Guest Mode
AMBOSS Articles/ Pediatrics > Pediatric Urology

Urinary Tract Infections in Children and Adolescents

To see contributor disclosures related to this article, hover over this reference: [1]

Physicians may earn CME/MOC credit by reading information in this article to address a clinical question, and then completing a brief evaluation, in which they will identify their question and report the impact of any information learned on their clinical practice.

AMBOSS designates this Internet point-of-care activity for a maximum of 0.5 AMA PRA Category 1 Credit(s)ā„¢. Physicians should claim only credit commensurate with the extent of their participation in the activity.

For answers to questions about AMBOSS CME, including how to redeem CME/MOC credit, see "Tips and Links" at the bottom of this article.

A urinary tract infection is an infection of the bladder, urethra, ureters, and/or kidneys and is a common infection in infancy and childhood. Risk factors include congenital anomalies of the kidneys and urinary tract (CAKUT), female sex, lack of circumcision in young boys, and bladder and bowel dysfunction. As in adults, the most common causative pathogen is Escherichia coli. Children and adolescents often present with classic symptoms of UTI (e.g., dysuria, urinary frequency). However, nonverbal and/or young children often have nonspecific symptoms, which may include fever, irritability, poor feeding, and new-onset urinary incontinence. Diagnosis is based on symptoms and urinalysis and urine culture results. Imaging is not required for diagnosis but is used to evaluate for suspected acute complications (e.g., renal abscess) and underlying structural anomalies (e.g., vesicoureteral reflux). The first-line imaging modality is renal and bladder ultrasound (RBUS); further imaging depends on the patient's history, ultrasound results, and/or specialist recommendations. Treatment of pediatric UTIs involves antibiotics (oral or IV) and management of any underlying causes. Recurrent UTIs are common in children, and patients and/or their caregivers should be educated on preventive measures. Complications of pediatric UTIs, especially if severe or recurrent, include sepsis, renal scarring, chronic kidney disease, and hypertension.

UTI in adults is discussed in a separate article; see ā€œUrinary tract infections.ā€

  • UTIs are common in children: Up to 7% of girls and 2% of boys are diagnosed with a UTI by 6 years of age. [2]
  • < 12 months of age: ♂ > ♀ [3]
  • ≄ 12 months of age: ♀ >> ♂ [3]

Epidemiological data refers to the US, unless otherwise specified.

Pathogens [3][4]

  • Bacterial
    • Escherichia coli (in up to 90% of cases)
    • Klebsiella pneumoniae
    • Proteus mirabilis [3]
    • Enterococcus faecalis
    • Enterobacter species
    • Rarely: Pseudomonas aeruginosa, group B Streptococcus, Staphylococcus aureus [4]
  • Nonbacterial
    • Viral: adenovirus [4]
    • Fungal (rare): Candida, Cryptococcus neoformans, Aspergillus [4]

UTIs caused by a pathogen other than E. coli are considered atypical pediatric UTIs. [5][6]

Risk factors for pediatric UTI [3]

  • All ages
    • Female sex
    • Personal or family history of CAKUT
    • Bowel and bladder dysfunction (e.g., chronic constipation) [2][7]
    • Instrumentation of the urinary tract [3]
  • Children ≤ 24 months of age
    • Uncircumcised boys [8][9][10]
    • Age < 12 months
  • Children > 24 months of age and adolescents
    • Kidney stones
    • Diabetes
    • Sexual activity

Although uncircumcised young boys are at an increased risk for UTIs, the preventative effect of circumcision on UTI development is not considered sufficient to recommend circumcision for all patients. [11]

  • Clinical features of UTI in children and adolescents are similar to those in adults, e.g.:
    • Urinary frequency
    • Dysuria
    • Suprapubic pain
    • Flank pain
    • Fever [2][3]
  • Caregivers may report the following in young children:
    • New-onset urinary incontinence (if toilet trained) [3]
    • Irritability [12]
    • Crying when urinating [2]
    • Poor feeding [12]
    • Malodorous urine [2][12]
    • Neonates: jaundice, hypothermia [3][8][13]

Symptoms of a pediatric UTI may be nonspecific; fever may be the only sign, particularly in neonates. [2][3]

Atypical pediatric UTI [2][3][6]

  • Definition: a collection of clinical features suggestive of underlying pathology or complicated infection [6]
  • Clinical features [5][6]
    • Neonate
    • Severe symptoms (e.g., sepsis, poor urine stream, raised creatinine)
    • Caused by a pathogen other than E. coli
    • Persistent symptoms despite 48–72 hours of antibiotics
    • Complications (e.g., renal abscess)
    • Personal or family history of urinary tract abnormalities (e.g., high-grade vesicoureteral reflux) [3]
    • Abdominal or bladder mass
  • Diagnostics
    • See ā€œDiagnostics of pediatric UTI.ā€
    • Imaging in pediatric UTI is recommended.
  • Treatment
    • See ā€œTreatment of pediatric UTI.ā€
    • Specific modifications include:
      • Infections should be treated for 7–14 days.
      • Third-generation cephalosporins are recommended.
      • Consider referral to urology.

Approach [2][14][15]

  • Determine the need for urinalysis based on age and clinical features; indications include: ; [14]
    • Age < 2 months: any ill-appearing and/or febrile infant (see ā€œFever in infants ≤ 60 days of ageā€) [2][16]
    • Age 2–24 months ; [17]
      • Fever: ≄ 39°C (102.2°F) and/or lasting ≄ 48 hours, especially if there is no other apparent cause [18]
      • Clinical features of pediatric UTI
      • History of prior UTI
      • Presence of risk factors for pediatric UTI
    • Age > 24 months with clinical features of pediatric UTI
  • Send urine culture if:
    • Urinalysis is positive
    • Urinalysis is negative but clinical suspicion is high [14]
  • Imaging studies are required for:
    • Children aged < 24 months experiencing their first febrile UTI
    • Children of any age with recurrent or atypical pediatric UTI

Urine studies [2][3]

The diagnosis of UTI typically involves urinalysis (may detect bacteria and/or pyuria) and urine culture (confirms bacteriuria) [2][3][14]

Collection methods [3][14]

  • Not toilet trained
    • Preferred: sterile collection, e.g., transurethral catheterization or suprapubic aspiration [14]
    • Alternatives: clean-catch urine sample or bagged urine sample (not suitable for culture) [2][14][16]
      • A negative urinalysis result can rule out a UTI.
      • If positive, obtain a sterile sample for culture.
  • Toilet trained: clean-catch urine sample

Urinalysis [3]

  • Dipstick urinalysis [3]
    • Positive urinary nitrites: suggests bacteria
    • Positive leukocyte esterase: suggests pyuria
  • Microscopy: presence of bacteria on Gram stain and/or pyuria [3]

Urine culture

  • Significant bacteriuria confirms the diagnosis.
  • Thresholds vary based on collection method and across guidelines; follow local protocols. [2][6]
    • Midstream clean-catch: > 100,000 CFU/mL [2][3][6]
    • Transurethral catheterization or suprapubic aspiration: > 50,000 CFU/mL [6][14]

Consider testing for sexually transmitted infections in adolescent patients with symptoms of a UTI, especially if they report prior sexual activity and/or sterile pyuria is present. [19]

Imaging in pediatric UTI

Approach [2][5][14]

  • First febrileUTI in children aged ≤ 24 months ; [5][14]
    • Order renal bladder ultrasound (RBUS) to evaluate for structural abnormalities.
    • If abnormal findings are detected on RBUS, order a voiding cystourethrogram (VCUG). [5]
  • Atypical pediatric UTI or recurrent febrile UTIs (any age) [2][3]
    • Order both RBUS and VCUG. [5]
    • Urology may obtain advanced imaging.

RBUS should be performed during acute illness for children with persistent high fever or severe illness; for other children delaying imaging by up to 6 months may allow for better visualization. [3][14]

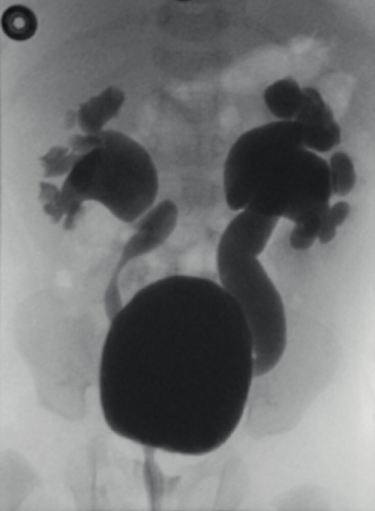
Most abnormalities can be detected on RBUS but VCUG is required if vesicoureteral reflux is suspected; see ā€œDiagnostics of VURā€ for further information.

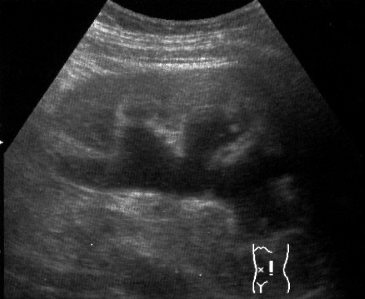
Renal bladder ultrasound (RBUS) [2][3][5][14]

  • Preferred initial imaging modality for pediatric UTIs [3][14]
    • Most structural abnormalities can be detected on RBUS.
    • Does not expose the patient to radiation
  • Potential findings include:
    • Acute complications of pediatric UTI
    • Congenital anomalies of the kidneys
    • Secondary signs of vesicoureteral reflux (VUR) [2][3]
    • Abdominal masses affecting the urinary system
    • Renal parenchyma changes (not sensitive)

Voiding cystourethrography [2][5][14]

  • Only used if there is high suspicion for VUR because of its invasive nature and use of radiation
  • Potential findings include:
    • Visualization of VUR (see ā€œDiagnostics of VURā€) [2][3]
    • Obstructive uropathy (e.g., stenosis, hydronephrosis)

Advanced imaging [3][7]

  • Nuclear medicine cystography [5]
  • Dimercaptosuccinic acid scan (DMSA scan) [3]

DMSA scans should be delayed until 4–6 months after UTI resolution to prevent acute inflammation being mistaken for scarring. [3]

Approach [2][14][15]

  • Start empiric antibiotics for pediatric UTI (e.g., cephalosporins) while awaiting urine culture results.
  • Screen for admission criteria.
  • Adjust treatment when culture results become available.
    • Negative culture: Stop antibiotics and consider differential diagnoses of pediatric UTI.
    • Confirmed UTI: Alter antibiotics as needed based on sensitivities.
  • Provide supportive treatment, e.g., analgesia, supportive care for pediatric fever.
  • If fever persists for > 72 hours, consider urgent imaging for pediatric UTI to rule out renal abscess. [3]
  • Refer patients with complications or CAKUT to nephrology/urology.
  • Educate patients and caregivers on prevention of pediatric UTI.

Admission criteria for pediatric UTI [3][12][14]

  • IV antibiotics required (for indications, see ā€œEmpiric antibiotics for pediatric UTIā€)
  • Consider admitting patients with any of the following:
    • Age 1–2 months [16]
    • Significant renal tract anomalies [12]
    • Barriers to follow-up

Antibiotic therapy

  • Follow local guidelines and protocols if available.
  • Always check local resistance patterns before initiating treatment.
Empiric antibiotics for pediatric UTI [2][3][14]
Indications Recommended antibiotics Duration [2]
IV
  • Neonates [16]
  • Severe illness [12]
  • Inability to tolerate oral fluids or antibiotics [3][12][14]
  • Unsuccessful outpatient treatment [3][12][14]
  • Third-generation cephalosporin, e.g.:
    • Cefotaxime
    • Ceftriaxone [2][15]
  • Ampicillin PLUS gentamicin [2][15][20]
  • 7–14 days [2][3][6]
Oral
  • Febrile UTI
  • Signs of upper UTI
  • Atypical pediatric UTI
  • Third-generation cephalosporin, e.g.: [3]
    • Cefixime [2][15]
    • Cefpodoxime [15]
    • Cefuroxime axetil [2][15]
  • 7–14 days
  • Afebrile lower UTI and no features of atypical pediatric UTI
  • First-generation cephalosporin (e.g., cephalexin ) [2][3][15]
  • Nitrofurantoin [2][3][20]
  • Trimethoprim/sulfamethoxazole [2][3]
  • Typically for 3–5 days [6][20]

Avoid empiric antibiotic monotherapy with amoxicillin or other penicillins because of resistance. [3]

Repeat urine culture is not necessary unless symptoms persist. [3]

  • Vulvovaginitis (e.g., from poor hygiene, irritation) [21][22]
  • Appendicitis or mesenteric lymphadenitis [22][23]
  • Diabetes mellitus or diabetes insipidus (may cause urinary frequency) [21]
  • Genital injury [24]
  • Sexually transmitted infections [21]

Consider sexual assault in all pediatric patients presenting with genital injury or sexually transmitted infections; in adolescents, screen for signs of human trafficking.

The differential diagnoses listed here are not exhaustive.

  • Acute [2][3]
    • Dehydration and hypovolemia
    • Sepsis
    • Renal abscess
    • Acute kidney injury
  • Chronic (due to recurrent UTIs) [2]
    • Renal scarring [2]
    • Chronic kidney disease
    • Hypertension in children

We list the most important complications. The selection is not exhaustive.

  • Educate caregivers on nonspecific symptoms of pediatric UTI and the need to seek early treatment.
  • Promptly identify and treat any underlying conditions including:
    • Bladder and bowel dysfunction (see ā€œConstipation in children and adolescentsā€) [2][10]
    • CAKUT (e.g., hydronephrosis, vesicoureteral reflux)
  • Encourage children to urinate regularly. [10]
  • Consider recommending an increase in fluid intake. [25]
  • Uncircumcised boys: Encourage daily gentle retraction of the foreskin for cleaning. [10]
  • Discuss antibiotic prophylaxis for recurrent UTIs with a specialist; use is controversial. [2][10]
    • Long-term antibiotic use is associated with a high risk of resistance.
    • Trials have shown limited or no benefit. [26][27]
    • Use is typically limited to patients with high-risk CAKUT and young infants [10]
  • Some evidence suggests that probiotics and cranberry supplements may prevent recurrence, but further research is required. [28]

UTI 1-year recurrence rates are as high as 30%. Children with a history of UTIs should be seen within 48 hours if they experience an unexplained fever or symptoms of a pediatric UTI. [2][3][14]