Guest Mode
AMBOSS Articles/ Ophthalmology > Lens and Vitreous Body

Diseases of the Lens

The lens, together with the cornea, is responsible for refracting light onto the retina. Zonular fibers attach the lens to the ciliary body, which holds the lens in position and determines its degree of accommodation. Pathological conditions of the lens include cataracts, displacement of the lens, and aphakia. Cataracts, in which age-related degenerative processes lead to clouding of the lens, are the most common disease of the lens. Ectopia lentis, a displacement of the lens, can be caused by ocular diseases, trauma, or systemic conditions. While a partially displaced lens (subluxation) involves little to no loss of visual acuity, complete displacement of the lens (luxation) results in severe visual impairment. Subluxation is common in individuals with Marfan syndrome and homocystinuria. Treatment of a displaced lens involves refractive correction and/or surgical removal of the lens. Aphakia is the absence of the lens, which can be congenital or secondary to trauma or surgery (e.g., cataract surgery). Clinical features include poor visual acuity and total loss of visual accommodation. Treatment consists of refractive correction with aphakic glasses, contact lenses, or surgery.

For more information on cataracts, see the corresponding article.

For more details, see “Gross anatomy of the eye” and “Lens.”

  • Definition: displacement of the lens of the eye
  • Etiology
    • Trauma (most common)
    • Ocular disease
      • Simple ectopia lentis: a hereditary disorder in which zonular fibers degenerate, leading to lens dislocation.
      • Ectopia lentis et pupillae: displaced pupils and lenses (usually in opposite directions); rare congenital disorder
      • Pseudoexfoliation syndrome (mean age of onset is 69–75 years): deposition of fibrillary residue from the lens and iris onto the lens capsule, ciliary body, zonules, iris, and corneal endothelium
    • Systemic disease
      • Marfan syndrome
      • Homocystinuria
  • Clinical features
    • Subluxation of the lens
      • Partially displaced lens; still within the hyaloid fossa and attached to the ciliary body
      • Little to no loss of visual acuity: If the displacement is more severe, monocular double-images, significant optical distortions, and visual impairment may occur.
      • Marfan syndrome: superior, temporal subluxation of the lens (upward and outwards)
      • Homocystinuria: inferior, medial subluxation of the lens (downward and inwards)
    • Luxation of the lens
      • Completely displaced lens; outside of the hyaloid fossa, in the anterior chamber, on the retina, or free-floating in the vitreous
      • Severe visual impairment due to a change in total refractive power
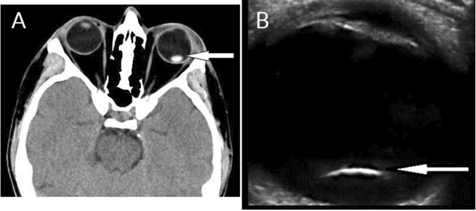
  • Diagnostics: visual acuity, slit lamp examination, retinoscopy, and ultrasound of the eye
    • Ophthalmological assessment may include visual acuity testing, slit lamp examination, retinoscopy, ultrasound of the eye, and tonometry
    • Findings include:
      • Iridodonesis: tremors of the iris during eye movement
      • Lentodonesis: tremors of the lens during eye movement
      • The equator of the lens may be visible in the pupil
      • The lens may dislocate into the vitreous or the anterior chamber
      • Features of glaucoma (e.g., raised intraocular pressure) due to pupillary block
    • Evaluation for underlying Marfan syndrome or homocystinuria
  • Treatment
    • Refractive correction
    • Lensectomy/vitrectomy
    • Treatment of the underlying condition
  • Complications
    • Acute secondary angle closure glaucoma
    • Amblyopia

In Marfan syndrome, the lens subluxates superiorly and temporally (upward and outwards). In homocystinuria, the lens subluxates inferiorly and medially (downward and inwards).

References:[1]

  • Definition: absent lens
  • Etiology
    • Surgical removal of the lens (most common)
    • Trauma (rare)
    • Congenital (very rare)
  • Clinical features
    • Poor visual acuity due to reduced refractive power (hypermetropia)
    • Total loss of visual accommodation
  • Diagnostics
    • Assessment of visual acuity
    • Slit-lamp examination
      • Absence of the lens
      • Iridodonesis
      • Vitreous may be present in the anterior chamber.
  • Treatment
    • Refractive correction with aphakic glasses or contact lenses
    • Surgery
  • Complications: retinal detachment

References:[2][3]