ASCVD event.
- Single-agent antiplatelet therapy is usually sufficient.
- First-line: aspirin [21][22][23]
- Second-line : clopidogrel [24]
- Dual antiplatelet therapy may be indicated in certain patients, e.g., with ACS (see βAntiplatelet therapy and anticoagulation in STEMIβ and βAntiplatelet therapy and anticoagulation in NSTE-ACSβ).
Interested in the newest medical research, distilled down to just one minute? Sign up for the One-Minute Telegram in βTips and linksβ below.
- One-Minute Telegram 123-2025-2/3: A single injection of lepodisiran provides long-term lipoprotein(a) reduction
- One-Minute Telegram 102-2024-2/3: Large-scale study suggests screening for CVD using resting ECG is beneficial
- One-Minute Telegram 96-2024-2/3: Ultra-processed food: poor health packaged for your convenience
- One-Minute Telegram 95-2024-1/3: Silent killer: plasticsβ deadly grip on your heart
- One-Minute Telegram 94-2024-3/3: ASA is an ADAPTABLE therapy for ASCVD, regardless of age
- One-Minute Telegram 90-2024-1/3: A new tool for PREVENTing CVD
- One-Minute Telegram 88-2023-1/3: Semaglutide in the absence of diabetes: slimming the risk of CVD
- One-Minute Telegram 86-2023-1/3: Guideline-based preventive care could save a Million Hearts
- One-Minute Telegram 85-2023-2/3: Aspirin and ASCVD: Is enteric-coating beneficial?
- One-Minute Telegram 79-2023-1/3: Spill the T: testosterone safety in men with CVD
- One-Minute Telegram 79-2023-2/3: Does vitamin D supplementation reduce cardiovascular risk?
- One-Minute Telegram 78-2023-3/3: Is bempedoic acid an effective alternative for patients with statin intolerance?
- One-Minute Telegram 71-2023-2/3: Statin your case: high-intensity therapy vs. treat-to-target for elevated LDL-C
- One-Minute Telegram 70-2023-3/3: Sleep tight and keep your heart right
- One-Minute Telegram 66-2023-3/3: I would walk 5000 steps, but should I walk 5000 more?
- One-Minute Telegram 65-2022-1/3: 2022 U.S. Preventive Services Task Force: summary of recommendations
- One-Minute Telegram 59-2022-1/3: Sugar free is not risk free
- One-Minute Telegram 59-2022-2/3: Asporvapril? Ramaspastatin? Single polypill for secondary ASCVD prevention better than usual care
- One-Minute Telegram 58-2022-2/3: 2022 USPSTF recommendations on statins for primary ASCVD prevention
- One-Minute Telegram 57-2022-2/3: Intermittent fasting effective for weight loss
- One-Minute Telegram 55-2022-2/3: Updated USPSTF recommendations on dietary supplements to prevent cardiovascular disease and cancer
- One-Minute Telegram 53-2022-2/3: How accurate are brachial blood pressure cuff devices?
- One-Minute Telegram 53-2022-3/3: Can metformin and lifestyle intervention reduce cardiovascular risk in patients with impaired glucose tolerance?
- One-Minute Telegram 50-2022-1/3: The aspirin debate rages on: 2022 USPSTF updated recommendations
- One-Minute Telegram 48-2022-2/3: Can any alcohol consumption be considered healthy?
- One-Minute Telegram 41-2021-2/2: 2021 U.S. Preventive Services Task Force: Summary of recommendations
- One-Minute Telegram 39-2021-3/3: Should patient age alter interpretation of coronary artery calcium?
- One-Minute Telegram 28-2021-3/3: Aspirin for cardiovascular disease: How much is enough?
- One-Minute Telegram 27-2021-3/3: Final report of the SPRINT-trial supports lower BP targets to reduce the risk of cardiovascular disease and mortality