Guest Mode
AMBOSS Articles/ Neurology > Neoplastic Disorders

Neoplastic Meningitis

Neoplastic meningitis is the infiltration of the meninges by tumor cells. It affects approximately 5% of all patients with cancer. Based on the origin of the primary tumor, the condition may be categorized as carcinomatous, lymphomatous, or leukemic meningitis. Some clinical features are secondary to elevated intracranial pressure and include headaches, papilledema, and altered mental status. Treatment is based on the type of primary tumor and the extent of disease. As neoplastic meningitis is usually a sign of advanced disease with systemic spread, the overall prognosis is poor.

  • Metastatic infiltration of the meninges by cancer cells from a primary tumor
    • ∼ 5% of patients with neoplasias
  • Depending on the origin of the tumor, neoplastic meningitis can be classified as:
    • Carcinomatous meningitis: solid tumors (e.g., lung cancer, breast cancer, or melanoma)
    • Lymphomatous meningitis: lymphoma (e.g., non-Hodgkin lymphoma, or primary CNS lymphoma)
    • Leukemic meningitis: leukemia (e.g., acute leukemias)

References:[1][2][3][4]

  • Meningism
  • Cranial neuropathies
  • Headache
  • Papilledema
  • Nausea, vomiting
  • Altered mental status (ranging from confusion to lethargy)
  • Seizures

References:[2]

General principles [5][6]

  • Consider in patients with either typical:
    • Neurological features (e.g., signs of elevated ICP)
    • Neuroimaging findings (e.g., on MRI)
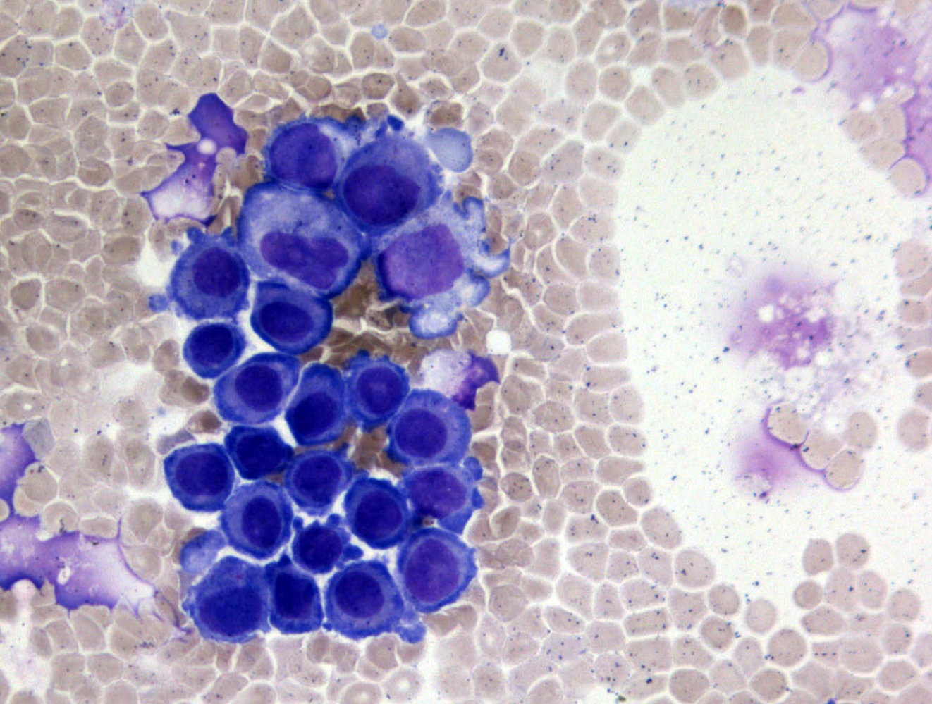
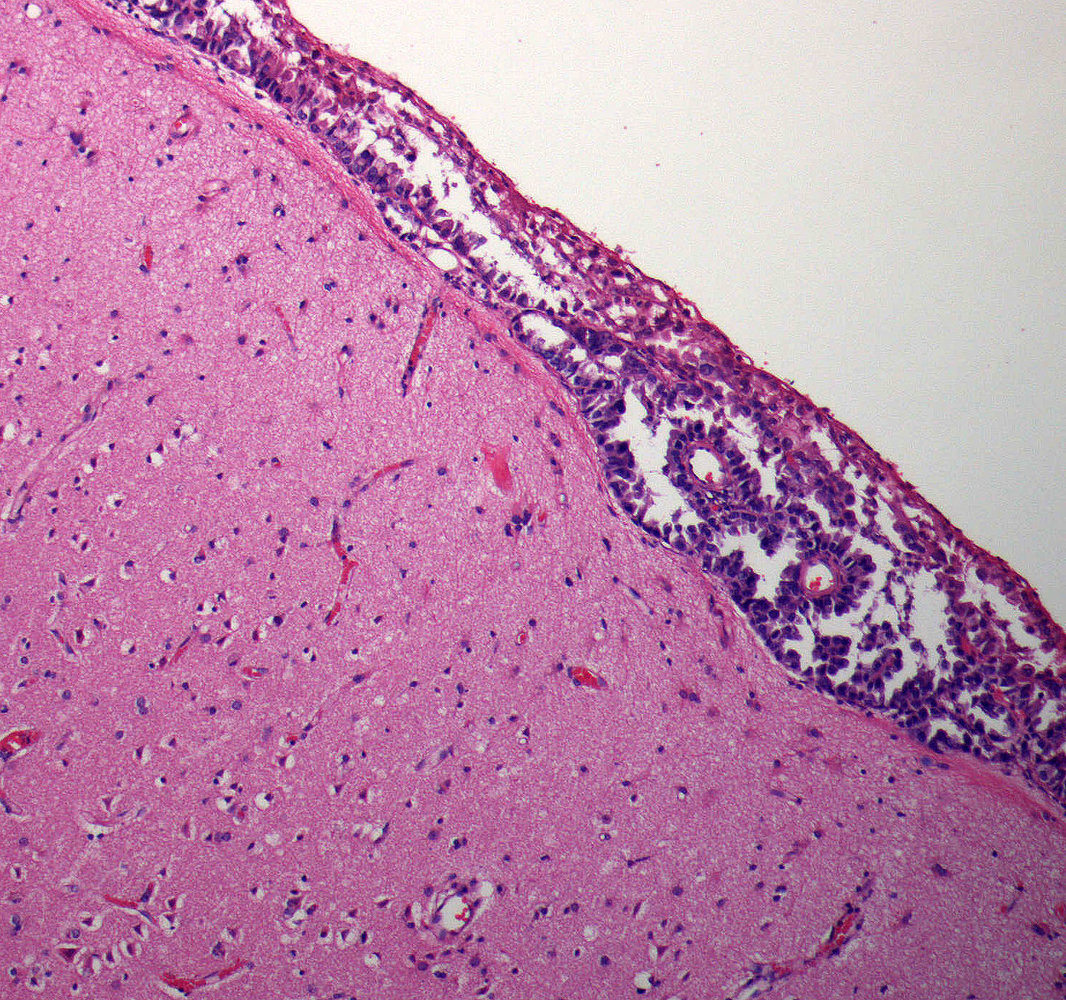
  • Diagnosis is confirmed by malignant cells on CSF or leptomeningeal biopsy.
  • If the primary tumor is unknown, consider diagnostics for cancer of unknown primary.

Neuroimaging [5][6][7]

  • MRI brain and spine with and without gadolinium (first-line)
    • Obtain for all patients, ideally prior to LP to avoid false positives .
    • Supportive findings
      • Leptomeningeal enhancement (linear or nodular)
      • Communicating hydrocephalus
      • Sulcal obliteration
  • CT brain with contrast (second-line) : supportive findings similar to MRI
  • CSF flow study
    • To evaluate for complications (e.g., hydrocephalus )
    • Preparation for intra-CSF treatments

Lumbar puncture [5][6][8]

  • Indications
    • Obtain for all patients after neuroimaging.
    • Repeat if initial cytology is negative or equivocal.
  • Cytology
    • Confirmatory result: tumor cells
    • Equivocal result: atypical cells
  • CSF analysis (nonspecific)
    • ↑ Opening pressure (> 200 mm H2O)
    • ↑ Leukocytes (> 4/mm3)
    • ↑ Total protein (> 50 mg/dL)
    • ↓ Glucose (< 60 mg/dL)
    • ↑ Lactate

Leptomeningeal biopsy [5][6]

  • Indications (rarely performed)
    • Negative CSF cytology
    • No prior history of cancer
    • Treatment is indicated but diagnosis is uncertain.
  • Confirmatory result: malignant cells

General principles [5][6]

  • Provide urgent management of elevated ICP.
  • Anticancer treatment plans
    • May include chemotherapy (systemic and/or intra-CSF) and/or radiotherapy
    • Should be formulated by specialists (e.g., a tumor board)
  • Consider need for supportive care and symptom palliation.

Goals of treatment include improving or stabilizing neurological function and prolonging survival with a reasonable quality of life.

Anticancer therapies [5][6]

Treatment typically involves a combination of the following:

  • Intra-CSF chemotherapy
    • Intrathecal chemotherapy (e.g., methotrexate): delivered through lumbar puncture
    • Intraventricular chemotherapy: delivered directly to the cerebral ventricle
  • Systemic chemotherapy: regimen based on primary malignancy, treatment history, and treatment goals
  • Radiation therapy: focal or whole-brain radiation depending on disease extent

Neoplastic meningitis is usually a sign of advanced disease and therefore has a very poor prognosis.

Supportive care [2][5][6]

  • Symptomatic relief: e.g., antiemetics, analgesics
  • Management of cancer-related complications; may include:
    • Anticonvulsant drugs: for treatment of epileptic seizures
    • Glucocorticoids (e.g., dexamethasone): for vasogenic cerebral edema with signs of elevated ICP. [9]
    • VP shunt: for relief of increased ICP and/or hydrocephalus
  • Management of anticancer treatment-related complications
  • Management of anxiety disorders and depressive disorders