Guest Mode
AMBOSS Articles/ Obstetrics > Gynecology > Basics of Obstetrics and Gynecology

Diagnostic Procedures in Gynecology

A complete gynecological examination includes inspection of the vagina with the aid of a speculum and, if needed, colposcopy and bimanual palpation. Speculum examination is also used to facilitate obtaining smears for cytological and microbiological studies. Depending on the clinical presentation, other laboratory diagnostics and imaging procedures may be indicated. MRI scans and/or ultrasounds of the breast, for example, may supplement standard screening tests such as mammography. Unexplained pelvic symptoms may require transvaginal ultrasonography or more invasive diagnostic procedures such as endometrial sampling and hysteroscopic or laparoscopic examination.

  • Insertion of a speculum device facilitates the inspection of the vaginal wall and ectocervix
  • Evaluate the quality of vaginal discharge to determine whether a smear should be acquired
    • The amount of vaginal discharge varies by individual and by the stage of the menstrual cycle
    • Signs that vaginal discharge may be pathologic
      • Malodorous (e.g., fishy)
      • Abnormal consistency (e.g., frothy, curd-like)
      • Bloody, brown, yellow, green, or gray color
    • Symptoms indicating pathologic discharge
      • Pruritic and/or erythematous vagina
      • Cervical tenderness
    • See differential diagnoses of infectious causes of vaginal discharge
    • Physiologic leukorrhea
      • Profuse white or yellow and non-malodorousvaginal discharge can be physiological if none of the features mentioned above are present.
      • In newborns, vaginal discharge may occur due to in-utero exposure to maternal estrogen (no treatment is necessary).

Speculum examination is virtually never indicated in preadolescent patients! If absolutely necessary (e.g., vaginal bleeding, trauma, abuse), it is usually performed under general anesthesia!

References:[1]

Vaginal swab

Types [4][5]

  • High vaginal swab (HVS)
    • Taken from the posterior vaginal fornix, where cervical and vaginal secretions pool in the supine position
    • Obtained by a health care provider during per speculum examination
  • Low vaginal swab (LVS)
    • Taken from the mid to distal end of the vagina
    • Obtained by patients themselves or by a health care provider when per speculum examination is not required [6][7]

Tests

  • Vaginal pH
    • Normal vaginal pH: 4–4.5
    • pH > 4.5 → suspect bacterial vaginosis and trichomoniasis (other causes of increased vaginal pH include menstruation, amniotic fluid, and sexual intercourse)
  • Vaginal wet mount preparation
    • Definition: a sample of vaginal discharge is transferred to a slide and mixed with normal saline or potassium hydroxide (KOH) before examining under a microscope.
    • Normal findings: cylindrical Lactobacilli (Doderlein's bacilli)
    • Pathological findings:
Finding Diagnosis
Motile flagellated protozoa Trichomoniasis
Pseudomycelia and/or yeast cells on a KOH preparation Vaginal candidiasis
Clue cells and a positive whiff test (adding KOH to vaginal smear elicits a fishy odor) Bacterial vaginosis
  • Gram staining can reveal gram-negative, intracellular diplococci in patients with gonorrhea. [8]
  • Perform a nucleic acid amplification test if chlamydia, gonorrhea, trichomoniasis, or genital herpes is suspected.

Endocervical swab

  • A swab of mucus and cells from the endocervix taken by a health care provider during per speculum examination
  • Obtained in order to perform a nucleic acid amplification test if cervicitis or pelvic inflammatory disease is suspected
  • For cervical cytology in the screening of cervical cancer, see Papanicolaou test.
  • Colposcope: a type of microscope used to acquire a magnified view of the ectocervix or vaginal wall
  • Colposcopy: A diagnostic procedure to evaluate the cervix, vagina, and vulva using a colposcope; allows for assessment of the ectocervix under magnification (6–40 x)
  • Application of acetic acid or iodine facilitates the colposcopic detection of precancerous and cancerous lesions
  • Colposcopy-directed cervical smears and biopsies
  • Surgical procedures under colposcopic guidance

Benign lesions

  • No further evaluation necessary
  • Cervical ectopy: a state in which the squamous cell epithelium of the ectocervix is replaced by columnar cell epithelium of the endocervix under the physiological influence of estrogen (e.g., pregnancy, certain oral contraceptives). Cervical ectopy is seen on colposcopy as a sharply demarcated bright red area with papillary structures.
    • Clinical features: mostly asymptomatic; occasional postcoital bleeding and vaginal discharge
    • Predisposition to chlamydial infection
    • Malignant transformation may occur in cases of HPV-16 and/or HPV-18 infections.
  • Transformation zone: the area between the non-keratinized squamous epithelium of the ectocervix and the columnar epithelium of the endocervix. The transformation zone is a common site for infections and dysplastic changes.
  • Nabothian cysts: retention cysts that arise in the transformation zone . These cysts have no pathological significance.
  • Cervical polyps: hyperplastic cervical epithelium
    • Clinical features: vaginal bleeding
    • Malignant degeneration is rare
    • Treatment: surgical resection of the polyp and cauterization of the polyp's pedicle to prevent recurrence

Abnormal findings

  • Require further evaluation
  • White lesions under acetic acid application: condylomata acuminata
  • White membrane that cannot be scraped off: cervical leukoplakia
  • Punctate lesions or coarse mosaic pattern: cervical intraepithelial neoplasia
  • Atypical vessels: cervical cancer

References:[9][10][11][12]

Depending on the clinical presentation, other laboratory tests may be indicated:

  • Inflammatory parameters if adnexitis, mastitis, and/or endometritis are suspected
  • Pregnancy test
  • Hormone levels for work-up of infertility
  • Renal function tests and urinalysis if urinary symptoms are present
  • Serum transaminase (AST, ALT) and alkaline phosphatase (ALP) levels, If liver or bone metastases are suspected
  • Tumor markers
    • CA 15-3: breast carcinoma
    • CA 125: ovarian and/or endometrial carcinoma
    • SCC: squamous cell carcinomas (e.g., cervical, vulval, and/or vaginal carcinomas)
    • AFP: germ cell tumors
    • HCG: choriocarcinomas and/or germ cell tumors

Always perform a pregnancy test if a woman of child-bearing age presents with lower abdominal pain!References:[13][14]

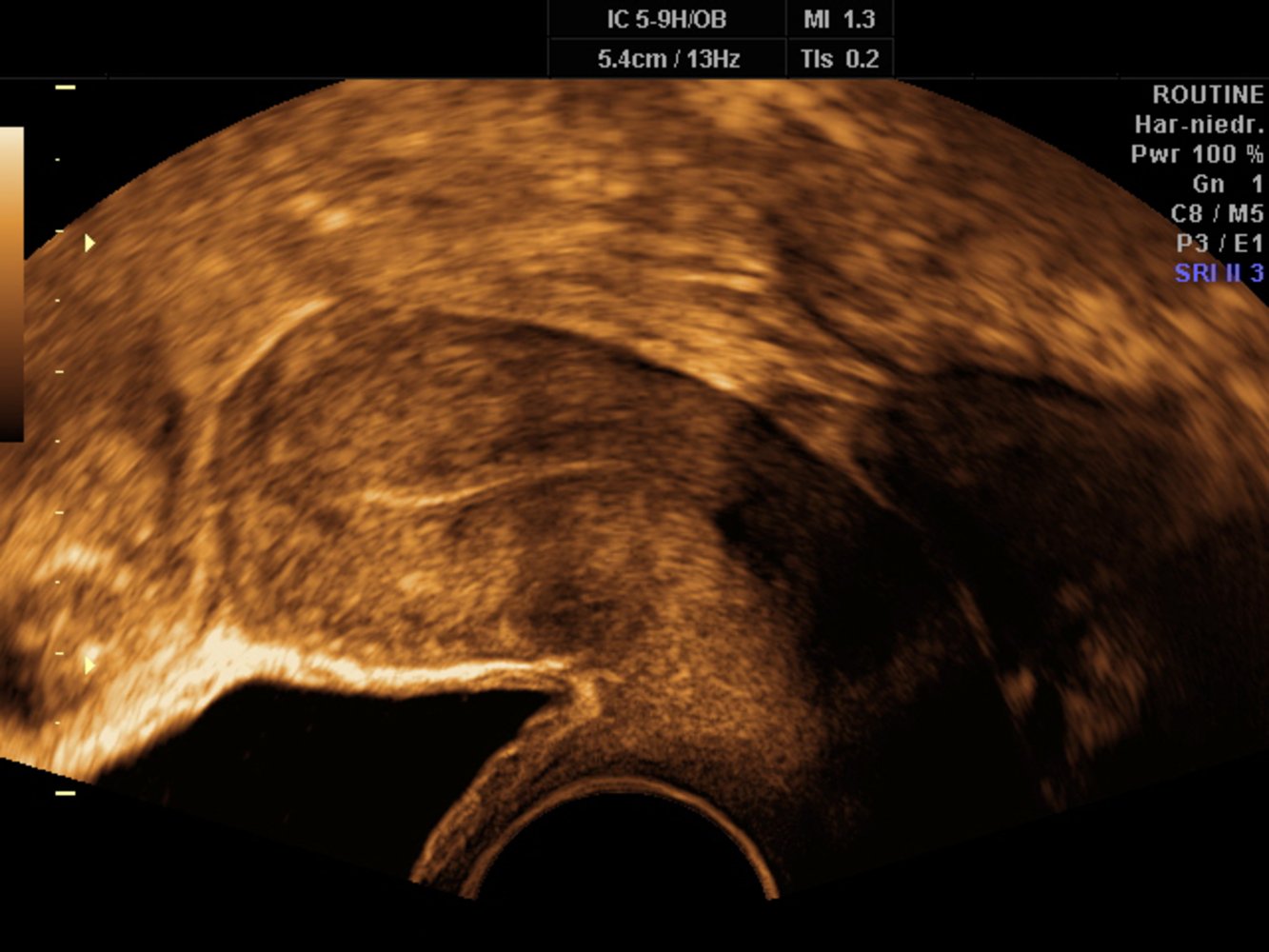
Transabdominal ultrasound

  • An abdominal ultrasound is the easiest method of assessing the uterus, ovaries, and adnexal structures.
  • Assessment of:
    • Urogenital tract
    • Assessment of fetal development (see ultrasonography during pregnancy)
    • Pelvic organs

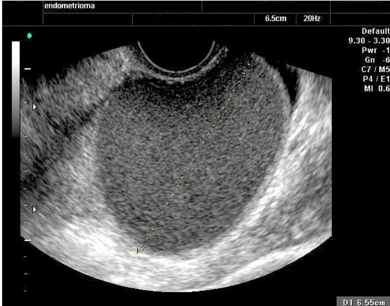
Transvaginal ultrasound

  • Ovaries: Performed to diagnose ovarian cysts, tumors, and follicular maturation
  • Uterus
    • Myometrium (e.g., to diagnose leiomyomas)
    • Endometrium
      • Echogenic layer in the long axis view of the uterus (referred to as the ā€œendometrial stripeā€)
      • Endometrial thickness varies with the menstrual cycle
      • Postmenopausal women with an endometrial thickness greater than 8 mm should undergo a follow-up ultrasound after 1–3 months
      • Postmenopausal women with an endometrial thickness greater than 10 mm should undergo hysteroscopy and endometrial curettage to rule out endometrial carcinoma.
  • Assessment of fetal development during the first trimester
  • Measurement of cervical length in cases of cervical incompetence

Breast ultrasound

Breast ultrasound can be used to assess breast lesions which were detected by palpation, mammography, and/or breastMRI scans. Ultrasound can also be used to assess the axilla for lymph node involvement if there is suspicion for breast cancer.

References:[15]

Screening mammography

  • Mammography performed in asymptomatic individuals for early identification and management of breast cancer.
  • Typically limited to bilateral craniocaudal and mediolateral oblique views of the breast.
  • Additional views or digital breast tomosynthesis may be performed to improve visualization of breast tissue if necessary.

Diagnostic mammography

  • Mammography performed to evaluate concerning breast symptoms (e.g., breast mass, focal pain, nipple discharge) or to further evaluate abnormalities detected on screening mammography or breast MRI.
  • In addition to craniocaudal and mediolateral views, supplemental views (e.g., spot compression with magnification) with or without digital breast tomosynthesis may be performed to improve visualization of breast abnormalities.

  • A fiberoptic scope is introduced transcervically into the uterus to diagnose and/or treat uterine pathologies.
  • Commonly done as part of the work-up for abnormal uterine bleeding.
  • Hysteroscopy can be combined with diagnostic/therapeutic uterine curettage
    • Uterine curettage: scraping away endometrial tissue by introducing a curette into the uterine cavity

References:[16]

  • Galactography
  • Pneumocystography