Guest Mode
AMBOSS Articles/ Internal Medicine > Hematology and Oncology > Basics of Hematology and Oncology

Basics of Hematology

Hematology is the study of blood and the disorders related to it. Human blood consists of blood cells and plasma. Blood has many functions, including transporting oxygen and nutrients to tissues, removing waste materials (e.g., carbon dioxide, urea), regulating body temperature, and carrying cells responsible for coagulation and immune response. There are three main types of blood cells, all of which originate from hematopoietic stem cells, which are located primarily in the bone marrow: red blood cells (RBCs; erythrocytes), white blood cells (WBCs; leukocytes), and platelets (thrombocytes). RBCs are hemoglobin-carrying cells that primarily transport oxygen. There are two types of WBCs: granulocytes and lymphocytes. Granulocytes are part of the innate immune system and play a key role in the immune response to bacteria, fungi, and parasites. Lymphocytes include cells that are responsible for both the innate (natural killers) and adaptive (T and B cells) immune system. T and B cells, in contrast to the cells involved in innate immunity, can target specific antigens presented to them by antigen-presenting cells. Platelets, small anucleate cells produced by megakaryocytes, are required for hemostasis.

Functions of blood [1][2]

  • Transport of:
    • Oxygen, nutrients, and hormones to tissues
    • Carbon dioxide to the lungs for elimination
    • Metabolic waste products to kidneys and liver for elimination
  • Protection from pathogens
  • Hemostasis
  • Regulation of body temperature, signal transmission, and acid-base homeostasis

Blood volume

  • On average, blood constitutes ∼ 7% of the total body weight of adults (∼ 70 mL/kg). [1][3]
  • The actual circulating blood volume varies and depends on age, weight, and height.
  • For children β‰₯ 35 kg, adolescents, and adults, the total blood volume can be estimated using the Nadler equation: [4]
    • Men: BV = (0.3669 Γ— H3) + (0.03219 Γ— W) + 0.6041
    • Women: BV = (0.3561 Γ— H3) + (0.03308 Γ— W) + 0.1833
      • BV: blood volume in liters
      • H: height in meters
      • W: weight in kilograms
  • For neonates, infants, and children up to 14 years, the following estimates can be used: [5]
Blood volume in individuals of different age
Age Estimated blood volume (mL/kg)
0–30 days 80–85
1–12 months 75–80
13–24 months 85
2–3 years 80
4–6 years 76–77
7–14 years 70–75

Blood constituents [1][2][3]

  • Plasma: ∼ 55%
    • The liquid constituent of blood
    • Composed of water, plasma proteins (including coagulation factors), electrolytes, hormones, and other bioactive substances
  • Blood cells: ∼ 45%
Overview of blood cell types
Cell Characteristics Function
RBC (erythrocyte)
  • Life span: 120 days
  • No nucleus or cell organelles
  • Biconcave shape
  • Produces energy via glycolysis and HMP shunt
  • Contains hemoglobin
  • Transport of O2 to tissues
  • Transport of CO2 to lungs for elimination (membrane CO2 transport is mediated by Cl-/HCO3- antiporter)
  • Buffering in acid-base homeostasis: See β€œBicarbonate buffer system.”
WBC (leukocyte) Neutrophil
  • Approx. 60% of total WBC count
  • Multilobed nucleus
  • Specific granules containing LAP, collagenase, lactoferrin, lysozyme
  • Azurophilic granules (lysosomes) containing myeloperoxidase, proteinases, acid phosphatase, Ξ²-glucuronidase
  • Acute inflammatory response
  • Phagocytosis (esp. bacteria)
Eosinophil
  • 1–3% of total WBC count
  • Bilobate nucleus
  • Large eosinophilic granules
  • Defense against parasitic infections (esp. helminths) mediated by major basic protein (MBP) production
  • Production of other enzymes and proteins such as histaminase, eosinophil cationic protein, eosinophil peroxidase, and eosinophil-derived neurotoxin
  • Phagocytosis of antigen-antibody complexes
Basophil
  • 0–0.75% of total WBC count
  • Dense, basophilic granules: heparin, histamine
  • Mediates allergic reaction
  • Synthesis and release of leukotrienes
Monocyte
  • 3–7% of total WBC count
  • Mononuclear cell
  • Largest type of leukocyte
  • Kidney-shaped nucleus
  • Large nongranulated cytoplasm with a ground glass appearance
  • Differentiates into macrophage
  • Phagocytosis
Lymphocyte
  • 25–33% of total WBC count
  • Mononuclear cell
  • Round, densely staining nucleus
  • Small pale cytoplasm
  • Include T cells (∼ 80%), B cells (∼15%), and natural killer (NK) cells (the remainder)
  • T cells: adaptive (cellular) immune response
    • Differentiate into
      • Cytotoxic T cells (possess CD8 receptor interacting with MHC I)
      • Helper T cells (possess CD4 receptor interacting with MHC II)
      • Regulatory T cells (express CD4, CD25, and FoxP3)
  • B cells: adaptive (humoral) immune response
    • Differentiate into plasma cells β†’ antibody production
    • Can act as APCs
  • NK cells: innate immune response
Thrombocyte
  • Life span: 8–10 days
  • Anucleate cytoplasmic discs derived from megakaryocytes
  • Contains
    • Dense granules: ADP, Ca2+
    • Ξ± granules: vWF, fibrinogen, fibronectin
  • Approx. β…“ stored in the spleen
  • Primary hemostasis (endothelial injury β†’ aggregation with other platelets and interaction with fibrinogen β†’ platelet plug)
Blood cells in peripheral tissue
Macrophage
  • Different in each tissue type (e.g., Kupffer cells in the liver, histiocytes in connective tissue)
  • Activated by Ξ³-interferon
  • Phagocytosis of bacteria, senescent RBCs, and cellular debris
  • Antigen presentation (MHC II)
Mast cell
  • Originates from basophils
  • Basophilic granules: heparin, histamine
  • Mediates allergic reaction
  • Binds Fc portion of IgE to membrane β†’ mast cell degranulation β†’ release of histamine, heparin, tryptase, and eosinophil chemotactic factors
Dendritic cell
  • May derive from myeloid or lymphoid precursors [6]
  • Expresses MHC II and Fc receptor
  • Dendritic cells in the skin are referred to as Langerhans cells.
  • Phagocytosis
  • Antigen-presenting cell (APC)
  • Links innate and adaptive immune response
Plasma cell
  • Originates from B lymphocytes
  • Eccentric nucleus
  • Chromatin with clock face appearance
  • Abundant rough endoplasmic reticulum
  • Well-developed Golgi apparatus
  • Does not circulate in peripheral blood
  • Production of antibodies specific to a particular antigen

Never Let Monkeys Eat Bananas: Neutrophils > Lymphocytes > Monocytes > Eosinophils > Basophils.

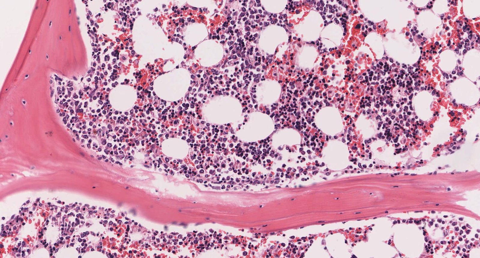
Bone marrow [2][7]

  • Definition
    • Spongy, soft tissue that fills the hollow spaces within the cancellous bone
    • Contains hematopoietic stem cells and stromal cells
  • Function
    • Hematopoiesis (main function of bone marrow)
    • Filters aging RBCs
    • Houses immune cells (e.g., plasma cells)
Types of bone marrow
Characteristic Red marrow Yellow marrow
Location
  • Flat bones (e.g., sternum, skull, vertebrae, scapulae, and pelvic bones)
  • Metaphysis and epiphysis of long bones
  • Shaft and diaphysis of long bones (e.g., femur, tibia, humerus)
Function
  • Hematopoiesis
  • Red marrow gradually turns into yellow marrow with age.
  • Not hematopoietic but can transform into red marrow (e.g., in chronic hypoxia, severe blood loss) [8][9]
Composition
  • Hematopoietic compartment
    • Hematopoietic stem cells (organized in hematopoietic cords)
    • Vascular compartment
      • Red marrow is highly vascularized.
      • Numerous sinusoids drain into a central longitudinal vein.
      • Branches of nutrient arteries penetrate the bone cortex and enter the medullary cavity to provide blood supply to the phagocyte-lined venous spaces (sinusoids).
  • Stroma: contains stromal cells (see below) and reticular fibers that support the hematopoietic compartment
  • Fatty tissue embedded within reticular stroma

Stromal cells of the bone marrow [2][7]

Cells of the stromal compartment of bone marrow are not hematopoietic themselves, but they play a critical role in maintaining and regulating hematopoiesis (e.g., by removing potentially harmful cells and substances).

  • Adventitial reticular cells
    • Divide the bone marrow into islands of hematopoietic cells
    • Accumulate fat: can transform red marrow into yellow marrow
  • Mesenchymal stem cells
    • Pluripotent stem cells
    • Can differentiate into macrophages, adipocytes, fibroblasts, osteoblasts, osteoclasts, chondrocytes, myocytes, or endothelial cells
    • Secrete stimulating factors required for hematopoiesis
  • Macrophages: : located around sinusoids, in the extravascular surface of the marrow

Hematopoiesis (blood cell production) [2]

  • Definition: Hematopoiesis is the process by which multipotent hematopoietic stem cells differentiate into either myeloid or lymphoid precursor cells and, eventually, into mature blood cells. ; [2]
    • Myeloid precursor cells develop into erythrocytes, granulocytes, or megakaryocytes.
    • Lymphoid precursor cells develop into lymphocytes or natural killer cells
    • Hematopoietic stem and progenitor cells express the transmembrane protein CD34 (used as a marker to identify and enrich hematopoietic stem cells in bone marrow transplantation). [10]
    • Dendritic cells may derive from myeloid or lymphoid precursors. [6]
  • Location
    • Before birth: yolk sac, spleen, liver
    • After birth
      • Bone marrow
      • Potentially spleen and liver, e.g., in the case of severe chronic anemia and some hematological malignancies (e.g., Hodgkin lymphoma)

Growth factors for hematopoiesis [1][2]

  • Hematopoietic growth factors influence the differentiation and maturation of blood cells in all stages of their development.
  • Some interleukins (e.g, IL-3, IL-6) also act as hematopoietic growth factors. See β€œCytokines and eicosanoids” for more information.
Overview of hematopoietic growth factors
Growth factor Produced by Function
Stem cell factor(SCF)
  • Stromal cells of the bone marrow
  • Promotes hematopoiesis
Granulocyte-monocyte colony-stimulating factor (GM-CSF)
  • Endothelial cells and T cells
  • Promotes mitosis, differentiation, and activity of granulocyte-monocytecolony-forming units (CFU-GM), stem cells that develop into granulocytes and monocytes
  • Therapeutic use: sargramostim (synthetic recombinant drug)
    • Treatment of neutropenia following chemotherapy or radiation therapy
    • Myeloid reconstitution after bone marrow transplantation
    • Myelodysplasia
    • Aplastic anemia
Granulocyte colony-stimulating factor (G-CSF)
  • Endothelial cells and macrophages
  • Promotes mitosis, differentiation, and activity of granulocytecolony-forming units (CFU-G), stem cells that develop into mature granulocytes
  • Promotes neutrophil activity
  • Therapeutic use: filgrastim (synthetic recombinant drug)
    • Treatment of neutropenia following chemotherapy, radiation therapy, or chronic neutropenia
    • Stimulates granulocyte precursors and thereby promotes bone marrow recovery and normalization of WBC count
Macrophage colony-stimulating factor (M-CSF)
  • Endothelial cells and macrophages
  • Promotes mitosis, differentiation, and activity of monocyte colony-forming units (CFU-M), stem cells that develop into macrophages
Erythropoietin (EPO)
  • Fibroblast-like interstitial cells surrounding the peritubular capillaries of the kidneys and hepatocytes
  • Promotes erythropoiesis in the bone marrow by stimulating erythrocyte colony-forming units (CFU-E)
  • Therapeutic use: recombinant EPO analogs, e.g., epoetin alfa
    • Used to treat anemia (e.g., anemia of chronic kidney disease, anemia of myelodysplastic syndromes, chemotherapy-induced myelosuppression, anemia in individuals with AIDS)
    • Can be abused to increase athletic performance (blood doping)
    • Adverse effects: ↑ risk of thromboembolism; ↑ risk of hypertension
Thrombopoietin(TPO)
  • Mainly parenchymal cells and sinusoidal endothelial cells of the liver
  • Also proximal convoluted tubule cells of the kidney [11]
  • Promotes thrombopoiesis by stimulating megakaryocyte colony-forming units, stem cells that give rise to platelets
  • Therapeutic use: used to stimulate platelet production to correct low platelet count (e.g., in autoimmune thrombocytopenia)
    • Romiplostim (fusion protein analog)
    • Eltrombopag (thrombopoietin receptor agonist)

RomiPLoSTIM STIMulates PLatelets. SarGRaMoSTIM STIMulates GRanulocytes and Monocytes.

Erythropoiesis (RBC production) [2]

  • Location
    • During embryogenesis/fetal development
      • Week 3–8: yolk sac [12]
      • Week 6–birth: liver [12]
      • Week 10–28: spleen [13]
      • After week 18: red bone marrow [14]
    • After birth: red bone marrow
      • In children: diaphyses of long bones (e.g., femur, tibia)
      • In adults: mainly plain bones (pelvis, cranium, vertebrae, sternum) and metaphyses of long bones [15]
  • Duration: approx. 1 week (production and maturation)
  • Regulation: primarily EPO, along with other hematopoietic growth factors, including GM-CSF, stem cell factor, and IL-3
  • Stages
    • In bone marrow
      1. Hematopoietic stem cell (erythroid progenitor cell)
      2. Proerythroblast: large cells with basophiliccytoplasm and a large nucleus
      3. Erythroblast: smaller nucleus than proerythroblasts; no nucleoli
      4. Normoblast: increasingly acidophilic cytoplasm with a compact nucleus
      5. Reticulocyte: acidophilic cytoplasm with granules composed of cytoplasmicribosomal RNA (enabling reticulocytes to be stained with methylene blue)
    • In blood
      1. Reticulocytes are released into the blood.
        • The peripheral reticulocyte count reflects erythropoietic activity.
          • Increased reticulocytes indicate increased erythropoiesis (e.g., due to hemolysis).
          • Decreased reticulocytes indicate decreased erythropoiesis (e.g., due to aplastic anemia).
      2. After 1–2 days, reticulocytes mature into erythrocytes.

To recall the sequence of prenatal erythropoiesis sites, think Young Livers Synthesize Blood: Yolk sac, Liver, Spleen, Bone marrow.

RBC morphology and physiology

  • For the information about the structure and function of RBCs, see β€œErythrocyte morphology and hemoglobin.”
  • For associated laboratory values, see β€œHematological parameters” in β€œLaboratory medicine.”
  • Leukocytes are classified into two cell lines:
    • Myeloid cell line: granulocytes, mast cells, and monocytes
    • Lymphoid cell line: lymphocytes
  • For more information on WBC count and its abnormalities, see β€œHematological parameters” in β€œLaboratory medicine.”

Myelopoiesis [1][2]

  • Definition: the process by which granulocytes, monocytes, and mast cells develop from myeloid precursor cells
  • Location: bone marrow
  • Duration: 6 days [16]
  • Stages of development
    • Granulocytes (granulopoiesis) : pluripotent hemopoietic stem cell β†’ common myeloid precursor cell β†’ myeloblast β†’ promyelocyte β†’ eosinophilic, neutrophilic, or basophilic myelocyte β†’ metamyelocyte β†’ band cell β†’ granulocyte (eosinophil/neutrophil/basophil)
    • Monocytes: pluripotent hemopoietic stem cell β†’ common myeloid precursor cell β†’ myeloblast β†’ monoblast β†’ promonocyte β†’ monocyte
    • Mast cells: pluripotent hemopoietic stem cell β†’ common myeloid precursor cell β†’ mast cell

Granulocytes [1][2][17][18][19]

  • Granulocytes make up the largest portion of WBCs: 1,500–8,500/mm3. [20]
  • An increase (granulocytosis) or decrease (granulocytopenia; see β€œAgranulocytosis”) usually contributes the most to changes in the total WBC count (see β€œLeukocytosis” and β€œLeukopenia”).
  • See also β€œHematological parameters” in β€œLaboratory medicine.”
Types of granulocytes
Cell Characteristics Function Causes of increase Causes of decrease
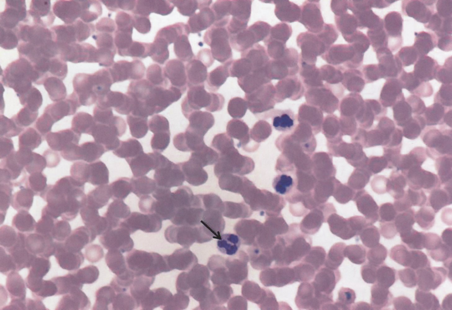
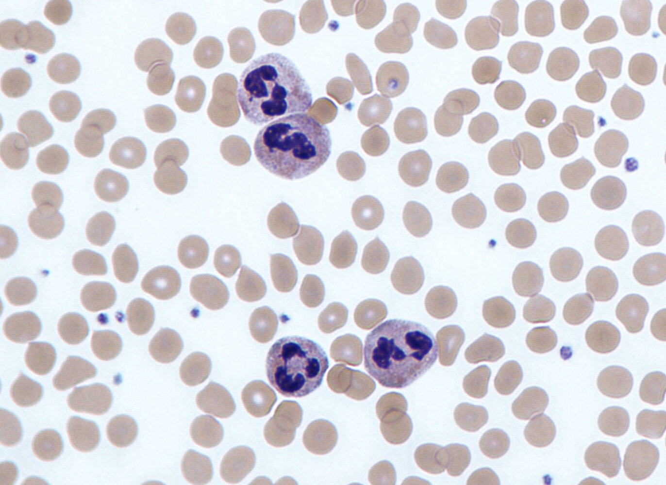
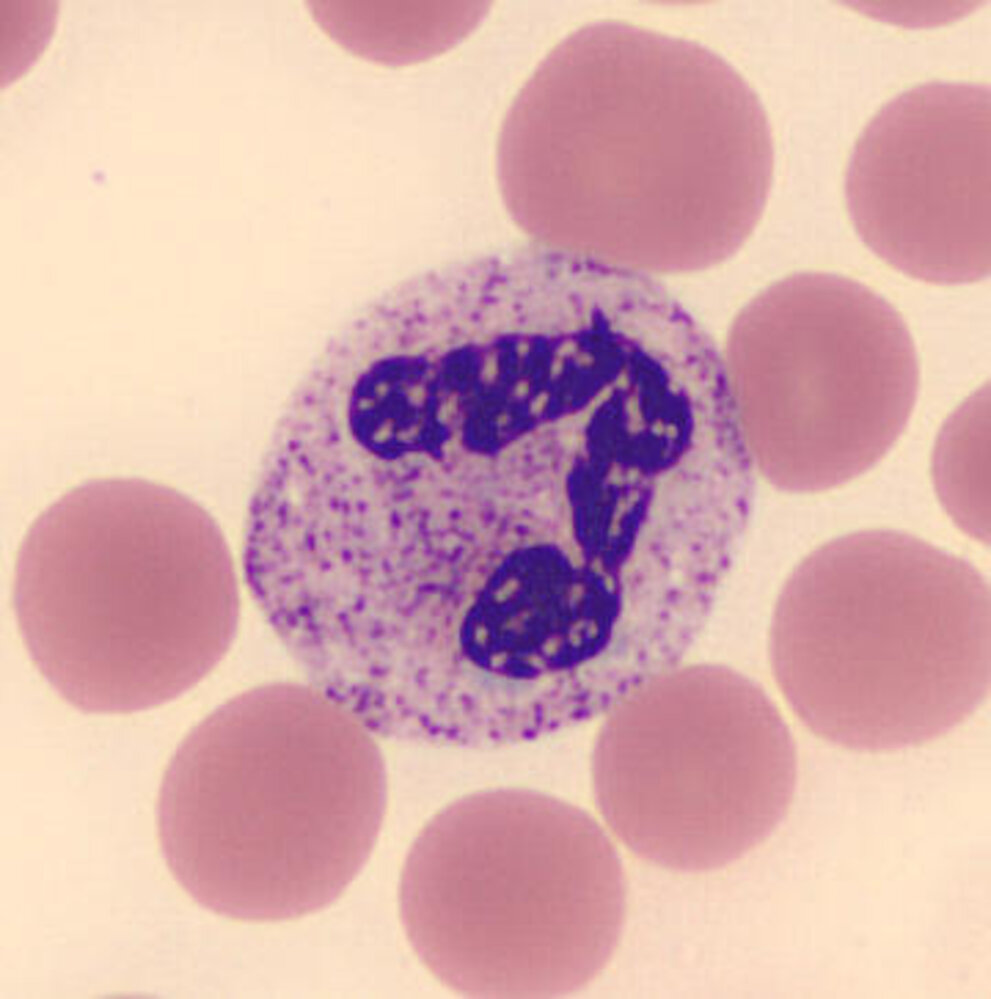
Neutrophil granulocyte
  • Reference range: 54–62% of all leukocytes in WBC count
  • Diameter: ∼ 12 ΞΌm
  • Half-life: 6–8 hours [16]
  • Maturation: Band neutrophils (immature) develop into segmented neutrophils (mature) over the course of 4–5 days.
  • 5-HPETE, LTB4, IL-8, C5a, kallikrein, and platelet-activating factor attract neutrophils to the site of inflammation.
  • Inflammation results in:
    • Left shift
    • Toxic granulation (coarse, dark blue granules located in the cytoplasm)
    • DΓΆhle bodies (light blue cytoplasmic inclusions)
    • Toxic vacuolation
  • Migrate to inflammation sites (chemotaxis)
  • Identification, destruction, and phagocytosis of extracellular pathogens (e.g., bacteria, fungi)
  • See β€œNeutrophilia.”
  • See β€œNeutropenia.”
Eosinophil granulocyte
  • Reference range: 1–3% of all leukocytes
  • Diameter: ∼ 12 ΞΌm
  • Half-life: ∼ 1 hour [16]
  • Eosinophilic (acidophile) granules
    • Stain pink or red on H&E stain
    • Contain major basic protein (MBP), histaminase, eosinophil peroxidase, eosinophil cationic protein, and eosinophil-derived neurotoxin
  • Histamine, leukotrienes, and eosinophil chemotactic factor, secreted by mast cells, attract eosinophils to the site of inflammation.
  • Immune response to parasites
  • Migrate to inflammation sites (chemotaxis)
  • Prevention of the spread of local inflammation
    • Inactivation of proinflammatory substances (e.g., histamine, leukotriene C)
    • Phagocytosis of antigen-antibody complexes
  • See β€œEosinophilia.”
  • See β€œEosinopenia.”
Basophil granulocyte
  • Reference range: 0–0.75% of all leukocytes
  • Diameter: ∼ 10 ΞΌm
  • Half-life: ∼ 6 hours [16]
  • Basophilic granules
    • Contain histamine and heparin
    • Often obscure the nucleus
  • Surface receptors for IgE
  • Remain in the bloodstream for minutes before migrating into tissue
  • Production of leukotrienesβ†’ inflammation and allergic reaction
  • Release of histamine and heparin β†’ vasodilation and increased vessel permeability
  • Almost no phagocytic abilities
  • See β€œBasophilia.”
  • Basopenia: difficult to assess because the normal basophil count is already very low

Monocytes, macrophages, and mast cells [1][2][21]][22]

Characteristics of tissue-residing immune cells
Cell type Characteristics Function Causes of increase Causes of decrease
Monocyte
  • 3–7% of all leukocytes
  • Diameter: ∼ 5–20 ΞΌm
  • Remain in the bloodstream for only ∼ 8 hours before migrating to tissue
  • Phagocytosis and antigen presentation via MHC I and MHC II receptors
  • Migration into tissue β†’ differentiation into macrophages
  • See β€œMonocytosis.”
  • See β€œMonocytopenia.”
Macrophage
  • Monocytes migrate to tissue and differentiate into macrophages.
  • Surface receptors
    • Fc receptors (bind to the constant regions of antibodies)
    • Complement receptors (e.g., C3b receptors)
    • Chemokine receptors (e.g., CCR5, CD40)
    • Costimulation receptors (e.g., B7)
    • Pattern recognition receptors (e.g., CD14 against PAMP)
  • Tissue-specific subtypes
    • Osteoclasts (bone)
    • Kupffer cells (liver)
    • Microglia (brain and spinal cord)
    • Histiocytes (connective tissue)
    • Intraglomerular mesangial cells (kidneys)
  • Phagocytosis of pathogens, foreign bodies, and dead cells [23]
  • Antigen presentation
  • Cytokine production (e.g., TNF, IL-1)
  • Present only in peripheral tissues; therefore, their concentration in the blood cannot be determined.
  • For conditions characterized by dysfunctional macrophages, see β€œCongenital neutrophil and phagocyte disorders” in β€œCongenital immunodeficiency disorders.”
Mast cell [24]
  • Found in tissue (interstitial connective tissue, e.g., submucosa and surrounding blood vessels)
  • Not present in the blood
  • Contain basophilic granules and receptors for the Fc part of IgE antibodies (similarity to basophils)
  • Express c-Kit cell surface receptors
  • Maturation occurs in target tissue.
  • IgE antibodies bind to mast cell surfaces β†’ allergen contact triggers degranulation β†’ type 1 hypersensitivity reaction
  • Mutual stimulation of basophils and eosinophils
  • Nonimmunological mast cell degranulation
  • Systemic mastocytosis (multiorgan involvement)
  • Cutaneous mastocytosis (limited to skin)
  • N/A

Lymphopoiesis (lymphocyte production) [2][25]

  • Stages of development: pluripotent hematopoietic stem cell β†’ lymphoid progenitor cell β†’ T cell, B cell, or NK cell
  • Location of lymphopoiesis: initially in the bone marrow
    • The location of maturation depends on the cell type.
      • T cells mature in the thymus. See β€œT cell development.”
      • B cells mature in the bone marrow.
    • Mature lymphocytes migrate to secondary lymphoid organs (e.g., lymph nodes).
  • Lymphocyte maturation
    • During the lymphocyte lifecycle, several mechanisms ensure that T and B cells respond to a large variety of foreign antigens, while not reacting to self-antigens.
      1. Somatic recombination: Random recombination of gene segments coding for lymphocyte receptors enables a cell to specialize in responding to a specific antigen.
      2. Central tolerance: apoptosis induced in autoreactive cells (respond to self-antigens)
      3. Mature lymphocytes circulate through the bloodstream, migrate into tissue, and return to the blood via lymphatic vessels.
      4. Peripheral tolerance: Mature cells that respond to self-antigens become anergic (lose their function) or undergo apoptosis.
    • For more detailed information about T- and B-cell maturation and selection, see β€œAdaptive immune system.”

Lymphocyte physiology

  • Concentration (blood)
    • Reference range: 1,000–4,000/mm3 or 25%–33% of total leukocytes [19]
    • For causes of increase and decrease, see β€œLymphocytosis” and β€œLymphopenia.”
  • Function
    • Humoral immune response (B cells)
    • Cell-mediated immune response (T cells, natural killer cells)
    • Immunological memory
    • See β€œAdaptive immune system” for more information.

T lymphocytes (T cells)

  • Function: part of the acquired immune system; see β€œAdaptive immune system”
  • Surface markers
    • All mature T cells express specific surface proteins that distinguish them from other lymphocytes and allow them to recognize antigens presented by MHC molecules of antigen-presenting cells.
    • General T-cell markers: CD3, CD28, TCR
    • The difference in surface protein expression (e.g., CD4 vs. CD8) determines the specific function of T-cell subtypes.
  • Subtypes: T cells can be largely divided into CD8+ T cells (cytotoxic T cells) and CD4+ T cells (T helper cell subpopulations). See β€œT-cell subtypes.”

CD4/CD8 ratio

  • Definition: CD4+ T cell levels divided by CD8+ T cell levels
  • Interpretation
    • ↑ CD4/CD8 ratio associated with:
      • Sarcoidosis
      • Crohn disease
      • Some vasculitides and collagenases (e.g., granulomatosis with polyangiitis)
    • ↓ CD4/CD8 ratio associated with:
      • HIV
      • Extrinsic allergic alveolitis

Natural killer T cells (NKT cells) [26]

  • Features
    • Subtype of T cells
    • Share characteristics of NK cells and T cells
    • Have T-cell receptors
  • Function
    • Produce large amounts of immunomodulatory cytokines during infection or inflammation β†’ modulate immune response
    • Recognize glycolipids presented via CD1d

B lymphocytes (B cells)

  • Function: part of the acquired immune system (esp. antibody production); see β€œAdaptive immune system”
  • Surface markers include:
    • CD20
    • B-cell receptor (BCR)
  • Subtypes
    • Plasma cells: After activation, B cells differentiate into plasma cells, which produce and secrete antibodies.
    • Memory B cells: specialized plasma cells that provide a fast and specific immune response to reexposure to antigens

Natural killer cells (NK cells) [2][27][28]

  • Function
    • Part of the innate immune system [29]
    • Detection and destruction of:
      • Tumor cells
      • Cells infected with viruses (esp. HHV family)
  • Physiology
    • Can arise from both lymphoid and myeloid precursor cells [29]
    • Surface markers
      • Fc receptor (CD16): a membrane receptor protein that recognizes and binds to antibodies that have attached to pathogens
        • Mediates a phagocytic and/or cytotoxic response
        • Found on many immune cells, e.g., NK cells, neutrophils, and macrophages
      • CD56: a neural cell adhesion molecule specific to NK cells
    • Produce IFN-Ξ³ and TNF-Ξ± (proinflammatory cytokines that recruit macrophages and promote phagocytosis)
    • Stimulated by IFN-Ξ±, IFN‑β, IL-2, and IL-12
  • Mechanism of action
    • NK cells are activated under the following conditions:
      • Nonspecific activation by a signal from a hostile cell (e.g., lipid antigens that are copresented with CD1 molecule)
      • Absence of MHC Ireceptors on the hostile cell (e.g., virally infected cells that do not express MHC I due to downregulation)
    • Mechanisms for pathogen elimination
      • Induction of apoptosis, e.g., via the following enzymes:
        • Granzyme: a serineprotease secreted by NK cells and cytotoxic T cells
        • Perforin: a pore-forming protein secreted by NK cells and cytotoxic T cells
        • Perforin forms a pore for granzyme B to enter the target cell
      • Antibody-dependent cell-mediated cytotoxicity (activated by CD16-binding Fc region of bound IgG)

Thrombopoiesis (platelet production) [2]

  • Location: bone marrow
  • Duration: ∼ 1 week for production and maturation
  • Regulation: thrombopoietin
    • Secreted by liver and kidneys
    • Stimulates megakaryocyte proliferation and maturation in bone marrow (megakaryopoiesis)
  • Stages of thrombopoiesis: myeloid precursor cell β†’megakaryoblasts β†’megakaryocytes β†’platelets

Platelet physiology

  • Lifespan: 8–10 days
  • Concentration
    • Reference range: 150,000–400,000/mm3
    • The spleen stores about a third of the body's platelets, and these are not included in the platelet count.
    • Abnormal platelet count: See β€œThrombocytosis” and β€œThrombocytopenia.”
  • Function: primary hemostasis [30]
  • Platelet granules
    • Dense granules: ADP, Ca2+, serotonin, histamine
    • Alpha granules: vWF, fibrinogen, fibronectin, platelet factor 4