Guest Mode
AMBOSS Articles/ Internal Medicine > Infectious Diseases > Wound, Soft Tissue, Bone, and Joint Infections

Diabetic Foot

To see contributor disclosures related to this article, hover over this reference: [1]

Physicians may earn CME/MOC credit by reading information in this article to address a clinical question, and then completing a brief evaluation, in which they will identify their question and report the impact of any information learned on their clinical practice.

AMBOSS designates this Internet point-of-care activity for a maximum of 0.5 AMA PRA Category 1 Credit(s)ā„¢. Physicians should claim only credit commensurate with the extent of their participation in the activity.

For answers to questions about AMBOSS CME, including how to redeem CME/MOC credit, see "Tips and Links" at the bottom of this article.

Diabetic foot is a condition that results from long-standing diabetes and comprises ulcers, infections, and foot deformities. These complications result from the effects of diabetes on the peripheral nervous system and microvasculature; once one complication (e.g., ulceration) develops, the likelihood of developing another (e.g., osteomyelitis) increases. Diagnosis and management depend on the specific complication, but usually involve assessment for associated neuropathy and peripheral arterial disease (PAD), involvement of a multidisciplinary foot care team, and optimization of diabetes management. All patients should be educated on prevention of diabetic foot, e.g., daily foot examinations, foot care, and glycemic control, and encouraged to attend scheduled diabetic foot screenings.

See also ā€œDiabetic neuropathy.ā€

Epidemiology

  • Up to one-third of patients with diabetes develop foot ulcers. [2]
  • Associated with increased rates of: [2][3]
    • Hospitalization
    • Amputation
    • Death

80% of patients with diabetes requiring a lower limb amputation had a preceding foot ulcer. [3]

Risk factors [3][4]

  • Poor glycemic control: Chronic hyperglycemia causes nonenzymatic glycation of axonproteins and subsequent development of progressive sensorimotor neuropathy, typically affecting multiple peripheral nerves.
  • Long-term comorbidities
    • Peripheral neuropathy
    • PAD
    • Long-term tobacco use
  • Microvascular disease (e.g., retinopathy, chronic kidney disease)
  • Diabetic foot deformities and calluses
  • Prior ulcers or amputation
  • Trauma
  • Dermatological conditions, e.g., fungal infections

Classification

Diabetic foot ulcers are classified as: [3]

  • Neuropathic ulcers: due to neuropathy (e.g., peripheral sensory neuropathy, autonomic neuropathy)
  • Ischemic ulcers: due to PAD and microvascular changes [5]
  • Neuroischemic ulcers: due to both neuropathy and ischemic changes

Neuroischemic ulcers are becoming increasingly common and now comprise half of all diabetic foot ulcers. [5]

Clinical features [2][4]

  • Skin breakdown with or without surrounding tissue necrosis [6]
    • Neuropathic ulcers occur at sites of repetitive stress/trauma, such as:
      • Bony abnormalities
      • On the bottom of the foot: Malum perforans most commonly manifests over the head of the metatarsal bones or the heel. [3]
    • Ischemic and neuroischemic ulcers often occur on the toes or lateral foot.
  • Usually painless
  • May be preceded by signs of infection, trauma, or calluses
  • Underlying risk factors may be present, e.g.:
    • Signs and symptoms of diabetic peripheral neuropathy (e.g., sensory loss, motor weakness)
    • Characteristic features of PAD (e.g., cool foot with no palpable pulses)

Diagnostics

  • Assess for any signs of diabetic foot infection.
  • Evaluate for peripheral neuropathy (see ā€œDiagnostics of polyneuropathyā€).
  • Perform diagnostics for PAD. [3]
  • Consider imaging for underlying diabetic foot osteomyelitis.

Management of diabetic foot ulcers [3]

  • Management of underlying causes
    • Optimize management of diabetes to meet glycemic targets for diabetes.
    • Provide management of PAD if present (e.g., with surgical or endovascular revascularization procedures). [3]
    • Treat any associated diabetic foot infections.
  • Specialized footwear [4][7]
    • Provide mechanical offloading from pressure points [8]
    • Reduce progression and recurrence of foot ulcers
    • Decrease calluses
  • Wound care: Provide in consultation with a wound care specialist.
    • Dressings to promote wound healing [3]
    • Debridement (e.g., surgical) including removal of surrounding calluses, if present
  • Refractory ulcers: little response after at least 4 weeks of therapy [3][4]
    • Negative pressure wound therapy
    • Hyperbaric oxygen therapy
    • Biologic therapies (e.g., platelet-derived growth factor)
    • Amputation [6]

Follow-up

  • Follow up with patients at 1–4 week intervals to assess healing progress. [3]
  • Patients should be followed up for life by foot care specialists (see ā€œPrevention of diabetic footā€). [4]

Management of diabetic foot ulcers frequently requires a multidisciplinary team (e.g., podiatrist, wound care specialist, vascular surgeon, endocrinologist). [6]

Antibiotics are not indicated for diabetic ulcers unless there are signs of wound infection. [8]

Diabetic foot ulcers have a high risk of infection due to the negative effect of diabetes on immunity and microvasculature. [3]

Skin and soft tissue infections

Epidemiology

  • Infection occurs in ∼50% of diabetic foot ulcers. [9]
  • Infection is a main risk factor for amputation in patients with diabetes. [3]

Etiology [8]

  • Infections are typically polymicrobial.
  • Staphylococci and streptococci spp. are the most common causative pathogens.

Clinical features [8][10]

  • Signs and symptoms
    • Edema
    • Induration
    • Erythema [8]
    • Tenderness
    • Warmth
    • Purulent exudate
  • Classification of infection severity [8]
    • Mild: superficial infection with ≤ 2 cm of erythema
    • Moderate: deep infection or > 2 cm of erythema
    • Severe: any degree of infection plus systemic inflammatory response syndrome

Diagnostics [8][10]

  • CBC, CRP, ESR [8]
  • Wound cultures via biopsy or curettage
  • Diagnostics for PAD and diagnostics of polyneuropathy.
  • Assessment for diabetic foot osteomyelitis (e.g., probe to bone test, imaging)
  • Patients with severe infections: Additionally obtain diagnostic studies for sepsis.

Management [3][8][10]

  • Refer patients to a multidisciplinary foot care team when possible. [8]
  • Admit patients with any of the following criteria:
    • Severe infection
    • Chronic limb-threatening ischemia
    • Barriers to follow-up
    • Little response to outpatient management
  • Start wound care; patients may require surgical debridement or in severe cases, amputation.
  • Initiate empiric antibiotic therapy for skin and soft tissue infections. [8]
    • Consider the following factors when choosing an antibiotic:
      • Infection severity
      • Local resistance patterns
      • Recent antibiotic use
      • Risk factors for MRSA infection and/or Pseudomonas aeruginosa
    • Route [8]
      • Mild infection: often treated with oral antibiotics
      • Moderate infection: may be treated with either oral or parenteral antibiotics
      • Severe infection: Parenteral antibiotics are generally recommended.
  • Adjust antibiotic therapy as needed based on culture results and continue for up to 4 weeks. [10]

Patients with diabetic foot infections should receive wound care in addition to antibiotic therapy. [8]

Topical antibiotics are not indicated for the treatment of diabetic foot infections. [10]

Diabetic foot osteomyelitis [3][10]

  • Common in patients with malum perforans ulcers
  • Osteomyelitis should be suspected in any patient with an ulcer and any of the following features: [3][11]
    • Clinical features of skin and soft tissue infection (e.g., erythema, edema)
    • Ulcer size > 2 cm2 and/or ulcer depth > 3 mm [8]
    • Exposed bone tissue
    • Positive probe-to-bone test
      • A clinical test to evaluate for osteomyelitis related to chronic ulcers
      • A sterile blunt probe is inserted into the ulcer; direct contact of the probe with the bone indicates potential underlying osteomyelitis.
    • Chronic (lasting several weeks) and/or treatment-resistant ulcers
    • An ulcer overlying a bony prominence
    • Markedly increased ESR (> 70 mm/hour)
    • Unexplained leukocytosis
  • Obtain serial plain radiographs and/or MRI (see also ā€œDiagnostics of osteomyelitisā€). [3]
  • Treatment involves optimizing the management of diabetes, antibiotics, and possible surgery (see ā€œTreatment of osteomyelitisā€). [3]

Diabetic neuropathy can lead to foot deformities, which increases a patient's risk of developing foot ulcers and requiring amputation. [4]

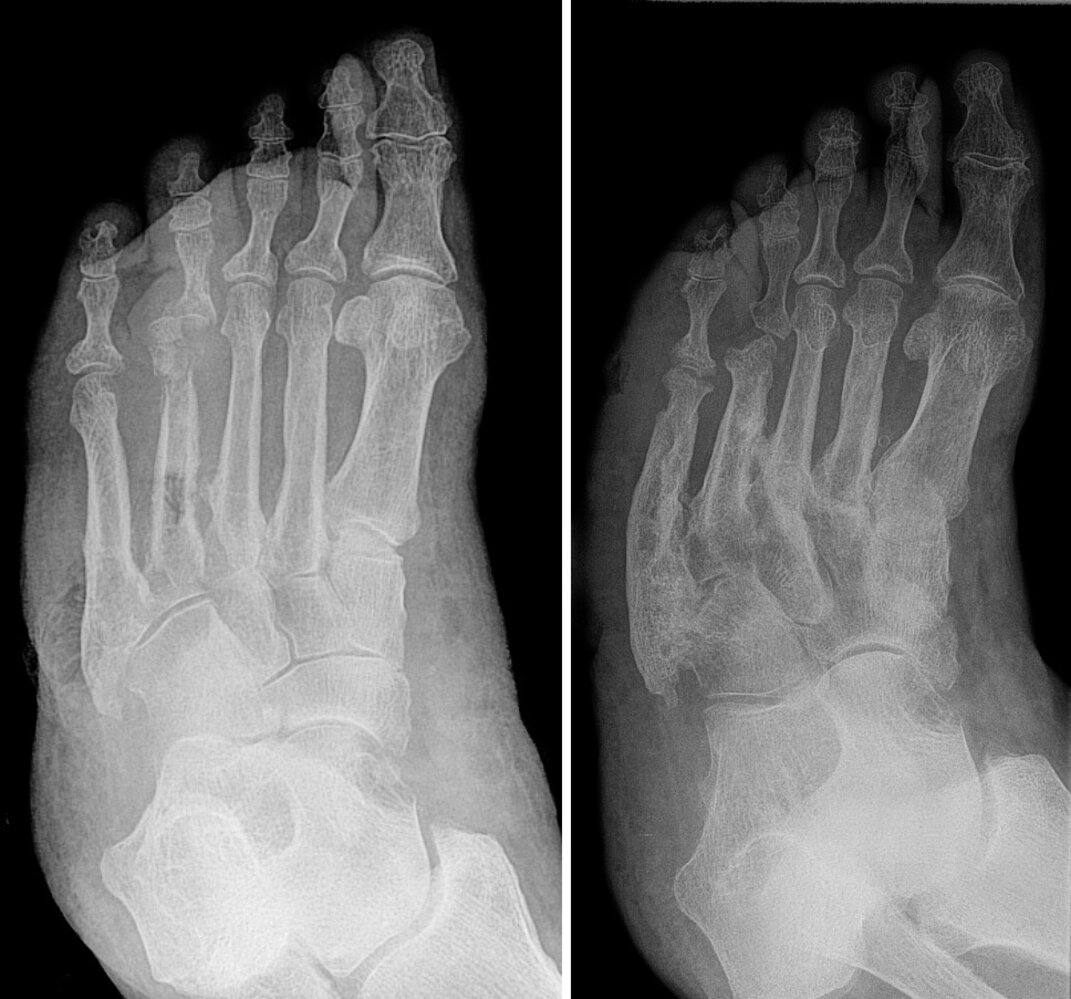
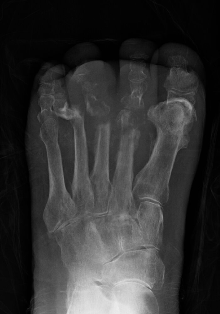
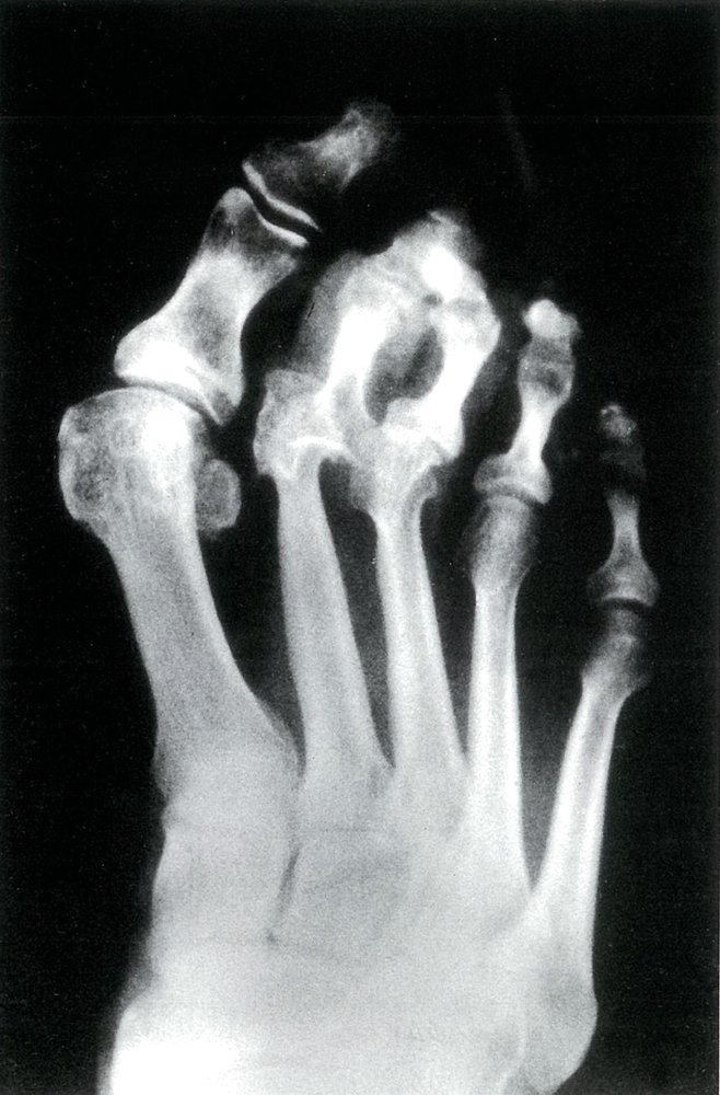
Hammer toes and claw toes [12]

See also ā€œToe deformities.ā€

  • Pathophysiology: occurs secondary to diabetic neuropathy due to loss of intrinsic muscle volume and thickening of the plantar aponeurosis [13]
  • Clinical features [12]
    • Hammer toe: PIP joint flexion with or without DIP joint extension or MTP joint hyperextension
      • Flexible hammer toe: joint deformity can be manually corrected
      • Fixed (rigid) hammer toe: joint deformity cannot be manually corrected
    • Claw toe: PIP joint flexion, DIP joint flexion, and MTP joint hyperextension
  • Diagnosis
    • Typically clinical, may be detected on screening for diabetic foot
    • Imaging: Consider weight-bearing x-rays to assess for other foot deformities. [12]
  • Management: Refer to a foot care specialist. [4]
    • Initial treatment is conservative and may include:
      • Specialized therapeutic footwear (extra-depth shoes)
      • Management of concurrent diabetic neuropathy and/or peripheral artery disease
    • Consider surgery for: [6][12]
      • Poor response to conservative therapy
      • Prevention of skin complications (callus, ulcer)

Diabetic neuropathic arthropathy (Charcot foot) [14]

  • Neuropathic arthropathy is the development of bone destruction, subluxation/dislocation, and deformity secondary to neuropathy (most commonly diabetic neuropathy).
  • The tarsus and tarsometatarsal joints are most commonly affected.
  • Clinical presentation depends on the stage.
    • Acute stage
      • Swelling, warmth, erythema
      • Pain is typically mild-to-moderate, as the underlying peripheral neuropathy reduces sensation.
    • Chronic stage: painless bony deformities, midfoot collapse (rocker-bottom foot deformity), osteolysis, fractures
  • Diagnosis requires x-ray (first line) and MRI (in diagnostic uncertainty).
  • Initial treatment is conservative (mechanical offloading, treatment of diabetes); surgery is used for severe or refractory cases.

Diabetic neuropathic arthropathy can be challenging to distinguish from diabetic foot osteomyelitis; in diagnostic uncertainty, consider bone biopsy. [3]

  • Address risk factors for diabetic foot ulcers, e.g.: [3][4]
    • Optimize glycemic control (see ā€œGlycemic targets in diabetesā€). [3]
    • Encourage smoking cessation.
    • Initiate ASCVD prevention.
    • Screen patients ≄ 50 years old for concomitant PAD with an ABI. [3]
    • Identify and treat dermatological conditions that increase the risk of ulcers (e.g., onychomycosis, calluses).
  • Educate patients (or caregivers) on: [3][4][7]
    • The importance of attending regular diabetic foot screenings
    • Daily self-monitoring, including:
      • Foot examination
      • Skin and nail care
    • Avoiding self-treatment of calluses/corns (e.g., chemical removal agents); patients should see a healthcare professional.
    • Selecting socks with no seams, or wearing socks with seams inside out to prevent rubbing
    • Choosing appropriate footwear
      • Avoid walking barefoot or wearing open-toed or open-heeled shoes.
      • Ensure shoes fit properly and meet the criteria for safe footwear.
      • Patients at high risk of ulceration require specialized therapeutic footwear.
    • Clinical features of diabetic foot and how to seek appropriate medical attention for them

Patients with other microvascular complications (e.g., diabetic retinopathy, peripheral neuropathy) may struggle to perform daily foot care; teach caregivers to examine the foot if there are concerns about the patient's ability to self-monitor. [4]

Screening for diabetic foot [3][4][7]

  • Interval [3][4]
    • No previous complications: annually
    • Previous sensory loss, ulceration, or amputation: at every visit
  • Recommended assessment
    • Focused history to determine if, since their last visit, there have been any new:
      • Symptoms (e.g. burning, pain, numbness, claudication)
      • Risk factors (e.g., cigarette smoking)
      • Diabetic complications (e.g., diabetic retinopathy, diabetic kidney disease)
    • Inspection of the skin (e.g., assessing for skin breakdown, calluses, signs of wound infection)
    • Evaluation of bones (e.g., for deformities)
    • Focused examination of sensation (e.g., 10g monofilament test)
    • Palpation of pedal pulses