Guest Mode
AMBOSS Articles/ Internal Medicine > Cardiology and Angiology > Arrhythmias

Atrial Fibrillation

Atrial fibrillation (Afib) is a common type of supraventricular tachyarrhythmia characterized by uncoordinated atrial activation that results in an irregular ventricular response. Afib with rapid ventricular response (RVR) is Afib with a ventricular rate > 100–110/minute. While the exact mechanisms of Afib are poorly understood, associations with a number of cardiac (e.g., valvular heart disease, coronary artery disease) and noncardiac (e.g., hyperthyroidism, electrolyte imbalances) risk factors have been established. Individuals with Afib are typically asymptomatic. When symptoms do occur, they usually include palpitations, lightheadedness, and shortness of breath. Physical examination typically reveals an irregularly irregular pulse. Ineffective atrial emptying as a result of Afib can lead to stagnation of blood and clot formation in the atria, which in turn increases the risk of stroke and other thromboembolic complications. Diagnosis is confirmed with ECG showing absent P waves with irregular QRS intervals. Echocardiography is used to rule out structural heart disease and to evaluate for any atrial thrombi. Immediate synchronized cardioversion is required in hemodynamically unstable patients. In stable patients, treatment involves the correction of modifiable risk factors, rate or rhythm control strategies, and anticoagulation. Rate-control therapy typically involves the use of beta blockers or nondihydropyridine calcium channel blockers. Rhythm control strategies include synchronized electrical cardioversion, the use of pharmacological antiarrhythmics (e.g., flecainide, propafenone, or amiodarone), and ablation of the arrhythmogenic tissue. Patients are typically started on anticoagulation depending on their thrombotic and bleeding risk.

Atrial flutter is another common type of supraventricular tachyarrhythmia that is usually caused by a single macroreentrant rhythm within the atria. The risk factors for atrial flutter are similar to those of Afib. In atrial flutter, the ventricular rhythm is usually regular. Treatment is also similar to that of Afib, consisting of anticoagulation and strategies to control heart rate and rhythm. Atrial flutter is typically more responsive to ablation therapy than Afib. Atrial flutter frequently progresses to Afib.

  • Most common sustained arrhythmia [1]
  • Incidence: increases with age [1]
    • The lifetime risk of Afib among individuals > 40 years is 1 in 4.
    • > 95% of individuals with Afib are β‰₯ 60 years
  • Prevalence: approx. 1–2% of US population [2]

Epidemiological data refers to the US, unless otherwise specified.

The exact causes of atrial fibrillation are unknown, but several risk factors have been identified (see table below).

Risk factors [3][4][5]

Risk factors for atrial fibrillation
Cardiovascular risk factors
  • Advanced age
  • Hypertension
  • Diabetes mellitus
  • Smoking
  • Obesity
  • Obstructive sleep apnea (OSA)
Intrinsic cardiac disorders
  • Coronary artery disease (CAD)
  • Valvular heart disease (especially mitral valve disease)
  • Heart failure
  • Preexcitation tachycardia. e.g., Wolff-Parkinson-White (WPW) syndrome
  • Sick sinus syndrome (tachycardia-bradycardia syndrome)
  • Cardiomyopathies
  • Pericarditis
  • Genetic predisposition (e.g., congenital channelopathies)
  • Atrial myxoma
Noncardiac disorders
  • Pulmonary disease: COPD, pulmonary embolism, pneumonia
  • Hyperthyroidism
  • Catecholamine release and/or increased sympathetic activity
    • Stress: sepsis, hypovolemia, post-surgical state (especially following cardiac surgery), hypothermia
    • Pheochromocytoma
    • Cocaine, amphetamines
  • Electrolyte imbalances (hypomagnesemia, hypokalemia)
  • Drugs: e.g., adenosine, digoxin
  • Holiday heart syndrome: irregular heartbeat classically triggered by excessive alcohol consumption, but also sometimes by moderate alcohol consumption, stress, dehydration, or lack of sleep
  • Chronic kidney disease [6]

Reversible causes of atrial fibrillation [7]

  • Hyperthyroidism, thyrotoxicosis
  • Electrolyte imbalances
  • Cardiothoracic surgery
  • Myocarditis
  • Pericarditis
  • Myocardial infarction
  • Alcohol use
  • Excess caffeine
  • Fever of any cause
  • Recreational or pharmacological drug use
  • Pulmonary embolism
  • Other triggers of tachycardia: e.g., pain, hypovolemia, anemia

Approx. 15% of individuals who develop Afib have none of the above mentioned risk factors (idiopathic/lone Afib).

Remember PARASITE to memorize the major risk factors for acute Afib: P – Pulmonary disease; A – Anemia; R – Rheumatic heart disease; A – Atrial myxoma; S – Sepsis; I – Ischemia; T – Thyroid disease; E – Ethanol.

American College of Cardiology/American Heart Association (ACC/AHA) stages [3]

ACC/AHA stages of atrial fibrillation [3]
Stage Definition and criteria
Stage 1: at risk for Afib
  • Certain risk factors for Afib, i.e.:
    • Nonmodifiable: advanced age, male sex, and/or genetic predisposition
    • Modifiable: obesity, lack of fitness, hypertension, OSA, alcohol consumption, and/or diabetes mellitus
Stage 2: pre-Afib
  • Further predisposition to Afib, i.e.:
    • Comorbid conditions: heart failure, CAD, hypertrophic cardiomyopathy (HCM), neuromuscular disorders, and/or thyroid disorders
    • Structural or electrical abnormalities: atrial enlargement, frequent ectopy, brief atrial tachycardia, and/or atrial flutter
Stage 3: Afib 3a: paroxysmal Afib
  • Afib that resolves within 7 days of onset either following treatment or spontaneously
  • The frequency of recurring episodes may vary.
3b: persistent Afib
  • Continuous Afib for > 7 days
3c: long-standing persistent Afib
  • Continuous Afib for > 1 year
3d: successful Afib ablation
  • Afib that resolves after percutaneous or surgical intervention
Stage 4: permanent Afib
  • Afib in which therapeutic attempts are no longer made to convert to or maintain sinus rhythm, unless the patient and the treating physician agree to do so
  • Atrial fibrillation is a supraventricular arrhythmia.
  • The exact mechanisms of Afib are not well understood. Suggested mechanisms include:
    • Volume overload, hemodynamic stress β†’atrial hypertrophy and/or dilatation
    • Atrial ischemia
    • Inflammation of the atrial myocardium
    • Altered ion conduction by the atrial myocardium
  • The new onset of Afib triggers a vicious circle that can ultimately lead to chronic Afib with atrial remodeling:
    1. Afib is triggered by one or both of the following
      • Bursts of electrical activity from automatic foci near the pulmonary vein ostia (left atrium) or in diseased, fibrotic atrial tissue
      • Pre-excitation of the atria as a result of aberrant pathways (e.g., WPW syndrome)
    2. Afib is sustained by re-entry rhythms and/or rapid focal ectopic firing
      • Re-entry rhythms are more likely to occur with enlarged atria, diseased heart tissue, and/or aberrant pathways (e.g., WPW syndrome).
    3. Atrial remodeling
      • Electrophysiological changes in the atria occur within a few hours of Afib onset (electrical modeling).
      • If Afib persists, atrial fibrosis and dilatation (structural remodeling) occur within a few months.
      • Electrical and structural remodeling increase susceptibility to Afib, resulting in a vicious circle.
  • Effects of Afib
    • The atria contract rapidly but ineffectively and in an uncoordinated fashion β†’ stasis of blood within the atria β†’risk of thromboembolism and stroke
    • Irregular activation of the ventricles by conduction through the AV node β†’ tachycardia

References:[8][9][10][11]

  • All patients
    • Irregularly irregular pulse; with or without tachycardia
    • Apex-pulse deficit
  • Stable Afib: Afib without signs of hemodynamic instability
    • Most affected individuals are asymptomatic.
    • Some may present with:
      • Palpitations
      • Fatigue
      • Dyspnea
      • Lightheadedness
      • Syncope
      • Signs of underlying heart disease (e.g., murmurs of mitral stenosis)
  • Unstable Afib: Afib manifesting with signs of hemodynamic instability
    • Ischemicchest pain
    • Altered mental status
    • Clinical features of pulmonary edema
    • Clinical features of acute heart failure
    • Clinical features of cardiogenic shock
  • Complications of Afib
    • Acute left heart failure β†’ pulmonary edema
    • Thromboembolic events: stroke/TIA, renal infarct, splenic infarct , intestinal ischemia , acute limb ischemia
    • Tachycardia-induced cardiomyopathy

Unstable Afib is more likely to occur in patients with Afib with RVR and/or underlying cardiopulmonary disease.

Individuals with Afib may be asymptomatic for a long time before a diagnosis is made.

The brain, kidney, and spleen are the three organs most likely to be damaged by emboli!

Diagnostic confirmation

Modalities

  • 12-lead ECG: initial investigative study to confirm Afib
  • Cardiac rhythm monitoring [3]
    • Indications
      • Suspected paroxysmal Afib if ECG is not diagnostic and clinical suspicion is high
      • Evaluation of the adequacy of rate or rhythm control measures, and/or the presence of additional arrhythmias (e.g., atrial flutter)
      • Assessment of the relationship between symptoms and Afib (patient-activated event recorders)
    • Options
      • Ambulatory ECG monitoring: Holter monitor, event recorders, loop recorders
      • Inpatient: continuous cardiac telemetry

Findings

  • Clinical Afib
    • An episode of Afib documented on ECG lasting β‰₯ 30 seconds
    • May be symptomatic or asymptomatic
  • Subclinical Afib
    • Asymptomatic Afib not detected on 12-lead ECG
    • Detected on implanted cardiac devices and confirmed with intracardiac electrography [3][12]
  • Signs of comorbid conditions and/or underlying etiologies
    • Aberrant conduction: e.g., LBBB, RBBB, ECG findings in WPW
    • CAD: e.g., rate-dependent ST depressions, ECG findings in STEMI, ECG findings of NSTE-ACS, or evidence of previous myocardial infarction
    • Others: e.g., ECG findings in pericarditis, ECG signs of LVH
ECG findings in atrial fibrillation [13]
Appearance
Rhythm
  • Irregularly irregular RR intervals
  • Rarely may be regular if there is complete AV dissociation
Rate Afib with RVR
  • Ventricular rate > 100–110/minute (tachycardic Afib) [14][15]
Afib with SVR (slow Afib)
  • Ventricular rate < 60/minute (bradycardic Afib or slow Afib) [16]
P waves
  • P waves are indiscernible.
  • Fibrillatory waves (f waves) are seen instead at a frequency of 300–600/minute
    • Recent-onset Afib: prominent, coarse f waves with higher amplitude in leads V1, II, III, and aVF
    • Chronic Afib: f waves have low amplitudes and may appear as an undulating baseline.
  • PR intervals: not distinguishable
QRS complex
  • Typically narrow QRS complex (< 0.12 seconds)
  • Wide QRS complex may be seen in some situations:
    • Aberrant conduction, e.g., bundle branch block or preexcitation (as seen in Afib with WPW)
    • Complete AV block with a ventricular escape rhythm
    • Ashman phenomenon: intermittent aberrant ventricular conduction results in isolated or short runs of wide QRS complexes

Irregularly irregular NCT with a rate > 100–110/minute and no discernable P waves on ECG strongly suggests Afib with RVR.

Regular NCT with a rate of 150/minute with sawtooth P waves on ECG suggests rapid atrial flutter with 2:1 conduction.

RVR > 200/minute suggests preexcited Afib (usually with wide QRS) or an alternative diagnosis (e.g., VT).

Routine studies

Laboratory studies [3][17][18]

  • CBC: assessment for anemia and signs of infection
  • Serum electrolytes (Na+, K+, Mg2+, and Ca2+): to identify electrolyte imbalances
  • BUN, serum creatinine, and liver chemistries: to identify abnormal renal or liver function [3][6][19]
  • TFTs: to screen for thyrotoxicosis

Avoid routine testing for myocardial ischemia, ACS, or PE if only Afib is present and there is no clinical suspicion for these conditions. [3]

Afib can independently cause elevated D-dimer, troponin, and BNP levels. Interpret these findings along with the overall clinical suspicion for underlying PE, ACS, and/or CHF. [20][21][22][23]

TTE [3][24]

  • Goal: to assess cardiac function and rule out underlying structural heart disease (e.g., mitral valve stenosis)
  • Indications
    • New Afib diagnosis
    • Known Afib with clinical deterioration of unclear etiology
  • Morphological TTE findings may include: [24][25][26][27]
    • Structurally normal heart (more common in young people)
    • Left atrial thrombus
    • Moderate to severe mitral stenosis or presence of a mechanical heart valve (previously known as valvular Afib) is associated with a significantly increased risk of thromboembolic events. [3][28][29]
    • Other valvular heart disease or no valvulopathy (previously known as nonvalvular Afib)
    • Atrial enlargement
  • Functional TTE findings [24][25][26][27]
    • Chaotic atrial movements that are not coordinated with ventricles
    • Decreased left atrial compliance and volume
    • Decreased LVEF (due to cardiomyopathy)

Patients with Afib should always be evaluated for mitral valve dysfunction.

Additional studies

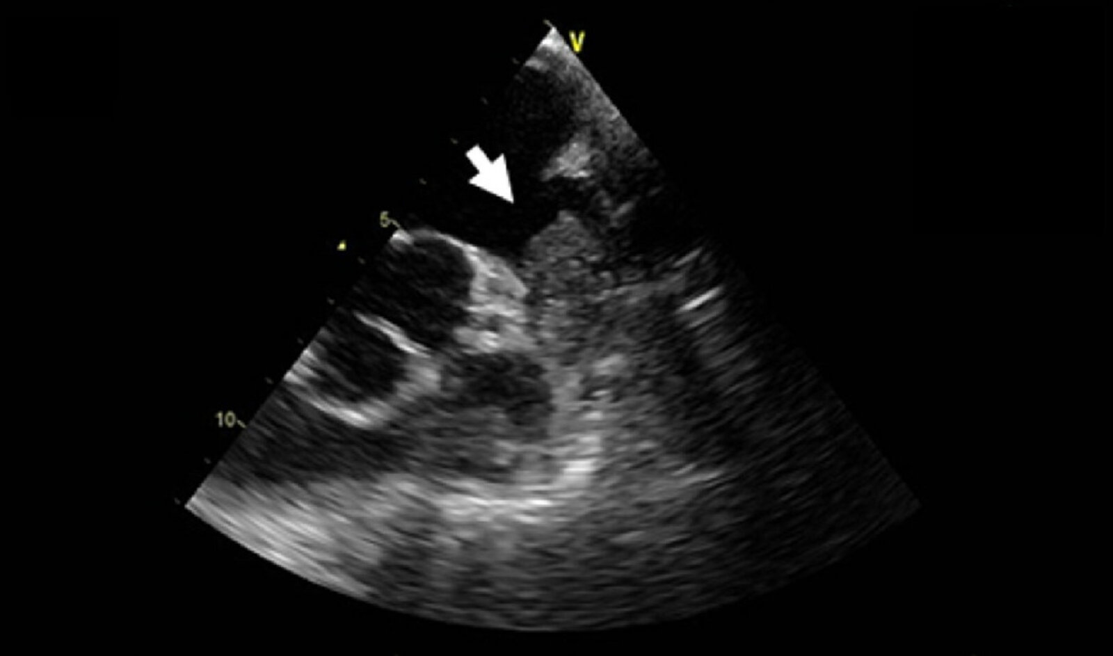
TEE for Afib [3][12][20][30]

  • Goals
    • To evaluate for thrombi and reduce the risk of thromboembolic events prior to cardioversion
    • Visualize the atria and the left atrial appendage (hotspots for thrombogenesis)
  • Indications [20][30];
    • New-onset Afib or atrial flutter of β‰₯ 48 hours or unknown duration
    • No previous anticoagulant use or subtherapeutic anticoagulation
    • High stroke risk (e.g., history of stroke, left atrial thrombus, HOCM, or rheumatic fever)
    • Assessment of intracardiac thrombus resolution for cardioversion [3]
  • Findings of concern
    • Thrombus in the left atrium, left atrial appendage, and/or left ventricle
    • Left atrial appendage β€œsmoke” and/or β€œsludge”
    • Low left atrial appendage velocities
    • Aortic atheroma [31]
  • Interpretation
    • No thrombus identified: Safe to proceed with rhythm control
    • Thrombus identified: Anticoagulate for β‰₯ 3 weeks and consider repeat TEE prior to attempting rhythm control.

TEE is performed prior to cardioversion to determine the safety of rhythm control in patients at risk of thromboemboli (e.g., Afib onset β‰₯ 48 hours) who cannot wait for β‰₯ 3 weeks of therapeutic anticoagulation.

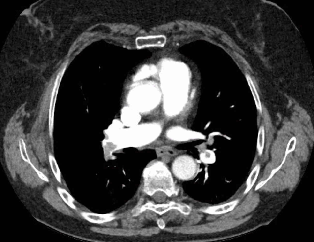
Chest imaging [20]

  • Goal: to evaluate for underlying cardiopulmonary comorbidities or etiologies
  • CXR: e.g., CXR findings of AHF, CXR findings of pneumonia, CXR findings of COPD
  • CT pulmonary angiography: See β€œFindings” in β€œCTPA.”

Specialized testing [3]

Consider in patients with unexplained and early-onset Afib.

  • Electrophysiology study (EP study) in patients < 30 years of age in order to: [3][20]
    • Identify associated conduction abnormalities (e.g., preexcitation)
    • Identify lesions amenable to ablation (e.g., for pulmonary vein isolation)
    • Distinguish between ventricular tachycardia and Afib with aberrant conduction
  • In patients < 45 years of age, consider referral for genetic counseling, genetic testing for rare pathogenic variants, and monitoring for cardiomyopathy. [3]

Testing for reversible causes of Afib or triggers

Consider additional studies based on clinical suspicion to evaluate for:

  • Underlying etiologies: e.g., sepsis workup, ACS diagnostics, PE diagnostics, CXR, toxicology screen
  • Comorbidities: e.g., diabetes screening, CAD diagnostics
  • Complications: e.g., ischemic stroke diagnostics, AHF diagnostics
  • Tachycardia
    • See β€œDifferential diagnosis of irregular, narrow-complex tachycardia.”
    • See β€œDifferential diagnosis of SVT.”
    • See β€œDifferential diagnosis of wide-complex tachycardia.”
  • Palpitations [32]
    • Cardiac arrhythmias
    • Valvular heart disease (e.g., aortic stenosis or regurgitation, mitral valve prolapse)
    • Cardiomyopathy
    • Hyperthyroidism
    • Hypoglycemia
    • Hypovolemia
    • Drugs (e.g., alcohol, cocaine, caffeine)
    • Psychiatric disorders (e.g., panic attack, anxiety)
  • Other symptoms
    • See also β€œSyncope.”
    • See also β€œChest pain.”
    • See also β€œDyspnea.”

Differentiate Afib from other narrow complex tachycardias, e.g., SVT, multifocal AT, focal AT with variable conduction, and atrial flutter with variable conduction.

Irregularly irregular wide complex tachycardia may represent Afib with aberrant conduction, preexcited Afib, or ventricular tachycardia. If in doubt, treat it as ventricular tachycardia.

The differential diagnoses listed here are not exhaustive.

If the diagnosis is uncertain, see β€œManagement of unstable tachycardia with pulse” or β€œManagement of stable, regular narrow-complex tachycardia.”

Approach

  • Evaluate hemodynamic stability using the ABCDE approach.
  • Establish IV access.
  • Begin continuous cardiac monitoring and pulse oximetry.
  • Obtain confirmatory 12-lead ECG and other Afib diagnostics.
  • Identify and treat reversible causes of Afib.
  • Consider comorbid conditions that affect management; see:
    • β€œManagement of Afib with ACS”
    • β€œManagement of Afib with chronic HF”
    • β€œManagement of preexcited Afib”

Conduct a careful clinical evaluation to determine whether tachycardia is the primary cause of hemodynamic instability or a response to shock due to an underlying condition (e.g., sepsis, hypovolemia, massive PE), especially in patients with chronic Afib. [33]

Patients with Afib detected during an acute medical condition (e.g., sepsis) or surgery are at high risk of Afib recurrence after recovery; consider outpatient follow-up for surveillance and assessment of thromboembolic risk. [3]

Unstable Afib management [3]

  • Manage unstable Afib with immediate synchronized electrical cardioversion. [34]
    • Afib with RVR: 120–200 J biphasic
    • Atrial flutter with RVR: 50–100 J biphasic
  • Anticoagulate as soon as possible if indicated, but do not delay emergency electrical cardioversion for preprocedural anticoagulation.

Stable Afib [3]

  • Consider acute pharmacological rate control for Afib with RVR to improve symptoms.
  • Consider long-term rhythm vs. rate control based on:
    • Need for pericardioversion anticoagulation for Afib (e.g., onset β‰₯ 48 hours or unknown)
    • Shared decision-making and additional individual factors (see β€œRhythm vs. rate control”)
  • Begin long-term anticoagulation for Afib if favored by risk assessment, i.e.:
    • Thrombotic complications: e.g., CHA2DS2-VASc score, TEE for Afib
    • Risk of bleeding: e.g., coagulation studies, HAS-BLED score

Ottawa aggressive protocol [35][36]

  • A protocol for rhythm control in the ED for eligible patients < 48 hours from Afib onset followed by discharge after a 1-hour observation and rapid cardiology follow-up
  • Involves pharmacological cardioversion using procainamide and, if unsuccessful, synchronized electrical cardioversion at 150–200 J (biphasic)

Acute decompensation

Patients with known Afib may seek care for acutely decompensated or recurrent Afib and/or comorbid conditions complicated by Afib (e.g., heart failure, ACS, sepsis).

  • For unstable patients, see β€œUnstable Afib management.”
  • For all other stable patients:
    • Assess adherence to therapy (e.g., rate control medications, anticoagulation for Afib).
    • Identify and manage reversible Afib triggers.
    • Evaluate for and address conditions that could alter treatment efficacy (e.g., new-onset AKI, medication interactions).
    • Follow any existing treatment plan for rate control or rhythm control.
    • Consult the patient's treating cardiologist as needed.
    • Manage complications and comorbid conditions on an individual basis.

Supportive management

  • Immediate hemodynamic support with judicious IV fluids and cautious use of vasopressors
  • Consider procedural sedation for cardioversion.
  • Begin pericardioversion anticoagulation for Afib as soon as possible if Afib onset is β‰₯ 48 hours or unknown and the patient is not already anticoagulated.

Disposition [33]

  • Patients presenting to the ED typically undergo a trial of rate control or rhythm control followed by a period of observation.
  • Hospital admission is required for symptomatic patients unresponsive to ED management.
  • Consider cardiology consult and ICU admission for patients with persistently unstable or refractory tachycardia.
  • Consider discharge with close outpatient cardiology follow-up in stable, asymptomatic patients with:
    • Resolved RVR or successful cardioversion
    • AND underlying reversible Afib trigger that has been adequately treated
  • Follow local protocols and consider cardiology consultation prior to discharge. [37]
  • For inpatients who develop new Afib or experience recurrence or decompensation, consult cardiology.

Follow-up care

The following measures can be applied in inpatient or outpatient settings.

  • Optimize long-term therapy for chronic underlying Afib etiologies and related comorbidities.
  • Manage cardiovascular risk factors and encourage lifestyle modifications (e.g., weight loss, exercise, OSA management, reduction of alcohol consumption). [3][12][28]
  • Monitor kidney and liver function regularly for patients on anticoagulation. [28]
  • Educate patients on treatment adherence, risk of thromboembolism, and risks of anticoagulation and/or antiarrhythmic drugs.
  • Monitor for adverse effects of long-term treatment (e.g., adverse effects of amiodarone). [3]

Overview

  • There are no specific indications for rate control or rhythm control.
  • Early rhythm control (i.e., within one year of diagnosis) is associated with a decreased risk of cardiovascular events in all patients with Afib. [3][38]
  • The choice of strategy is typically guided by:
    • Afib characteristics (e.g., Afib stage, previous therapy, symptoms)
    • Individual risk factors and comorbidities
    • Shared decision-making
  • Consultation with a specialist (e.g., a cardiologist or electrophysiologist) is strongly recommended.
Rate control vs. rhythm control [3][39]
Rhythm control Rate control
Goals
  • Termination of Afib (or atrial flutter)
  • Restoration and maintenance of sinus rhythm
  • Improvement of symptoms
  • Prevention of atrial remodeling
  • Decreased ventricular response rate to improve symptoms (in both acute and chronic Afib)
  • Decreased risk of arrhythmia-induced cardiomyopathy
Potential indications [3]
  • Age < 70 years [40]
  • Highly symptomatic
  • Recent-onset Afib (< 12 months)
  • Failure of prior rate control strategy to control symptoms or achieve target heart rate
  • TTE findings (e.g., small left atrium, AV regurgitation, LV dysfunction)
  • Treated reversible cause of Afib
  • Age β‰₯ 70 years [40]
  • Milder symptoms
  • Recurrent or long-standing persistent Afib [3][41]
  • Heart rate is easily controlled.
  • TTE findings (e.g., large left atrium, no or mild AV regurgitation, no or mild LV dysfunction)
  • Untreated reversible cause of Afib
  • High risk of thromboembolism
  • High risk of adverse reactions to cardioversion
Treatment modalities
  • Cardioversion
    • Emergency synchronized cardioversion (for management of unstable Afib)
    • Planned electrical cardioversion
    • Pharmacological cardioversion
  • Long-term maintenance therapy
    • Antiarrhythmic drug therapy
    • Afib catheter ablation
  • Acute pharmacological rate control
  • Long-term pharmacological rate control
  • Atrioventricular node ablation

All types of cardioversion (electrical, pharmacological) can precipitate arterial thromboembolism and stroke in at-risk patients with Afib.

Evaluate the need for pericardioversion anticoagulation for Afib and consider delaying cardioversion until TEE for Afib has ruled out thrombi in patients at high risk.

General principles

  • Rate control in acute and chronic Afib is indicated for symptom control and to prevent LV dysfunction.
  • Target resting heart rate
    • < 100–110/minute: in patients without heart failure whose symptoms are well controlled at this rate
    • < 80/minute in patients with either:
      • Heart failure
      • Persistence of symptoms at higher heart rates

In patients with normal LV systolic function, outcomes with a lenient rate control of < 110/minute are similar to outcomes with a strict rate control of < 80/minute. [3][42]

Acute pharmacological rate control

  • Patients without decompensated HF
    • First-line
      • Beta blockers, e.g.: metoprolol (off-label) [3], esmolol (off-label) [3], propranolol (off-label) [3]
      • ndHP CCBs, e.g.: diltiazem [3], verapamil (off-label) [3]
    • Second-line: if refractory or contraindications to first-line agents
      • Digoxin (off-label) [3] (use with caution in older patients) [3]
      • Amiodarone (off-label) [3]
  • Patients with decompensated HF: amiodarone (off-label) [3]
  • All patients: Consider adding magnesium IV (off-label).
  • Afib during pregnancy [43][44]
    • Beta blockers are preferred.
    • CCBs and digoxin can be used in consultation with a specialist.
    • Amiodarone can lead to adverse fetal effects (e.g., neonatal thyroid disorders, fetal growth restriction) and should be avoided.

Avoid beta blockers and ndHP CCBs in patients with LV dysfunction and decompensated HF as they can compromise hemodynamic function. [3][34]

Avoid AV nodal blockers and amiodarone in patients with preexcited Afib as these can trigger Vfib. [3]

Long-term pharmacological rate control [3]

  • First-line
    • Beta blockers: e.g., metoprolol (off-label) [3], atenolol(off-label) [3], propranolol (off-label) [3]
      • Preferred for Afib during pregnancy
      • Consider for Afib due to hyperthyroidism.
      • Avoid in patients with asthma.
    • OR nondihydropyridinecalcium channel blockers: e.g., diltiazem (off-label) [3], verapamil (off-label) [3]
      • Contraindicated in patients with LVEF < 40%
      • Can be safely used in heart failure with preserved normal LV systolic function
  • Second-line: digoxin; preferred initial therapy for patients with HFrEF[3]
  • Third-line: amiodarone (off-label) ; for patients who are critically ill and/or have ADHF and refractory Afib [3]

Atrioventricular node ablation [3]

  • Indications
    • Recurrent Afib
    • Afib refractory to pharmacological rate or rhythm control strategies
    • Adverse effects to pharmacological rate or rhythm control strategies
  • Procedure
    • The AV node is destroyed during cardiac catheterization using high-frequency radio waves to cause a permanent AV block.
    • Requires implantation of a permanent ventricular pacemaker (ideally 4–6 weeks prior)

Cardioversion

Planned electrical cardioversion [3][12]

  • Description
    • Gradually increasing strengths of current (synchronized with the R wave) are administered under sedation until sinus rhythm is restored.
    • The adjunctive use of antiarrhythmic drugs prior to shock delivery increases the likelihood of success.
  • Indications
    • Afib in hemodynamically stable patients who can tolerate sedation and prefer this option
    • Unsuccessful pharmacological cardioversion

Pharmacological cardioversion[3][34][45]

  • Description: pharmacotherapy for the conversion of Afib to sinus rhythm
    • Most likely to be effective for arrhythmias of < 7 days' duration [20]
    • More effective for atrial flutter than Afib, but there is a risk of conversion to 1:1 conduction with propafenone and flecainide [3]
  • Indications
    • Hemodynamically stable patients, in whom procedural sedation may be harmful
    • Patient preference
  • In-hospital setting (under continuous cardiac monitoring)
    • Normal LV function: IV amiodarone(off-label) [3]or ibutilide ; alternatively, procainamide (off-label) [3]
    • HFrEF: IV amiodarone
  • Pill-in-pocket strategy: a single, self-administered dose of an antiarrhythmic used outside of the hospital to terminate Afib
    • Indication: infrequent, recent-onset Afib after a first successful dose in a hospital setting
    • Agents: flecainide; (off-label) [3] or propafenone(off-label) [3]
    • Typically given in conjunction with a beta blocker or ndHP CCB

If pharmacological cardioversion fails, avoid switching antiarrhythmic drugs; proceeding with planned electrical cardioversion is the recommended next step. [3]

Avoid flecainide and propafenone in patients with previous myocardial infarction and significant structural heart disease. [3]

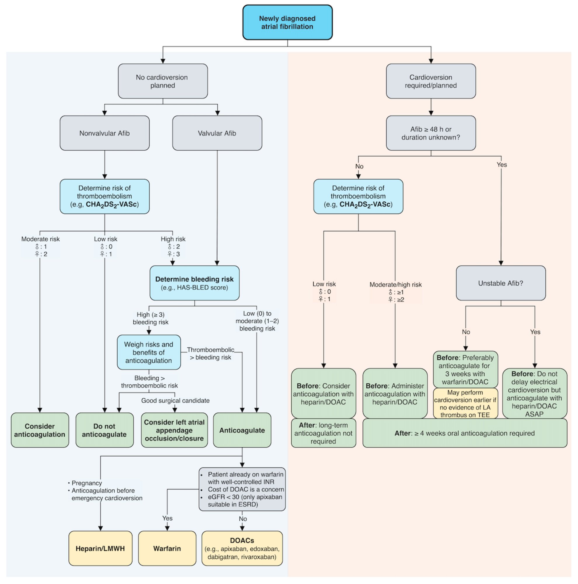
Pericardioversion anticoagulation for Afib [3][12]

Determine the need for pericardioversion anticoagulation based on the risk of arterial thromboembolism and considering the following:

  • Duration of Afib
  • Structural heart abnormalities: i.e., moderate to severe mitral stenosis, mechanical heart valves, or HCM
  • CHA2DS2-VASc score

Patients with moderate to severe mitral stenosis, mechanical heart valves, or HCM are at high risk of thromboembolism regardless of duration since Afib onset or CHA2DS2-VASc score. If not already anticoagulated, consult cardiology for optimal pericardioversion management.

Pericardioversion anticoagulation for Afib [3][12][28]
Before cardioversion After cardioversion
Onset < 48 hours Low risk (CHA2DS2-VASc score 0 in men and 1 in women)
  • Consider either:
    • No anticoagulation
    • Anticoagulation (with heparin or a DOAC) begun as soon as possible prior to the procedure
  • Long-term anticoagulation is not routinely required.
Moderate risk (CHA2DS2-VASc score 1 in men and 2 in women)
  • Consider on an individual basis in consultation with cardiology. [3][28]

High risk CHA2DS2-VASc score β‰₯ 2 in men and β‰₯ 3 in women)
  • Anticoagulation with heparin or a DOAC begun as soon as possible prior to the procedure
  • Precardioversion TEE may be considered to rule out intracardiac thrombi.
  • Long-term anticoagulation for Afib is usually indicated.
Onset β‰₯ 48 hours or unknown Stable patients
  • Anticoagulation with a DOAC or warfarin for 3 weeks prior to the procedure is preferred.
  • In patients who cannot wait 3 weeks, a precardioversion TEE to rule out thrombi should be requested.
  • At least 4 weeks of oral anticoagulation is preferred.
Unstable patients
  • Begin anticoagulation with heparin or a DOAC as soon as possible without delaying emergency electrical cardioversion.

Base decisions about postcardioversion long-term anticoagulation for Afib on individual thrombotic and bleeding risk profiles. [3]

Long-term rhythm maintenance [3]

Antiarrhythmic pharmacotherapy

  • Indications: patients with recurrent Afib and low risk of adverse effects
  • No structural heart disease and normal LVEF
    • First-line agents: dofetilide, dronedarone, flecainide, and propafenone
    • Second-line agents: amiodarone and sotalol
  • Structural heart disease or LVEF ≀ 40%
    • First-line agents: amiodarone, dofetilide, and sotalol [3]
    • Avoid flecainide and propafenone.

Afib catheter ablation [3][20]

  • Description: creation of scar tissue that prevents the spread of ectopic impulses
  • Indications include:
    • First-line for symptomatic paroxysmal Afib in younger patients with few comorbidities
    • Symptomatic Afib refractory or with contraindications to pharmacological cardioversion
    • Patients undergoing cardiac surgery unrelated to Afib
    • Selected patients with concurrent HFrEF (e.g., younger patients without significant comorbidities, earlier HF stages) [3][12][46]
  • Modalities
    • Pulmonary vein isolation; :catheter radiofrequency ablation of atrial tissue around pulmonary vein openings [12]
    • Maze ablation: A series of incisions are made in the atrial endocardium via a catheter or surgically to prevent atrial macroentry.

For patients with new-onset Afib being considered for rhythm control, see β€œPericardioversion anticoagulation in Afib.”

Approach

Use the same risk-benefit profile assessment for all types of Afib and atrial flutter (e.g., paroxysmal Afib, persistent Afib), treatment strategies (i.e., rate or rhythm control), or apparent maintenance of sinus rhythm. [3][12]

  • Assess thrombotic risk.
    • Identify patients at high risk of thromboembolism (i.e., those with moderate to severe mitral stenosis, mechanical heart valves, and HCM).
    • Calculate CHA2DS2-VASc score in all other patients.
  • Assess bleeding risk.
    • Identify contraindications to anticoagulation.
    • Calculate HAS-BLED score.
  • Choose the appropriate anticoagulation regimen for Afib based on the individual risk profile.
  • Consider interventional alternatives for patients with contraindications to anticoagulation and a high thrombotic risk.

Prevention of thromboembolism with long-term anticoagulation is typically indicated in patients with moderate to severe mitral stenosis, mechanical heart valves, HCM, and/or a CHA2DS2-VASc scoreβ‰₯ 2 in men and β‰₯ 3 in women.

Always consider the bleeding risk when initiating anticoagulation.

Risk assessment [3]

Evaluate thrombotic risk and bleeding risk for all patients with Afib and atrial flutter regardless of classification and treatment strategy.

Thrombotic risk in Afib and atrial flutter
Conditions Recommendation
High risk
  • Moderate to severe mitral stenosis, mechanical heart valves, or HCM [47]
  • All other patients: CHA2DS2-VASc scoreβ‰₯ 2 in men or β‰₯ 3 in women
  • Anticoagulation is recommended.
Moderate risk
  • No moderate to severe mitral stenosis, mechanical heart valves, or HCM
  • CHA2DS2-VASc score of 1 in men or 2 in women
  • Consider anticoagulation using shared decision-making.
Low risk
  • No moderate to severe mitral stenosis, mechanical heart valves, or HCM
  • CHA2DS2-VASc score of 0 in men or 1 in women
  • Anticoagulation is not routinely recommended.

Do not use CHA2DS2-VASc scores to risk stratify patients with moderate to severe mitral stenosis, mechanical heart valves, or HCM. [28]

CHA2DS2-VASc score

  • A validated scoring system for assessing the risk of stroke in Afib [48]
  • Avoid use in patients with moderate to severe mitral stenosis, mechanical heart valves, or HCM. [28]
CHA2DS2-VASc score [3][49][50]
Risk factor Points
Congestive heart failure or LV dysfunction 1
Hypertension 1
Age β‰₯ 75 years 2
Diabetes mellitus 1
Prior stroke, transient ischemic attack, or thromboembolism 2
Vascular disease 1
Age 65–74 years 1
Sex: female [48][51] 1
Risk of stroke [52]
  • 0 points (male) or 0–1 point (female): low risk
  • 1 point (male) or 2 points (female): intermediate risk
  • β‰₯ 2 points (male) or β‰₯ 3 points (female): high risk

HAS-BLED score [53]

  • Most often used to assess the risk of bleeding in patients starting anticoagulation. [3][54]
  • Consider addressing modifiable risk factors, e.g., uncontrolled hypertension, alcohol use, NSAID, or aspirin use, and reevaluating risk.
  • A high-risk HAS-BLED score is not necessarily a reason to withhold anticoagulation; these patients require more frequent monitoring. [50]
HAS-BLED score [53][54]
Characteristics Points
Uncontrolled hypertension 1
Abnormal renal or liver function 1 point each (max. 2)
Stroke 1
Bleeding history or predisposition 1
Labile INR 1
Older individuals (age > 65) 1
Drugs that predispose to bleeding or alcohol use 1 point each (max. 2)
Interpretation [55]
  • 0 points: low risk
  • 1–2 points: moderate risk
  • β‰₯ 3: high risk

Anticoagulation regimens in atrial fibrillation and atrial flutter [3]

The choice of anticoagulant is predominantly based on individual patient factors.

  • Educate patients on treatment adherence, bleeding risk, and risk-mitigating behavior modifications. [56][57]
  • Antiplatelets are no longer recommended as an alternative to anticoagulation for stroke prevention in Afib or atrial flutter. [3][12]
  • See β€œPericardioversion anticoagulation in Afib” for indications and agents for anticoagulation prior to cardioversion for rhythm control.
Long-term anticoagulation options in atrial fibrillation and flutter [3][18]
Clinical applications Options Special considerations
DOACs
  • All patients without:
    • Moderate to severe mitral stenosis or mechanical heart valves
    • Contraindications to DOACs
  • Dabigatran
  • Rivaroxaban
  • Apixaban
  • Edoxaban
  • Avoid in pregnancy.
  • May not be suitable in severe renal impairment
  • Preferred for patients who cannot adhere to regular INR monitoring
Vitamin K antagonists (VKAs)
  • Patients with moderate to severe mitral stenosis or mechanical heart valves
  • Patients with contraindications to DOACs
  • Patients with severe hepatic dysfunction
  • Patients with advanced CKD
  • Warfarin [28][58]
  • Avoid in pregnancy.
  • Bridging anticoagulation may be indicated.
  • Requires weekly INR measurement initially, followed by monthly INR measurements once therapeutic levels have been reached [28]
Heparin
  • Pregnancy
  • Periprocedural bridging anticoagulation
  • Unfractionated heparin
  • LMWH (e.g., enoxaparin (off-label) , dalteparin (off-label) ) [59]
  • Use LMWH with caution in renal impairment.

Avoid dabigatran in patients with Afib and mechanical heart valves as it can be harmful. [28]

Interventional alternatives to anticoagulation [3]

  • Description: occlusion of the left atrial appendage (most common location for the formation of thrombus) [60]
  • Options include
    • Percutaneous left atrial appendage occlusion
    • Surgical occlusion of the left atrial appendage
  • Considered in patients who have contraindications to anticoagulation and an increased risk of stroke. [12]

Consult cardiology early whenever complicating factors (e.g., ACS, chronic HF, preexcited Afib) are present or suspected alongside Afib with RVR.

Afib with acute coronary syndrome [20][28]

  • Indications for urgent synchronized electrical cardioversion
    • Ongoing ischemia
    • Hemodynamic compromise
    • Inadequate rate control
  • IV beta blockers
    • Generally preferred for rate control
    • Avoid in patients with decompensated heart failure, bronchospasm, and/or hemodynamic instability.
  • Consider amiodarone or digoxin in patients with hemodynamic compromise or severe LV dysfunction and heart failure.

Afib with heart failure [3][61]

See also β€œTachycardia-induced cardiomyopathy.”

Stable chronic HF

  • Initial rate control options for stabilization
    • Reduced ejection fraction: IV beta blockers, digoxin, or amiodarone
    • Preserved ejection fraction: IV beta blockers, digoxin, amiodarone, or IV ndHP CCBs
  • Target heart rate:
    • < 100–110/minute for most patients [3]
    • < 80/minute may be considered in patients with refractory HF symptoms [3]
  • Once RVR is stabilized, consider rhythm control as definitive management for recent onset Afib with HF (See β€œRate control vs. rhythm control” for details). [62][63][64]

Acute decompensated heart failure (ADHF)

  • Unstable Afib: urgent synchronized electrical cardioversion
  • Stable Afib: management based on the suspected cause of ADHF
    • Afib causing ADHF : rhythm control
    • Afib not causing ADHF: rate control or rhythm control
      • Target heart rate < 120/minute [61]
      • Amiodarone or digoxin are preferred. [3]
      • Use beta blockers with caution. [3]
      • Avoid CCBs. [3]

Suspect arrhythmia-induced cardiomyopathy in patients with newly diagnosed HFrEF and Afib, and begin an early and aggressive rhythm control strategy to stop cardiomyopathy progression.

Preexcited Afib (Afib with WPW)

WPW is the most common preexcitation pattern; however, other accessory pathways may also underlie this presentation.

Diagnosis

  • Heart rate may be very high (> 200–250/minute). [65]
  • Wide QRS complexes are commonly seen because of ventricular preexcitation.
  • Appearance can resemble polymorphic Vtach. [66]

Consider preexcited Afib in at-risk patients with irregularly irregular WCT.

Management of preexcited Afib [3]

See β€œStable, wide-complex tachycardia” for details on differentiating preexcited Afib from other irregular WCTs.

  • Unstable patients: electrical cardioversion at 200 J (biphasic) [3]
  • Stable patients
    • Elective electrical cardioversion
    • Pharmacological cardioversion with ibutilide OR procainamide (off-label) [3]
    • Catheter ablation of accessory pathways

Hemodynamic instability is common in patients with preexcited Afib and other irregular WCTs (e.g., polymorphic Vtach). When in doubt, treat with electrical cardioversion!

Definition

  • Atrial flutter is a supraventricular tachyarrhythmia that is usually caused by a macroreentrant rhythm within the atria. [20]

Epidemiology [67]

  • Incidence: 88 per 100,000 person-years (increases with age)
  • Sex: β™‚ > ♀ (incidence in men is 2.5 times greater than in women)

Etiology

  • Similar to atrial fibrillation (see β€œEtiology” section above)
  • May additionally result from the treatment of Afib [14]

Pathophysiology

  • Type I (common; ; typical or isthmus-dependent flutter): caused by a counterclockwise (more common) or clockwise (less common) macroreentrant activation of cardiac muscle fibers in the right atrium that travels along the tricuspid annulus and passes through the cavotricuspid isthmus
  • Type II (rare; atypical atrial flutter): various reentrant rhythms; that do not involve the cavotricuspidisthmus, are not well-defined, are usually around the tricuspid annulus, and/or occur in the left atrium

Clinical features

  • Most patients are asymptomatic.
  • Less commonly: symptoms of arrhythmias, such as palpitations, dizziness, syncope, fatigue, and or dyspnea
  • Tachycardia, often with a regular pulse
  • Symptoms of the underlying disease (e.g., murmurs of mitral stenosis) may be present.

Diagnostics [18][20][68]

  • Similar to atrial fibrillation except for ECG findings (see β€œDiagnosis of atrial fibrillation”)
  • Characteristic ECG findings of atrial flutter
    • Rate: typically 75–150/minute (depending on conduction) [68]
    • Atrial rate β‰₯ ventricular rate
    • Narrow QRS complexes
    • Characteristic rhythms
      • Regular rhythm in atrial flutter: fixed AV conduction pattern (e.g., 2:1 or 4:1)
      • Regularly irregular rhythm in atrial flutter: variable AV conduction and a consistent variation pattern (e.g., alternating between 2:1 and 3:1)
      • Irregularly irregular rhythm in atrial flutter: variable AV conduction and an inconsistent variation pattern (i.e., no discernible pattern of AV conduction)
    • Sawtooth appearance of P waves: identical flutter waves (F waves) that occur in sequence at a rate of ∼ 300/minute
    • Predominantly negative deflections in leads II, III, aVF
    • Flat deflections in I and aVL

Treatment

Consult cardiology for all patients.

  • Acute management of rapid atrial flutter is the same as the management of Afib with RVR.
  • Long-term arrhythmia management is very similar to treatment of Afib with some minor differences:
    • Rate control: more difficult to achieve in atrial flutter than in Afib [18]
    • Rhythm control
      • Better results and lower recurrence compared to Afib [20][68]
      • Catheter ablation may be the most effective rhythm control strategy.
  • Anticoagulation recommendations are the same as for long-term anticoagulation in Afib.

Complications

  • Frequently degenerates into atrial fibrillation
  • 1:1 conduction can lead to life-threatening ventricular tachycardia

Hemodynamically unstable patients

  • ABCDE approach
  • Emergency synchronized cardioversion
  • Anticoagulation with heparin or a DOAC for Afib with onset β‰₯ 48 hours or unknown, valvular Afib, or high-risk CHA2DS2-VASc score
  • Identify and treat reversible causes of Afib.
  • Evaluate for comorbid conditions (e.g., ACS, chronic HF, preexcited Afib).
  • Transfer to ICU/CCU.

Hemodynamically stable patients

  • Obtain Afib diagnostics including 12-lead ECG and TTE to evaluate for valvular/structural heart disease.
  • Consider initial rate control for Afib with RVR to reduce symptoms.
  • Identify and treat the underlying cause.
  • Consider long-term anticoagulation for Afib based on risk assessment.
  • Refer to cardiology for long-term management (i.e., rate vs. rhythm control).
  • One-Minute Telegram 95-2024-3/3: Diet drinks: sweet AF
  • One-Minute Telegram 67-2023-1/3: Freezing the progression of atrial fibrillation
  • One-Minute Telegram 65-2022-1/3: 2022 U.S. Preventive Services Task Force: summary of recommendations
  • One-Minute Telegram 63-2022-1/3: Apixaban: the right pick for atrial fibrillation?
  • One-Minute Telegram 63-2022-3/3: No revelations on the best anticoagulant for patients with end-stage kidney disease
  • One-Minute Telegram 62-2022-1/3: K+ may be more than OK at making bad rhythms go away
  • One-Minute Telegram 59-2022-3/3: The rhythm is gonna get you: early rhythm control in low-risk AF
  • One-Minute Telegram 44-2022-2/4: To screen or not to screen for atrial fibrillation: 2022 updated USPSTF recommendations
  • One-Minute Telegram 15-2020-3/4: Anticoagulation for patients with bioprosthetic mitral valves: is it time for a DOAC?
  • One-Minute Telegram 12-2020-4/4: Levothyroxine and AFib in older patients: what’s the right dose?

Interested in the newest medical research, distilled down to just one minute? Sign up for the One-Minute Telegram in β€œTips and links” below.