Guest Mode
AMBOSS Articles/ Urology > Neoplastic Disorders

Benign Prostatic Hyperplasia

Benign prostatic hyperplasia (BPH) is a nonneoplastic glandular and stromal hyperplasia of the transition zone of the prostate. It is a common disorder, affecting ∼ 40% of the male population by the age of 50 years. Although the underlying etiology of BPH has not been conclusively established, sex hormones likely play a key role. BPH typically manifests as lower urinary tract symptoms (LUTS), which includes features of bladder irritation (urinary frequency, urgency, urge incontinence), features of bladder outlet obstruction (urinary hesitancy, straining to urinate, sensation of incomplete voiding), and hematuria. The initial workup comprises standardized questionnaires to assess symptom severity, physical examination including digital rectal examination (DRE), urinalysis, a voiding diary, and, in select patients, serum prostate-specific antigen (PSA) analysis. DRE may reveal a smooth, enlarged, nontender, and firm prostate. Imaging and urodynamic studies are indicated in patients with features of complicated LUTS and to guide management. Behavioral modifications (e.g., fluid restriction at night, bladder training) are advised in all patients with LUTS caused by BPH and may be the only management required in patients with minimal symptoms. Pharmacotherapy, such as alpha blockers, 5-alpha reductase inhibitors (5-ARIs), and parasympatholytics, for BPH is indicated in patients with bothersome symptoms; the choice of agent depends on the size of the prostate and the predominant symptoms. Surgery, e.g., transurethral resection of the prostate (TURP), is indicated in patients with severely symptomatic BPH, those with complications due to BPH (e.g., urinary retention, recurrent UTIs, hydroureteronephrosis), and those who experience intolerable adverse effects with pharmacotherapy. In patients with BPH, the risk of developing prostate cancer is not higher than that of the general male population; therefore, standard PSA screening protocol can be followed. TURP does not reduce the risk of developing prostate cancer and, following the procedure, BPH recurs in ∼ 7% of men.

  • Benign prostatic hyperplasia (BPH): benign glandular and stromal hyperplasia of the transitional zone of the prostate
  • Benign prostatic syndrome (BPS): lower urinary tract symptoms caused by benign hyperplasia of the transitional zone of the prostate
  • Bladder outlet obstruction (BOO): any obstruction to urinary outflow from the bladder which presents with lower urinary tract symptoms and is confirmed on urodynamic testing (see β€œLower urinary tract obstruction” for causes of BOO)
  • Benign prostatic obstruction (BPO): BOO caused by BPH

Prevalence of BPH increases with age (present in ∼ 50% of men > 50 years and more than 80% of men > 80 years). [1]

Epidemiological data refers to the US, unless otherwise specified.

The etiology is not fully understood. The following factors play a role in prostatic hyperplasia and growth:

  • Hormonal factors
    • Androgens
      • Dihydrotestosterone (DHT) is a potent prostatic growth factor.
      • Gene amplification of androgen receptors (present in the glandular epithelial cells and stromal cells) β†’ increased androgen receptor sensitivity to androgens β†’ prostatic hyperplasia [2]
    • Estrogens: Estrogens (mainly estradiol) are potent stimulators of prostatic hyperplasia. [3]
    • Androgen-estrogen imbalance: As men age, testosterone levels decline, but estrogen levels remain the same, which results in a higher estrogen/testosterone ratio.
  • Stem cell proliferation and longevity: abnormal proliferation and longer prostatic stem cell life-span [4][5]
  • Genetic susceptibility: Genes involved in the development of BPH include growth factor genes, androgen-regulator genes, apoptosis genes, and androgen-regulated genes. [6]

BPH is not a risk factor for the development of prostate cancer.

  • The prostate consists of zones and lobes (see β€œProstate gland” for more information).
    • The middle transition zone/the lateral and middle prostatic lobes (periurethral lobes) are involved in development of BPH. [3]
    • The outer peripheral zone is involved in development of prostate cancer.
  • A combination of hormonal factors, stem cell proliferation and genetic susceptibility β†’ glandular and stromal hyperplasia in the transition zone β†’ formation of smooth, elastic, firm hyperplasticnodule β†’ slit-likeprostatic urethral compression β†’ BOO β†’ obstructive lower urinary tract symptoms
  • Bladder outlet obstruction leads to:
    • Detrusor overactivity (involuntary detrusor contractions during bladder filling) β†’ irritative lower urinary tract symptoms [7]
    • Weakening of the bladder wall β†’ incomplete voiding β†’ urinary stasis β†’ predisposition to urinary tract infections, acute/chronic urinary retention, and formation of bladder stones
    • Increased intracystic pressure while voiding β†’ detrusor muscle hypertrophy β†’ bladder trabeculation and pseudodiverticula formation

BPH typically manifests with features of uncomplicated lower urinary tract symptoms (LUTS), which is a nonspecific term that encompasses symptoms of bladder outlet obstruction (BOO) and bladder irritation (overactive bladder or OAB).

  • Irritative symptoms (storage LUTS; LUTS associated with OAB) [8]
    • Urinary frequency
    • Urinary urgency and urge incontinence
    • Nocturia
    • Occasionally dysuria
  • Obstructive symptoms (voiding LUTS; LUTS associated with BOO) [8]
    • Hesitancy
    • Straining to urinate
    • Poor and/or intermittent stream (not continuous)
    • Prolonged terminal dribbling
    • Sensation of incomplete voiding
    • Acute urinary retention
  • Additional symptoms: gross hematuria [9][10]
  • Digital rectal examination (DRE) findings: symmetrically enlarged, smooth (no nodules), firm, nontenderprostate with rubbery or elastic texture

To remember the symptoms of BPH, think β€œFUNWISE”: Frequency, Urgency, Nocturia, Weak stream /hesitancy, Intermittent stream, Straining to urinate, and Emptying (not emptying completely, terminal dribbling).

Approach [8][11]

Suspect BPH in patients β‰₯ 45 years of age with uncomplicated LUTS. See β€œDiagnostic approach to suspected prostate cancer” if findings from the patient's history, the examination, or diagnostics increase suspicion for prostate cancer.

  • Initial assessment: Determine if LUTS is attributable to BPH.
    • Obtain a detailed medical history and relevant physical examination, including a digital rectal examination (DRE), and urinalysis.
    • Assess for features of complicated LUTS.
    • Instruct the patient to keep a voiding diary.
    • Assess the severity of LUTS using either the IPSS or the AUA-SI scores.
  • Additional diagnostics: not routinely recommended
    • Serum PSA level: to aid selection of pharmacotherapy for BPH or if detection of prostate cancer will alter management
    • Renal function tests and imaging of the upper urinary tract: if there is clinical suspicion of renal impairment
    • Postvoid residue and uroflowmetry: in patients with suspected BOO
    • Imaging and additional urodynamic studies: Consider in the following instances.
      • Uncertain etiology
      • Features of complicated LUTS
      • Persistent symptoms despite pharmacotherapy
      • Prior to surgical treatment

Initial assessment [8][11]

History and examination

  • A thorough medical history and examination are essential to evaluate for the likely cause of LUTS.
  • Conduct DRE to identify prostatic enlargement.
  • Physical examination should also include assessment for other causes of LUTS (see β€œDifferential diagnoses of BPH”).

Voiding diary

  • All patients should be instructed to maintain a voiding diary.
  • Includes a urinary frequency-volume chart and additional information
  • Most useful for patients with predominantly storage symptoms, such as nocturia [12]

Assess for features of complicated LUTS [11]

  • Suspected prostate cancer
    • DRE findings suspicious for prostate cancer
    • Abnormally elevated prostate-specific antigen levels
    • Hematuria
  • Suspected chronic urinary retention
    • Recurrent UTIs
    • Palpable bladder
    • Risk factors for bladder disorder (e.g., neurological disorder, urethral stricture)

Symptom severity

Assess the severity of LUTS with a validated self-administered questionnaire to guide management and evaluate response to therapy. There are several symptom score questionnaires. The following are some of the most widely used.

  • International prostate symptom score (IPSS)
    • A scoring system based on the presence and severity of seven BPH symptoms in the past 30 days
    • IPSS also estimates the effect of LUTS on the quality of life.
    • Based on the final scores, BPH is graded as follows:
      • 0–7 points: mild symptoms
      • 8–19 points: moderate symptoms
      • 20–35 points: severe symptoms
  • American urological association symptom index for BPH (AUA-SI): a similar questionnaire to IPSS but does not assess the impact of LUTS severity on quality of life [13]

Laboratory studies [11][12]

Urinalysis

  • Perform for all patients with LUTS. [8]
  • Abnormal findings may warrant further evaluation, e.g., urine culture to rule out a UTI (see β€œUrine dipstick”). [12]

Serum PSA level

  • Indications (not routinely required)
    • Consider if prostate cancer is suspected in patients with a life expectancy of > 10 years who are eligible for prostate cancer treatment, if detected (see β€œProstate cancer screening”). [11]
    • To aid the selection of pharmacotherapy for BPH [11][12]
  • Findings
    • Total PSA > 1.5 ng/mL: suggests an enlarged prostate (> 40 mL) [8][12]
    • Total PSA > 4 ng/mL: increased likelihood of prostate cancer [14][15]
  • Free PSA levels and free PSA/total PSA ratio [16]
    • ↑ Free PSA levels; and ↑ freePSA/total PSAratio: usually seen in BPH
    • ↓ Free PSA levels; and ↓ freePSA/total PSAratio: suggestive of prostate cancer

Serum PSA levels are not measured routinely in patients with LUTS.

A low PSA level does not rule out prostate cancer!

Renal function tests [8][12]

  • Indications (not routinely required)
    • Clinical suspicion of renal impairment
    • Baseline levels before surgical intervention for LUTS
  • Findings: typically normal in patients with uncomplicated BPH

Urodynamic studies [8][11][17]

Urodynamic studies can help identify the predominant type of LUTS (i.e., voiding LUTS or storage LUTS). [18]

Postvoid residual (PVR) volume

PVR is a measure of urinary retention that can be assessed using a bladder scanner, abdominal ultrasound, or direct catheterization.

  • Indications [17]
    • All patients with suspected BOO.
    • Consider before treatment with antimuscarinic agents. [11]
    • Baseline reading prior to surgery
  • Findings
    • PVR volume> 50mL is usually considered abnormal [12]
    • PVR volume > 300 mL may indicate urinary retention. [18]

PVR volume measurement using a bladder scanner is a simple and quick bedside test that can be performed by nursing staff or a physician in the clinic or in the office.

Uroflowmetry [17][19]

  • Indications [8][17]
    • Consider in all patients with suspected BOO.
    • Baseline reading before surgical or medical management to assess response to therapy
  • Findings: Low maximum flow rate (Qmax) can be caused by BOO, detrusor underactivity, or an underfilled bladder. [12]

Additional studies

Consider the following in patients with BOO caused by BPH in whom conservative treatment has failed to improve symptoms.

  • Pressure-flow studies and/or video urodynamic studies: to confirm the presence of urodynamic obstruction and determine the level of obstruction [19]
  • Cystometry: can indicate OAB [19]

Imaging [18][20]

Imaging in patients with LUTS attributable to BPH is indicated to assess prostate size and morphology, if the results may affect treatment selection. Imaging may also be considered to rule out differential diagnoses or to assess for complications.

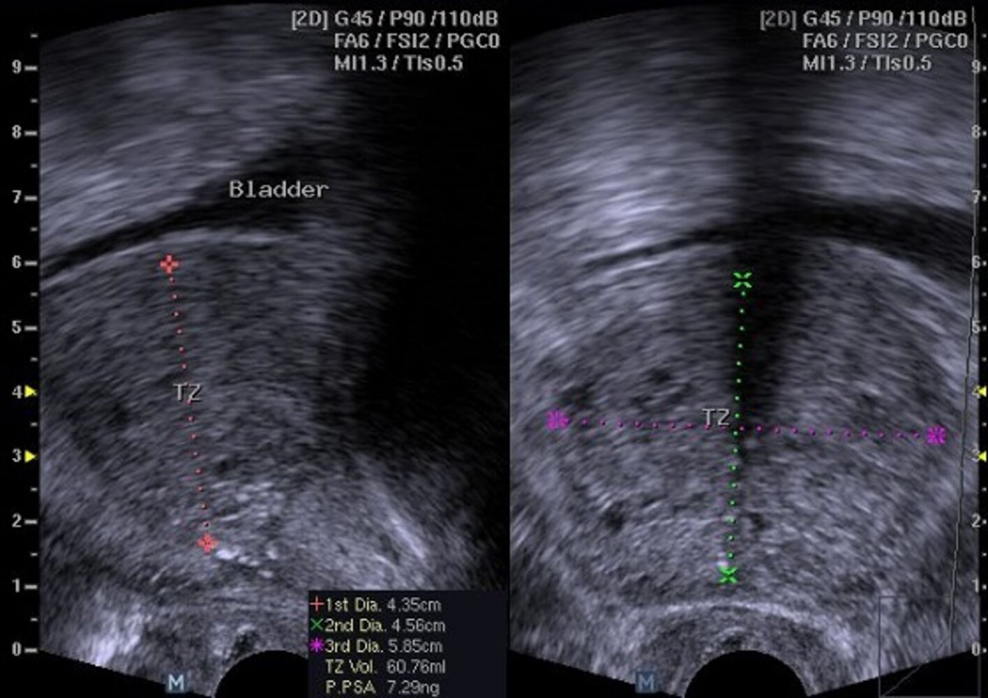
Ultrasound

  • Indications [12]
    • Ultrasound pelvis (bladder and prostate): Consider prior to initiating treatment to assess the size of the prostate and guide the choice of therapy.
    • Ultrasound of the upper urinary tract: Consider in patients with significant PVR volume, hematuria, or suspected urolithiasis.
  • Supportive findings of BPH
    • Increased total prostate volume
    • Elevated PVR volume (see β€œUrodynamic studies”) [21]
    • Evidence of BOO (e.g., bladder wall thickening, hydronephrosis)

Transrectal ultrasound (TRUS) [20][22]

TRUS is not required for the initial evaluation of LUTS attributable to BPH. [18]

  • Indications
    • Suspected prostate cancer to guide biopsy
    • To guide pharmacotherapy [12]
    • Prior to surgical intervention
  • Supportive findings of BPH: heteroechoic enlargement of the periurethral (transition) zones of the prostate

MRI and CT pelvis [17][23]

  • Commonly used for preprocedural assessment of prostate volume and localization of enlarged tissue
  • MRI can potentially differentiate BPH from prostate cancer. [24][25]

Urology referral is advised for patients with clinical features of complicated LUTS, as these can signify a primary bladder disorder and/or cancer.

Suspect prostate cancer in patients with clinical features of complicated LUTS, those experiencing constitutional symptoms such as weight loss or bone pain (which may suggest bone metastases), and those with a family history of prostate cancer or BRCA2 mutation. [23]

  • Other causes of prostatic enlargement
    • Prostate cancer
    • Prostatitis
    • Prostatic abscess
  • Other causes of LUTS
    • Bladder outlet obstruction
    • Neurogenic bladder
    • Detrusor underactivity
    • Urinary tract infection
    • Diuretic use

Reference: [8]

The differential diagnoses listed here are not exhaustive.

Approach [11]

Treatment selection should be guided by symptom severity (as determined by the AUA-SI or IPSS score) and the size of the prostate (e.g., on imaging or as estimated using serum PSA levels).

  • LUTS causing little to no bother: Consider nonpharmacological therapy (watchful waiting).
  • Bothersome LUTS attributable to BPH
    • First line: pharmacotherapy for BPH
    • Failure of initial pharmacotherapy : surgery

Patients with acute urinary retention require urgent bladder catheterization.

Nonpharmacological therapy [11][12]

Nonpharmacological measures should be advised to all patients with LUTS attributable to BPH. Watchful waiting (active surveillance) can be considered as the sole management of LUTS causing mild to moderate symptoms in a patient with no features of complicated LUTS.

  • Review of medications [26]
    • Stop or decrease the dose of nonessential drugs that can contribute to LUTS (e.g., opioids, tricyclic antidepressants, antihistamines, decongestants).
    • Alter the time of medication administration to avoid LUTS at inconvenient times or at night.
  • Dietary advice
    • Avoid excessive fluid intake before leaving the house and before bedtime.
    • Limit caffeine and alcohol intake.
    • For polyuria: Reduce overall fluid intake.
  • Education about bladder emptying techniques, such as:
    • Bladder retraining
    • Double voiding techniques
    • Urethral milking

Nonpharmacological therapy with watchful waiting may be sufficient management for patients with mild to moderate symptoms and no features of complicated LUTS. [12]

Pharmacological therapy [11]

Transurethral resection of the prostate (TURP) is the gold standard treatment of BPH. However, pharmacotherapy can delay or even prevent the need to undergo surgery and should be considered as a first-line option in all patients with uncomplicated bothersome LUTS attributable to BPH.

General considerations

  • Pharmacological therapy is indicated in patients with moderate to severe LUTS attributable to BPH.
  • The choice of medication depends on the predominant symptoms, prostate size, and serum PSA levels (see β€œPreferred first-line options” below).
  • Consider serum PSA level testing or a TRUS prior to initiation of pharmacotherapy if treatment selection is based on prostate size or volume. [12]
  • Symptomatic relief can be expected within weeks (with alpha blockers) or months (with 5-ARIs) after treatment initiation. [12]
  • Life-long medication is typically required unless intolerable adverse effects develop or the patient undergoes surgery for BPH.

Overview of medications for BPH

Pharmacotherapy for BPH [11][12]
Agent Description Agents
Alpha blockers
  • Mechanism of action
    Inhibition of Ξ±1-receptors (Ξ±1A-receptors) in the bladder neck and the prostatic urethra β†’ relaxation of the smooth muscle of the bladder neck and the urethra β†’ ↓ resistance to urinary outflow β†’ symptomatic improvement
  • Treatment outcome: symptom control [12]
  • Important consideration: Can cause intraoperative floppy iris syndrome during cataract surgery [12]
  • Tamsulosin
  • Doxazosin
  • Alfuzosin
  • Terazosin
5-alpha reductase inhibitors (5-ARIs)
  • Mechanism of action
    Inhibition of 5-alpha reductaseβ†’ ↓ conversion of testosterone to DHTβ†’ ↓ intraprostaticDHT levels β†’ ↓ prostatic growth and ↑prostaticapoptosis and involutionβ†’ improvement of LUTS [12]
  • Treatment outcomes [12]
    • Reduction of prostate volume
    • Decreased risk of acute urinary retention
  • Important considerations
    • Long-term 5-ARI treatment can reduce serum PSA levels [12]
    • Obtain baseline serum PSA level before initiating 5-ARIs.
  • Adverse effects: sexual dysfunction (e.g., erectile dysfunction, decreased libido, ejaculatory dysfunction), gynecomastia [12]
  • Finasteride
  • Dutasteride
Antimuscarinics
  • Mechanism of action
    Inhibition of parasympathetic muscarinic receptors on detrusor smooth muscle cells β†’ ↓ muscle tone β†’ symptomatic improvement of OAB symptoms; see β€œMuscarinic antagonists” [12]
  • Important consideration: Assess PVR volume before initiating antimuscarinics.
  • Tolterodine
  • Darifenacin
  • Solifenacin
  • Oxybutynin
  • Trospium
Phosphodiesterase type 5 inhibitors
  • Mechanism of action
    Increase in intracellular cGMP β†’ ↓ detrusor, prostate, and urethra muscle tone β†’ improvement of LUTS [12]
  • Tadalafil

5-ARIs are also used in the management of androgenetic alopecia in males

Preferred first-line options [11][12]

Indications Preferred agent
LUTS predominantly caused by BOO Small prostate (< 40 mL) and/or serum PSA< 1.5 ng/mL Alpha blocker [8]
Large prostate (> 40 mL) and/or serum PSA > 1.5 ng/mL 5-alpha reductase inhibitors (5-ARIs) [27]
Severe symptoms or an inadequate response to monotherapy Combination therapy: alpha blocker PLUS a 5-ARI
LUTS predominantly caused by OAB Antimuscarinic (see also β€œUrge incontinence”)
LUTS caused by mixed BOO and OAB An alpha blocker PLUS an antimuscarinic
LUTS associated with erectile dysfunction Phosphodiesterase 5 inhibitor [12]

Antimuscarinics should be used with caution in patients with a PVR volume > 250 mL as they can decrease bladder strength and potentially lead to urinary retention. [11][12]

Surgical therapy

While TURP is the gold standard therapy for BPH, other techniques may be preferred depending on prostate volume as well as anesthesia and surgical risks.

Indications [20]

  • Insufficient improvement with pharmacological therapy
  • Development of intolerable complications on pharmacotherapy
  • BPH that is causing complications (see β€œComplications of BPH”)

Transurethral resection of the prostate [20]

  • Procedure [28]
    • Resection of the hyperplastic prostatic tissue around the urethra under cystoscopic guidance using a bipolar or monopolar resectoscope
    • Constant distension and irrigation are applied to the bladder using large volumes of fluid.
  • Perioperative complications [29]
    • Bleeding (e.g., perioperative blood loss requiring transfusion, hematuria)
    • Urinary retention (e.g., due to clot retention)
    • UTI
    • TURP syndrome (a subtype of TUR syndrome): dilutional hyponatremia due to the absorption of the irrigant by the open prostatic blood vessels [30]
  • Late complications (incidence rates are shown in parentheses)
    • Sexual dysfunction: erectile dysfunction (up to 32%), retrograde ejaculation (53–75%) [20][31]
    • LUTS: transient dysuria; (up to ∼ 8%), urge incontinence (up to 2%) [29]
    • Urethral strictures (up to 4%) [29]
    • Recurrent BPH: Up to ∼ 7% of patients may need another TURP within 8 years of the initial procedure. [29]

The risk of developing prostate cancer after TURP remains the same as that of the general male population, as the peripheral zone (where prostate cancer most commonly develops) is left intact. Normal PSA screening protocols should be followed.

Other surgical treatment options [20]

  • Large prostates (> 60 g)
    • Prostatectomy (open, laparoscopic, or robotic); approaches include: [32]
      • Suprapubic transvesical prostatectomy: suprapubic enucleation of the prostate through the anterior wall of the bladder [12]
      • Retropubic prostatectomy: enucleation of the prostatic tissue through a retropubic transcapsular approach [12]
    • Laser enucleation of the prostate (LEP): holmium LEP (HoLEP) or thulium LEP (ThuLEP) [32]
  • Average (31–60 g) and small (≀ 30 g) prostates: radiofrequency-generated water thermotherapy, aquablation, prostatic urethral lift, transurethral vaporization of the prostate
  • Small prostates (≀ 30 g): transurethral incision of the prostate; (lower risk of postoperative complications compared with TURP) [33]

Retrograde ejaculation is a common complication of prostate surgery.

Adverse effects of alpha blockers include orthostatic hypotension (relevant for elderly patients who are prone to falls) and intraoperative floppy iris syndrome (relevant for patients who are due to undergo cataract surgery). [12]

Any elevation in serum PSA levels in patients receiving 5-ARI therapy should increase suspicion for prostate cancer.

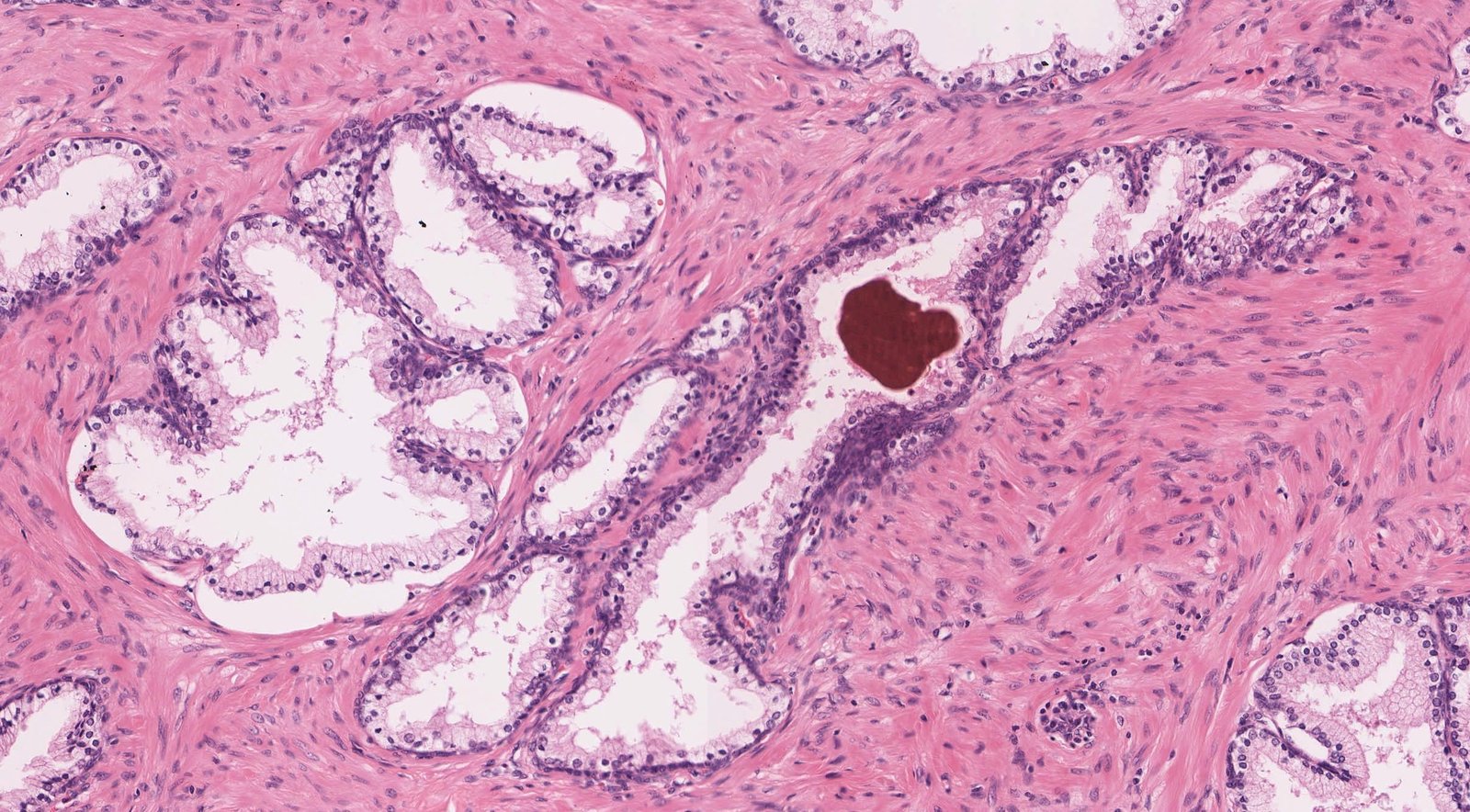
  • Differentiated prostatic cells
  • Possible corpora amylacea [34]

  • Recurrent UTI
  • Urinary retention with bladder distension and bladder wall thickening (hypertrophy)
  • Bladder calculi
  • Hydronephrosis
  • Chronic kidney disease
  • Gross hematuria

We list the most important complications. The selection is not exhaustive.