Guest Mode
AMBOSS Articles/ Pediatrics > Neonatology

Diseases of the Retina

The retina, which contains the first three neurons of the visual pathway, mediates the conversion of light stimuli into nerve impulses. Diseases of the retina may lead to visual impairment, visual field loss, and more complex disorders such as metamorphopsia (distorted vision) and clouding. Ophthalmoscopy is the preferred diagnostic method for identifying retinal diseases, but depending on the suspected disorder, other methods such as fluorescein angiography and optical coherence tomography (OCT) may be appropriate.

Color blindness (dyschromatopsia) [1]

  • Description: altered color perception
  • Etiology: congenital or acquired (e.g., optic neuropathy due to ethambutol)
    • Congenital; color perception disorders (especially red-green color vision deficiency; ) are very common and occur mostly in men.
    • Affected individuals are generally unaware of their own color-perception disorders.

Dichromacy [2][3]

  • Description: Only two of the three types of cones in the retina are fully functional.
  • Types
    • Deuteranomaly: green color deficiency (very common: ∼ 5% of the male population)
    • Deuteranopia: green color blindness (∼ 1% of the male population)
    • Protanomaly: red color deficiency (∼ 1% of the male population)
    • Protanopia: red color blindness (∼ 1% of the male population)
    • Tritanomaly: blue-yellow color weakness (very rare)
    • Tritanopia: blue-yellow color blindness (very rare)
  • Clinical features: difficulties distinguishing colors from one another
  • Diagnostics
    • Ishihara color test: set of color-dotted plates used to diagnose deuteranopia and protanopia
    • Anomaloscope: instrument used to diagnose quantitative and qualitative defects in color perception

Achromatism

  • Complete color blindness (very rare)

Central serous retinopathy (central serous chorioretinopathy)

  • Definition: serous retinal detachment at the posterior pole of the eyeball (at the macula or in the perimacular region) due to a defect in the pigment epithelium
  • Pathophysiology: defect in the area of Bruch's membrane/pigment epithelium β†’ fluid leakage from the sclera into the subretinal space β†’ serous retinal detachment
  • Etiology
    • Unknown
    • Glucocorticoids and an increase in the diastolic blood pressure are possible risk factors.
    • Stress-related
  • Epidemiology
    • Mostly affects men 20–45 years of age
  • Clinical features
    • Hyperopia
    • Metamorphopsia (distorted vision)
    • Patients perceive images as smaller than they are
    • Relative scotoma (perception of a gray area or shadow in the central field of vision)
  • Diagnostics
    • Ophthalmoscopy: roundish detachment of the central retina
    • Fluorescein angiography
    • Optical coherence tomography (OCT)
  • Treatment
    • Often heals spontaneously
    • Stress reduction
    • Rarely: laser coagulation (in extramacular localization), photodynamic therapy

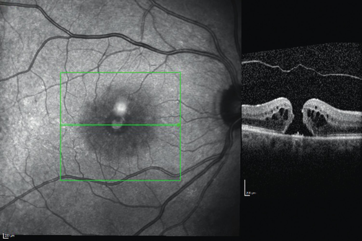
Macular hole

  • Definition:central small break in the macula
  • Etiology
    • Idiopathic
    • Secondary (e.g., to vitreous detachment, due to trauma, following laser therapy)
  • Clinical features (stage-related)
    • Metamorphopsia
    • Central visual field losses
    • Severe reduction of visual acuity
  • Treatment: vitrectomy with removal of epiretinal membranes and the internal limiting membrane of the retina

Age-related macular degeneration

See age-related macular degeneration.

Retinal detachment

See retinal detachment.

References:[4]

Retinitis pigmentosa

  • Definition: progressive hereditary dystrophy of the retina or of the photoreceptors and the retinal pigment epithelium
  • Epidemiology: early onset (5–30 years)
  • Etiology
    • Hereditary or spontaneous mutations (> 45 genes are known as triggers; e.g., mutations in the rhodopsingene)
    • Associated with abetalipoproteinemia
  • Clinical features
    • In early stages
      • Normal central vision; narrowing field of vision (ring-shaped area of blindness)
      • Night blindness (nyctalopia)
    • In advanced stages
      • Impaired peripheral vision (tunnel vision)
      • Defects in the perception of contrast and color
      • Glare sensitivity
  • Diagnostics
    • Fundoscopy
      • Pattern of dark spots and star-shaped blotches (deposits with bone spicule appearance) that develop from the periphery to the center of the retina
      • Attenuation of retinal vessels
      • Pale optic disc
    • Perimetry
    • Electroretinography
  • Differential diagnosis: Drugs (phenothiazines, chloroquine) may induce similar symptoms to those of retinitis pigmentosa β†’ pseudoretinitis pigmentosa
  • Treatment: No effective treatment is known.
  • Prognosis: often leads to blindness

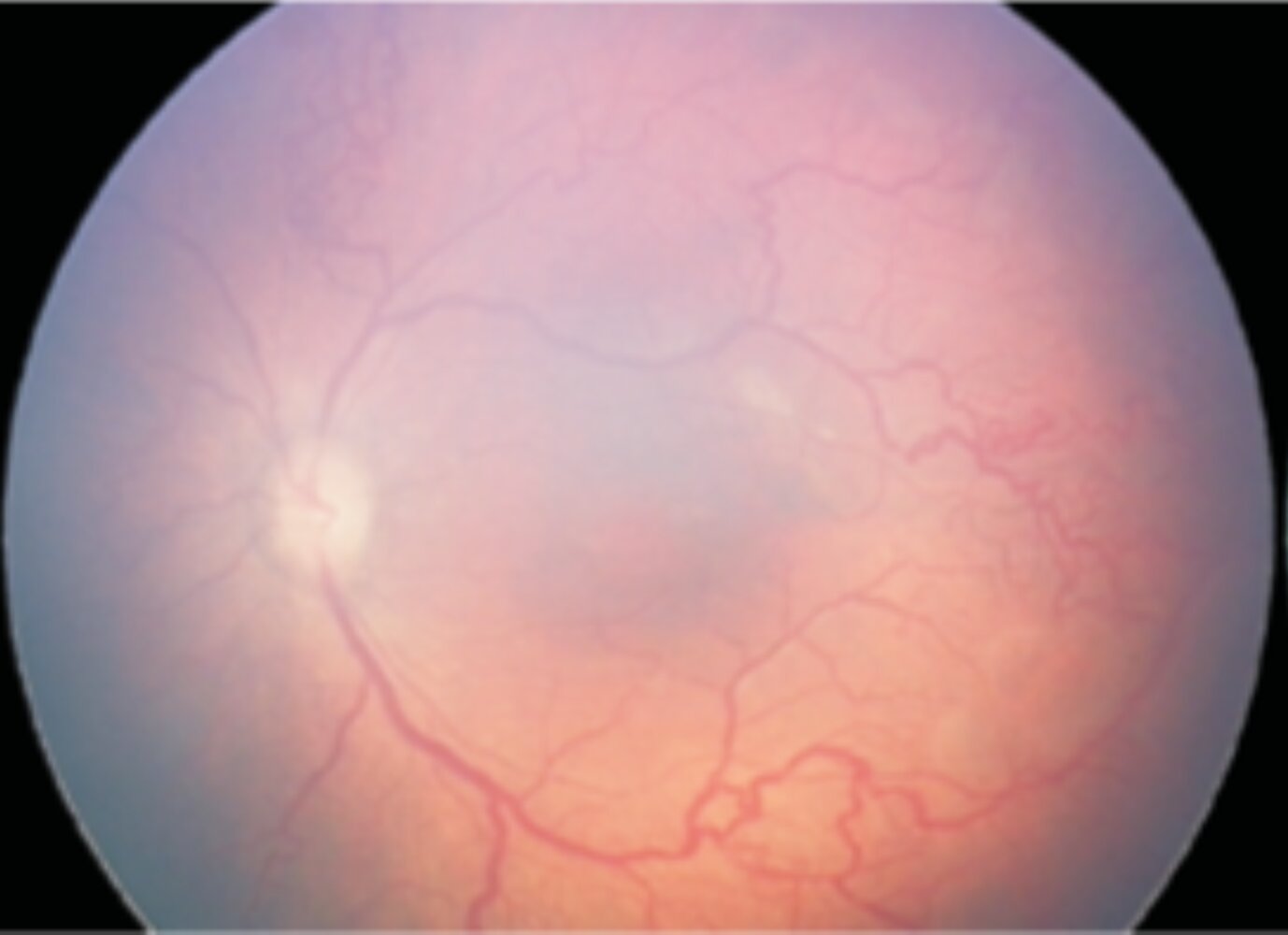
Stargardt's disease

  • Definition: juvenile macular dystrophy, originating from the retinal pigment epithelium, autosomal recessive hereditary pattern
  • Clinical features
    • Chronic progressive loss of visual acuity; onset between 10–30 years
  • Diagnostics
    • Ophthalmoscopy (yellowish flecks in the area of the macula and atrophy of the pigment epithelium)
    • Fluorescein angiography
    • OCT
  • Treatment / prevention
    • No therapy or prevention is known.
    • Poor prognosis for vision

Best disease (vitelliform macular dystrophy)

  • Definition: juvenile macular dystrophy, autosomal dominant inheritance
  • Clinical features
    • Chronic progressive visual impairment; onset typically between 4–10 years
    • People often have vision of approx. 20/40
  • Diagnostics
    • Ophthalmoscopy: typical, yellowish, round yolk-like lesions (from Latin β€œvitellus” = yolk) in the region of the macula
    • Electrooculography (EOG): pathological
    • Electroretinogram (ERG): normal
  • Treatment: No causal therapy is known.
  • Prognosis: Some patients may not have visual deterioration beyond 20/40. However, the deterioration may progress after age 40.

Retinal hemorrhage [5]

  • Definition: bleeding of the vessels in the retina
  • Epidemiology [5][6][7]
    • Peak incidence in adults: approx. 40 years of age
    • Peak incidence in children:
      • 10–40%: birth-related (e.g., neonatal retinal hemorrhages)
      • Approx. 15%: critical disease-related (e.g., sepsis)
      • Approx. 30%: abuse-related (e.g., child abuse)
  • Etiology [6][8]
    • Head and neck trauma (e.g., child abuse, head trauma)
    • Eye diseases (e.g., age-related macular degeneration, retinal vein occlusion; , retinal vasculitis, ocular ischemic syndrome, Coats disease)
    • Eye infections (e.g., CMV retinitis)
    • Chronic disease (e.g., diabetic retinopathy, hypertensive retinopathy)
    • Preeclampsia, hypertensive emergency
    • Coagulopathy, anemia, leukemia (e.g., hypofibrinogenemia, sickle cell anemia, Waldenstrom macroglobulinemia)
    • Neonatal retinal hemorrhages (e.g., instrumental labor, cesarean delivery)
    • Other: cerebral malaria, sepsis, systemic lupus erythematosus
Overview of retinal hemorrhage
Classification Fundoscopic findings of retinal hemorrhage Examples
Retinal nerve fiber layer hemorrhage
  • Flame-shaped hemorrhages
  • Disc-shaped hemorrhages
  • Roth spots
  • Hypertensive retinopathy, retinal vein occlusion
  • Diabetic retinopathy
  • Endocarditis
Intraretinal hemorrhage
  • Dot-blot hemorrhages
  • Diabetic retinopathy
Subretinal hemorrhage
  • Dark red, amorphous hemorrhages
  • Age-related macular degeneration
  • Trauma
Preretinal hemorrhage
  • Boat- or d-shaped hemorrhages
  • Retinal vein occlusion
  • Abusive head trauma
Vitreous hemorrhage
  • Dark, red hemorrhagic patches usually seen in the macular region
  • Diabetic retinopathy
  • Hypertensive retinopathy
  • Central vein occlusion
  • Sickle cell retinopathy
  • Clinical features: Symptoms vary according to hemorrhage severity.
    • Asymptomatic during early stages
    • Blurry vision
    • Floaters, photopsias
    • Partial or complete vision loss
  • Diagnostics
    • Medical history (e.g., hypertension, diabetes mellitus)
    • Visual acuity and fundoscopic exam
    • Ocular ultrasound
  • Management
    • Observation and follow up in the following:
      • Solitary hemorrhages without visual impairment
      • Mild hemorrhage without associated chronic disease
    • Treatment of underlying cause (e.g., anti-VEGF injections, peripheral retinal photocoagulation, surgical intervention)

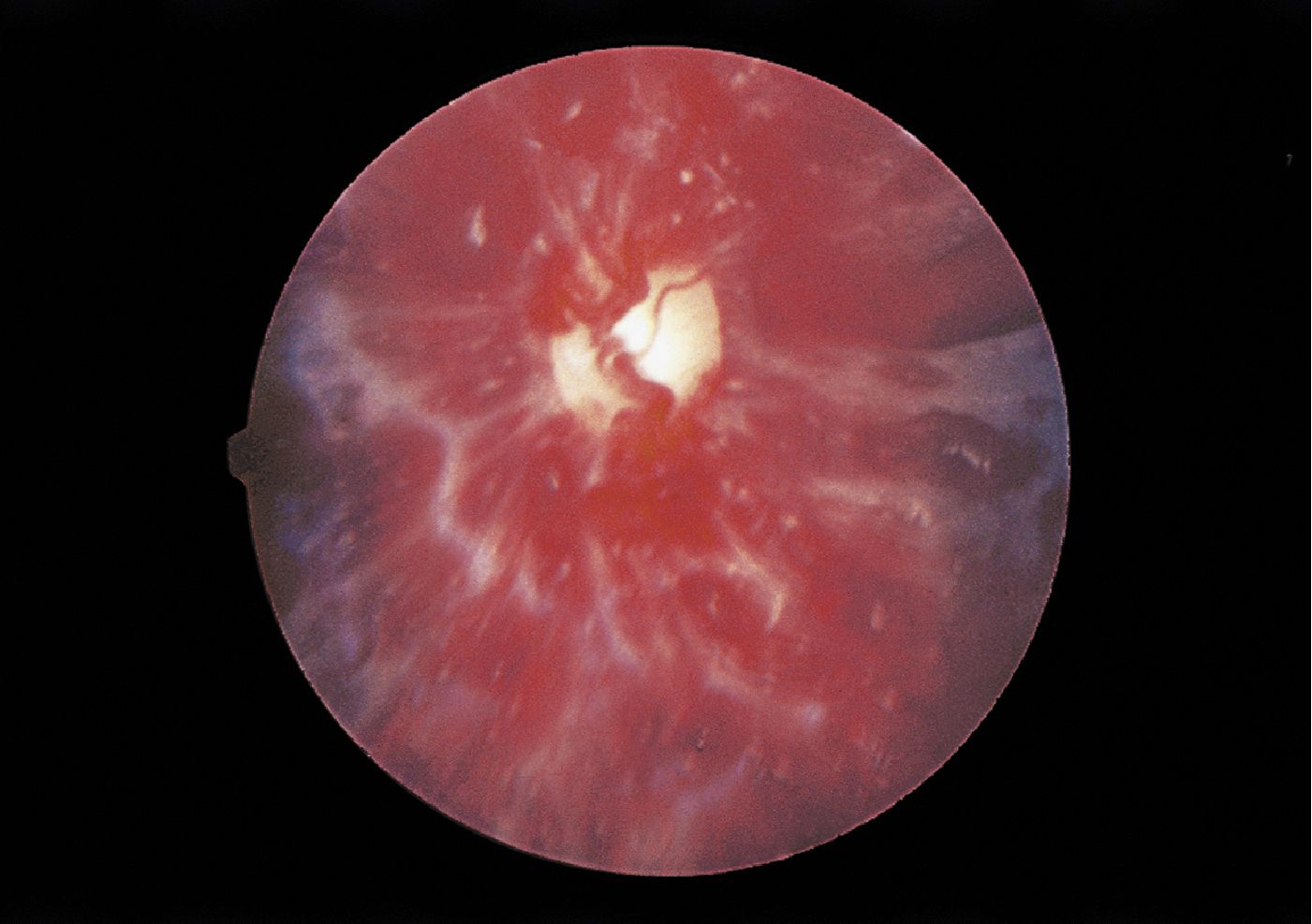
Coats disease (exudative retinopathy)

  • Definition: a vascular disease of the retina characterized by retinal telangiectasia, subretinal exudate, and retinal detachment
  • Epidemiology
    • Incidence: ∼ 1:100,000
    • Peak incidence: 5–9 years of age
    • Predominantly affects boys
  • Clinical features
    • Almost always unilateral
    • Gradual loss of vision
    • Secondary strabismus
    • Leukocoria
  • Diagnostics
    • Ophthalmoscopy: findings include telangiectasias, aneurysms, hard exudates, and retinal detachment
    • Fluorescein angiography
  • Differential diagnosis: See β€œDifferential diagnosis of leukocoria.”
  • Treatment
    • Monitoring of mild cases with minimal vascular changes
    • Sclerotherapy
      • Indications: moderate alterations of peripheral retinal vessels
      • Procedures: laser therapy or cryotherapy
    • Retinal surgery or enucleation
      • Indications: severe cases with retinal detachment and/or painful blindness
      • Last resort
      • See β€œManagement of retinal detachment.”
  • Complications: retinal hemorrhage and/or detachment, blindness

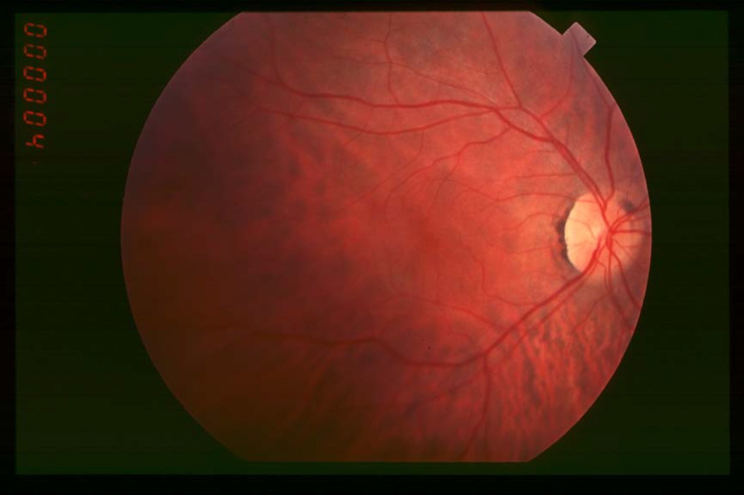
Retinopathy of prematurity (ROP)

  • Definition: disease of the retina with abnormal vessel proliferations that affects preterm infants
  • Pathophysiology: hypoxic in utero environment β†’ preterm birth β†’ elevated and fluctuating partial pressures of oxygen (especially if supplemental oxygen is given for neonatal respiratory distress syndrome) β†’ ↓ VEGF β†’ arrest of normal angiogenesis β†’ maturation and hypoxia of the avascular retina β†’ ↑ VEGF β†’ retinal neovascularization and possibly pathological extraretinal neovascularization β†’ hemorrhages, formation of fibrovascular membranes, and, in severe cases, retinal detachment [9]
  • Etiology
    • Premature birth
    • Ventilation or oxygen administration
    • Birth weight < 1500 g
    • Blood transfusions
  • Clinical features: only in severe leukocoria
  • Diagnostics: screening of all premature infants
    • Screening is indicated in the following:
      • Gestational age of < 32 weeks or if gestational age is unknown and birth weight ≀ 1500 g (regardless of oxygen administration)
      • Gestational age between 32–36 weeks if oxygen has been administered for more than 3 days after birth
    • Timing of examinations
      • In premature infants, screening starts at the 30 weeks' gestation
      • First examination 6 weeks postnatally
      • Follow-up depending upon findings or state of the ocular fundus
    • Examination of the ocular fundus to assess:
      • Vascularization of the peripheral retina
      • Demarcation line between vascularized and nonvascularized retina
      • Extraretinal vessel formations
      • Formation of membranes and distortion/detachment of the retina
      • Plus disease: increased tortuosity, exudation, hemorrhage
    • Follow-up screening until:
      • Complete vascularization of the peripheral retina
      • Significant decrease in alterations of the peripheral retina (however, only after the expected date of delivery)
  • Treatment
    • In early stages of the disease: no treatment, but regular follow-up
    • In advanced stages: laser coagulation therapy may be indicated
    • In onset of retinal detachment: vitrectomy may be indicated
  • Complications
    • Tractive retinal detachment
    • Retinal holes
    • Blindness
  • Prevention
    • Monitoring oxygen pressures
    • Regular fundoscopic exams to prevent delays in necessary treatments

Retinal emboli [10][11]

  • Definition: plaque-like lesions located in the lumen of the retinal arterioles or at bifurcations, generally consisting of cholesterol, calcification, and/or platelet-fibrin
  • Epidemiology
    • More common in male individuals
    • Prevalence is approx. 0.9–3% in the general population
  • Risk factors: carotid artery stenosis, cardiac catheterization, diabetes mellitus, hypertension, valvular heart disease, atrial fibrillation, history of tobacco use, vascular diseases, previous surgery
  • Classification: cholesterol (Hollenhorst plaques), calcific, or platelet-fibrin emboli
  • Clinical features: mostly asymptomatic, but manifestations may include blurry vision and the partial or complete loss of vision
  • Associated clinical conditions
    • Amaurosis fugax
    • Central retinal artery occlusion or branch retinal artery occlusion
  • Diagnostics
    • Fundoscopic exam
      • Cholesterol emboli (Hollenhorst plaques): bright, yellow-colored, refractile bodies located at bifurcations of retinal vessels
      • Platelet–fibrin emboli: long, thin, gray-colored bodies with a cast-like form located along the retinal vessels
      • Calcific emboli: large, white, globoid-shaped bodies located at the bifurcation of the retinal vessels
    • Fluorescein angiography
    • Carotid ultrasound and echocardiography: to identify the underlying embolic source
  • Management: treatment of the underlying cause, which may include anticoagulation and antiplatelet therapy

Retinal periphlebitis (Eales disease) [12]

  • Definition: : a type of retinal vasculitis characterized by retinal venous inflammation, vascular occlusion, and retinal neovascularization
  • Etiology: idiopathic
  • Epidemiology
    • Occurs predominantly in male individuals
    • Peak incidence: 20 years of age [12]
  • Pathogenesis
    • Overlapping stages of ischemia, retinal venous inflammation, and neovascularization
    • Tortuous shunt vessels in the midperipheral retina β†’ retinal ischemia β†’ neovascularization with hemorrhaging
  • Clinical features
    • Asymptomatic in early stages
    • Unilateral or bilateral decreased vision
    • Photopsias and floaters
    • Recurrent vitreous hemorrhages
  • Diagnostics
    • Visual acuity test
    • Fundoscopic examination: perivascular venous sheathing, venous tortuosity, sclerosed vessels, intraretinal hemorrhage, retinal neovascularization, and vitreous hemorrhages
    • Fluorescein angiography: leakage surrounding the retinal veins
  • Differential diagnosis
    • Autoimmune-related causes of retinal phlebitis (e.g., multiple sclerosis, sarcoidosis, Bechet disease) or retinal occlusive disease (e.g., SLE, polyarteritis nodosa, Churg-Strauss syndrome)
    • Vascular diseases (e.g., sickle cell retinopathy, branch retinal vein occlusion)
    • Infectious retinal vasculitis (e.g., due to syphilis, tuberculosis, Lyme disease)
  • Treatment
    • Early stages: corticosteroids (local, oral, or periocular), intravitreal injection of anti-VEGF agents
    • Advanced stages: photocoagulation
    • Surgical: Vitrectomy may be indicated in the event of vitreous hemorrhage.
  • Complications: vitreous hemorrhage, retinal detachment

Ocular toxoplasmosis

  • Definition: a condition of retinal and choroid inflammation caused by infection with Toxoplasmosis
  • Clinical features: yellow-white ocular lesions, marked vitreous reaction, concomitant vasculitis, and visual field defects.
  • For more information on β€œocular toxoplasmosis”, see β€œToxoplasmosis.”

  • Retinoblastoma
  • Retinal pigment epithelial hyperplasia (retinal pigment epithelial hypertrophy)
    • Definition: benign hyperplasia of the retinal pigment epithelium
    • Etiology: can be associated with familial adenomatous polyposis (FAP)
    • Diagnostics: fundoscopy demonstrates well-demarcated, strongly pigmented grouped foci that may have surrounding halos of relative lucency; no prominence
    • Treatment: not indicated

  • Definition: Leukocoria is an abnormal white reflection from the pupil (instead of the normal red-eye reflex).
  • Differential diagnosis of leukocoria
    • Retinoblastoma
    • Cataract (congenital or acquired)
    • Coats disease
    • Retinopathy of prematurity
    • Persistent fetal vasculature
    • Vitreous hemorrhage
    • Ocular toxocariasis
    • Retinal dysplasia
    • Retinal detachment
    • Fundus coloboma
    • Retinal astrocytic hamartoma
    • Retinal myelinated fibers