Guest Mode
AMBOSS Articles/ Surgery > Ophthalmic Surgery

Cataract

Cataract is a condition characterized by clouding of the ocular lens. Acquired cataracts are more common and most frequently occur due to age-related degenerative processes in the lens; they can also occur as a side effect to drugs or be caused by ocular trauma or metabolic disorders. Congenital cataracts may occur due to TORCH infections, disorders of metabolism, or hereditary syndromes. Congenital cataracts can be found on routine newborn red reflex evaluation; detection should be followed by a prompt referral to a pediatric ophthalmologist for further workup and management to prevent deprivation amblyopia. In adults, cataract often manifests discretely and may go unnoticed until visual impairment worsens. Diagnosis is typically established on the basis of a thorough history and direct visualization of the cataract (e.g., via slit-lamp microscopy). Surgery is indicated for patients with significant visual impairment and involves lens extraction and implantation of an artificial lens. Untreated cataracts may lead to complete blindness.

  • Leading cause of visual impairment and blindness in the world
  • Prevalence of acquired cataracts: increases with age
    • > 80 years: ∼70 %
    • 40–80 years: ∼17.5 %
  • Sex: ♀ > ♂

References:[1][2][3]

Epidemiological data refers to the US, unless otherwise specified.

Clouding of the lens may be congenital or acquired.

Acquired cataracts (> 99%) [4]

  • Age-related cataract (> 90%)
  • As a result of ocular diseases (complicated cataract)
    • Diabetes mellitus
    • Renal insufficiency (dialysis)
    • Wilson disease
    • Vitreoretinal diseases
    • Retinitis pigmentosa
    • Acute glaucoma
    • Previous retinal detachment
    • Chronic uveitis
    • Heterochromia
  • After intraocular surgeries
    • After vitrectomy (especially after silicone oil is inserted)
    • After filtration surgery in glaucoma
  • Drug-induced
    • Glucocorticoids (local and systemic)
    • Miotics (cholinesterase inhibitors)
  • Chronic alcohol and tobacco use
  • Traumatic (traumatic cataract)
    • Bruise injuries (contusion cataract)
    • Perforation injuries
  • Eye infections
  • Physically related conditions
    • Radiation (x-ray, radioactive radiation)
    • Excessive sunlight or UVB exposure
    • High-voltage current, lightning
    • Infrared radiation (glassblower's and glass worker's cataract)
  • Posterior capsule opacification (PCO; or secondary cataract): clouding of capsule sections after extracapsular cataract extraction

Congenital cataracts (< 1%) [4]

  • Hereditary congenital cataracts
  • Caused by TORCH infections (esp., rubella)
  • Associated with the following comorbidities/syndromes:
    • Galactosemia
    • Tetany (hypocalcemia)
    • Myotonic dystrophy
    • Skin diseases
    • Trisomy 21 (in early childhood)
    • Trisomy 13
    • Trisomy 18
    • Alport syndrome
    • Neurofibromatosis type 2
    • Galactokinase deficiency
    • Marfan syndrome

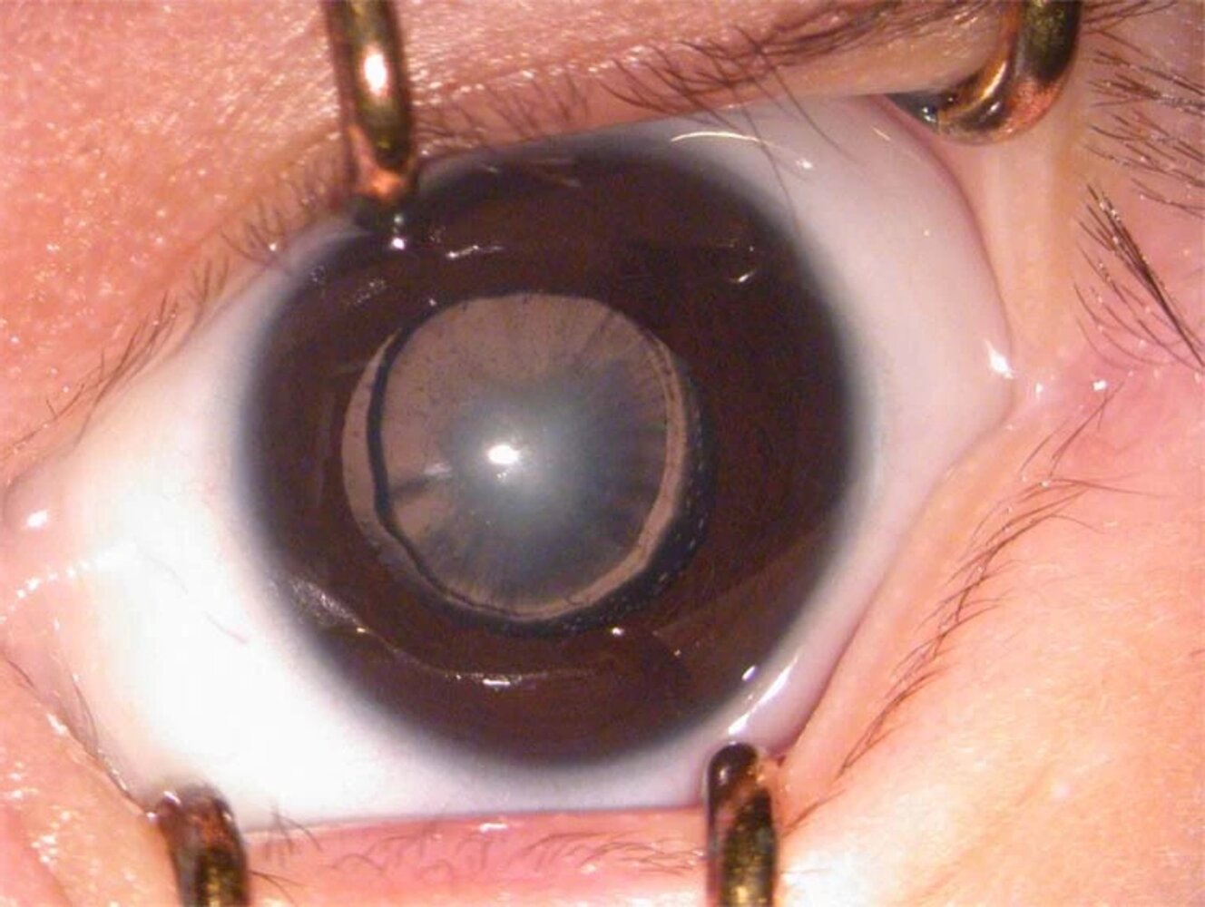
Cataracts are generally classified according to etiology (as above). Age-related cataracts can also be classified according to where they form in the lens (morphology) or how advanced they are.

  • Morphological types
    • Cortical cataract (anterior/posterior): the most common type of cataract; characteristically originates at the outer layer of the lens and grows towards the center, forming a wedge-shaped opacity
    • Nuclear cataract: a type of cataract that affects the center of the lens, appearing as a yellow-brown discoloration of this area
    • Subcapsular cataract (anterior/posterior): a type of cataract that manifests directly under the lens capsule; usually in the posterior lens (rapidly progressive) but can also occur in the anterior lens
  • Stages of progression
    • Immature cataract
      • Early stage of cataract progression
      • Red reflex is still present, allowing for visualization of the retina.
    • Mature cataract
      • Advanced stage in cataract progression
      • Red reflex is absent.
      • There is a white-yellow discoloration of the lens due to complete clouding.
      • Vision can be reduced to mere light perception.
    • Hypermature cataract
      • End stage of cataract progression
      • There is a complete white clouding of the lens due to liquification of the cortex.
      • The nucleus often sinks in the cortex and appears brown.

Acquired cataracts [4]

Clinical features usually develop gradually (especially in the case of age-related cataracts) and depend on the localization and cause(s) of lens clouding.

  • Reduced visual acuity: blurred, clouded, or dim vision, especially at night
  • Impaired vision: painless, often bilateral
  • Glare: in daylight, in low sunlight, and from car headlights; associated with halos around lights
  • Second sight: a temporary improvement in near vision; especially in patients with nuclear cataracts
  • Monocular diplopia: double vision that disappears when the affected eye is covered or shut
  • Change in color perception

Age-related cataracts are the most common cause of vision loss in older adults and can significantly affect quality of life. [6]

Congenital cataracts [4]

Congenital cataracts manifest differently than acquired cataracts.

  • Leukocoria
  • Strabismus
  • Nystagmus
  • Delay in motor skill development
  • Deprivation amblyopia

General principles [7]

  • Acquired cataracts
    • Initial assessment
      • Perform a comprehensive ocular examination on all patients with features suggestive of cataracts.
      • Evaluate for systemic disease (e.g., diabetes, hypertension) if history or examination findings are concerning.
      • Consider additional ophthalmologic tests (e.g., IOP measurement) to assess for concurrent ocular conditions.
    • Advanced studies: Refer to an ophthalmologist for specialized tests (e.g., glare testing).
  • Congenital cataracts [8][9]
    • May be identified on routine newborn red reflex evaluation
    • If congenital cataract is suspected, promptly refer to an ophthalmologist for further work-up.

Cataract is primarily a clinical diagnosis.

Ocular examination [5][6][7]

  • Visual acuity
    • May be normal in patients with early cataracts
    • Typically decreases with cataract progression
    • Cortical cataracts may manifest as hyperopia. [10]
    • Consider questionnaires (e.g., Visual Function-14) to assess the impact of decreased visual acuity on the individual's quality of life. [7]
  • Fundoscopy
    • Changes to the red reflex, including: [5]
      • Opacities (including leukocoria)
      • Darkening
      • Absent or decreased red reflex
    • Obscuration of ocular fundus detail [11]
  • Slit-lamp examination [5]
    • Common: grey, white, yellow, or brownish clouding of the lens (see also ā€œTypes of cataractsā€)
    • Traumatic cataract: rosette/stellate-shaped clouding of the lens [12]
  • Further ocular examination (e.g., visual field examination, IOP measurement)
    • Perform to rule out coexisting conditions.
    • See ā€œExamination of the eyeā€ for details.

Perform a thorough eye examination in all patients with suspected cataracts. This can help identify coexistent eye conditions, which can be present in up to ā…“ of patients and may affect treatment outcomes. [7][13]

Patients with minimal changes in visual acuity may still experience significant disability from glare with bright lights; advanced studies should be performed for these individuals.

Advanced studies [7]

  • Glare testing and visual contrast sensitivity testing
    • Used to assess the degree of visual disability when the eye is exposed to bright light
    • Perform in individuals who report experiencing significant glare [14]
  • B-scan ultrasound: to detect retinal pathology if the fundus is obscured by a dense cataract [11]
  • Optical coherence tomography: used to assess for coexisting macular disease and assist in planning surgery [15]
  • Differential diagnosis of reduced visual acuity [6]
    • Age-related macular degeneration
    • Diabetic retinopathy
    • Glaucoma
  • See also ā€œDifferential diagnosis of leukocoria.ā€

The differential diagnoses listed here are not exhaustive.

General principles

This section focuses primarily on the management of acquired cataracts.

  • Acquired cataracts [7]
    • Educate patients on ways to prevent cataract progression (see ā€œPrevention of cataractsā€).
    • If applicable, prescribe corrective lenses to minimize symptoms caused by refractive errors.
    • Consider surgery in patients for whom vision and quality of life are impacted significantly or who have other indications for surgery.
  • Congenital cataracts
    • Early surgery (i.e., within the first 8 weeks of life) is recommended for most patients with congenital cataracts. [16]
    • Cataract in galactosemia is reversible with a galactose-free diet. [17]

In most cases, definitive management of cataracts is not possible without surgery. No pharmacologic agents are available to treat cataracts.

Congenital cataracts should be surgically treated as soon as possible to prevent deprivation amblyopia. [18]

Surgery [7]

Indications

  • To improve visionin individuals with significant cataract-related visual disturbances (most common indication)
  • Cataract causing significant difference in refractive power between the two eyes
  • Preventing proper evaluation or treatment of the areas of the eye that are posterior to it (e.g., the fundus)
  • Cataract causing glaucoma (e.g., angle closure glaucoma)

Contraindications

  • Visual disturbances manageable with corrective lenses
  • Vision is not expected to improve after surgery (e.g., concurrent ocular conditions also causing vision impairment)
  • High surgical risk

Preoperative considerations

  • For bilateral cataracts requiring surgery, surgery is typically delayed in the second eye until full recovery of the first eye.
  • Bilateral cataract surgery may be performed on the same day but is associated with risks such as:
    • Bilateral postoperative complications (e.g., endophthalmitis)
    • Worse visual acuity
  • Preoperative evaluation
    • Perform a comprehensive clinical evaluation in all patients.
    • Routine preoperative medical testing is not recommended; consider in patients with significant comorbidities, e.g.:
      • COPD
      • Recent MI
      • Poorly controlled hypertension, diabetes, or CHF
  • Antiplatelet medications and anticoagulants can usually be continued without interruption in patients undergoing cataract surgery. [7]

Most patients do not require modifications to antithrombotic therapy (antiplatelet medications and anticoagulants) before cataract surgery. [7]

Surgical options

Different techniques are available and usually performed using local anesthesia.

Overview of surgical techniques for cataracts [7][19][20]
Description Characteristics
Phacoemulsification
  • Liquefaction and aspiration of the lens nucleus
  • The intraocular lens implant (IOL) is placed in the posterior chamber.
  • Small incision, sutureless surgery
  • Compared to extracapsular cataract extraction:
    • Improved visual acuity
    • Lower complication rate
    • Higher cost
  • May not be feasible for advanced cataracts
Extracapsular cataract extraction (ECCE)
  • Removal of the lens nucleus by anterior capsulotomy
  • The posterior capsule is retained.
  • The IOL is placed in the posterior chamber.
  • More cost-efficient than phacoemulsification
  • Often requires suture removal
Intracapsular cataract extraction (ICCE)
  • Removal of the entire lens (including the posterior capsule)
  • The IOL is placed in the anterior chamber or sutured to the iris
  • No longer a preferred approach
  • Compared to ECCE:
    • Larger incision
    • Slower wound healing
    • Higher rates of complications (e.g., postsurgical astigmatism) [21]
Manual small incision cataract surgery (MSICS) [22]
  • Removal of the lens through a small incision
  • The IOL is placed through the same incision.
  • Can be sutureless
  • Compared to phacoemulsification:
    • Similar improvements in visual acuity
    • Lower cost

Postoperative care and considerations [23]

  • Topical antiinflammatory agents, topical antibiotics, NSAIDs, or glucocorticoids may be prescribed postoperatively.
  • Depending on the operation performed and surgeon preference, the following may be recommended:
    • Eye protection during the first week after surgery
    • Activity restrictions for a few days following surgery
  • Patients should follow the advice of the operating surgeon on when to resume driving.
  • Assess prescription for corrective lenses as needed 4–12 weeks postoperatively depending on the type of surgery performed.
  • Blindness
  • Glaucoma: phacolytic glaucoma, angle-closure glaucoma
  • Deprivation amblyopia in congenital cataract
  • Complications after cataract surgery are rare
    • Astigmatism caused by wound incision
    • Dislocation of the intraocular lens
    • Postoperative uveitis, endophthalmitis
    • Cystoid macular edema: an accumulation of fluid at the macula in tiny cyst-like cavities within the outer plexiform layer (Henle's layer) and inner nuclear layers of the retina
    • Posterior capsule opacification (PCO; secondary cataract) after ECCE
    • Rare complications: retinal detachment, progressive Fuchs dystrophy , loss of the eye

We list the most important complications. The selection is not exhaustive.

Several measures can help prevent the development and progression of cataracts:

  • Smoking cessation (see ā€œCounseling on smoking cessationā€)
  • Management of medical conditions associated with increased cataract risk (e.g., diabetes, hypertension, obesity)
  • Avoidance of UVB radiation (e.g., wearing sunglasses, hats)
  • Wearing eye protection during activities that carry risk of penetrating eye trauma (e.g., while cutting metal or wood)