Guest Mode
AMBOSS Articles/ Dermatology > Basics of Dermatology

Skin and Skin Appendage

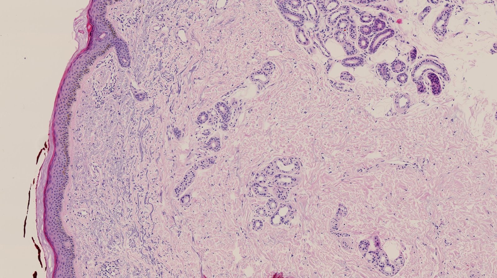
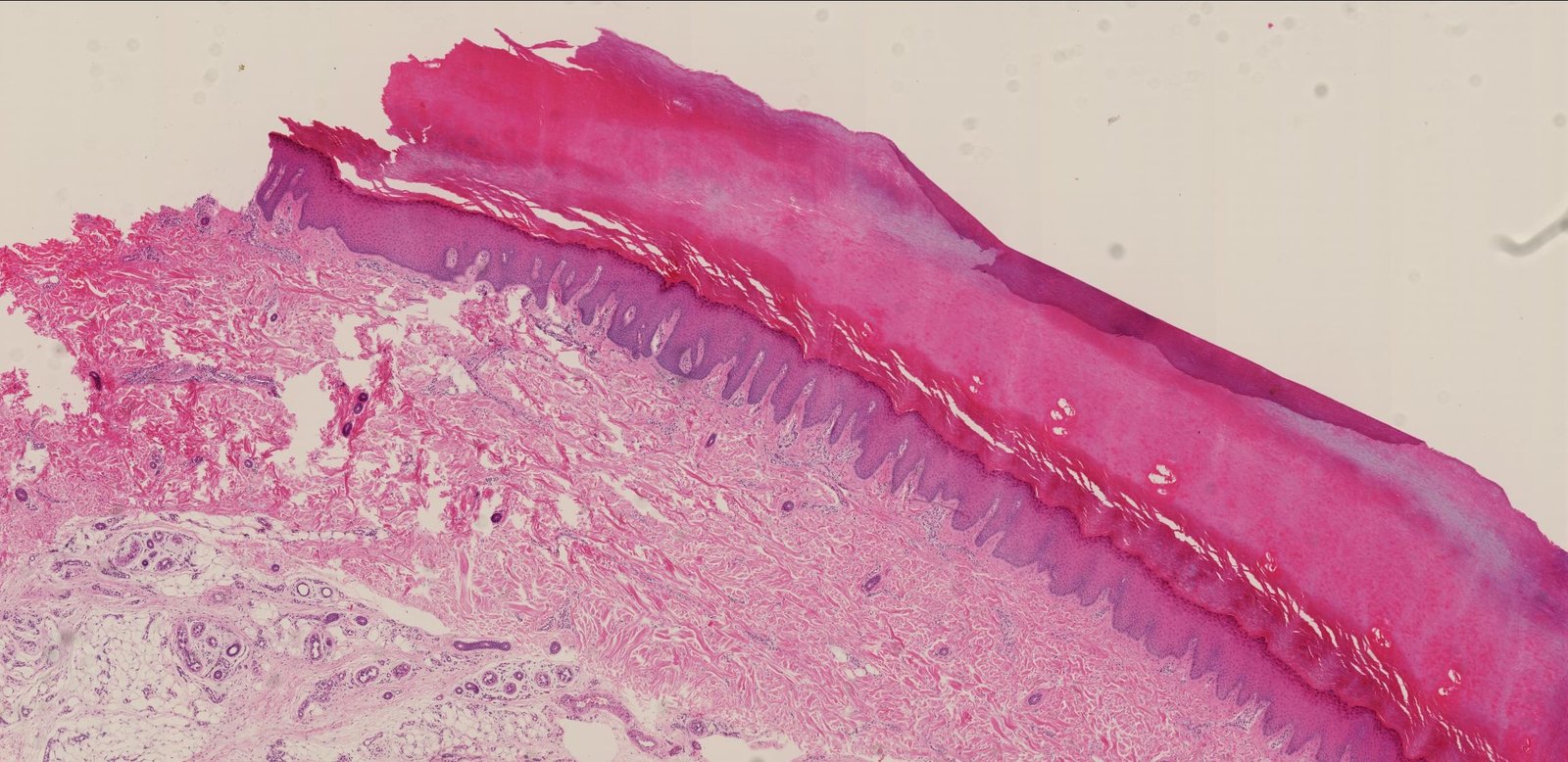
The skin is the largest organ of the body, covering an area of approximately 2 m2. The skin is composed of the cutis (including the dermis and epidermis), subcutaneous tissue, and skin appendages. The epidermis, which is derived from ectoderm, is the outermost layer of the skin and is mainly composed of keratinocytes. The dermis, which is derived from mesoderm, is located underneath the epidermis and is mainly composed of elastic fibers, type I collagen, and connective tissue. It is formed by the papillary dermis and the reticular dermis. The subcutaneous tissue, which is derived from the mesoderm, is the innermost layer of the skin and is mainly composed of fat and connective tissue. Skin appendages are derived from the skin and include hair, nails, and glands. The main functions of the skin are protection (barrier against ultraviolet radiation, microorganisms, and water loss), the synthesis of vitamin D, detection of sensation (e.g., touch, temperature, pain), and the regulation of body temperature.

The skin is composed of several layers, which are categorized as follows (from superficial to deep):

Cutis

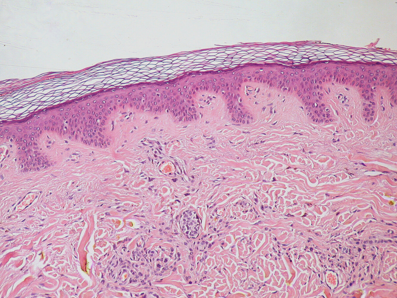
Epidermis

  • Derived from ectoderm
  • Primarily composed of keratinocytes, which constantly regenerate approximately every 30 days
  • The outermost and nonvascularized layer of the skin that maintains the skin's barrier function
  • There are 5 layers of the epidermis, which are categorized as follows (from superficial to deep):
    • Stratum corneum: outer layer of the epidermis
      • Consists of dead (anuclear; ), keratin-filled cells
      • This layer is constantly being sloughed off.
    • Stratum lucidum: thin, translucent layer
      • Located only on thick skin (palms and soles)
      • Composed of a homogeneous layer of keratinocytes with no nuclei or organelles
    • Stratum granulosum: also called the granular layer
      • Contains keratohyalin
      • This layer has waterproof properties.
    • Stratum spinosum
      • Composed of actively dividing keratinocytes; with spinous-like projections (prickle cells)
      • This layer produces keratin and induces keratinization.
      • Langerhans cells are also located in this layer.
    • Stratum basale (also called the basal cell layer of the epidermis)
      • Stem cells of the epidermis (their daughter cells migrate upwards and differentiate into other cells)
      • Melanocytes and Merkel cells are also located in this layer.
      • The stratum basale is regenerative (basal keratinocytes proliferate to fill skin defects).

β€œCome on, Let's Get Some Beers”: Corneum, Lucidum, Granulosum, Spinosum, and Basalis are the 5 layers of the epidermis.

Dermal-epidermal junction

  • Basement membrane
    • Anchors the epidermis to the dermis
    • Consists of two layers:
      • Lamina lucida (superficial)
      • Lamina densa (deeper)
  • Hemidesmosomes: connect the epidermis to the basement membrane
  • Collagen fibrils: connect stratum basale to the papillary layer

Dermis

Derived from mesoderm; contains blood vessels and provides structural integrity to the skin

  • Papillary dermis
    • Consists of fine, loosely arranged collagen fibers
    • Supplies the epidermis with nutrients
    • Plays an important role in temperature regulation
    • Forms dermal ridges, which connect dermal papillae (extension of the papillary dermis into the epidermis) to epidermal downgrowths known as epidermal ridges or rete ridges
    • Contains Meissner corpuscles (for fine-touch and two-point discrimination) and free nerve endings
    • Contains immune cells (mast cells and macrophages)
  • Reticular dermis
    • Consists of thick, densely packed fibers (e.g., reticular, elastic, and collagenous) that provide structure and support to the skin and its components
    • Contains Ruffini corpuscles (mechanoreceptors): responsible for mechanical pressure and the sensation of distortion
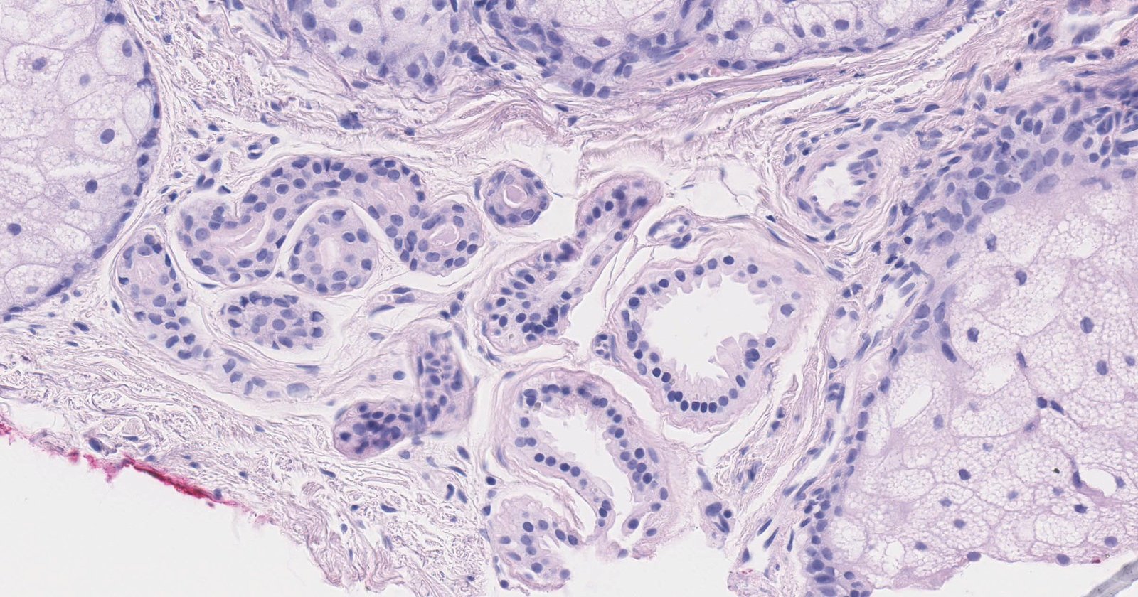
    • Contains sweat glands, sebaceous glands, and the roots of hair follicles
    • Langer lines
      • Topographic lines that correlate with the natural orientation of the reticular fibers of the reticular dermis
      • Important for wound healing and guiding surgical incisions

Subcutis (also called hypodermis)

  • Derived from mesoderm
  • Consists mainly of subcutaneous fat that protects from cold and trauma
  • Contains superficial veins and free nerve endings
  • Contains Pacinian corpuscles (mechanoreceptors) that are responsible for the sensations of vibration and pressure
  • Collagenous and elastic fibers in this area anchor the skin (epidermis, dermis) to the deep fascia.
  • Allows for the subcutaneous administration of medication

Skin appendages

  • Hair, nails, glands (e.g., sweat glands, sebaceous glands)
  • See β€œSkin appendages” below for more information.

References:[1][2][3]

Cells of the epidermis [1]

The epidermis is mainly composed of four different types of cells.

Keratinocytes

  • Definition: principal cells of the epidermis
  • Location
    • Throughout the whole epidermis
    • Mitotically active in the basal layer (basal cells)
    • Connected to the basement membrane via hemidesmosomes
  • Function
    • Primarily protect against environmental damage and form a barrier against pathogens
    • Protect against ultraviolet (UV) radiation by storing melanin produced by melanocytes
    • Produce proinflammatory mediators to activate the immune system when exposed to pathogens
    • Aid in the process of wound healing
    • Form tight junctions with nerve endings and hold lymphocytes and Langerhans cells in place.
  • Clinical significance
    • Abnormal keratinocyte desquamation contributes to the development of acne.
    • Sunburn: apoptosis of keratinocytes
    • Blistering skin disorders (e.g., pemphigus vulgaris, staphylococcal scalded skin syndrome): loss of intercellular junctions and desquamation of keratinocytes

Melanocytes

  • Definition: melanin-producing cells derived from neural crest cells
  • Location: hair, iris and choroid of the eye, stratum basale of the skin
  • Function: melanin synthesis and storage
    • Melanin is a dark pigment synthesized and stored in melanosomes (organelles within melanocytes).
    • Dendritic processes transfer melanosomes to adjacent and distant keratinocytes.
    • Melanocytes are stimulated by MSH, ACTH, and sunlight (UV-A): MSH and ACTH share the same precursor, proopiomelanocortin (POMC).
  • Synthetic pathway of melanin
    1. Phenylalanine β†’ L-tyrosine
      • Enzyme: phenylalanine hydroxylase
      • Location: liver
    2. L-tyrosine β†’ L-3,4-dihydroxyphenylalanine (DOPA)
      • Enzyme: tyrosine hydroxylase
      • Location: melanosomes
    3. DOPA β†’melanin (brown-black pigment)
      • Enzyme: tyrosinase (a copper-containing, oxidative enzyme that is involved in the production of melanin from tyrosine)
      • Location: melanosomes
  • Clinical significance
    • Pigmented skin disorders
      • Vitiligo
      • Albinism
      • Melasma
      • Pityriasis versicolor
    • Potential tumors
      • Benign: nevus/mole
      • Malignant: melanoma

Vitiligo is an acquired condition characterized by loss of melanocytes. Albinism is an inherited condition characterized by impaired melanin production.

Langerhans cells

  • Definition: : macrophages of the skin; a type of dendritic cell
  • Location: : stratum spinosum
  • Characteristics
    • Langerhans cellsact as antigen-presenting cells (APCs).
    • Langerhans cells express the following proteins:
      • MHC class II
      • Fc receptors
      • S-100
      • CD1a
    • Mesodermal origin
    • Stain positive for S-100 and CD1a
    • Contain Birbeck granules
  • Clinical significance
    • Langerhans cell histiocytosis
    • HIV transmission
    • HPV transmission

Merkel cells

  • Definition: mechanoreceptors for deep static touch features (e.g., shapes, edges)
  • Location
    • Mainly located in the stratum basale
    • They surround richly innervated areas of connective tissue, such as the fingertips.
  • Characteristics
    • Rich in keratin filaments, desmosomes, and small, dense blue granules
    • Merkel cells are connected to enlarged axon terminals via synapse-like junctions.
    • The Merkel cell-neurite complex is known as a Merkel disc receptor.

Overview [1]

Skin appendage includes:

  • Nails
  • Hair follicles
  • Glands
    • Sebaceous glands
    • Sweat glands (apocrine sweat glands and eccrine sweat glands)

Nails

  • Perionychium: epidermal tissue surrounding the root and base of the nail
  • Eponychium: proximal layer of epidermis extending over the nail base
  • Hyponychium: epidermal tissue immediately underlying the free distal edge of the nail
  • Nail plate (nail body)
    • Covers the nail bed
    • Proximally: consists of the matrix unguis or onychostroma (responsible for new nail growth) and the lunula (the white, crescent-shaped, poorly vascularized portion of the nail)
    • Distally: sterile matrix (provides the nail with bulk and strength)
  • Nail fold: depression proximal to the nail plate from which the nail grows
  • Vascular supply
    • Arterial: two terminal branches of the volar digital artery
    • Venous: drains into a network in the proximal nail bed and the skin proximal to the nail fold
  • Innervation: trifurcation of the dorsal volar digital nerve (supplying the nail fold, pulp, and distal tip of the finger)

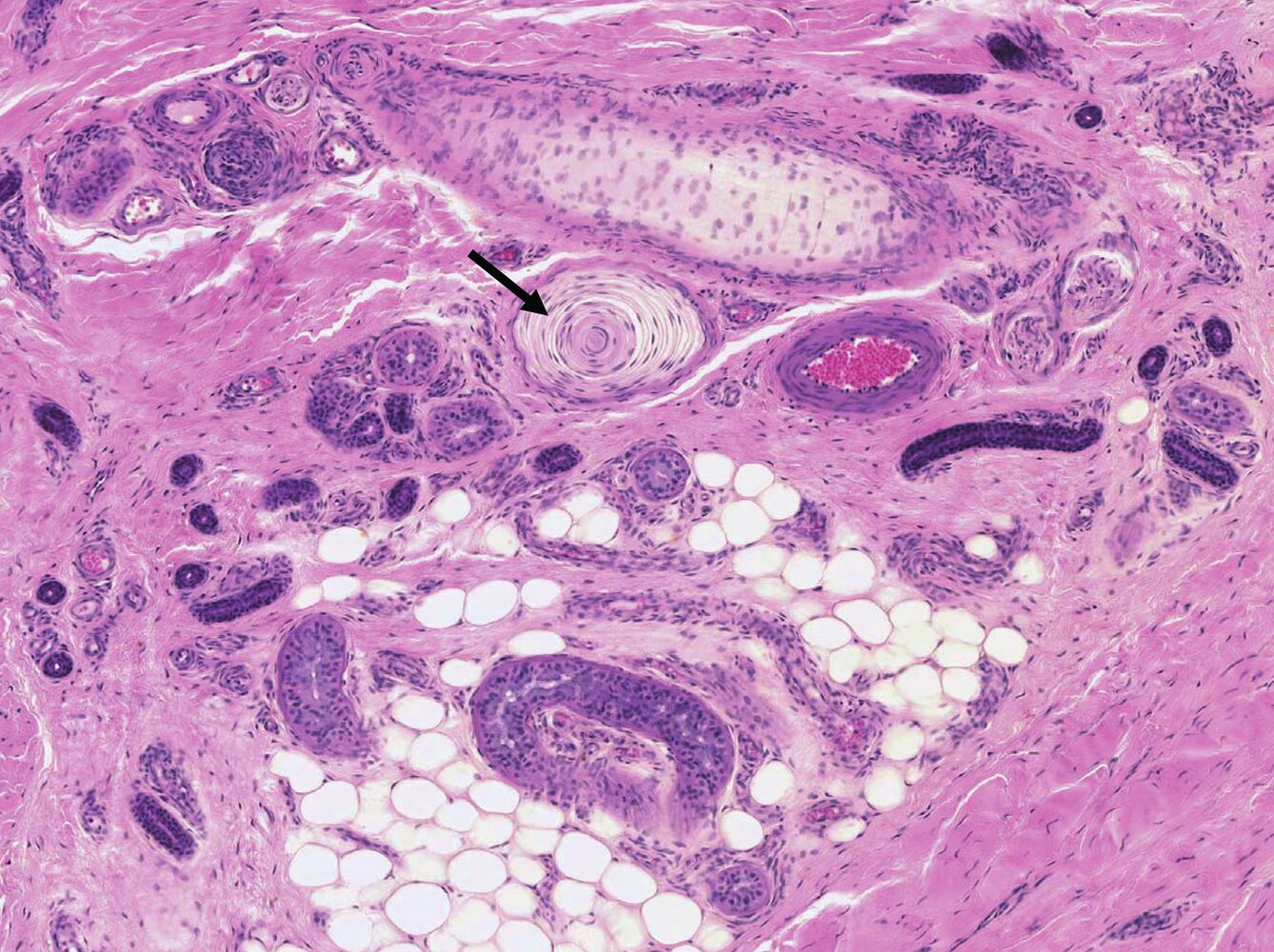
Hair follicles

  • Definition: invaginations of the epidermis into the deep dermis, forming a cavity where the hair grows and develops
  • Composition
    • Hair
      • A skin appendage that grows from follicles in the dermis
      • Contains medulla, cortex, and cuticle
      • Functions include conservation of body heat, sensation, and protection of the skin
      • Most prominent on the scalp, pubis, axilla, extremities, and face
      • See also β€œPhases of hair growth”.
    • Hair shaft
      • Extends above the epidermis
      • Connects to the hair root in the deep dermis
    • Hair bulb
      • Root of the hair follicle; located deep in the dermal papilla
      • Receives blood and nutrients from a capillary network of vessels to sustain hair growth
    • Arrector pili muscle
      • Description: obliquely directed smooth muscle fibers that attach to the dermal sheath surrounding hair follicles
      • Function
        • Contraction, which is responsible for piloerection (goosebumps)
        • Conservation of body heat
        • Innervated by the sympathetic autonomic nervous system
  • Types
    • Vellus hair follicle
      • Extends into the reticular dermis
      • Found throughout the body
      • During puberty, vellus hairs in the axillae and the genital area become terminal hairs.
    • Terminal hair follicle
      • Extends into subcutaneous fat
      • Found on the scalp, eyebrows, and eyelashes

Glands

Sebaceous glands Sweat glands
Eccrine sweat glands Apocrine sweat glands
Description
  • Exocrine (holocrine) branched glands
  • Composed of a secretory unit called glomerulum or acrosyringium; surrounded by myoepithelial cells
  • The combination of sebaceous gland, arrector pili muscle, and hair follicle is known as the pilosebaceous unit.
  • Exocrine glands with a spiral duct (acrosyringium) and secretory ducts that open into sweat pores
  • Exocrine glands with a secretory unit (glomerulum) and excretory ducts that open into hair follicles
Location and distribution
  • Dermis
  • Predominantly located on the face and scalp
  • Absent on palms and soles
  • Deep in the dermis and hypodermis
  • Most areas of the body
  • Absent in lips, ear canal, clitoris, labia minora, and glans penis
  • Mostly axilla, perineum, areola of the nipple, and external ear
Function
  • Secretion of sebum
    • An oily, waxy substance which is a lubricant and a waterproof layer for the skin and hair
    • Has photoprotective, antimicrobial, and antioxidant properties
  • Secretion of sweat (thermoregulation)
  • Modified apocrine cells produce ear wax or breast milk.
  • No significant role in thermoregulation
Regulation of secretion
  • Stimulated by androgens, especially dihydrotestosterone
  • Inhibited by estrogens
  • Stimulated by acetylcholine via muscarinic receptors
  • Stimulated by epinephrine and norepinephrine from adrenergic nerve fibers
  • Circulating hormones may also affect the secretion of sweat:
    • Growth hormone: ↑ size of sweat glands
    • Thyroid hormone: ↑ secretion of sweat (i.e., hyperthyroidism is characterized by moist and warm skin)

The main functions of the skin include: [1]

  • Barrier and protection against the external environment
  • Thermoregulation (e.g., perspiration, regulation of blood circulation)
  • Sensory function: sensations of pressure, vibration, touch, pain, and temperature
  • Hormonesynthesis of vitamin D
  • Melanin synthesis: provides protection against ultraviolet (UV) radiation and determines the color of the skin and iris (see β€œSynthetic pathway of melanin” above)

  • Skin epithelium is derived from ectoderm.
    • Signaling via the Wnt pathway prevents ectodermal progenitor cells from responding to fibroblastic growth factors (FGFs), which promotes a response to bone morphogenetic protein (BMP) signaling and, ultimately, leads to the differentiation into the embryonic epidermis.
    • Lack of Wnt signaling causes the progenitor cells to respond to FGFs, which downregulates BMP signaling and promotes neurogenesis (i.e., differentiation into the neuroectoderm).
  • Epidermal appendages (e.g., hair follicles, sweat glands) are formed from invaginations of the primitive epidermis into the dermis, with subsequent cell differentiation into the corresponding cell types (e.g., follicle cells, eccrine or apocrine sweat gland cells). [4]
  • Dermis is derived from mesoderm.
  • Melanocytes, Langerhans cells, and Merkel cells are derived from neural crest and migrate to the epidermis starting from the 12th week of embryonic development. [4]

Common skin disorders

  • Acne
  • Allergic contact dermatitis
  • Atopic dermatitis
  • Psoriasis
  • Rosacea
  • Seborrheic keratosis
  • Urticaria

Vascular tumors of the skin

  • Angiosarcoma
  • Bacillary angiomatosis
  • Kaposi sarcoma
  • Pyogenic granuloma
  • Strawberry hemangioma

Viral infections of the skin

  • Herpes
  • Human papillomavirus
  • Molluscum contagiosum
  • Varicella-zoster virus
  • Hairy leukoplakia

Bacterial infections of the skin

  • Cellulitis
  • Erysipelas
  • Impetigo
  • Necrotizing fasciitis
  • Staphylococcal scalded skin syndrome

Fungal infections of the skin

  • Tinea
  • Cutaneous candidiasis
  • Sporotrichosis

Bullous skin disorders

  • Bullous pemphigoid
  • Dermatitis herpetiformis
  • Pemphigus vulgaris
  • Stevens-Johnson syndrome
  • Toxic epidermal necrolysis

Malignant and premalignant skin lesions

  • Actinic keratosis
  • Melanoma
  • Cutaneous squamous cell carcinoma
  • Basal cell carcinoma

Disorders of pigmentation

  • Albinism
  • Melasma (chloasma)
  • Vitiligo
  • Seborrheic dermatitis

Other skin disorders

  • Acanthosis nigricans
  • Erythema nodosum
  • Lichen planus
  • Ichthyosis

Nail disorders

  • Finger infections
  • Psoriasis

Hair disorders

  • Alopecia
  • Menkes disease
  • Vitamin C deficiency
  • Folliculitis
  • Trichotillomania