Guest Mode
AMBOSS Articles/ Family Medicine > Gastrointestinal Disorders

Dental Disorders

To see contributor disclosures related to this article, hover over this reference: [1]

Physicians may earn CME/MOC credit by searching for an answer to a clinical question on our platform, reading content in this article that addresses that question, and completing an evaluation in which they report the question and the impact of what has been learned on clinical practice.

AMBOSS designates this Internet point-of-care activity for a maximum of 0.5 AMA PRA Category 1 Credit(s)™. Physicians should claim only credit commensurate with the extent of their participation in the activity.

For answers to questions about AMBOSS CME, including how to redeem CME/MOC credit, see "Tips and Links" at the bottom of this article.

Tooth decay (dental caries) is the progressive destruction of dental tissue following enamel damage by acid-producing bacteria in dental plaque. Manifestations include dentalgia and halitosis. Diagnosis is usually clinical and can involve imaging (e.g., x-ray). Treatment often includes caries excavation and surface restoration.

Periodontal disease includes various inflammatory conditions, such as gingivitis, periodontitis, pericoronitis, and acute necrotizing ulcerative gingivitis, that affect tooth-supporting structures, including the gingiva, periodontal ligament, and/or alveolar bone. Management is based on severity but often includes oral hygiene measures, topical antiseptics, systemic antibiotics, and/or referral for dental plaque debridement.

Dental abscesses can arise from infections and/or trauma to dental pulp and/or periodontal tissue and often extend locally. Clinical features include dentalgia, gingival swelling and erythema, and purulent discharge. Signs of regional and/or systemic progression requiring urgent management include dysphagia, facial erythema, and fever. Treatment can include incision and drainage, dental extraction, and antibiotics.

Dental injuries can involve dental avulsion (complete displacement from the socket), dental subluxation and luxation (injury to the periodontal ligament, and dental fracture. Management depends on the injury type and extent and can include manual replantation or reduction, dental splinting, antibiotics, root canal, and surface restoration.

Malocclusion is a deviation from the ideal tooth position that affects dental contact during biting. It is usually asymptomatic but can cause symptoms in pronounced cases. Management includes orthodontic correction and jaw repositioning.

  • Definitions
    • Dental caries: the progressive destruction of dental tissue following damage to the enamel by acid produced by bacteria in dental plaque
    • Pulpitis: inflammation of the dental pulp [4]
  • Epidemiology
    • Prevalence of untreated dental caries
      • Children 5–19 years of age: 13.2%
      • Adults 20–64 years of age: ∼ 24%
  • Etiology
    • Pathogens: Streptococcus mutans, S. mitis, Actinomyces, Lactobacillus
    • Risk factors
      • Presence of specific microorganisms in dental plaque (e.g., S. mutans, Lactobacillus)
      • Patient factors include:
        • Poor oral hygiene
        • High-sugar diet
        • Xerostomia, e.g., due to Sjogren syndrome
  • Pathophysiology: oral bacteria metabolize carbohydrates → acid production (e.g., lactic acid) → demineralization of tooth enamel
  • Clinical features
    • Tooth pain
    • Possibly bad breath
  • Diagnostics
    • Inspection of the oral cavity with a mouth mirror: change in enamel (e.g., enamel breakdown, surface discoloration)
    • The teeth can be probed with dental instruments to check for soft areas.
    • Bitewing radiography: Carious lesions appear radiolucent.
  • Differential diagnosis
    • Dental fluorosis
    • Dental hypomineralization
    • Dental hypoplasia
  • Treatment: depends on the size and extent of the lesion
    • Very small lesion in which remineralization is still possible: The application of fluoride gel, varnishes, pit, and/or fissure sealant usually suffices.
    • Lesions that involve hard tissues but do not involve the pulp: caries excavation and restoration of the dental surface
    • Lesions that involve both enamel and dentin in proximity to the pulp: indirect pulp capping
    • Lesions that involve enamel, dentin, and pulp: root canal treatment, followed by extracoronal restoration
  • Complications: mostly caused by inflammation of the pulp
    • Apical periodontitis
    • Periapical abscess
    • Periostitis, osteomyelitis
  • Prevention
    • Proper oral hygiene
    • Use of toothpaste supplemented with fluoride

Consists of various inflammatory conditions that affect the supporting tissues of the teeth, including the gingiva, periodontal ligament, and/or alveolar bone [4][5]

Etiology [5][6][7]

  • Caused by bacteria in dental plaque (see “Etiology” in “Tooth decay”)
  • Risk factors
    • Lifestyle factors: e.g., smoking, poor oral hygiene
    • Systemic conditions: e.g., HIV infection, diabetes
    • Gingival hyperplasia: e.g., drug-induced gingival overgrowth

Disease spectrum [4][5][6][8]

  • Gingivitis: reversible inflammation of the gums
    • Clinical features: gum swelling and erythema; bleeding with brushing and/or flossing
    • Management: Encourage smoking cessation, improved oral hygiene, and routine dental care.
  • Periodontitis: a nonreversible inflammatory condition involving the gingiva, periodontal ligament, and/or alveolar bone
    • Risk factors
      • Dental plaque, dental calculus, caries
      • Tooth positioning
      • Trauma
      • Medications (e.g., nifedipine, cyclosporine, phenytoin)
      • Systemic conditions (e.g., diabetes mellitus)
      • Puberty, pregnancy, OCPs
      • Immunocompromised state (e.g., HIV, leukemia)
    • Clinical features
      • Gingival erythema, swelling, and bleeding
      • Recession of the gingival margin
      • Halitosis
      • Increased tooth mobility
    • Management: Refer all patients to a dentist for evaluation and treatment including the removal of dental plaque and dental tartar
  • Pericoronitis: inflammation and/or infection of the gingiva at the site of tooth eruption [9][10]
    • Clinical features: pain and localized gingival swelling, typically at the site of the third mandibular molar
    • Management
      • Mild disease: antibacterial mouth rinse with chlorhexidine or with hydrogen peroxide [6][8]
      • Severe disease: systemic antibiotic treatment with penicillin OR clindamycin [4][8]
      • Refer all patients to a dentist or oral surgeon for local debridement and consideration of tooth extraction.
  • Acute necrotizing ulcerative gingivitis (ANUG): a polymicrobial gingival infection characterized by tissue necrosis
    • Clinical features
      • Gingival inflammation with white plaques, ulcerations, and bleeding
      • Fetid breath
      • Pseudomembranes may be present.
      • May extend to the tonsils and pharynx (see “Vincent angina”)
    • Management
      • Refer all patients to a dentist for evaluation and treatment including debridement and/or topical antiseptic therapy
      • Urgently consult ENT and/or oral surgery for patients with pharyngeal involvement and/or systemic symptoms (e.g., fever).

Dental infection red flags [6][10]

The following red flags suggest progression to deep tissue or systemic complications of periodontal and dental infections that require urgent management:

  • Swelling of the face, neck, and/or floor of the mouth
  • Facial erythema
  • Regional lymphadenopathy
  • Trismus
  • Difficulty swallowing or handling secretions
  • Dyspnea and/or airway compromise
  • Headache or stiff neck
  • Fever

In patients presenting with periodontal pain or bleeding, provide appropriate supportive care for periodontal disorders.

In patients with red flags for progression of periodontal infections, consider systemic antibiotics and urgent referral to surgery for management of a possible deep neck infection.

Overview

  • Definition: the accumulation of purulent fluid within the dental pulp or periodontal tissue [10]
  • Etiology [10]
    • Dental caries
    • Poor oral hygiene
    • Trauma
    • Unsuccessful root canal treatment
  • Types [4]
    • Periapical abscess
      • Most common type
      • Tooth decay or trauma → bacterial infection in the pulp of the tooth → collection of pus at the apex of the dental root
      • The infection becomes visible when it extends through the alveolar bone (e.g., via a fistula) to the surrounding tissue. [11]
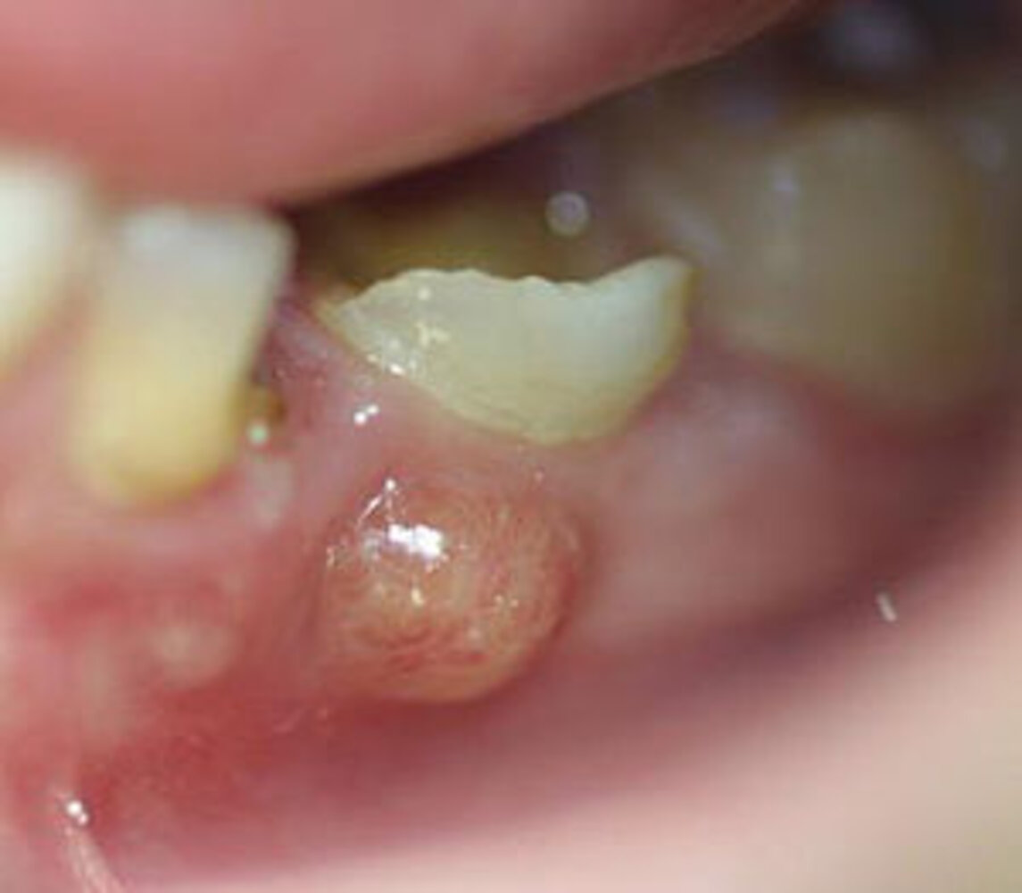
    • Periodontal abscess
      • Second most common type
      • Periodontitis or impaction of foreign objects (e.g., food, dental floss) → bacterial infection deep in the periodontal pocket → collection of pus between the teeth and gingiva
      • The affected tooth may be mobile.

Periodontal abscesses originate in the periodontal tissue; the tooth itself may be healthy. Periapical abscesses originate in the dental pulp and always involve the tooth.

Dental infections can spread locally to the gums and alveolar bone and to regional structures including the deep neck spaces and intracranial sinuses (see “Complications”).

Clinical features

  • Severe pain can generally be elicited with palpation.
  • Swelling and erythema of the surrounding mucosa
  • Purulent discharge from the gum line may be seen.
  • The affected tooth may be discolored and/or show enamel breaks.

Diagnostics [8][10]

  • An oral examination is usually sufficient to make a diagnosis.
  • Obtain diagnostic studies if red flags for progression of dental abscess are present.
    • Laboratory studies: CBC (may show leukocytosis, neutrophilia) [8]
    • Imaging: x-ray, CT, or MRI of the head and neck
      • To assess for possible spread to the neck and/or sinus cavities
      • May show subcutaneous air (sign of necrosis) and/or deviation of the trachea
    • See also “Diagnostics” in “Deep neck infections.”

Management [8][9][10]

  • Consult a dentist or oral surgeon for abscess incision and drainage, and, if necessary, removal of the affected tooth.
  • Start empiric antibiotic treatment for systemic symptoms (e.g., fever) or if surgical intervention is delayed. [8][9][10][12]
    • Adults
      • Penicillin OR metronidazole [8][10]
      • Amoxicillin/clavulanate [8]
    • Children
      • First-line: amoxicillin [13]
      • Penicillin allergy: azithromycin or doxycycline [13]
  • Provide supportive care for dental disorders.

Manage dental abscesses with incision and drainage; antibiotic therapy alone is not sufficient. [4][14]

If red flags for dental infection progression are present, consult maxillofacial or oral surgery immediately.

Emergency management of dental injuries includes assessing for concurrent injury, preserving tooth viability, and infection prevention. Follow-up care with a dentist is always required. [9]

Dental avulsion [8][9][15]

  • Definition: the complete displacement of a tooth from its socket
  • Management
    • Replant a permanent tooth as quickly as possible. ; [8]
      • Handle the tooth by the crown only.
      • Rinse off debris with saline (do not scrub or sterilize).
      • Gently reduce the tooth into the correct anatomical position.
      • Splint the tooth in the correct position with wax or dental cement.
      • Begin antibiotic prophylaxis: doxycycline for adults, penicillin for children < 12 years of age [8][15]
      • Provide tetanus prophylaxis if indicated. [15]
    • If unable to replant the tooth:
      • Place the tooth in a physiologic storage medium: Hanks balanced salt solution or milk
      • Notify the dentist or oral surgeon immediately.
    • If an avulsed tooth is unaccounted for:
      • Examine for deep displacement into the tissue or socket.
      • Obtain a chest x-ray to rule out aspiration.

Avulsion of a permanent tooth is a dental emergency. Manual replantation is indicated as soon as possible, followed by urgent referral to a dentist. [15]

Do not replant primary teeth. [9]

Dental subluxation and luxation [8][9][16]

  • Definition: partial or complete disruption of the periodontal ligament, resulting in tooth mobility within the socket
    • Subluxation: the tooth is mobile but remains in the correct anatomical position
    • Luxation: displacement of the tooth into a nonanatomical position
  • Management
    • Consult dentistry.
    • Gently reduce the tooth to the correct anatomical position, if necessary.
    • Splint the tooth in the correct position with wax or dental cement.
    • Provide supportive care for dental disorders.
    • Obtain serial dental radiographs to assess for evidence of a root fracture.

Dental fracture [8][9][16]

  • Definition: a partial or complete interruption in the continuity of a tooth
  • Classification and clinical characteristics: Dental fractures may involve the crown, root, and/or alveolar bone.
    • Enamel infraction: enamel crack without disruption of tooth structure
    • Crown fracture
      • Ellis I (limited to enamel): painless, no bleeding
      • Ellis II (dentin is exposed): fracture site appears yellow, no or minimal bleeding
      • Ellis III (pulp is exposed): fracture site appears pink, heat and cold sensitivity, possible bleeding
    • Root fracture: The tooth is mobile, tender to palpation, and often bleeds.
    • Alveolar bone fracture: may cause segmental displacement with movement in multiple adjacent teeth
  • Management
    • Consult dentistry: Urgency is based on the class of fracture. [8]
    • Obtain imaging (e.g., radiography, CT) if a fracture of the dental root or alveolar bone is suspected. [16]
    • Control bleeding and pain; see “Supportive care for dental disorders.”
    • Consider the application of dental cement (calcium hydroxide paste) to Ellis II and Ellis III fractures pending dental consult. [9]
    • Antibiotics are not typically required. [9]
    • Definitive management
      • Enamel infraction: sealing with bonding resin in severe cases
      • Crown fracture
        • Ellis I and II: tooth fragment replantation or tooth edge smoothing
        • Ellis III: pulp therapy, possible root canal
      • Root fracture: splinting, possible root canal
      • Alveolar bone fracture: repositioning and splinting
  • Definition: any deviation from ideal tooth positioning that leads to irregular contact between the upper and lower teeth when the jaw is closed
  • Types: The most common forms are anterior crowding, vertical overbite, and sagittal overjet. [17]
  • Clinical features
    • Usually asymptomatic
    • In severe cases: discomfort when biting or chewing, frequent biting of cheeks or tongue, speech problems
  • Management: : correction of deviated teeth and jaw positions through orthodontic treatment (e.g., braces) to achieve proper occlusion
  • Prognosis: Whether orthodontic correction of dental alignment has a positive effect on dental health is still subject to debate. [18]

Nonodontogenic causes of orofacial pain [9][19]

  • Myofascial pain syndrome
  • Temporomandibular joint dysfunction
  • Trigeminal neuralgia
  • Temporal arteritis
  • Peritonsillar abscess
  • Langerhans cell histiocytosis
  • Sinusitis
  • Otitis media
  • Headache syndromes: e.g., migraine, cluster headache
  • Myocardial ischemia [19]

The differential diagnoses listed here are not exhaustive.

Dentalgia [8][20][21]

  • Systemic analgesia
    • NSAIDs (first line): e.g., ibuprofen [4][8][9]
    • Opioid analgesics: Consider a short course only for pain not adequately relieved by NSAIDs and local analgesia.
  • Local and regional analgesia
    • Topical therapy (for mucosal lesions): e.g., benzocaine [8][20][22]
    • Supraperiosteal nerve block for anesthesia of individual teeth
    • Inferior alveolar nerve block for anesthesia of multiple mandibular teeth

The application of dental cement (calcium hydroxide paste) can help relieve pain caused by exposed pulp.

Bleeding [9][23]

The following measures can be attempted in succession until the bleeding is adequately controlled:

  • Direct pressure for 15–30 minutes
  • Topical tranexamic acid [9]
  • Local anesthetic with epinephrine injection
  • Suture

Consider an underlying bleeding disorder if bleeding is difficult to control. [9]

If local measures to control bleeding are unsuccessful, consult oral surgery and interventional radiology for consideration of surgical management or embolization. [9]

  • Local and regional complications
    • Tooth loss
    • Peritonsillar abscess, retropharyngeal abscess
    • Sinusitis
    • Cellulitis
    • Osteomyelitis of the mandible or jaw
    • Deep neck infections (Ludwig angina)
  • Systemic complications
    • Bacteremia
    • Sepsis
    • Endocarditis
    • Metastatic infections

Dental infections are the most common cause of deep neck space infections. [4][8]

We list the most important complications. The selection is not exhaustive.