Guest Mode
AMBOSS Articles/ Internal Medicine > Gastroenterology > Basics of Gastroenterology

Esophagus

The esophagus is the muscular tube derived from the foregut that carries food and liquid from the oropharynx to the stomach. It crosses the diaphragm at the esophageal hiatus, which is located at the level of the tenth thoracic vertebra (T10). The esophagus has an upper sphincter, which prevents the entry of air, and a lower sphincter, which prevents the reflux of gastric acid. Food is transported by peristaltic movements of the esophageal muscles. The esophagus is supplied by the esophageal branches of the inferior thyroid artery, the thoracic aorta, and the left gastric arteries. The veins of the esophagus drain into the systemic circulation via the azygos and the hemiazygos veins and into the portal circulation via the left gastric veins. Portal hypertension results in esophageal varices, which are supplied by the left gastric veins. The esophageal wall consists of four concentric layers: mucosal, submucosal, muscular, and adventitia. The mucosa is lined by nonkeratinizing stratified squamous epithelium that transitions to columnar epithelium at the gastroesophageal junction. In gastroesophageal reflux disease (GERD), chronic acid exposure induces metaplasia of the lower esophageal squamous epithelium to gastric columnar epithelium (Barrett esophagus). Other diseases that may affect the esophagus include esophageal stricture, esophageal atresia, achalasia, and esophageal cancer.

Overview

  • Tube that connects the pharynx (at the level of C6) to the stomach (at the level of T11)
  • Length: ∼ 25 cm
  • Located between trachea and spine
  • Crosses the diaphragm at T10 through the esophageal hiatus
    • The thoracic esophagus is extraperitoneal.
    • The abdominal part is intraperitoneal.
  • Constrictions of esophagus
    • Cricopharyngeal sphincter at C6
    • Crossing of aortic arch at T4/5
    • Crossing of left main bronchus at T5/6
    • Crossing of diaphragm (esophageal hiatus; T10)

Function

  • Passage for food and liquids between the oropharynx and stomach
    • Peristaltic contractions of the esophageal muscles assist in moving food downwards.

Vasculature

Cervical portion Thoracic portion Abdominal portion
Vasculature
Arteries
  • Esophageal branches of inferior thyroid artery
  • Esophageal branches of thoracic aorta
  • Esophageal branches of left gastric arteries
Veins
  • Inferior thyroid vein
  • Azygos and hemiazygos veins
  • Left gastric vein (which drains into the portal circulation)
Lymphatics
  • Mediastinal lymph nodes
Innervation
Sensation
  • Vagus nerve
Sympathetic
  • Cervical and thoracic sympathetic trunk: decrease peristalsis and glandular activity; transmit pain
Parasympathetic
  • Vagus nerve: innervates esophageal muscles and glands
    • Striated muscle (mostly in upper ⅓ of esophagus): recurrent laryngeal branches of the vagus nerve (descend from the nucleus ambiguus)
    • Smooth muscle and lower esophageal sphincter: parasympathetic fibers (descend from the dorsal motor nucleus of vagus)
Enteric nervous system
  • Auerbach plexus and Meissner plexus
Arteries Veins Lymphatics
Cervical portion
  • Esophageal branches of inferior thyroid artery
  • Inferior thyroid vein
  • Mediastinal lymph nodes
Thoracic portion
  • Esophageal branches of thoracic aorta
  • Azygos and hemiazygos veins
Abdominal portion
  • Esophageal branches of left gastric arteries
  • Left gastric vein (which drains into the portal circulation)

Innervation

  • Vagus nerve
    • Gross sensation of esophagus
    • Innervates esophageal muscles and glands: Responsible for initiation of peristalsis and glandular activity.
      • Striated muscle (mostly in upper ⅓ of esophagus): recurrent laryngeal branches of the vagus nerve (descend from the nucleus ambiguus)
      • Smooth muscle and lower esophageal sphincter: parasympathetic fibers (descend from the dorsal motor nucleus of vagus)
  • Cervical and thoracic sympathetic trunk
    • Sympathetic function: Decreases peristalsis and glandular activity
    • Pain
  • Enteric nervous system: Auerbach plexus and Meissner plexus
    • Influenced by sympathetic and parasympathetic nervous systems

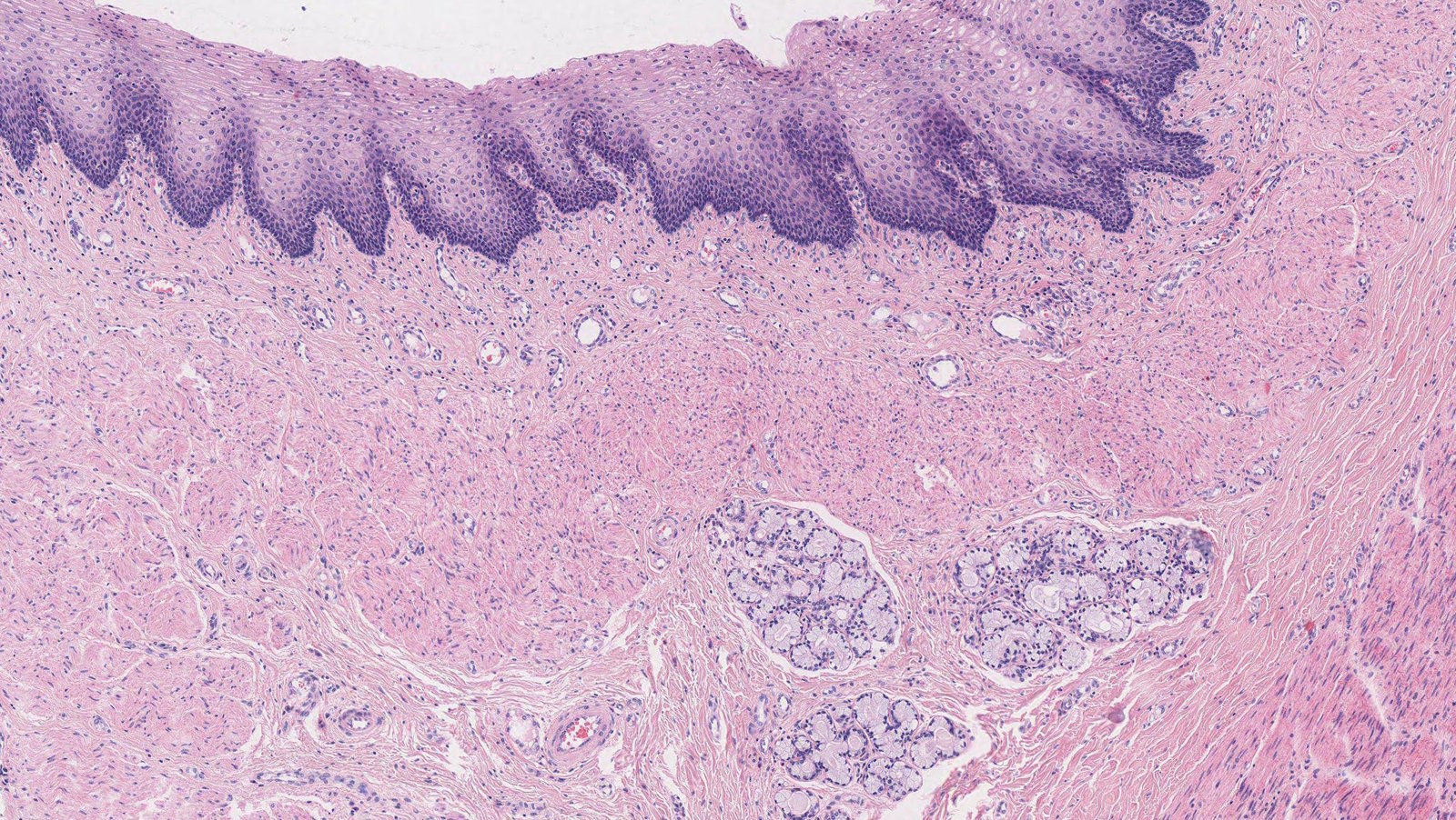
  • Four concentric layers
    • Mucosal (innermost)
      • Nonkeratinizing stratified squamous epithelium
      • Transitions to columnar epithelium at the gastroesophageal junction
    • Submucosal
      • Contains blood vessels, Meissner's plexus, and glandular epithelium
    • Muscular
      • Contains inner circular and outer longitudinal muscle fibers. The Auerbach's plexus lies in between the two layers.
      • Proximal ⅓ → mostly striated muscle
      • Distal ⅔ → mostly smooth muscle
    • Adventitia (outermost)
      • Consists of dense connective tissue; and elastic fibers

  • Derived from the embryonic foregut
  • Fusion of lateral mesodermal ridges in the midline separates the esophagus from the trachea at 26 days' gestation
  • Esophagitis
    • GERD
    • Eosinophilic esophagitis
    • Corrosive esophagitis
    • CMV esophagitis
    • Candida esophagitis
    • Herpes esophagitis
    • Drug-induced esophagitis
  • Esophageal strictures: typically a sequela of caustic ingestion or a complication of GERD
  • Esophageal motility disorders
    • Achalasia
    • Diffuse esophageal spasm
    • Scleroderma esophageal dysmotility
  • Esophageal cancer
    • Squamous cell carcinoma: associated with cigarette smoking and alcohol
    • Adenocarcinoma: associated with cigarette smoking and Barrett esophagus
  • Others
    • Esophageal varices
    • Esophageal atresia
    • Zenker diverticulum
    • Boerhaave syndrome
    • Mallory-Weiss syndrome
    • Plummer-Vinson syndrome