Guest Mode
AMBOSS Articles/ Obstetrics > Gynecology > Puerperium

Hypopituitarism

Hypopituitarism refers to the inadequate production of one or more anterior pituitary hormones as a result of damage to the pituitary gland and/or hypothalamus. These hormones include growth hormone (GH), prolactin, thyroid stimulating hormone (TSH), adrenocorticotropic hormone (ACTH), follicle stimulating hormone (FSH), and luteinizing hormone (LH). In some cases, the posterior pituitary hormones (e.g., ADH) may also be affected, which is known as panhypopituitarism. The most common cause of hypopituitarism is compression of the pituitary gland by a nonsecretory pituitary macroadenoma. Other common causes include postpartum pituitary necrosis (Sheehan syndrome), traumatic brain injury, hypophysectomy, and/or irradiation of the pituitary gland. Clinical manifestations vary significantly and depend on the specific hormone deficiency, the age of disease onset, the rate at which hypopituitarism develops, and the underlying cause of hypopituitarism: Growth hormone deficiency during childhood manifests with delayed growth, while prolactin deficiency in women can manifest as lactation failure. Deficiencies of other anterior pituitary hormones, on the other hand, manifest with clinical features of hypogonadotropic hypogonadism, secondary hypothyroidism, and/or secondary adrenal insufficiency (AI). Severe pituitary damage can also result in central diabetes insipidus as a result of ADH deficiency. Hypopituitarism is diagnosed by measuring specific hormone levels (depending on the underlying hormone deficiency) and with cranial imaging (in order to identify damage to the pituitary gland and/or hypothalamus). Treatment consists of hormone replacement therapy and treatment of the underlying disorder (e.g., transsphenoidal resection of pituitary adenomas).

  • Intrasellar/parasellar masses
    • Nonsecretory pituitary macroadenomas (β‰₯ 10 mm in diameter) are the most common cause of hypopituitarism among adults.
    • Less common: meningiomas, craniopharyngiomas, internal carotid arteryaneurysms, Rathke cleft cyst (a benign, intrasellar/suprasellar cyst that arises from the remnants of the Rathke pouch)
  • Pituitary apoplexy
    • Infarction of the pituitary gland as a result of ischemia and/or hemorrhage
    • Most commonly occurs in patients with a preexisting pituitary adenoma
    • Primarily affects the anterior pituitary gland because it receives its blood supply from a relatively low-pressure arterial system and is, therefore, vulnerable to ischemia and infarction.
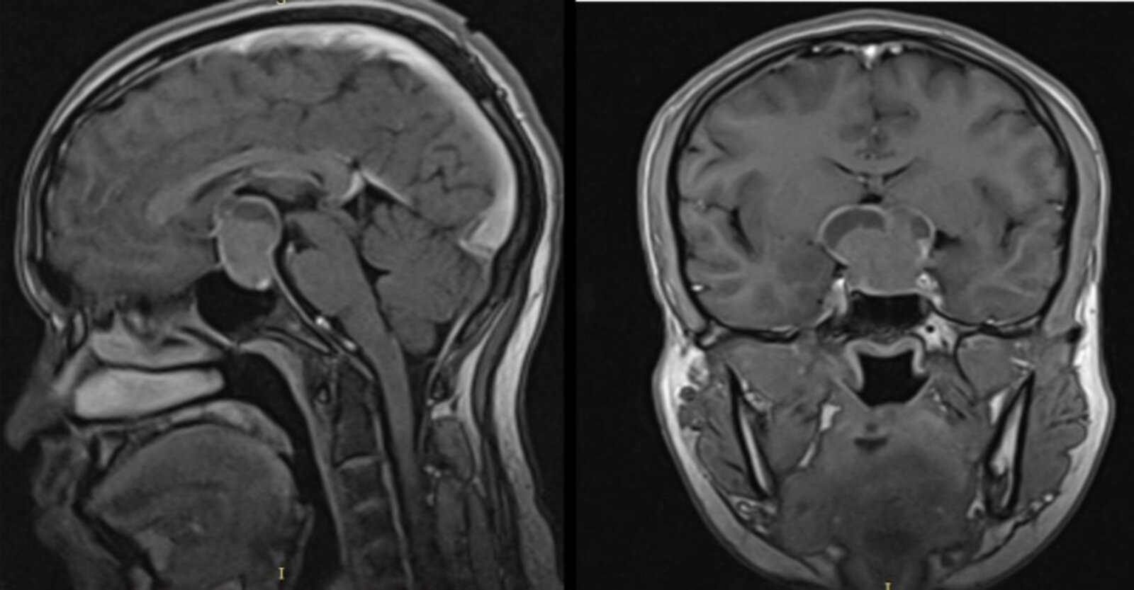
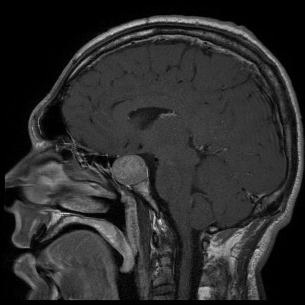
  • Sheehan syndrome: postpartum necrosis of the pituitary gland. Usually occurs following postpartum hemorrhage, but can also occur even without clinical evidence of hemorrhage. [1][2]
    • During pregnancy, hypertrophy of prolactin-producing regions increases the size of the pituitary gland, making it very sensitive to ischemia.
    • Blood loss during delivery/postpartum hemorrhage; β†’ hypovolemia β†’ vasospasm of hypophyseal vessels β†’ischemia of the pituitary gland β†’empty sella turcica on imaging [3]
  • Traumatic brain injury (especially around the skull base)
  • Infiltration of the pituitary and/or hypothalamus
    • Hemochromatosis
    • Sarcoidosis
    • Lymphocytic histiocytosis
    • Langerhans cell histiocytosis
  • Infections: meningitis, TB, tertiary syphilis, toxoplasmosis, fungi (e.g., histoplasmosis)
  • Empty sella syndrome
  • Congenital deficiency of hypothalamic hormones
    • GnRH deficiency (Kallmann syndrome)
    • Prader-Willi syndrome
    • Laurence-Moon-Biedl syndrome
  • Iatrogenic
    • Hypophysectomy
    • Pituitary irradiation
  • Hypopituitarism becomes symptomatic when more than 80% of pituitary cells are damaged. [4]
    • In most cases, hypopituitarism develops slowly (e.g., adenomas, postirradiation) [5]
    • Certain cases of hypopituitarism develop rapidly (e.g., pituitary apoplexy).
  • Hypopituitarism refers to deficiency of one or more anterior pituitaryhormones (see β€œGeneral endocrinologyβ€œ)
    • GH deficiency β†’ growth retardation (during childhood), ↓ bone density, muscle atrophy, hypercholesterolemia
    • Prolactindeficiency β†’ lactation failure following delivery
    • FSH/LHdeficiency β†’hypogonadotropic hypogonadism (secondary hypogonadism)
    • TSHdeficiency β†’secondary hypothyroidism
    • ACTHdeficiency β†’secondary adrenal insufficiency
  • In addition to the aforementioned hormone deficiencies, patients with severe pituitary damage (panhypopituitarism) also present with deficiencies of posterior pituitaryhormones:
    • ADHdeficiency β†’ central diabetes insipidus
    • Oxytocin deficiency β†’ no effect

Symptoms are variable and depend on the specific hormone deficiency, the age of disease onset, the rate at which hypopituitarism develops, and the underlying cause of hypopituitarism.

  • General symptoms: Intrasellar/parasellar masses (e.g., pituitary macroadenomas, craniopharyngiomas) can manifest with headache, visual field defects (bitemporal hemianopsia), and/or diplopia.
  • Pituitary apoplexy manifests with acute onset of:
    • Severe headache
    • Hypopituitarism
    • Bilateral hemianopia, diplopia (due to damage to CN III)
    • Sudden hypotension, possibly shock
  • GH deficiency
    • During childhood: short stature
    • During adulthood
      • Usually asymptomatic
      • Subtle findings include weight gain, weakness, and depression.
  • Prolactin deficiency
    • Women: lactation failure following delivery
    • Men: asymptomatic
  • FSH/LH deficiency
    • Women: primary amenorrhea (delayed puberty), secondary amenorrhea, irregular menstrual cycles, infertility
    • Men: delayed puberty, loss of libido, infertility, testicular atrophy, loss of facial, axillary and/or pubic hair, gynecomastia
  • TSH deficiency: weight gain, cold intolerance, lethargy, constipation, dry skin (see β€œHypothyroidism”)
  • ACTH deficiency: weight loss, weakness, hypotension, chronic hyponatremia, hypoglycemia (see β€œAdrenal insufficiency”)
  • Central diabetes insipidus: polyuria, polydipsia

Pituitary apoplexy, which results in acute hypocortisolism and hypothyroidism, can manifest with severe headache, sudden hypotension, and hypovolemic shock.

Approach [6]

  • Each hormone deficiency must be tested individually because the pattern of hormone deficiency may vary.
    • All patients: Assess for deficiencies of ACTH, TSH, LH/FSH, and ADH.
    • GH deficiency testing: Perform if treatment is indicated (e.g., in children) or if < 3 of the other deficiency tests are positive.
    • Prolactin testing: not routinely performed for hypopituitarism
    • Melanocyte stimulating hormone (MSH) and oxytocin levels: not used in the diagnosis of hypopituitarism
  • If a hormone deficiency is identified, cranial imaging (preferably MRI) is indicated to identify the cause (e.g., pituitary adenoma).
  • In an emergency setting (e.g., adrenal crisis, myxedema coma), treatment is indicated prior to biochemical testing.

Laboratory studies [6]

ACTH deficiency (central/secondary adrenal insufficiency) [7]

  • First line: morning cortisol level
    • < 3 mcg/dL: diagnosis of AI supported; serum ACTH values required to differentiate between primary and central AI
      • High ACTH: supports primary AI
      • Low to normal ACTH: supports central AI
    • 3–15 mcg/dL: Perform ACTH stimulation test.
    • >15 mcg/dL: likely excludes AI
  • For further information on the diagnosis of secondary adrenal insufficiency, see β€œEndocrine testing for adrenal insufficiency.”

TSH deficiency (secondary hypothyroidism)

  • First line: thyroid function tests (both TSH and free T4 are required)
  • Supportive findings: ↓ or normal TSH with↓ serum free T4 and ↓ serum free T3
  • For further information on the diagnosis of secondary hypothyroidism, see β€œDiagnostics” in β€œHypothyroidism.”

A normal TSH does not rule out secondary hypothyroidism; always send for serum free T4 levels.

LH/FSH deficiency (secondary hypogonadism)

  • Men
    • Testosterone: ↓
    • LH and FSH: ↓
    • DHEA (if sent): ↓
  • Women
    • Patients with regular menstrual cycles: confirms normal gonadotropin function; no further diagnostic testing required
    • Routine testing in oligomenorrhea, amenorrhea, or postmenopause if secondary hypogonadism is suspected:
      • Estradiol: ↓
      • LH and FSH: ↓
      • For other causes of oligomenorrhea or amenorrhea, see β€œDiagnostics for abnormal uterine bleeding” and β€œDiagnostics for amenorrhea.”
  • For further information on the diagnosis of secondary hypogonadism, see β€œDiagnostics” in β€œHypogonadism.”

The presence of regular menstrual cycles in women rules out hypogonadism.

Growth hormone deficiency

  • Testing is required if treatment is planned and optional if treatment is not planned and hormonal deficiencies exist in β‰₯ 3 pituitary axes.
  • IGF-1 level: typically ↓; may be normal [8]
  • Confirmatory testing: GH stimulation test [8][9]
    • Procedure
      • Record baseline serum GH level.
      • Administer stimulating agent (e.g., macimorelin).
      • Repeat serum GH levels at set intervals.
    • Interpretation: ↓ GH level(e.g., level < 2.8 mcg/L post macimorelin stimulation) supports a GH deficiency. [9]

Prolactin deficiency

  • Routine testing is not performed in the investigation of hypopituitarism.
  • Prolactin levels may be tested in:
    • Isolated prolactin deficiency
    • Men with low testosterone levels to rule out a prolactinoma
  • Supportive finding: low-normal to low prolactin level, which does not increase with stimulation testing [10]

Posterior pituitary hormones: ADH deficiency (central diabetes insipidus)

  • Initial testing
    • 24-hour urine collection: ↑ urine volume, ↓ urine osmolality
    • Plasma osmolality: ↑ or normal [11]
    • Serum sodium: ↑ or normal
  • Water deprivation test
    • Initial deprivation: no change to urine osmolality
    • Following exogenous desmopressin administration: increased urine osmolality
  • For further information, see β€œDiagnostic workup of diabetes insipidus.”

Imaging [12]

Imaging of the pituitary is indicated in all patients to determine the underlying cause.

  • MRI brain
    • Preferred imaging modality
    • Findings depend on the underlying etiology and include pituitary adenomas (most common cause in adults), congenital malformations, and trauma.
  • CT Head (without IV contrast): used if there are contraindications to MRI or in patients requiring rapid evaluation, e.g., after suspected TBI or SAH

Approach [6]

  • Assess patients for signs of clinical instability and, if present, initiate emergency management.
  • All patients require pituitary hormone replacement to treat the conditions that result from hypopituitarism.
    • Treat all patients for secondary adrenal insufficiency, secondary hypothyroidism, hypogonadism, and diabetes insipidus.
    • Treat growth hormone deficiency in all children and consider treatment in adults.
    • No treatment is indicated for deficiencies of prolactin, oxytocin, or MSH.
  • Identify and treat the underlying cause (e.g., transsphenoidal resection in some cases of pituitary macroadenomas).
  • Ensure patients receive appropriate education on the following aspects:
    • Importance of treatment adherence
    • Effects of intercurrent illness (e.g., sick days rules in adrenal insufficiency)
    • Need for an emergency bracelet or necklace

Emergency management

Acute loss of pituitary function, e.g., via pituitary apoplexy (including Sheehan syndrome), iatrogenic (hypophysectomy), or traumatic brain injury, can lead to life-threatening complications.

  • Adrenal crisis: Give immediate IV hydrocortisone without waiting for diagnostic confirmation (see β€œAdrenal crisis” for dosage information).
  • Myxedema coma
    • Give IV hydrocortisone because of the risk of levothyroxine precipitating an adrenal crisis through enhanced clearance of cortisol.
    • Replace thyroid hormones via IV levothyroxine and liothyronine.
    • See β€œMyxedema Coma” for dosages.
  • Hypernatremia
    • Start desmopressin (see β€œTreatment” in β€œDiabetes Insipidus”).
    • Replace free water deficit (see β€œTreatment” in β€œHypernatremia” for further management).
  • Once stabilized, patients should be started on maintenance pituitary hormone replacement.

Patients with suspected adrenal crisis require immediate therapy with hydrocortisone.

Maintenance therapy for pituitary hormone deficiencies

Hormone replacement in hypopituitarism [6]
Secondary adrenal insufficiency
  • Routine management: glucocorticoids with dose increases during periods of stress
Secondary hypothyroidism
  • New diagnosis: Rule out ACTH deficiency before starting treatment, as levothyroxine increases the clearance of cortisol and may precipitate an adrenal crisis. [13]
  • Routine management: levothyroxine
  • Monitor treatment efficacy with free T4 levels (not TSH).
Secondary hypogonadism
  • Men
    • Testosterone replacement [14]
    • If fertility is desired, exogenous gonadotropins (e.g., hCG) [15]
  • Females: estrogen replacement with progesterone
Growth hormone deficiency [8]
  • Children: growth hormone replacement [16]
  • Adults: GH replacement may be offered but is not usually required.
Central diabetes insipidus
  • Routine management: desmopressin

In addition to pituitary hormone replacement, the underlying cause of hypopituitarism should be treated.

Hypopituitarism patients with TSH deficiency should not be treated with levothyroxine until ACTH deficiency has been ruled out and/or treated because levothyroxine increases the clearance of cortisol and may precipitate an adrenal crisis.