Guest Mode
AMBOSS Articles/ Ophthalmology > Uvea and Pupil

Diseases of the Uvea

Uveitis or inflammation of the uveal tract is often idiopathic but can be caused by noninfectious (especially HLA-B27 syndromes) and infectious etiologies. Anterior uveitis is the most common type and manifests with periocular pain, ocular hyperemia (red eye), and photophobia. Posterior uveitis manifests with painless visual disturbances, such as floaters and decreased visual acuity. Uveitis is typically diagnosed clinically based on history and comprehensive eye examination findings. Uveitis is typically treated with topical corticosteroids, topical cycloplegics, and management of the underlying etiology.

Other disorders of the uvea covered in this article are neovascularization of the iris, benign and malignant uveal tumors, iridodialysis, iridodonesis, heterochromia, and Vogt-Koyanagi-Harada disease.

Etiology [1][2]

Uveitis or inflammation of the uveal tract is often idiopathic.

Noninfectious uveitis

Uveitis caused by an inappropriate immune response; associated with systemic autoimmune and inflammatory conditions

  • Systemic disease, especially HLA-B27 syndromes (e.g., seronegative spondyloarthropathies, inflammatory bowel disease)
  • Trauma (including ocular surgery) can cause traumatic iritis or traumatic iridocyclitis
  • Drug-induced uveitis is uncommon; causative agents include cidofovir, rifabutin, prostaglandin analogues

Infectious uveitis

Uveitis caused by an immune response to infection with a pathogen

  • Viral infections: e.g., herpes simplex conjunctivitis, herpes zoster ophthalmicus, cytomegalovirus infection, rubella
  • Bacterial infections: e.g., bacterial keratitis, scleritis, tuberculosis, syphilis, lyme disease
  • Parasitic infections (causes posterior uveitis): ocular toxoplasmosis

Acute anterior uveitis is most commonly idiopathic or associated with HLA-B27 positivity (e.g., ankylosing spondylitis). [1][2]

Classification [1][2][3]

Based on the location of the affected structures, uveitis can be classified into:

  • Anterior uveitis (most common type): inflammation of the iris and/or the anterior part of the ciliary body (pars plicata)
  • Posterior uveitis: inflammation of the retina and/or choroid
  • Intermediate uveitis: inflammation of the vitreous (vitritis) and the posterior part of the ciliary body (pars plana)
  • Panuveitis: inflammation involving all structures of the uvea

Clinical features [1][2]

  • Uveitis typically manifests with decreased visual acuity.
  • Symptom onset may be sudden or gradual depending on the cause.
  • Anterior uveitis is painful; posterior uveitis may cause ocular discomfort or be painless.
  • Intermediate uveitis manifests similarly to posterior uveitis. [4]
Overview of anterior and posterior uveitis [1][2]
Anterior uveitis (most common type) Posterior uveitis
Involved structures
  • Iris (iritis)
  • Ciliary body (iridocyclitis, or cyclitis)
  • Choroid (choroiditis)
  • Retina (retinitis, chorioretinitis, or retinochoroiditis)
Clinical features
  • Dull, progressive periocular pain
  • Ocular hyperemia (red eye)
  • Photophobia
  • Blurred vision
  • Epiphora
  • Recurrences are common.
  • Painless visual disturbances
    • Floaters
    • Scotoma
    • Blurred vision
Comprehensive eye examination findings
  • Ciliary injection
  • Pupillary exam: miosis
  • Visual acuity: mild/moderate decrease
  • Slit lamp exam:
    • Leukocytes in the anterior chamber
    • Cells and flare
    • Cornea: keratic precipitates on the corneal endothelium; may be clear
    • Hypopyon
    • Iris nodules
  • Visual acuity: decreased
  • Slit lamp exam: leukocytes in the vitreous humor
  • Fundoscopy: foci of inflammation of the choroid and/or retina.
Complications
  • Posterior synechiae
    • Adhesions between the iris and the lens
    • May lead to cloverleaf-shaped pupillary distortion
  • Anterior synechiae:
    • Adhesions between the iris and the cornea or trabecular meshwork
    • May lead to angle-closure glaucoma
  • Open angle glaucoma
  • Cataract
  • Visual field loss due to scarring
  • Major loss of visual acuity, if macula is affected

Posterior uveitis and panuveitis are more vision-threatening than anterior uveitis. [3]

Individuals with eye redness, sensitivity to light, vision changes, and/or eye pain (RSVP) require immediate evaluation by ophthalmology.

Management [1][2][5]

  • Urgent ophthalmology consultation or referral is recommended.
  • Noninfectious or idiopathic uveitis
    • Start supportive measures (topical corticosteroid, topical cycloplegics); identify and treat the underlying cause as needed. [6]
    • Further specialist referrals or consults (e.g., rheumatolgy, immunology) may be needed.
  • Infectious uveitis: Initiate specific treatment and consider adjunctive supportive measures as needed.

Diagnostics [1][2]

  • Uveitis is diagnosed clinically based on history and findings on eye examination (see “Clinical features”).
  • Imaging (e.g., ocular ultrasound, optical coherence tomography, fluoroscein angiography) may be required in select situations to confirm the diagnosis.
  • Evaluation for the underlying etiology
    • Not routinely required for the first episode of mild, unilateral anterior uveitis with no features of a systemic disease
    • Indicated for:
      • Recurrent, worsening, or bilateral uveitis
      • Suspected undiagnosed systemic disease
    • Targeted diagnostics as needed; examples include:
      • Diagnostics for ankylosing spondylitis
      • Diagnostics for tuberculosis
      • Diagnostics for sarcoidosis
      • Syphilis testing
      • Consider typing for HLA-B27 in individuals with recurrent anterior uveitis.

Suspect drug-induced uveitis in individuals with unexplained uveitis occurring days or months after exposure to a new medication. [2]

Treatment

  • Supportive measures
    • Topical corticosteroids (e.g., 1% prednisolone acetate, 0.1% dexamethasone) are often used as a first-line antiinflammatory agents. [1]
    • Topical cycloplegics (e.g., 1% cyclopentolate, 1% atropine) [1]
  • Treatment of the underlying etiology [3]
    • Infectious uveitis: Start specific treatment; see respective articles for details.
    • Noninfectious uveitis: multidisciplinary care to address the underlying condition [1][7]
  • Options for refractory uveitis [1]
    • Systemic or intraocular corticosteroids
    • Antimetabolites (e.g., methotrexate)

Delayed treatment can result in vision loss. [3]

  • Definition: pathological neovascularization of the iris
  • Etiology
    • Vascular hypoxia (e.g., central retinal vein occlusion, central retinal artery occlusion, temporal arteritis)
    • Neural diseases (e.g., diabetic retinopathy)
    • Inflammatory (e.g., chronic uveitis)
    • Neoplasms of the eye (e.g., uveal melanoma)
  • Pathophysiology: : chronic ischemia of the retina release of vasoproliferative substances; , such as VEGF, which also affect the anterior segment of the eyeneovascularization of the iris
  • Clinical features: initially asymptomatic; symptoms arise following complications of the condition (see below)
  • Treatment
    • Goal: reduce ischemic impetus for neovascularization
    • Laser treatment: panretinal photocoagulation: Risks associated with laser treatment include night vision impairment, visual field loss, and/or further fibrosis of the vitreous body with risk of retinal detachment.
    • VEGF inhibitors
  • Complications
    • Anterior chamber hemorrhage (hyphema)
    • Progressive neovascular glaucoma: displacement of the chamber angle due to newly formed vessels → secondary angle-closure glaucoma complications, including decreased visual acuity

References:[8][9]

Benign tumors

  • Choroidal nevus: benign melanocytic lesion (nevus) of the posterior uvea
    • Epidemiology: common [10]
    • Fundoscopic appearance
      • Flat or slightly elevated
      • Gray-yellow in color
      • Clearly defined margins
      • Remains stable in size over time
    • Treatment
      • No treatment necessary
      • Regular monitoring is important as malignant transformation is possible, though rare.

Malignant tumors

  • Uveal melanoma: most common primary intraocular malignancy [11]
  • Uveal metastasis
    • Epidemiology
      • Most common intraocular malignancy in adults
      • Primary cancers most commonly leading to uveal metastasis: breast cancer and lung cancer
    • Fundoscopy
      • Elevated edges
      • Gray-yellow in color
      • Indiscrete margins, irregular shape
      • Grows over time
      • Signs of serous retinal detachment

Iridodialysis

  • Definition: separation of the iris from the ciliary body
  • Etiology: blunt trauma to the eye
  • Clinical features
    • Diplopia
    • Photophobia
    • Glare symptoms
    • Other signs and symptoms of blunt trauma to the eye (e.g., anterior chamber hemorrhage, secondary glaucoma, vision loss)
  • Diagnostics [12]
    • Slit-lamp examination
      • Irregular pupil
      • In cases of large iridodialysis: double pupil
    • Ophthalmoscopy to exclude further traumatic bulb injuries
  • Treatment [13]
    • Observation, bed rest
    • Topical cycloplegics (e.g., atropine, scopolamine) and glucocorticoids
    • In cases of anterior chamber hemorrhage: anterior chamber washout
    • If diplopia or other visual disturbances persist: surgical repair

Iridodonesis [14]

  • Definition: vibration or tremulous movement of the iris elicited by eye movement
  • Etiology: aphakia (i.e., absent lens of the eye), ectopia lentis

Heterochromia iridum

  • Definition: irises of different color
  • Types
    • Congenital heterochromia
    • Acquired heterochromia
      • Injury or infection
      • Horner syndrome
      • Glaucoma
      • Fuchs heterochromic iridocyclitis: a chronic low-grade inflammatory disease of the eye characterized by heterochromia and ciliary fibrosis.
      • Sympathetic heterochromia
      • Ocular melanosis

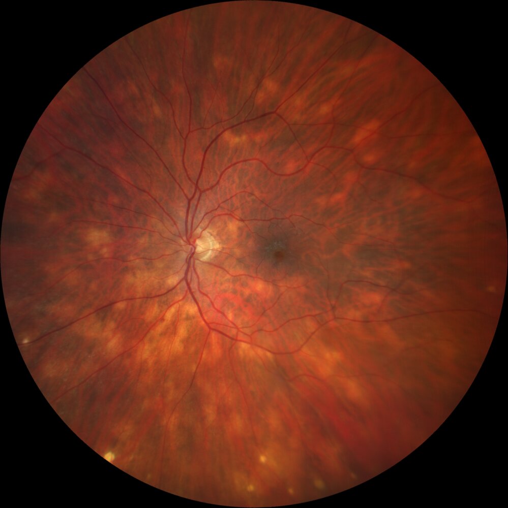
Vogt-Koyanagi-Harada disease [15][16]

  • Definition: a rare systemic condition characterized by a rapid loss of vision, alopecia, vitiligo, poliosis, and neurological symptoms (e.g., vertigo, drowsiness)
  • Epidemiology
    • Peak onset between 30–40 years of age [15]
    • Most common in southeast Asian and Hispanic populations
  • Etiology: The exact cause is unknown.
  • Pathophysiology: thought to involve an autoimmune response to antigens associated with retinal pigment epithelium, melanin, and melanocytes [16]
  • Clinical features: manifests in 4 distinct stages
    1. Prodromal stage: unspecific, flu-like symptoms (e.g., headache, fever, dizziness, eye pain) for 3–5 days
    2. Acute uveitic stage: blurred vision that initially affects only one eye, but progresses to the second eye within 2 weeks
    3. Chronic stage: vitiligo, poliosis, and choroid depigmentation.
    4. Recurrent stage: panuveitis
  • Diagnostics [17]
    • Primary diagnosis is based on clinical features and characteristic fundoscopy findings
      • Uveitic stage: posterior uveitis with multiple serous retinal detachments → panuveitis
      • Chronic stage: sunset-glow fundus (orange-red discoloration of the choroid due to inflammatory depigmentation).
      • Recurrent stage: panuveitis with acute exacerbations of anterior uveitis and iris nodules
    • Additional tests (e.g., optical coherence tomography, fundus fluorescein angiography, electroretinography) may be indicated if findings are inconclusive or to assess treatment efficiency
  • Treatment
    • Acute phase: high dose corticosteroids
    • Maintenance: oral corticosteroids for at least 6 months OR immunosuppressants (e.g., azathioprine, cyclosporine A)
  • Complications: secondary cataracts, glaucoma, and/or subretinal neovascularization (potentially loss of vision)
  • Prognosis: Visual acuity can be preserved when the condition is diagnosed early and treated aggressively.