Guest Mode
AMBOSS Articles/ Obstetrics > Gynecology > Neoplastic Disorders

Benign and Premalignant Lesions of the Endometrium

Endometrial hyperplasia is an abnormal proliferation of the endometrium caused by increased estrogen stimulation. It manifests with abnormal uterine bleeding (AUB) or postmenopausal bleeding (PMB) and is classified as endometrial hyperplasia without atypia, which is benign; and endometrial hyperplasia with atypia (endometrial intraepithelial neoplasia; EIN), which is premalignant. Endometrial hyperplasia is a histopathologic diagnosis based on endometrial sampling and histopathology. Endometrial hyperplasia without atypia is treated with progestin therapy (i.e., levonorgestrel IUD or oral progestins). Total hysterectomy is preferred for EIN because of the high risk of concurrent endometrial cancer or progression to endometrial cancer. Progestin therapy with close surveillance may be considered for patients who desire future fertility.

Endometrial polyps are localized overgrowths of endometrial tissue and mainly affect postmenopausal individuals. Though usually asymptomatic, endometrial polyps can cause abnormal vaginal bleeding and, in premenopausal individuals, infertility. Diagnosis is typically made with transvaginal ultrasound (TVUS) and/or hysteroscopy. Treatment involves watchful waiting in asymptomatic premenopausal patients and surgical removal in symptomatic premenopausal patients, all postmenopausal patients, and patients with risk factors for malignant endometrial polyps.

  • Endometrial hyperplasia is an abnormal thickening of the uterine lining caused by the proliferation of endometrium due to estrogen stimulation and insufficient progestin stimulation.
  • Risk factors for endometrial hyperplasia are the same as risk factors for type I endometrial cancer. [1]

Clinical features

Abnormal vaginal bleeding is the defining symptom of endometrial hyperplasia. See:

  • Clinical features of AUB (e.g., intermenstrual bleeding)
  • Postmenopausal bleeding (PMB)

Diagnosis [1][2]

  • The diagnostic workup for suspected endometrial hyperplasia follows the same approach as diagnostics for endometrial cancer.
  • Endometrial hyperplasia is confirmed on histopathology findings of endometrial sampling; see ā€œIndications for endometrial sampling.ā€

Endometrial hyperplasia is a histopathologic diagnosis. Endometrial sampling should be performed in all patients (postmenopausal or of childbearing age) with abnormal vaginal bleeding and risk factors for endometrial cancer to evaluate for EIN or endometrial cancer. [3][4][5]

Postmenopausal individuals [4]

  • Patients with PMB
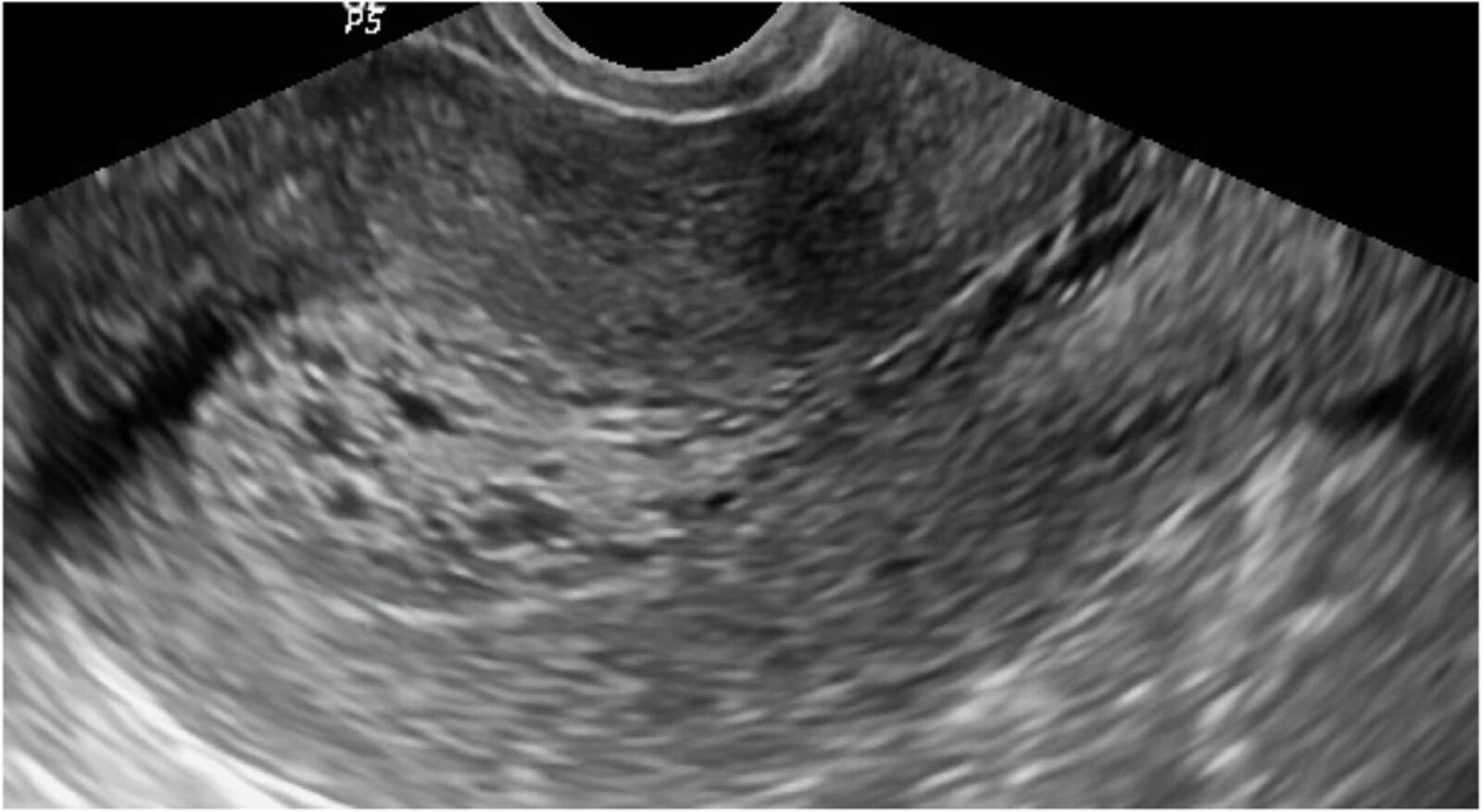
    • Endometrial thickness > 4 mm on TVUS suggests endometrial hyperplasia or endometrial cancer. [2][4][6][7]
    • Diagnosis is confirmed on endometrial sampling and histopathology.
    • See ā€œDiagnostic workup for PMBā€ for a detailed approach.
  • Incidentally detected endometrial thickness > 4 mm (asymptomatic individuals)
    • Routine evaluation is not required.
    • Tailor further management based on risk factors for endometrial cancer.

Reproductive-aged individuals

  • Endometrial thickness alone is an unreliable indicator of an endometrial pathology.
  • Diagnosis is confirmed on endometrial sampling performed as part of the diagnostic workup for AUB.

Histopathology findings

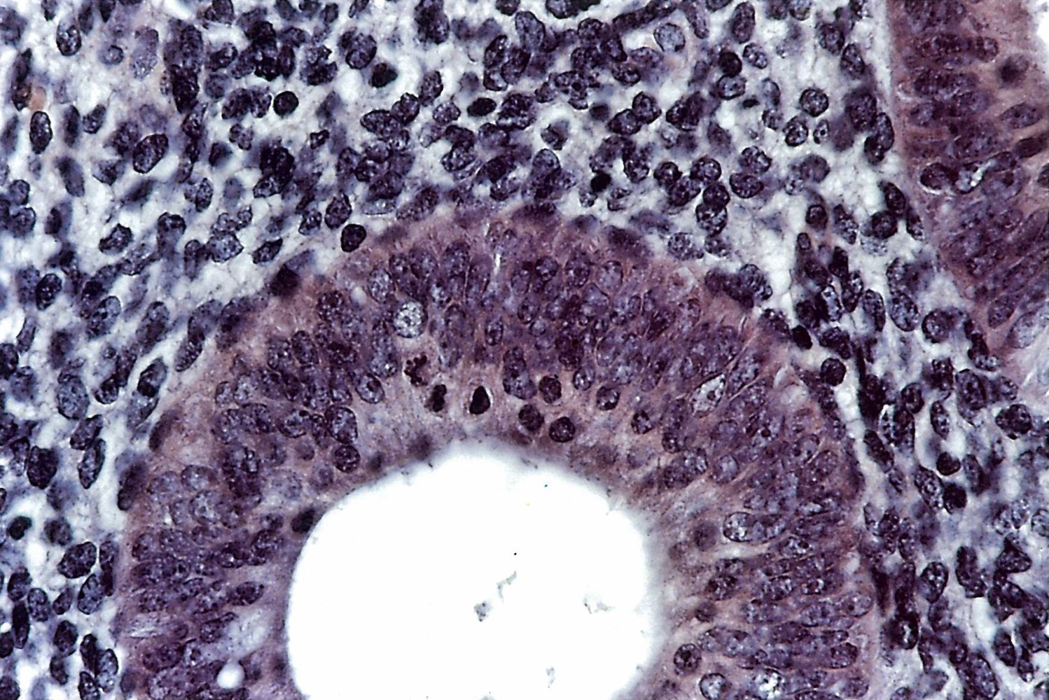
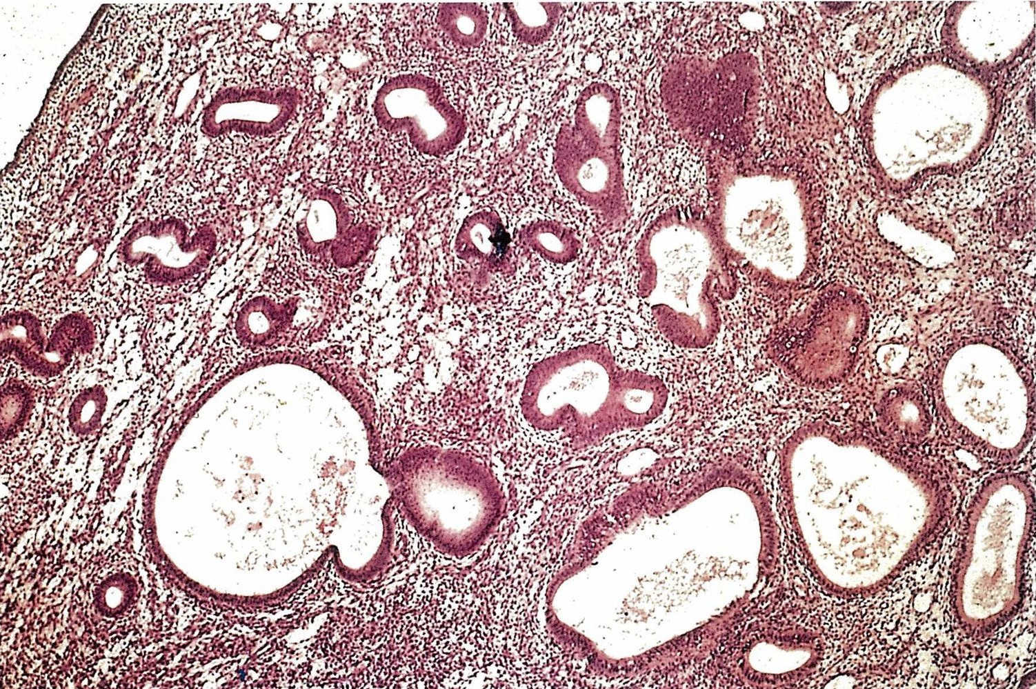
Classification of endometrial hyperplasia based on histology (WHO 2014) [8]
Endometrial hyperplasia without atypia (benign endometrial hyperplasia) Endometrial hyperplasia with atypia (endometrial intraepithelial neoplasia; EIN)
Histology
  • Simple endometrial proliferation with a few cysts
  • Enlarged, dilated mucous membrane glands (Swiss cheese pattern) located between abundant stromal tissue
  • Lack of cytological atypia
  • Pronounced proliferation of glandular tissue
  • Glands are positioned back-to-back with no separating stroma
  • Clonal, atypical cells with extensive mitosis and loss of cell polarity
Risk of carcinoma
  • Low (1–3%)
  • Very high risk of endometrial carcinoma
    • ∼ 30% risk of progression to endometrial cancer within a year [1]
    • Up to 50% of patients have concurrent invasive endometrial cancer. [9][10][11]

Endometrial intraepithelial neoplasia (EIN) is a precursor for endometrial cancer. Endometrial intraepithelial carcinoma (EIC) is a distinct entity and is a precursor for papillary serous uterine cancer. [1]

Differential diagnoses

  • Endometrial cancer [4]
  • Endometrial atrophy [4]
  • Other causes of AUB
  • Other causes of PMB

Management [1][9]

  • The choice of treatment depends on the presence of atypia and if future fertility is desired.
  • In all patients, reversible causes of excess estrogen should be identified and treated.

Endometrial hyperplasia without atypia [12][13][14]

  • Progestin therapy
    • Preferred management for all patients [12]
    • Options
      • Levonorgestrel IUD (off-label) [15]
      • Continuous oral progestins, e.g., medroxyprogesterone acetate (off-label) [12][14]
    • Further management: Repeat endometrial sampling to assess treatment response after 3–6 months of treatment. [12]
  • Surveillance with repeat endometrial sampling
    • Indications
      • Patients with contraindications to progestins
      • Patient preference
    • Spontaneous regression is seen in ∼ 75% of patients. [12][14]
    • Advise patients to promptly follow up with their treating physician if they experience abnormal vaginal bleeding during conservative management.

Endometrial hyperplasia with atypia (EIN) [1][9][16]

Refer patients to gynecology or gynecologic oncology for evaluation and management.

  • Total hysterectomy with or without bilateral salpingo-oophorectomy [1][9]
    • Definitive management for EIN
    • Indications
      • All postmenopausal patients
      • Premenopausal patients not desiring future pregnancy
  • Progestin therapy with surveillance [1][9][16]
    • Concurrent endometrial cancer must first be ruled out, preferably with hysteroscopic-guided endometrial sampling. [9]
    • Indications
      • Patients who cannot undergo or decline hysterectomy
      • Premenopausal patients who want to preserve fertility
    • Options
      • Levonorgestrel IUD and/or continuous oral progestin (e.g., megestrol acetate, medroxyprogesterone acetate)
      • There is no consensus on optimal dosing and duration of treatment; consult specialists.
    • Follow-up (with treating specialist)
      • Endometrial sampling within 3–6 months of treatment to assess response [1][9][16]
      • Consider long-term progestin therapy for patients with ongoing risk factors for endometrial cancer. [9]
      • Advise patients to promptly follow up with their treating physician if they experience abnormal vaginal bleeding during conservative management.

Total hysterectomy is the definitive management for EIN. Progestin therapy is an alternative treatment option in select patients if concurrent endometrial cancer has been ruled out. [9]

Prevention [1]

  • Screening for endometrial hyperplasia in asymptomatic individuals is not recommended.
  • Primary prevention measures are the same for endometrial cancer; see ā€œPrevention of endometrial cancerā€ for details.

Obesity is a major potentially modifiable risk factor for endometrial hyperplasia and endometrial cancer. [1][9]

Do not prescribe unopposed estrogen to a patient with an intact uterus. [17][18]

Definition [19][20]

  • Focal overgrowth(s) of benign endometrial tissue
  • Localized within the uterine wall, extends into the uterine cavity
  • Can be pedunculated or sessile, single or multiple, and up to many centimeters in size
  • May contain smooth muscle cells and/or blood vessels
  • Expresses both estrogen and progesterone receptors (estrogen may stimulate growth)

Etiology

The exact etiology is not clear. Risk factors for endometrial polyps include: [19][20]

  • Hypertension
  • Tamoxifen
  • Older age
  • Postmenopausal status
  • Hyperestrogenic conditions
    • Obesity
    • PCOS
    • Estrogen-secreting ovarian sex cord-stromal tumor
    • Chronic liver disease
    • Late menopause
  • Hormone replacement therapy [19]

Clinical features [19][21]

  • Usually asymptomatic
  • Symptoms in premenopausal individuals
    • Abnormal uterine bleeding (most common symptom) [20]
    • Infertility [22]
    • Recurrent pregnancy loss
  • Symptoms in postmenopausal individuals: postmenopausal bleeding or spotting

Diagnostics [3][7]

See ā€œDiagnostics for AUB,ā€ ā€œDiagnostics for infertility,ā€ and ā€œDiagnostics for PMB.ā€ as needed.

  • TVUS with color Doppler ultrasound ; [7][23]
    • First-line imaging for suspected endometrial polyp(s)
    • Findings include: [19][24]
      • Focal, homogeneous, echogenic endometrial mass with preserved endometrial-myometrial interface
      • Distortion of the usual endometrial contour (interrupted mucosa sign)
      • A single blood vessel supplying a polyp may be visible with color Doppler ultrasound [7]
  • Additional studies for inconclusive TVUS findings [7][20]
    • Hysteroscopy [3][21]
    • Sonohysterography [3]

MRI pelvis with IV contrast is not a routine imaging modality to evaluate for endometrial polyps but it may be considered if there is concern for malignancy or if transvaginal access (e.g., for hysteroscopy) is not feasible. [3][7][23]

Blind endometrial biopsy may rule out differential diagnoses (e.g., endometrial hyperplasia, endometrial carcinoma) but is not recommended for the evaluation of focal lesions of the uterine cavity, such as endometrial polyps. [19][20][25]

Differential diagnoses

  • Endometrial hyperplasia
  • Endometrial carcinoma
  • Uterine leiomyoma
  • Other causes of AUB
  • Other causes of PMB

Treatment [19][20]

Management is based on symptoms and risk factors for malignant endometrial polyp(s).

Observation and follow-up

  • Indicated in asymptomatic premenopausal patients without indications for polypectomy
  • Consider repeat imaging in 6–12 months if risk factors for type I endometrial cancer develop. [19]
  • Spontaneous regression occurs in ∼ 25% of lesions; smaller lesions (≤ 1 cm) are more likely to regress. [19]

Hysteroscopic polypectomy

Referral to OB/GYN for consideration of polypectomy is indicated in the following situations.

  • Patients with risk factors for malignant endometrial polyp(s), i.e.: [19][20]
    • Premenopausal patients with AUB
    • Postmenopausal patients (with or without symptoms)
    • Tamoxifen therapy
    • Age ≄ 60 years
    • Risk factors for endometrial cancer
  • Premenopausal patients with infertility and/or recurrent pregnancy loss [19][20][21]
  • Large polyps (e.g., ≄ 1 cm)

AUB, postmenopausal status, and tamoxifen use are the major risk factors for malignant endometrial polyps. [19]

Hysteroscopic polypectomy is indicated in symptomatic premenopausal patients, all postmenopausal patients, and patients with other risk factors for malignancy. [19][20]

Prognosis [19]

  • ∼ 0.5–5% of endometrial polyps are premalignant or malignant.
  • The risk increases with menopause, age ≄ 60 years, and/or tamoxifen use.