Guest Mode
AMBOSS Articles/ Surgery > Basics of Surgery

Military Medicine

To see contributor disclosures related to this article, hover over this reference: [1]

Physicians may earn CME/MOC credit by searching for an answer to a clinical question on our platform, reading content in this article that addresses that question, and completing an evaluation in which they report the question and the impact of what has been learned on clinical practice.

AMBOSS designates this Internet point-of-care activity for a maximum of 0.5 AMA PRA Category 1 Credit(s)ā„¢. Physicians should claim only credit commensurate with the extent of their participation in the activity.

For answers to questions about AMBOSS CME, including how to redeem CME/MOC credit, see "Tips and Links" at the bottom of this article.

Military medicine includes clinical medicine, i.e., health care provided to service members and their families corresponding to civilian health care services, and operational medicine, i.e., health care for service members on deployment in theaters of operation. The Military Health System (MHS) represents the cornerstone of clinical military medicine. It is designed to ensure that all active duty and reserve component personnel stay healthy and operational and that health care providers are properly trained to support the operational forces. Key elements of the MHS include TRICARE (a health care program designed to provide integrated health care through military treatment facilities [MTF] and civilian providers to eligible beneficiaries), expeditionary care, a joint staff surgeon, the Defense Health Agency, and the Uniformed Services University of Health Sciences. Combat injuries are treated according to the Tactical Combat Casualty Care (TCCC) protocol developed to reduce preventable deaths during tactical operations by increasing the probability of casualties reaching an MTF. TCCC involves 3 consecutive phases: care under fire (CUF), tactical field care (TFC), and tactical evacuation care (TEC). CUF mainly involves first response, especially stopping massive hemorrhage, returning fire, taking cover, and initiating the treatment of casualties. The TFC phase focuses on the treatment of casualties according to the MARCH acronym (Massive hemorrhage, Airway management, Respiration, Circulation, Head injury). Additional measures at a Casualty Collection Point (CCP) should be considered according to the PAWS acronym (Pain management, Antibiotics, Wound management, Splinting). The most common types of combat injuries are blast injuries, stab wounds, burns, and chemical injuries (e.g., nerve gas poisoning). Associated psychiatric conditions such as posttraumatic stress disorder (PTSD) are often chronic, requiring treatment long after deployment.

Definitions

  • Active duty service member: an individual who is available for duty full-time (i.e., 24 hours per day, 7 days a week, excluding authorized leave) in the armed forces (i.e., Army, Navy, Air Force, Marine Corps, Coast Guard, and Space Force)
  • Veteran: an individual who served in the armed forces and was not dishonorably discharged
  • Reserve: an individual who provides supplementary support to active duty forces when required
  • Active duty retirement (retiree): a member of the military with ≄ 20 years of active service

Military Health System (MHS) [2]

  • Overview
    • The Military Health System (MHS) is a federal health care program run by the United States Department of Defense (DOD).
    • The MHS is led by the office of the Assistant Secretary of Defense for Health Affairs under the Office of the Undersecretary of Defense for Personnel and Readiness.
  • Objectives
    • Ensuring that all active duty; and reserve component personnel; stay healthy and operational
    • Ensuring that active and reserve health care providers are well-trained and capable of supporting operational forces
    • Providing medical benefits (e.g., coverage of prescription drug costs, surgical procedures, and check-ups) to active duty personnel and military retirees (including their families)
  • Key elements [3]
    • TRICARE
      • A health care program designed to provide integrated health care through military treatment facilities and civilian providers to eligible beneficiaries, i.e., sponsors (e.g., active, reserve, and retired members of the armed forces) and their family members (i.e., spouses and children who are registered in the Defense Enrollment Eligibility Reporting System)
      • Approx. 9.6 million individuals receive benefits from the MHS. [4]
      • Individuals covered under TRICARE
        • Active duty service members
        • Dependents of active duty family service members
        • National Guard and Reserve members and their dependents
        • Retirees and their dependents
        • Survivors
        • Former spouses (subject to certain requirements)
      • TRICARE offers different health care plans and benefits depending on various factors such as service status, residence, and duration of service.
      • Services and supplies that are considered nonessential for the treatment of a covered condition as well as those related to a noncovered condition or treatment, are excluded, e.g: [5]
        • Acupuncture
        • Homeopathic and herbal drugs, naturopathic care
        • Dyslexia treatment
    • Expeditionary care
      • A staff of medical professionals that ensures that the operational forces are healthy and ready to deploy
      • Designated medical professionals (e.g., combat medics) accompany the operational forces to provide help during battle
    • Military treatment facilities (MTF): 55 full-service hospitals and more than 370 clinics on military bases around the world
    • Uniformed Services University of the Health Sciences
      • Federal professions academy
      • No tuition, but graduates are obligated to serve
      • Emphasis on military health care and leadership
    • Joint staff surgeon: chief medical advisor tasked with the coordination of all necessary health service-related issues (e.g., force health protection, operational medicine)
    • Defense Health Agency
      • A combat support agency established in 2013 to provide integrated and efficient health services to the military
      • Services include developing health information technology systems, providing pharmacy and medical logistics, performing medical research, and operating TRICARE health benefits
    • Office of the Assistant Secretary of Defense for Health Affairs: responsible for all DOD health and force health protection policies, programs, and activities

Transitional period programs [6]

  • Overview
    • Active duty service members who separate from the military (i.e., leaving active duty before retiring) and their dependents are eligible for temporary health coverage to help with the transition to VA health or civilian health plans.
    • Members who retire from active duty (i.e., ≄ 20 years of service) will be disenrolled from TRICARE and must enroll in a new TRICARE program within 90 days of retirement.
  • Transitional Assistance Management Program (TAMP)
    • 180 days of benefits after regular TRICARE benefits end
    • Eligible members and their dependents can use one health plan option (e.g., a specific TRICARE plan, US Family Health Plan) and military medical facilities.
    • No premiums
  • Continued Health Care Benefit Program (CHCBP)
    • 18–36 months of coverage after TRICARE benefits end
    • Provides minimum essential coverage
    • Premium-based

Veterans Health Administration (VHA) [7]

  • Overview
    • A nationalized healthcare program funded by the United States Department of Veterans Affairs (VA)
    • Led by the Under Secretary of the Veterans Affairs for Health
    • America's largest integrated health care system
    • Provides care to 9 million veterans annually
    • Unlike MHS facilities, all VHA health care facilities are government-owned and operated.
    • About 60% of all medical residents receive a part of their training in a VA hospital and/or medical research program.
  • Facilities
    • VA medical centers
    • Outpatient clinics
    • Community-based outpatient clinics
    • VA community living centers

Trauma care guidelines are used during combat and established in three phases. The aim is to reduce preventable deaths in military personnel during tactical operations by implementing measures that increase the probability of a wounded soldier reaching an MTF.

Phase 1: care under fire (CUF)

Actions taken during tactical engagement under fire:

  1. Application of precise suppression fire by all personnel (incl. casualties, if capable)
  2. Continue tactical mission
  3. Take cover
  4. Treat casualties
    • Control hemorrhage
    • Massive extremity hemorrhage: apply combat tourniquet

Phase 2: tactical field care (TFC)

Actions taken when no longer under fire:

  1. Disarm casualties with altered mental status or if receiving ketamine or fentanyl
  2. First responders should follow the order of treatment itemized by the MARCH acronym:
    • Massive hemorrhage
      • Reassess any hemorrhage and control all sources of massive extremity bleeding using a tourniquet.
      • Dress nonmassive hemorrhages with combat gauze.
    • Airway management: Assess airway patency; insert nasopharyngeal airway (NPA) or perform surgical cricothyroidotomy, if necessary.
    • Respiration: Insert a vented chest seal in case of open chest wounds, decompress a suspected tension pneumothorax, and consider ventilation/oxygen therapy.
    • Circulation: Establish IV or IO access when fluid resuscitation and/or IV drug administration is required.
    • Head injury/hypothermia prevention: Assess for concussion, remove wet clothes, and apply a ready-heat blanket.
  3. Additional measures should be considered at the Casualty Collection Point (CCP) according to the PAWS acronym:
    • Pain management: Administer analgesics.
    • Antibiotics: 1 gIV ertapenem or 2 gIV cefotetan or 400 mg oral moxifloxacin
    • Wound management: Address open wounds, burns, and open fractures.
    • Splinting: Stabilize pelvic fractures and shield eye injuries.

Phase 3: tactical evacuation care (TEC)

  • Medical evacuation (MEDEVAC) and casualty evacuation (CASEVAC) via dedicated air and/or ground vehicles to the nearest MTF.
  • Continue interventions initiated during the evacuation or at the MTF.
  • Assess for and document additional life-threatening injuries, pain control, fluid resuscitation, and appropriate therapy.

Stab wounds

  • See ā€œStab woundsā€ for details.

Burns

  • See ā€œBurnsā€ for details.

Chemical injuries

Gulf War illness (GWI) [10]

  • Definition: a chronic, multisystem condition seen in veterans of the 1991 Gulf War
  • Epidemiology
    • Estimated to affect between 175,000 and 250,000 soldiers
    • More commonly seen in Army and Marine Corps veterans than in Navy or Air Force veterans
    • Of the 28 coalition forces, 27 reported cases of GWI in their troops.
  • Etiology
    • Not fully understood; exposure to multiple agents is likely
    • GWI has been linked to a variety of exposures, including:
      • Fumes from destroyed chemical warfare agents (sarin, cyclosarin, mustard gas, soman)
      • Pesticides (e.g., chlorpyrifos, permethrin, N,N-diethyl-meta-toluamide)
      • Pyridostigmine bromide
      • Other chemicals (e.g., fuels, cleaners, lubricants, fumes from oil well fires)
      • Multiple vaccinations (including anthrax)
      • Heat
      • Psychological stress
  • Clinical features
    • Chronic fatigue
    • Muscle and joint pain
    • Neurological deficits (e.g., memory impairment)
    • Functional gastrointestinal problems (e.g., diarrhea)
    • Skin rashes
  • Diagnostics
    • Clinical diagnosis
    • MRI may show reductions of gray and white matter and increased axial diffusivity.
    • Neurocognitive testing usually reveals deficits in short-term memory, fine motor coordination and speed, executive functions, and visuospatial abilities.
  • Management
    • No standard treatment
    • Coenzyme Q10 supplementation, acupuncture, and cognitive behavioral therapy have proven beneficial.
  • Prognosis: poor; only a few affected individuals experience substantial improvement or recovery over time

Nerve gas poisoning (e.g., sarin)

  • See ā€œSarinā€ for details.

Poisoning with hydrocarbons

  • See ā€œHydrocarbon toxicityā€ for details.

Combat- and deployment-associated psychiatric conditions

  • Acute stress disorder
  • Post-traumatic stress disorder (PTSD)
  • Adjustment disorder

Blast injuries frequently result in complex trauma involving both conspicuous external injuries and internal trauma induced by blast waves (primary blast injuries), which may not be immediately apparent. [11]

Epidemiology

  • Account for the majority of military combat wounds; also common in civilian mass casualty events
  • Associated with high rates of morbidity and mortality

Etiology [12][13]

  • High-order explosives
    • Examples: TNT, nitroglycerine, dynamite
    • Produce an explosion with a supersonic overpressure wave (blast wave)
  • Low-order explosives
    • Examples: pipe bombs, gunpowder, petrol bombs
    • Produce a subsonic explosion (no blast wave)
  • High-order and low-order explosives that produce a blast wind can cause additional injuries (e.g., incineration of flammable material).

Classification

Overview of blast injuries [11][13][14]
Class Mechanism Common injuries
Primary blast injury
  • Blast wave-induced barotrauma and tissue damage (typically due to detonation of a high-order explosive) [12]
  • Usually occurs in confined spaces, near walls, or within meters of the explosion [13]
  • Blast-induced otologic injury, e.g., tympanic membrane rupture
  • Blast lung syndrome
  • Blast-induced neurotrauma
  • Blast-induced ocular trauma
  • Blast-induced abdominal injury
  • Cardiovascular primary blast injuries
Secondary blast injury
  • Blunt and/or penetrating trauma caused by explosive fragments and/or debris
  • Can occur thousands of meters from the explosion [13]
  • Penetrating chest trauma
  • Penetrating abdominal trauma
  • Traumatic brain injury
  • Fractures
  • Amputations
  • Dislocations
  • Soft tissue injury
Tertiary blast injury
  • Trauma (typically blunt trauma) caused by:
    • Displacement of the victim
    • Structural collapse
  • Blunt head injury
  • Blunt chest trauma
  • Blunt abdominal trauma
  • Crush injury
  • Compartment syndrome
  • Traumatic asphyxia
  • Fractures
Quaternary blast injury
  • Explosion-related injury or disease caused by other mechanisms (e.g. heat, toxins)
  • Includes exacerbation of chronic illnesses
  • Thermal injury
  • Inhalation injury
  • Acute radiation injury
  • Carbon monoxide toxicity
  • Cyanide toxicity
  • Organophosphate toxicity

Most injuries following an explosion result from blunt or penetrating trauma and are, therefore, secondary and/or tertiary blast injuries. [15]

Approach to management [11][16]

  • In a combat setting, follow recommendations for tactical combat casualty care.
  • Consider possible radiation and/or toxin exposure.
    • Don appropriate personal protective equipment.
    • Body surface decontamination of the patient may be indicated.
  • Follow the ATLS algorithm for the initial management of trauma patients.
    • Primary survey, including immediate hemorrhage control
    • Secondary survey, including otoscopic exam to rule out TM rupture
  • Maintain a high level of suspicion for primary blast injuries.
  • Treat specific injuries according to protocol.
    • Consider all wounds contaminated and provide antibiotics for acute open wounds. [17]
    • Monitor extremity injuries for acute compartment syndrome.

The management of most blast injuries is similar to the management of traumatic injuries from other causes.

Primary blast injuries may not be immediately apparent. Maintain a high level of suspicion, especially in individuals found near the blast epicenter or in a confined space.

Primary blast injury syndromes [11][13][14]

Blast-induced otologic injury

  • Definition: audiovestibular damage resulting from a primary blast injury to the ear
  • Injuries: tympanic membrane rupture (most common primary blast injury) , hearing loss, tinnitus, ear pain, vertigo
  • Management
    • Screen patients with otoscopy in the acute setting and obtain audiometry when it is feasible.
    • Consult otolaryngology for all patients with concerning findings.

Blast lung injury [12]

  • Definition: pulmonary barotrauma resulting from primary blast injury to the lung
  • Injuries: pulmonary hemorrhage, pulmonary edema, pneumothorax, hemothorax, and/or arterial air embolism
  • Management: Consider lung imaging (e.g., CXR, chest CT, lung ultrasound) and early specialist consultation in patients with respiratory symptoms and those at high risk of blast lung injury.

Blast lung is the most common cause of fatality among those who survive the initial explosion. [14]

Blast-induced neurotrauma (BINT) [18][19]

  • Definition: a type of traumatic brain injury resulting from direct primary blast injury of the CNS [20]
  • Clinical features: signs of mild traumatic brain injury (mTBI)
  • Diagnostics: Consider criteria for neuroimaging in mTBI to rule out blunt head injuries and penetrating brain injuries. [21]
  • Management: See ā€œTreatment of mTBI.ā€

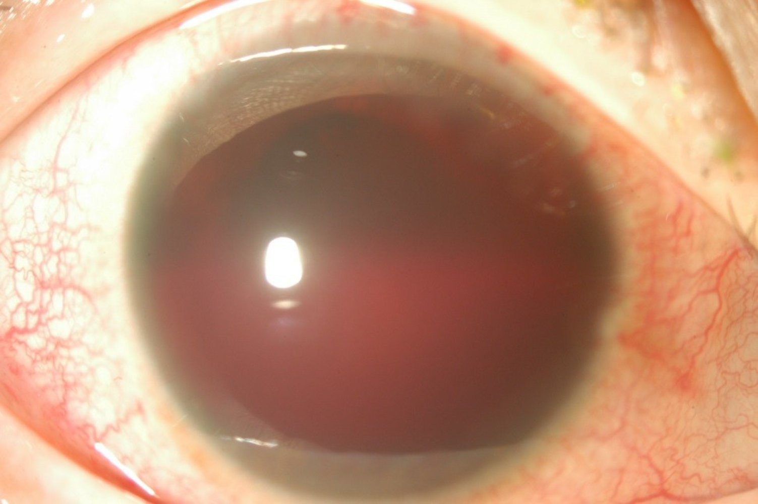
Blast-induced ocular trauma

  • Definition: ocular damage resulting from a direct primary blast injury to the eye
  • Injuries: globe rupture, conjunctival hemorrhage , hyphema , retinitis, and/or orbital fractures
  • Management
    • Maintain a low threshold for urgent ophthalmologic consultation.
    • See ā€œTraumatic eye injuries.ā€

Blast-induced abdominal injury

  • Definition: primary blast injury to the intraabdominal organs
  • Injuries: gastrointestinal perforation, gastrointestinal bleeding, and/or solid organ laceration or rupture
  • Management
    • Obtain imaging (e.g., FAST scan, abdominal CT) for patients with abdominal pain, peritoneal signs, or signs of GI bleeding.
    • See ā€œApproach to blunt abdominal trauma,ā€ ā€œTreatment of gastrointestinal perforation,ā€ and ā€œInitial management of an overt GI bleed.ā€

Cardiovascular primary blast injuries

  • Blast-induced vasovagal response: bradycardia and hypotension lasting minutes to hours
  • Other (less common): cardiac contusion, coronary artery air embolism, arrhythmias (e.g., asystole)

Treatment-resistant hemorrhagic shock may indicate an underlying cardiovascular primary blast injury. [14]