Guest Mode
AMBOSS Articles/ Internal Medicine > Cardiology and Angiology > Basics of Cardiology

Cardiac Imaging

Cardiac imaging is used to evaluate cardiac structure, function, and pathophysiology. Echocardiography is the most common cardiac imaging modality. It can evaluate cardiac structure and ventricular function and assess for abnormalities (e.g., wall motion abnormalities, thrombi, vegetations). Cardiac CT and cardiac MRI (CMR) provide high-resolution cross-sectional imaging. Radionuclide myocardial perfusion imaging uses radioactive tracers to evaluate myocardial viability, detect ischemia, and assess perfusion and left ventricular function.

Cardiac catheterization, ECG, POCUS in acute heart failure, and chest x-ray (heart) are covered separately.

Transthoracic echocardiography (TTE) [1][2]

  • Description: : noninvasive ultrasound examination of the heart (most frequently used cardiologic imaging modality)
  • Common techniques
    • Two-dimensional TTE
    • Three-dimensional TTE
    • Doppler mode
    • Stress echocardiography
    • Contrast echocardiography
  • Common uses
    • Initial evaluation of pathological heart murmurs [3]
    • Assessment of valvular function by determining: [4]
      • Average pressure gradient
      • Valve area: decreased in valvular stenosis
      • Amount of regurgitation (determined using color Doppler ultrasound): increased in valvular insufficiency
    • Assessment of myocardial contractility, e.g., in heart failure, myocardial infarction, pulmonary embolism
    • Evaluation of other pathologies, e.g., septal defects, aneurysms, thrombi, vegetations, pericardial effusions

Transesophageal echocardiography (TEE) [1][5]

  • Description
    • An ultrasound examination of the heart, coronary vessels, and thoracic aorta performed by endoscopically inserting a transducer into the esophagus
    • Allows for better visualization of posterior structures than TTE
  • Common uses
    • Valve evaluation in suspected endocarditis
    • Evaluation for a cardiac emboli source (e.g., suspected embolic stroke)
    • Exclusion of thrombi before cardioversion in patients with atrial fibrillation
    • Evaluation for aortic dissection
    • During cardiac surgeries and procedures

TEE is often preceded by TTE to determine necessity.

Cardiac CT is a radiological study that uses multidetector CT techniques to assess cardiac structure and function (e.g., chamber and valve anatomy, coronary artery calcium and/or stenosis).

Coronary artery calcium score (CAC score) [6][7][8]

  • Description: a CAD risk stratification score based on the amount of calcification in the coronary arteries on low-dose cardiac CT
  • Common uses [9][10]
    • Evaluation for CAD in selected patients
    • To guide treatment decisions regarding preventive statin therapy in asymptomatic patients with borderline or intermediate ASCVD risk

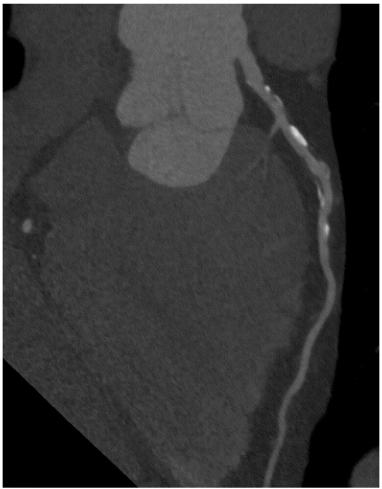
Coronary CT angiography (CCTA) [10][11][12]

  • Description: a noninvasive contrast-enhanced radiological study used to visualize the coronary arteries on cardiac CT [13]
  • Common uses
    • Evaluation for CAD in selected patients, e.g., with stable angina and intermediate to high PTP for obstructive CAD [14]
    • Assessment after revascularization
    • Evaluation of cardiac structure and function, e.g., in adult congenital heart disease, heart failure, or valvular disease

Coronary CT angiography is a noninvasive method that can be used to detect obstructive CAD in patients at low to intermediate risk and those with contraindications for stress testing.

Description [15][16]

  • A radiological study that provides high-resolution visualization of cardiac function, structure, and perfusion.
  • Respiratory and ECG gating synchronize imaging with breathing and cardiac cycles, reducing artifacts and enhancing resolution.

Modalities

  • Stress CMR
  • Cardiac MRI with late gadolinium enhancement imaging

Common uses [17][18]

  • Diagnosis of CAD [10]
  • Evaluation for structural diseases (e.g., congenital heart disease, valvular heart disease, cardiac tumors)
  • Assessment for myocarditis or other cardiomyopathies
  • Evaluation of major vessels (e.g., for aortic aneurysm or pulmonary embolism) and the pericardium (e.g., for pericardial effusion)

Description [19][20]

Radionuclide myocardial perfusion imaging is an imaging technique that uses a radioactive tracer to evaluate myocardial viability, detect ischemia, and assess perfusion and left ventricular function.

Modalities

  • Cardiac PET
  • Cardiac SPECT
  • Stress MPI

Common uses

  • Diagnosis of CAD [10]
  • Risk stratification for, e.g., cardiac mortality, cardiac events [21]
  • Assessment of myocardial viability before revascularization
  • Evaluation of treatment response in CAD