Guest Mode
AMBOSS Articles/ Internal Medicine > Gastroenterology > Diseases of the Stomach

Atrophic Gastritis

Atrophic gastritis is a condition characterized by chronic inflammation of the gastric mucosa with atrophy, gland loss, and metaplastic changes. There are two types: autoimmune atrophic gastritis (AIG) and environmental metaplastic atrophic gastritis (EMAG), which is commonly caused by Helicobacter pylori. Patients with atrophic gastritis are often asymptomatic or may only experience nonspecific discomfort in the epigastric region. Important diagnostic steps include gastroscopy with biopsy and laboratory studies (e.g., gastrin). Treatment includes H. pylori eradication therapy, iron and vitamin B12 supplementation, and symptomatic treatment of dyspepsia, e.g., antacids. If left untreated, atrophic gastritis may lead to peptic ulcer disease or result in the development of various cancers.

  • Prevalence [1]
    • AIG: ∼ 2–5%
    • EMAG: prevalence strongly correlates with level of endemic H. pylori infection → increase in prevalence with advancing age → affects the majority of older adults

Epidemiological data refers to the US, unless otherwise specified.

Autoimmune atrophic gastritis (AIG)

  • Associated with major histocompatibility haplotypes HLA-B8 and HLA-DR3
  • Associated with other autoimmune diseases (e.g., autoimmune thyroiditis)

Environmental metaplastic atrophic gastritis (EMAG)

  • Helicobacter pylori infection
    • Most important risk factor for chronic gastritis, including atrophic gastritis [2]
    • Colonizes mainly antrum of stomach
  • Dietary factors
    • N-nitroso compounds
    • Alcohol intake
    • High salt intake

AIG

  • Autoimmune destruction of the parietal cells in the gastric corpus and fundus (T-cell induced autoantibodies against H+/K+ ATPase); achlorhydria increased release of gastrin (due to loss of negative feedback); G cellhyperplasia hypergastrinemia hyperplasia of enterochromaffin-like cells↑ risk of gastric neuroendocrine tumors.
  • Achlorhydria impairs the intestinal absorption of inorganic ironiron deficiency anemia (early manifestation)
  • Autoantibodies against intrinsic factorvitamin B12 deficiency pernicious anemia

EMAG

  • Colonization by H. pylori
    • Inflammation of the antrum destruction of D cells somatostatin gastrin ↑ production of gastric acids → duodenal ulcers [3][4]
    • Inflammation of the gastric body local destruction of mucosa (via cytotoxins such as ammonia) → ↓ production of mucins and atrophy of the gastric glands → hypochlorhydria → hypergastrinemia and epithelial dysplasia epithelial metaplasia → ↑ risk of gastric cancers [5]
  • Diet: bacteria in the stomach metabolize nitrates present in food → formation of carcinogenic N-nitroso compounds → epithelial metaplasia ↑ risk of gastric cancers

General symptoms

  • Epigastric pain is possible.
  • Nausea, vomiting
  • Abdominal paresthesia and dyspepsia

Specific symptoms in AIG

  • Signs of anemia
    • E.g., pallor, fatigue (caused by iron deficiency anemia and/or pernicious anemia)
    • Features of vitamin B12 deficiency: triad of hematologic, neurologic, and gastrointestinal disorders
  • Symptoms of other autoimmune diseases (e.g., goiter in Hashimoto thyroiditis)

Specific symptoms in EMAG

  • Asymptomatic progression is common.
  • Patients often have recurring ulcers (abdominal pain, dyspepsia)
  • Symptoms often occur as a result of gastric or duodenal ulcer bleeding (see “Signs of GI bleeding”).

Helicobacter-associated atrophic gastritis frequently manifests with ulcerations. Atrophic gastritis of autoimmune origin does not.

  • Esophagogastroduodenoscopy and biopsy
    • Diagnostic test of choice
    • To evaluate the gastric mucosa and collect biopsy samples from the gastric antrum and corpus, possibly also from the fundus
  • Noninvasive helicobacter pylori testing: for patients without indications for EGD [6]
  • Additional tests
    • Hematology
      • In cases of chronic bleeding (any type): possibly microcytic anemia
      • In AIG: possibly macrocytic anemia
    • Serum pepsinogen isoforms
    • Vitamin B12 levels: ↓ in AIG
    • Serum gastrin levels: ↑ in AIG
    • Serology
      • Anti-intrinsic factor
      • Anti-parietal cell antibodies

PPIs should be discontinued at least 2 weeks prior to testing for H. pylori to minimize false-negative rates. [7]

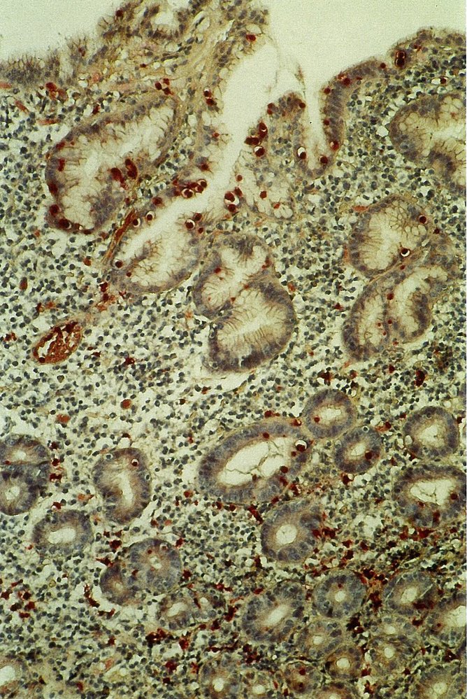
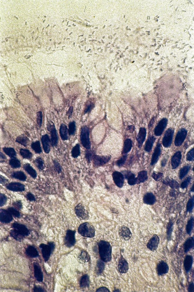
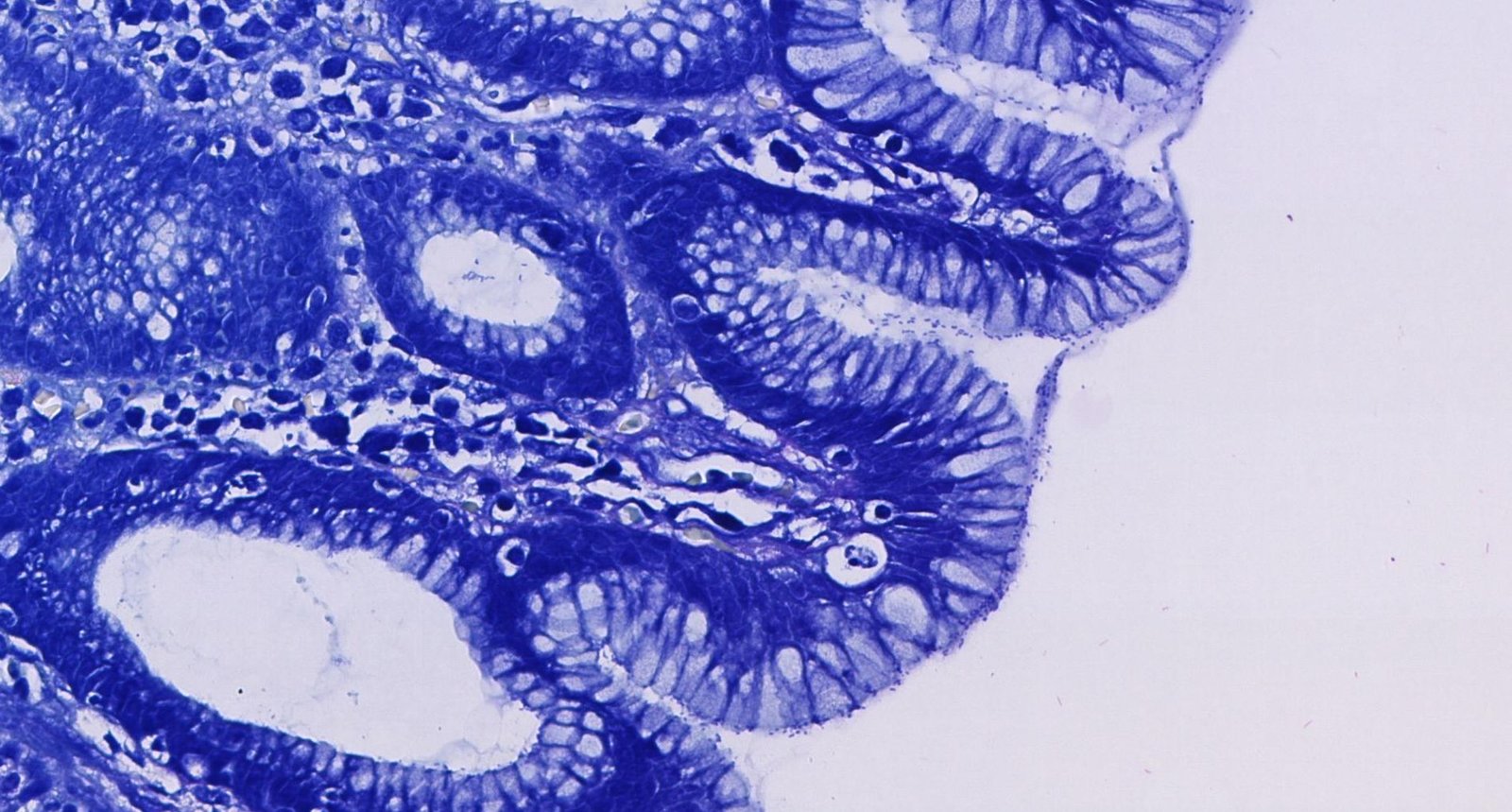
Microscopy findings

The following microscopic findings may be seen in both types of atrophic gastritis.

  • Chronic inflammation → granulocytic infiltrations in the mucosa, lymphocytic infiltrations in the submucosa
  • Mucosal thinning
  • Loss of glands
  • Epithelial metaplasia
    • (Pseudo)pyloric: replacement of parietal and chief cells in oxyntic glands by mucus-secreting cells, which are usually present in the pyloric region
    • Intestinal: replacement of epithelial cells in the oxyntic or antral mucosa by intestinal epithelium cells (e.g., goblet cells)
  • Possible detection of H. pylori (gram-negative, rod-shaped bacteria)
  • G-cell hyperplasia (common in AIG)

Patterns of affliction

  • AIG: Lesions are confined to the gastric body and fundus.
  • EMAG: Lesions first manifest in the gastric antrum (predominant), then spread to body and fundus.
  • Chemical gastritis
  • Sarcoidosis
  • Vasculitis
  • Granulomatous gastritis
  • Eosinophilic gastritis
  • Lymphocytic gastritis
  • Ménétrier disease
  • See also “Causes of dyspepsia.”

The differential diagnoses listed here are not exhaustive.

  • Presence of H. pylori: H. pylori eradication therapy followed by H. pylori eradication confirmation
  • Iron therapy for iron deficiency
  • Vitamin B12 replacement therapy for vitamin B12 deficiency
  • Symptom management [9]
    • Pharmacological: PPIs, H2 antagonists, antacids, sucralfate (See “Antacids and acid suppression medications” for agents and dosages.)
    • Lifestyle modifications (See “Nonpharmacological recommendations” in “Treatment of dyspepsia” for details.)
      • Avoid triggers (e.g., alcohol, NSAIDs).
      • Smoking cessation
  • Refer to gastroenterology to determine endoscopic surveillance frequency for monitoring malignancy risk.
  • In AIG, consider screening for autoimmune disorders (e.g., autoimmune thyroid disease).

Do not give sucralfate simultaneously with PPIs and/or H2 antagonists because it is activated by an acidic environment.

AIG

  • Vitamin B12 deficiency ; (leading to pernicious anemia, which potentially causes funicular myelosis)
  • Gastric adenocarcinoma
  • Gastric neuroendocrine tumors (commonly featuring polypoid precursors)
  • Esophageal squamous cell carcinoma

EMAG

  • Ulcerations in the stomach/duodenum (peptic ulcer disease) → upper gastrointestinal bleeding or perforation
  • Gastric adenocarcinoma
  • Gastric MALT lymphoma
  • Extraintestinal manifestations (e.g., chronic urticaria, Parkinson disease, migraine, immune thrombocytopenic purpura, iron deficiency anemia, rosacea) [10]

We list the most important complications. The selection is not exhaustive.